NFATC1 Antibody
-
中文名稱:NFATC1兔多克隆抗體
-
貨號:CSB-PA239200
-
規格:¥1100
-
圖片:
-
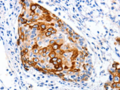
The image on the left is immunohistochemistry of paraffin-embedded Human esophagus cancer tissue using CSB-PA239200(NFATC1 Antibody) at dilution 1/25, on the right is treated with fusion protein. (Original magnification: ×200)
-
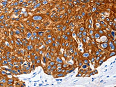
The image on the left is immunohistochemistry of paraffin-embedded Human cervical cancer tissue using CSB-PA239200(NFATC1 Antibody) at dilution 1/25, on the right is treated with fusion protein. (Original magnification: ×200)
-
-
其他:
產品詳情
-
Uniprot No.:
-
基因名:
-
別名:cytoplasmic 1 antibody; MGC138448 antibody; NF ATc antibody; NF ATc1 antibody; NF-ATc antibody; NF-ATc1 antibody; NF-ATc1.2 antibody; NFAC1_HUMAN antibody; NFAT 2 antibody; NFAT transcription complex cytosolic component antibody; NFATC 1 antibody; NFATc antibody; NFATc1 antibody; Nuclear factor of activated T cells cytoplasmic 1 antibody; Nuclear factor of activated T cells cytoplasmic calcineurin dependent 1 antibody; Nuclear factor of activated T cells cytosolic component 1 antibody; nuclear factor of activated T-cells 'c' antibody; Nuclear factor of activated T-cells antibody
-
宿主:Rabbit
-
反應種屬:Human,Mouse
-
免疫原:Fusion protein of Human NFATC1
-
免疫原種屬:Homo sapiens (Human)
-
標記方式:Non-conjugated
-
抗體亞型:IgG
-
純化方式:Antigen affinity purification
-
濃度:It differs from different batches. Please contact us to confirm it.
-
保存緩沖液:-20°C, pH7.4 PBS, 0.05% NaN3, 40% Glycerol
-
產品提供形式:Liquid
-
應用范圍:ELISA,IHC
-
推薦稀釋比:
Application Recommended Dilution ELISA 1:2000-1:5000 IHC 1:25-1:100 -
Protocols:
-
儲存條件:Upon receipt, store at -20°C or -80°C. Avoid repeated freeze.
-
貨期:Basically, we can dispatch the products out in 1-3 working days after receiving your orders. Delivery time maybe differs from different purchasing way or location, please kindly consult your local distributors for specific delivery time.
-
用途:For Research Use Only. Not for use in diagnostic or therapeutic procedures.
相關產品
靶點詳情
-
功能:Plays a role in the inducible expression of cytokine genes in T-cells, especially in the induction of the IL-2 or IL-4 gene transcription. Also controls gene expression in embryonic cardiac cells. Could regulate not only the activation and proliferation but also the differentiation and programmed death of T-lymphocytes as well as lymphoid and non-lymphoid cells. Required for osteoclastogenesis and regulates many genes important for osteoclast differentiation and function.
-
基因功能參考文獻:
- A novel role of HPV oncoprotein in facilitating NFAT2 dependent cell proliferation. PMID: 29129565
- There is a correlation between NFATC1 genes and the incidence of congenital heart disease in children, and a correlation between different genotypes and allele frequency and the incidence of the disease. PMID: 28829497
- Increased expression of nuclear factor of activated T cells 1 drives IL-9-mediated allergic asthma. PMID: 26993036
- NFATc1 knockdown strongly reduced the number and the surface area of myotubes, NFATc4 knockdown increased the surface area of myotubes and reduced the pool of reserve cells. PMID: 28760926
- APC defines Treg differentiation and anti-inflammatory function through microtubule-mediated NFAT localization. PMID: 28978472
- Our results were first found that NFATC1rs9518 closely associated with the risk and the development of Osteonecrosis of the Femoral Head, while OPGrs2073617 statistically correlated with the etiological classification of Osteonecrosis of the Femoral Head PMID: 28824302
- NFAT2 is an important regulator for the anergic phenotype of chronic lymphocytic leukaemia. PMID: 28970470
- Exposure to UVB radiation induces nuclear translocation and stimulates binding between NFAT5 and NF-kappaB proteins in HLE-B3 cells. These interactions may form part of the biochemical mechanism of cataractogenesis in UVB-irradiated HLECs. PMID: 28632030
- data identified a novel role of SFKs in preventing aberrant NFAT1 activation in resting T cells, and suggest that maintaining this pool of active SFKs in therapeutic T cells may increase the efficacy of T cell therapies PMID: 29073235
- Pathway analysis of the genes associated with the 46 CpG sites revealed an enrichment of immune system process genes, including LYST (cg16962115, FDR = 1.24E-04), CADM1 (cg21933078, FDR = 1.22E-02) and NFATC1 (cg06784563, FDR = 1.46E-02) PMID: 28637314
- there is an NFATc1/ABCA1-dependent mechanism in which local TNF is sufficient to cause free cholesterol-dependent podocyte injury irrespective of TNF, TNFR1, or TNFR2 serum levels PMID: 27482889
- NFATC1 transcription factor (NFATc1) expression is detected in prostate cancer (PCa) specimens and PCa cells but is absent in non-neoplastic human prostates and non-tumorigenic prostatic cells PMID: 26477312
- TRAP activity and NFTAc1 nuclear localization are associated with aggressive cherubism and therefore could be added to routine pathologic examination to aid in prognosis and management of the disease. PMID: 27498064
- DYRK1A phosphorylation of NFATc1/alphaA at S261, S278, S403 and S409 interfered with NFATc1 ubiquitination and ubiquitin-proteasome degradation. PMID: 28235034
- In studies of human and mouse pancreatic cells and tissue, we identified context-specific epigenetic regulation of NFATc1 activity as an important mechanism of pancreatic cell plasticity. PMID: 28188746
- NFATC1 rs3894049 GC was a risk factor for acute rejection in renal transplant recipients compared with CC carriers. PMID: 28244807
- revealed more than 170 NFAT-associated proteins, half of which are involved in transcriptional regulation. Among them are many hitherto unknown interaction partners of NFATc1 and NFATc2 in T cells, such as Raptor, CHEK1, CREB1, RUNX1, SATB1, Ikaros, and Helios. PMID: 27637333
- NFATc1 silencing regulates the cell cycle. PMID: 27350254
- Study showed that luteolin and apigenin effectively maintain pluripotency of PDLCs through activation of Oct-4/Sox2 signal via NFATc1. PMID: 27449921
- The enhanced osteoclast formation by TECK was mediated by NFATc1, but not by NF-kB signaling. PMID: 26921718
- The results demonstrate the importance of NFAT activation during PMA-induced mesenchymal stem cells differentiation. PMID: 27405982
- it was shown that NFATc1 siRNA significantly suppresses the growth and vascular generation of SKOV3 human ovarian carcinoma cell-transplanted tumors subcutaneously xenografted into nude mice. PMID: 26820075
- Data indicate that RNA interference of NFAT isoforms NFATc1, NFATc2, NFATc3 and NFATc4 regulate gene expression differentially in human retinal microvascular endothelial cells (HRMEC). PMID: 26527057
- NFATc1binds the GLI1 promoter and represses its transcription. PMID: 26601952
- InB may exhibit growth-inhibitory activity through the activation of PKCalpha, followed by an increase in NFAT transactivation ability. PMID: 26398575
- The low socioeconomic status (SES) were associated with DNA methylation of genes involved in inflammation. NFATC1, in particular, was consistently found to be less methylated in individuals with low vs high SES, in a dose-dependent manner. PMID: 25889032
- Synergistic interactions between NFAT and Foxp3 determine Treg-specific GARP expression. PMID: 26584734
- analysis of information transfer via gonadotropin-releasing hormone receptors to extracellular signal-regulated kinase or nuclear factor of activated T-cells PMID: 26644469
- Tmem178 localizes to the ER membrane and regulates RANKL-induced Ca(2+) fluxes, thus controlling NFATc1 induction PMID: 26644563
- DDIAS is a target of NFATc1 and is associated with cisplatin resistance in lung cancer cells. PMID: 26493727
- that alternative N-terminal domains of NFAT2 could provide differential mechanisms for the control of cellular functions PMID: 26483414
- This study suggested that development of specific NFAT inhibitors may offer promise as an effective strategy for attenuating the microgliosis and Abeta plaque deposition that occur in Alzheimer's disease. PMID: 25889879
- NFATc1 participation in osteogenic differentiation through its direct involvement in the regulatory machinery of mitochondria suggests a new role for this transcription factor. PMID: 25952151
- A channel chimera of Orai3 with the N terminus of Orai1 was able to couple local Ca(2+) entry to NFAT activation, identifying the N-terminal domain of Orai1 as central to Ca(2+) nanodomain-transcription coupling. PMID: 24909327
- A meta-analysis of the replication study data demonstrated that three chromosome 18 SNPs were associated with AAD, including a non-synonymous variant in the NFATC1 gene. PMID: 26042420
- NFATc1 activation promotes the invasion of U251 human glioblastoma multiforme cells through COX-2. PMID: 25738651
- The effects of NRON on HIV-1 replication are shown to be mediated by NFAT, and the viral Nef and Vpu proteins to modulate NFAT activity through their effects on NRON. PMID: 25728138
- NFAT polymorphisms are associated with Kawasaki disease. PMID: 24903211
- High NFATc1 expression is associated with acute myeloid leukemia. PMID: 25976987
- NFATc1 plays a important role in prostate cancer outgrowth. PMID: 25631176
- Data indicate that both nuclear factors of activated T cells (NFATs) motifs partially compete for binding but do not fully displace each other on the calcineurin (Cn) epitope. PMID: 24954618
- Authors report a role for the human herpesvirus 6B (HHV-6B) U54 tegument protein in inhibiting MCF-7 breast cancer cell proliferation by inhibiting NFAT activation. PMID: 25122795
- VEGF regulates NFATc1 binding to angiogenesis-related genes in the endothelium PMID: 25157100
- this study identified two crucial immune-related molecules-CD28 and NFATc1, as putative targets of miR-145 in human and experimental myasthenia gravis PMID: 24043548
- NFAT2 mediates VEGF-induced upregulation of integrin subunit synthesis by providing a constant supply of newly synthesized "refreshed" mature integrin receptors, which are involved at different stages of angiogenesis. PMID: 24657343
- ITPR2 and hypertrophy specific gene expression is regulated, in part, by a positive feedback regulation between InsP3R2 and calcineurin-NFATc signaling pathways. PMID: 24415751
- The expression of NFATc1CA promoted cancer cell invasion in association with changes in cell morphology. PMID: 23811942
- High NFAT expression is associated with metastasis in breast cancer. PMID: 23832742
- NFATc1 is associated with the occurrence of ventricular septal defect (VSD) and it may be a predisposing gene to Congenital heart disease in Han Chinese. PMID: 23286482
- Data indicate that depletion of NFATc1, cyclin D1, CDK6, or CDK4 levels attenuated MCP1-induced Pak1 phosphorylation/activation and resulted in decreased aortic smooth muscle cells (HASMCs) F-actin stress fiber formation, migration, and proliferation. PMID: 23737530
顯示更多
收起更多
-
亞細胞定位:Cytoplasm. Nucleus.
-
組織特異性:Expressed in thymus, peripheral leukocytes as T-cells and spleen. Isoforms A are preferentially expressed in effector T-cells (thymus and peripheral leukocytes) whereas isoforms B and isoforms C are preferentially expressed in naive T-cells (spleen). Isof
-
數據庫鏈接:
Most popular with customers
-
-
YWHAB Recombinant Monoclonal Antibody
Applications: ELISA, WB, IHC, IF, FC
Species Reactivity: Human, Mouse, Rat
-
Phospho-YAP1 (S127) Recombinant Monoclonal Antibody
Applications: ELISA, WB, IHC
Species Reactivity: Human
-
-
-
-
-















