MYF5 Antibody
-
中文名稱:MYF5兔多克隆抗體
-
貨號:CSB-PA993829
-
規格:¥1100
-
圖片:
-
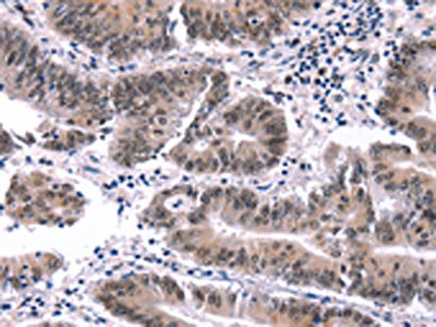
The image on the left is immunohistochemistry of paraffin-embedded Human colon cancer tissue using CSB-PA993829(MYF5 Antibody) at dilution 1/15, on the right is treated with synthetic peptide. (Original magnification: ×200)
-
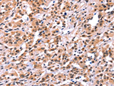
The image on the left is immunohistochemistry of paraffin-embedded Human thyroid cancer tissue using CSB-PA993829(MYF5 Antibody) at dilution 1/15, on the right is treated with synthetic peptide. (Original magnification: ×200)
-
-
其他:
產品詳情
-
Uniprot No.:
-
基因名:
-
別名:bHLHc2 antibody; Class C basic helix loop helix protein 2 antibody; Class C basic helix-loop-helix protein 2 antibody; Myf 5 antibody; Myf-5 antibody; Myf5 antibody; MYF5_HUMAN antibody; Myogenic factor 5 antibody
-
宿主:Rabbit
-
反應種屬:Human,Mouse
-
免疫原:Synthetic peptide of Human MYF5
-
免疫原種屬:Homo sapiens (Human)
-
標記方式:Non-conjugated
-
抗體亞型:IgG
-
純化方式:Antigen affinity purification
-
濃度:It differs from different batches. Please contact us to confirm it.
-
保存緩沖液:-20°C, pH7.4 PBS, 0.05% NaN3, 40% Glycerol
-
產品提供形式:Liquid
-
應用范圍:ELISA,IHC
-
推薦稀釋比:
Application Recommended Dilution ELISA 1:1000-1:2000 IHC 1:25-1:100 -
Protocols:
-
儲存條件:Upon receipt, store at -20°C or -80°C. Avoid repeated freeze.
-
貨期:Basically, we can dispatch the products out in 1-3 working days after receiving your orders. Delivery time maybe differs from different purchasing way or location, please kindly consult your local distributors for specific delivery time.
-
用途:For Research Use Only. Not for use in diagnostic or therapeutic procedures.
相關產品
靶點詳情
-
功能:Transcriptional activator that promotes transcription of muscle-specific target genes and plays a role in muscle differentiation. Together with MYOG and MYOD1, co-occupies muscle-specific gene promoter core region during myogenesis. Induces fibroblasts to differentiate into myoblasts. Probable sequence specific DNA-binding protein.
-
基因功能參考文獻:
- Analysis of human rhabdomyosarcoma revealed that MYF5 and MYOD are mutually-exclusively expressed and each is required for sustained tumor growth. PMID: 28080960
- Pitx2c expression is reactivated, while expression of Myf5 is downregulated in human systolic heart failure as determined by qRT-PCR and Western blot analyses. PMID: 24595098
- results are the first demonstration of a myogenic conversion of human mesenchymal and endothelial cells by Myf5 PMID: 21810080
- DUX4c induces the MYF5 protein and myoblast proliferation, and has a role in facioscapulohumeral muscular dystrophy PMID: 19829708
- The myogenic basic helix-loop-helix family of transcription factors, MyoD, Myf5, myogenin, and MRF4, can each activate the muscle differentiation program. PMID: 12105204
- Mrf4 expression precedes or is contemporaneous with that of Myf5, suggesting that this transcription factor plays a hitherto unsuspected role in myogenesis PMID: 12204280
- Myogenin and myogenic differentiation factor D (MyoD) mRNAs increased (P < 0.05) in young and old, whereas myogenic factor (myf)-5 mRNA increased in young only (P < 0.05). Myf-6 protein increased (P < 0.05) in both young and old. PMID: 16614355
- A novel homozygous polymorphism that prevented the binding of MYF-5 to FOXE1 promoter and affected the FOXE1 expression was found in 45% nonsyndromic cleft palate. PMID: 19192046
顯示更多
收起更多
-
亞細胞定位:Nucleus.
-
數據庫鏈接:
Most popular with customers
-
-
YWHAB Recombinant Monoclonal Antibody
Applications: ELISA, WB, IHC, IF, FC
Species Reactivity: Human, Mouse, Rat
-
Phospho-YAP1 (S127) Recombinant Monoclonal Antibody
Applications: ELISA, WB, IHC
Species Reactivity: Human
-
-
-
-
-















