NCR3 Antibody
-
中文名稱:NCR3兔多克隆抗體
-
貨號:CSB-PA899163
-
規格:¥1100
-
圖片:
-
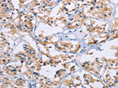
The image on the left is immunohistochemistry of paraffin-embedded Human breast cancer tissue using CSB-PA899163(NCR3 Antibody) at dilution 1/40, on the right is treated with fusion protein. (Original magnification: ×200)
-
The image on the left is immunohistochemistry of paraffin-embedded Human thyroid cancer tissue using CSB-PA899163(NCR3 Antibody) at dilution 1/40, on the right is treated with fusion protein. (Original magnification: ×200)
-
-
其他:
產品詳情
-
Uniprot No.:
-
基因名:
-
別名:NCR3; 1C7; LY117; Natural cytotoxicity triggering receptor 3; Activating natural killer receptor p30; Natural killer cell p30-related protein; NK-p30; NKp30; CD antigen CD337
-
宿主:Rabbit
-
反應種屬:Human
-
免疫原:Fusion protein of Human NCR3
-
免疫原種屬:Homo sapiens (Human)
-
標記方式:Non-conjugated
-
抗體亞型:IgG
-
純化方式:Antigen affinity purification
-
濃度:It differs from different batches. Please contact us to confirm it.
-
保存緩沖液:-20°C, pH7.4 PBS, 0.05% NaN3, 40% Glycerol
-
產品提供形式:Liquid
-
應用范圍:ELISA,IHC
-
推薦稀釋比:
Application Recommended Dilution ELISA 1:2000-1:5000 IHC 1:50-1:200 -
Protocols:
-
儲存條件:Upon receipt, store at -20°C or -80°C. Avoid repeated freeze.
-
貨期:Basically, we can dispatch the products out in 1-3 working days after receiving your orders. Delivery time maybe differs from different purchasing way or location, please kindly consult your local distributors for specific delivery time.
-
用途:For Research Use Only. Not for use in diagnostic or therapeutic procedures.
相關產品
靶點詳情
-
功能:Cell membrane receptor of natural killer/NK cells that is activated by binding of extracellular ligands including BAG6 and NCR3LG1. Stimulates NK cells cytotoxicity toward neighboring cells producing these ligands. It controls, for instance, NK cells cytotoxicity against tumor cells. Engagement of NCR3 by BAG6 also promotes myeloid dendritic cells (DC) maturation, both through killing DCs that did not acquire a mature phenotype, and inducing the release by NK cells of TNFA and IFNG which promote DC maturation.
-
基因功能參考文獻:
- this paper shows that the decreased expression of activating receptor NKp30 on peripheral blood NK cells is positively associated with gastric cancer progression PMID: 30255106
- Low NKp30 expression on NK cells is associated with Nasopharyngeal Carcinoma. PMID: 29580037
- we propose NKp30 status as a simple and early prognostic biomarker that identifies intermediate-risk patients with poor prognosis who otherwise may not be identified with existing risk stratification systems. PMID: 28548938
- Data indicate a sequence of events driven by tumour-derived prostaglandin D2 (PGD2) associated with engagement of the natural cytotoxicity triggering receptor 3 (NKp30)-B7H6 antigen (B7H6) pathway leading to significant group 2 innate lymphoid cells (ILC2s) activation and expansion. PMID: 28928446
- NKp44 and NKp30 splice variants profiles are tissue/condition specific and demonstrate similarity between placenta and cancerous tissues. PMID: 27765926
- Results found that rs2736191-C NCR3 carriers had a significant increased number of mild malaria episodes compared to the non-carriers. This SNP had a significantly increased promoter activity in NCR33 gene and involves a binding site for STAT4 and RUNX3. PMID: 29121672
- findings show HIV reservoir size is dependent on the presence of a defined NK cell population with a specific transcriptional signature: high NCR (NKp46 and NKp30) and IFN-gamma inducibility upon NCR and cytokine receptor engagement PMID: 28956765
- Copy number variations of HLA-I and activation of NKp30 pathway determine the sensitivity of gastric cancer cells to the cytotoxicity of natural killer cells PMID: 26364607
- Data suggest that NK cells and NKp30 could play a role in Antisynthetase syndrome pathogenesis. PMID: 27511738
- the stalk domains of NKp30 and NKp46, another NCR employing CD3zeta for signaling, were not exchangeable without drastic deficiencies in folding, plasma membrane targeting, and/or ligand-induced receptor signaling. PMID: 27754869
- Age and CMV serostatus influence the expression of NKp30, NKp46 and DNAM-1 activating receptors on resting and IL-2 activated natural killer cells. PMID: 25991472
- NKp30-B7-H6 interaction is a novel cell contact mechanism that mediates activation of Group 2 innate lymphoid cells and identifies a potential target for the development of novel therapeutics for atopic dermatitis and other atopic diseases. PMID: 26582946
- Our results suggest that NKP30-B7-H6 interaction can aggravate hepatocyte damage, probably through up-regulation of IL-32 expression in hepatitis B virus-related acute-on-chronic liver failure PMID: 26241657
- the interaction between NKp30 and B7-H6 may contribute to the fate of neuroblastoma patients PMID: 25877893
- Suggest role for NKp30 isoforms in influencing liver damage and ensuing fibrosis in chronic hepatitis C infection. PMID: 26094914
- show that in addition to NKG2D, human CEACAM1 can inhibit NK-cell activation via NKp30 or 2B4 PMID: 25824372
- Up-regulation of DNAM-1 and NKp30, associated with improvement of NK cells activation after long-term culture of mononuclear cells from patients with ovarian neoplasms. PMID: 24882570
- Tumor-released Galectin-3, a soluble inhibitory ligand of human NKp30, plays an important role in tumor escape from NK cell attack. PMID: 25315772
- Allogeneic and xenogeneic anti-tumor effect of callithrix jacchus natural killer cells is dependent on NKp30 and B7-H6 interaction. PMID: 25001651
- NKp30 was required for natural killer cell-fungal conjugate formation, phosphatidylinositol 3-kinase (PI3K) signaling, and perforin release. PMID: 24139398
- Data indicate that the ectodomain of NKp30 forms functional homo-oligomers that mediate high affinity binding to its corresponding cellular ligand B7-H6. PMID: 24275655
- we show for the first time that BAG-6(686-936) comprises a subdomain of BAG-6, which is sufficient for receptor docking and inhibition of NKp30-dependent NK cell cytotoxicity as part of a tumor immune escape mechanism PMID: 24133212
- Findings suggest that NK cells may promote an NKp30-dependent inflammatory state in salivary glands and that blockade of the B7H6/NKp30 axis could be clinically relevant in primary Sjogren's syndrome. PMID: 23884468
- HHIP, HDAC4, NCR3 and RARB polymorphisms may have a role in impaired lung function that begins in early life PMID: 23456936
- These findings reveal that B7-H6 is not only implicated in tumor immunosurveillance but also participates in the inflammatory response in infectious conditions. PMID: 23687088
- Cytokine stimulation combined with natural killer cell receptor engagement are required for human natural killer cell functional diversity. PMID: 23490421
- data describe immune escape mechanism of monoclonal gammopathy/multiple myeloma occuring via downregulation of 3 major activating NK receptors (NCR3/NKp30, NKG2D and CD244/2B4/p38) in bone marrow, that was undetectable in peripheral blood. PMID: 23360454
- Using a codon-optimized gene fragment, we report remarkable yields for extracellular domain of human NK cell receptor (NKp30ex) when produced on M9 minimal medium, even with low (2g/L) glucose concentration. PMID: 23059620
- Natural cytotoxicity receptors play a major role in the recognition by NK cells of cancer stem cells targets. PMID: 23345327
- B7-H6:7D8 represents the first Ab-based molecule stimulating NKp30-mediated NK cell cytotoxicity for therapeutic purposes PMID: 23066150
- The stalk domain and the glycosylation status of the activating natural killer cell receptor NKp30 are important for ligand binding. PMID: 22807449
- NKp30 chimeric antigen receptor-expressing T cells produce interferon (IFN)-gamma and kill B7-H6 ligand-expressing tumor cells in vivo. PMID: 22851709
- NKp30 expression is significantly increased on the natural killer cells that persist at one week post-liver transplant in pediatric patients. PMID: 22360401
- NKp30 is a triggering receptor downstream of adhesion and plays an important role in NK cell activation, degranulation and cytotoxicity. PMID: 22221078
- a precise analysis of clinical data showed a correlation between decreased NCR expression and poor prognosis factors such as low haemoglobin level, high (>30x10(9) per litre) lymphocyte count or elevated C-reactive protein PMID: 22044312
- alternatively spliced isoforms affect the prognosis of gastrointestinal stromal tumors PMID: 21552268
- This study provides insights into NKp30 ligand recognition and a framework for a potential family of unidentified ligands. PMID: 21444796
- The NKp30-B7-H6 structure revealed that this NK cell activating complex is distinct from the CTLA4-B7 and PD-1-PD-L T cell inhibitory complexes in both overall organization and detailed atomic interactions that mediate binding and specificity. PMID: 21422170
- Observational study of gene-disease association. (HuGE Navigator) PMID: 20712903
- NKp30(high) cells are more effective in preventing infection of hepatitis C in high risk intravenous drug addicted individuals. PMID: 20812318
- Observational study of gene-disease association. (HuGE Navigator) PMID: 19913121
- Observational study of gene-disease association. (HuGE Navigator) PMID: 20587610
- Observational study of gene-disease association, gene-environment interaction, and pharmacogenomic / toxicogenomic. (HuGE Navigator) PMID: 20628086
- Observational study of gene-disease association. (HuGE Navigator) PMID: 20663564
- Selective cross-talk among natural cytotoxicity receptors (NKp46, NKp30 and NKp44) in human natural killer cells. PMID: 12731048
- CD59 is physically associated with NKp46 and NKp30 and activate human nk cell-mediated cytotoxicity. PMID: 14635045
- NKG2D, NKp30, NKp44, and NKp46 acitvation affected by ligand-negative phenotype in bone marrow-derived progenitor cells, acquisition of cell-surface ligands during myeloid differentiation, defective expression of ligands on malignant transformation PMID: 15657183
- NKp30 is not only a triggering molecule essential for antitumor activity but is also a surface receptor involved in natural killer cell suicide. PMID: 15728472
- NK cell-mediated induction of dendritic cell maturation is dependent on NKp30. PMID: 15784725
- heparan sulfate glycosaminoglycans are not ligands for NKp30, leaving open the question as to the nature of the cellular ligand for this important NK cell activation receptor PMID: 15972650
顯示更多
收起更多
-
亞細胞定位:Cell membrane; Single-pass type I membrane protein.
-
蛋白家族:Natural cytotoxicity receptor (NCR) family
-
組織特異性:Selectively expressed by all resting and activated NK cells and weakly expressed in spleen.
-
數據庫鏈接:
Most popular with customers
-
-
YWHAB Recombinant Monoclonal Antibody
Applications: ELISA, WB, IHC, IF, FC
Species Reactivity: Human, Mouse, Rat
-
Phospho-YAP1 (S127) Recombinant Monoclonal Antibody
Applications: ELISA, WB, IHC
Species Reactivity: Human
-
-
-
-
-















