MSX1 Antibody
-
中文名稱:MSX1兔多克隆抗體
-
貨號:CSB-PA015068LA01HU
-
規格:¥440
-
圖片:
-
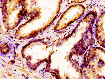
IHC image of CSB-PA015068LA01HU diluted at 1:300 and staining in paraffin-embedded human prostate cancer performed on a Leica BondTM system. After dewaxing and hydration, antigen retrieval was mediated by high pressure in a citrate buffer (pH 6.0). Section was blocked with 10% normal goat serum 30min at RT. Then primary antibody (1% BSA) was incubated at 4°C overnight. The primary is detected by a biotinylated secondary antibody and visualized using an HRP conjugated SP system.
-
-
其他:
產品詳情
-
產品名稱:Rabbit anti-Homo sapiens (Human) MSX1 Polyclonal antibody
-
Uniprot No.:
-
基因名:
-
別名:AA675338 antibody; AI324650 antibody; Homeobox 7 antibody; Homeobox protein Hox-7 antibody; Homeobox protein MSX 1 antibody; Homeobox protein MSX-1 antibody; Homeobox protein MSX1 antibody; Homeobox, msh like 1 antibody; Homeobox, msh-like 1 antibody; HOX 7 antibody; Hox 7.1 antibody; Hox-7 antibody; HOX7 antibody; Hox7.1 antibody; HYD 1 antibody; HYD1 antibody; msh (Drosophila) homeo box homolog 1 (formerly homeo box 7) antibody; Msh antibody; msh homeo box 1 antibody; msh homeo box homolog 1 antibody; Msh homeobox 1 antibody; Msh homeobox 1 like protein antibody; Msh homeobox 1-like protein antibody; msh homeobox homolog 1 (Drosophila) antibody; msh homeobox homolog 1 antibody; MSH, Drosophila, Homolog of, 1 antibody; MSX 1 antibody; MSX1 antibody; MSX1_HUMAN antibody; Muscle segment homeobox antibody; Muscle segment homeobox, Drosophila, Homolog of, 1 antibody; OFC5 antibody; OTTHUMP00000115387 antibody; STHAG1 antibody
-
宿主:Rabbit
-
反應種屬:Human
-
免疫原:Recombinant Human Homeobox protein MSX-1 protein (19-179AA)
-
免疫原種屬:Homo sapiens (Human)
-
標記方式:Non-conjugated
本頁面中的產品,MSX1 Antibody (CSB-PA015068LA01HU),的標記方式是Non-conjugated。對于MSX1 Antibody,我們還提供其他標記。見下表:
-
克隆類型:Polyclonal
-
抗體亞型:IgG
-
純化方式:>95%, Protein G purified
-
濃度:It differs from different batches. Please contact us to confirm it.
-
保存緩沖液:Preservative: 0.03% Proclin 300
Constituents: 50% Glycerol, 0.01M PBS, pH 7.4 -
產品提供形式:Liquid
-
應用范圍:ELISA, IHC
-
推薦稀釋比:
Application Recommended Dilution IHC 1:200-1:500 -
Protocols:
-
儲存條件:Upon receipt, store at -20°C or -80°C. Avoid repeated freeze.
-
貨期:Basically, we can dispatch the products out in 1-3 working days after receiving your orders. Delivery time maybe differs from different purchasing way or location, please kindly consult your local distributors for specific delivery time.
-
用途:For Research Use Only. Not for use in diagnostic or therapeutic procedures.
相關產品
靶點詳情
-
功能:Acts as a transcriptional repressor. May play a role in limb-pattern formation. Acts in cranofacial development and specifically in odontogenesis. Expression in the developing nail bed mesenchyme is important for nail plate thickness and integrity.
-
基因功能參考文獻:
- Gene-gene interaction between MSX1 and TP63 may influence the risk of nonsyndromic cleft lip with or without cleft palate in Asian populations. PMID: 29341488
- MSX1 exerts tumor-suppressive functions by inducing G1/S cell cycle arrest and apoptosis in breast tumorigenesis. PMID: 29436596
- In male infants, there was no association between the mother's homozygous MSX1 p(CA) *4/*4 genotype and nsCL+/-P (RR, 0.98; 95% CI, 0.63-1.54), but this maternal genotype resulted in a doubling of risk for female infants (RR, 2.21; 95% CI, 1.13-4.34). PMID: 27996298
- p19(INK4d) plays an active role during human tooth development along with MSX1 and MSX2 PMID: 28933666
- Novel human mutation and CRISPR/Cas genome-edited mice reveal the importance of C-terminal domain of MSX1 in tooth and palate development. PMID: 27917906
- Hypomethylation of CpG sites within the MSX1 gene is associated with resistant high-grade serous ovarian cancer at presentation and identifies expression of MSX1 as conferring platinum drug sensitivity. PMID: 26763252
- MSX1 homeobox protein accumulation is associated with the secretory phase in endometrium of fertile couples, and is widely disrupted in infertile patients. It is the first study to examine MSX1 protein localization in the human endometrium, and supported by genetic findings in mice, suggests that genes regulated by MSX1 are linked to the loss of epithelial cell polarity required for uterine receptivity during implantation PMID: 27312535
- a strong correlation between observed phenotypes and the location in the MSX1 protein structure of the disease causing mutations (review) PMID: 27381090
- this study shows that MSX1 is an important component of RLR-mediated signaling and reveal mechanisms on innate immune responses against RNA viruses PMID: 27194789
- MSX1 and DCLK1 might be used in colorectal cancer detection or as target of cancer therapies. PMID: 27966796
- We found the c.*6C > T variation in the MSX1 gene. This variant in the 3' untranslated region is located 6 bp downstream of the stop codon (TAG) in exon 2. We revealed a statistically significant association between the MSX1 c.*6C > T variant and Nonsyndromic cleft lip/palate in Turkey ( p = 0.01). PMID: 27228008
- The results of this study suggest an association between CL/P susceptibility and SNP1, located near the MSX1 gene, in the Mexican population. PMID: 27729116
- Our study showed that TGFA/TGFB3/MSX1 gene polymorphisms were associated with congenital NSHI. The distribution of genotype frequencies and allele frequencies of TGFA rs3771494, TGFB3 rs3917201 and rs2268626, and MSX1 rs3821949 and rs62636562 were significantly different between the case and the control groups PMID: 27356075
- MSX1 was able to inhibit the Wnt/beta-catenin signaling pathway, and that the ability to regulate the Wnt/beta-catenin signaling pathway is critical for MSX1 to suppress glioblastoma cell migration and invasion. PMID: 26271668
- mutations in MSX1 gene might play an important role in hypodontia cases involving pre-molars and is a risk factor for this ethnic population mainly of Arabs and is first report linking these mutations with tooth agenesis. PMID: 27365112
- Statistically significant relations were found between detected 7 variations in MSX1gene and tooth size and were detected in which 5 of them are novel and one of them lead to amino acid change. PMID: 28040065
- identification and characterization of a novel intronic mutation in the MSX1 gene in a large Chinese pedigree, adding to the small repertoire of MSX1 mutations associated with autosomal dominant tooth agenesis. PMID: 27485761
- study reports 2 novel MSX1 mutations (c.739C>T; p.Pro247Ser and c.607G>A; p.Ala203Thr) in 2 Thai families; one is associated with preaxial polydactyly of the left hand, bilateral cleft lip and palate, hypodontia, microdontia and dens invaginatus; the other is associated with unilateral cleft lip and palate, microdontia and hypodontia PMID: 26463473
- SNPs in the miRNA-binding sites might play important role in development of NSOCs. if confirmed, polymorphisms may be considered as additional markers for evaluation of infants' risk of NSOCs. PMID: 24603642
- The SNPs rs3821949 and rs12532 in the MSX1 gene were associated with congenital heart diseases in Chinese Han populations. PMID: 26556783
- The sequence dependence of local conformation of DNA enables MSX1 glutamine50>lysine to make hydrogen bond with its target nucleotide(s) of DNA. PMID: 25484111
- a Japanese family with nonsyndromic tooth agenesis caused by a novel nucleotide substitution in the intronic region between exons 1 and 2 of the MSX1 gene, is reported. PMID: 26030286
- TBP attenuates Msx1-mediated glycoprotein hormone alpha transcriptional repression. PMID: 26505791
- From a genetically diverse etiology MSX 1 799 G >T gene variant may be a good screening marker for NSCL/P in Raichur patients PMID: 24748298
- Results were suggestive of a positive association between MSX1 rs11726039 and non-syndromic cleft lip with or without cleft palate in the South Indian population. PMID: 25953455
- The present study provides no evidence that MSX1 polymorphisms (rs3775261, rs1042484, rs12532, rs6446693, rs4464513 and rs1907998) play a major role in non-syndromic cleft lip and/or palate PMID: 23130753
- Methylation changes were enriched in MSX1, CCND2, and DAXX at specific loci within the hippocampus of patients with schizophrenia and bipolar disorder. PMID: 25738424
- A comprehensive meta-analysis of 4 case-control studies was conducted to explore the association between polymorphisms of Msh homeobox 1 (MSX1) and transforming growth factor-beta1 (TGF-beta1) genes and hypodontia. PMID: 25501212
- a non-stop mutation in MSX1 is responsible for oligodontia PMID: 24914010
- MSX1 homeodomain mutations are associated with tooth agenesis. PMID: 25101640
- Probably other genes can determine phenotypical patterns of dental agenesis in the families studied, different than the ones described in the mutations of MSX1 PMID: 24316698
- novel nonsense mutation (c.416G>A) in exon 1 of MSX1 from family with oligodontia. produced termination codon in 1st exon and gene product (W139X) truncated at C terminus; entire homeodomain/MH4 absent. W139X MSX1 responsible for tooth agenesis. PMID: 24329876
- the CA repeat polymorphism of the MSX1 gene may play a role in risk of Nonsyndromic oral clefts in populations from Southern Brazil PMID: 23903689
- Replication of a mutation previously implicated in other populations suggests a role for the MSX1 A34G variant in the development of CL(P). PMID: 21740177
- Significant association was demonstrated between genotypic distribution of SNPs in the MSX1 and PAX9 genes and tooth agenesis type (TAT) in Korean patients with nonsyndromic cleft lip and palate. PMID: 23718693
- Combined reduction of MSX1 and PAX9 gene dosages increased the risk for oligodontia in Mexican families. PMID: 24222224
- involvement of PAX9, EDA, SPRY2, SPRY4, and WNT10A as risk factors for MLIA. uncovered 3 strong synergistic interactions between MLIA liability and MSX1-TGFA, AXIN2-TGFA, and SPRY2-SPRY4 gene pairs. 1st evidence of sprouty genes in MLIA susceptibility. PMID: 24554542
- Findings suggest that identified polymorphisms (rs34165410 and rs34341187) may be responsible for the oligodontia phenotype in this Chinese family PMID: 23731659
- Variations in IRF6, MSX1 and PAX9, as well as genegene interactions, may be associated with nonsyndromic cleft lip with or without palate. PMID: 23921572
- Polymorphism in the MSX1 gene is associated with tooth agenesis. PMID: 24103583
- Between MSX1 rs3821949 and nonsyndromic cleft lip with or without cleft palate is positively associated in the Korean population. PMID: 23580168
- In Msx1;Dlx5;Dlx6 triple mutant mice (TKO), beside the expected ectrodactyly, we also observe the hallmark morphological anomalies of Msx1;Msx2 double mutants suggesting an epistatic role of Dlx5 and Dlx6 over Msx2. PMID: 23382810
- The *6C>T polymorphism, when homozygous, may contribute to agenesis of upper lateral incisors. PMID: 22591773
- Findings suggest that the nonsense mutation in MSX1 might have resulted in rapid degradation of the mutated transcript and caused the phenotype of tooth agenesis with cleft lip in the Chinese family. PMID: 22813217
- PAX9 and MSX1 gene mutation can cause different phenotypes of tooth agenesis. PMID: 20602873
- The novel c.T671C mutation might be the etiological variant of the MSX1 gene responsible for the lack of permanent teeth in the tested family. PMID: 22297032
- The results showed positive correlation between MSX1 (799 G>T) gene variant and NSCLP patients. MSX1 (799 G>T) gene variants may be a good screening marker for NSCLP. PMID: 21972896
- The negative control of beta-catenin/DKK1 feedback loop by MSX1 may potentially contribute to excessive stabilization of beta-catenin. PMID: 22455953
- In sequencing the MSX1 coding regions in 124 patients with oral cleft, five variants were found, including three known variants (A34G, G110G and P147Q) and two novel variants (M37L and G267A). PMID: 21866112
- No significant association was found between NSOC and rs3821949 or rs12532 in MSX1 gene, whereas an association was observed between the P147Q variant and cleft lip with cleft palate in the case-control analysis. PMID: 21689018
顯示更多
收起更多
-
相關疾病:Tooth agenesis, selective, 1 (STHAG1); Ectodermal dysplasia 3, Witkop type (ECTD3); Non-syndromic orofacial cleft 5 (OFC5)
-
亞細胞定位:Nucleus.
-
蛋白家族:Msh homeobox family
-
組織特異性:Expressed in the developing nail bed mesenchyme.
-
數據庫鏈接:
Most popular with customers
-
-
YWHAB Recombinant Monoclonal Antibody
Applications: ELISA, WB, IHC, IF, FC
Species Reactivity: Human, Mouse, Rat
-
Phospho-YAP1 (S127) Recombinant Monoclonal Antibody
Applications: ELISA, WB, IHC
Species Reactivity: Human
-
-
-
-
-















