MPO Antibody
-
中文名稱:MPO兔多克隆抗體
-
貨號:CSB-PA06899A0Rb
-
規格:¥440
-
圖片:
-
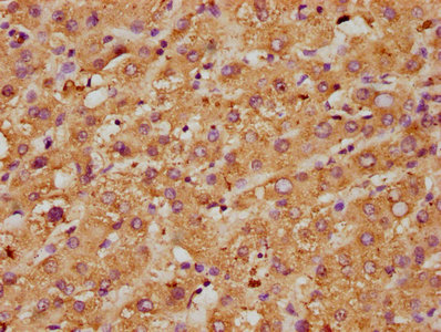
IHC image of CSB-PA06899A0Rb diluted at 1:600 and staining in paraffin-embedded human liver tissue performed on a Leica BondTM system. After dewaxing and hydration, antigen retrieval was mediated by high pressure in a citrate buffer (pH 6.0). Section was blocked with 10% normal goat serum 30min at RT. Then primary antibody (1% BSA) was incubated at 4°C overnight. The primary is detected by a biotinylated secondary antibody and visualized using an HRP conjugated SP system.
-
Immunofluorescent analysis of Hela cells using CSB-PA06899A0Rb at dilution of 1:100 and Alexa Fluor 488-congugated AffiniPure Goat Anti-Rabbit IgG(H+L)
-
-
其他:
產品詳情
-
產品名稱:Rabbit anti-Homo sapiens (Human) MPO Polyclonal antibody
-
Uniprot No.:
-
基因名:
-
別名:84 kDa myeloperoxidase antibody; 89 kDa myeloperoxidase antibody; EC 1.11.1.7 antibody; EC1.11.2.2 antibody; fj80f04 antibody; MPO antibody; mpx antibody; myeloid-specific peroxidase antibody; Myeloperoxidase antibody; Myeloperoxidase heavy chain antibody; Myeloperoxidase light chain antibody; PERM_HUMAN antibody; wu:fj80f04 antibody
-
宿主:Rabbit
-
反應種屬:Human
-
免疫原:Recombinant Human Myeloperoxidase protein (165-278AA)
-
免疫原種屬:Homo sapiens (Human)
-
標記方式:Non-conjugated
本頁面中的產品,MPO Antibody (CSB-PA06899A0Rb),的標記方式是Non-conjugated。對于MPO Antibody,我們還提供其他標記。見下表:
-
克隆類型:Polyclonal
-
抗體亞型:IgG
-
純化方式:>95%, Protein G purified
-
濃度:It differs from different batches. Please contact us to confirm it.
-
保存緩沖液:Preservative: 0.03% Proclin 300
Constituents: 50% Glycerol, 0.01M PBS, PH 7.4 -
產品提供形式:Liquid
-
應用范圍:ELISA, IHC, IF
-
推薦稀釋比:
Application Recommended Dilution IHC 1:500-1:1000 IF 1:50-1:200 -
Protocols:
-
儲存條件:Upon receipt, store at -20°C or -80°C. Avoid repeated freeze.
-
貨期:Basically, we can dispatch the products out in 1-3 working days after receiving your orders. Delivery time maybe differs from different purchasing way or location, please kindly consult your local distributors for specific delivery time.
-
用途:For Research Use Only. Not for use in diagnostic or therapeutic procedures.
相關產品
靶點詳情
-
功能:Part of the host defense system of polymorphonuclear leukocytes. It is responsible for microbicidal activity against a wide range of organisms. In the stimulated PMN, MPO catalyzes the production of hypohalous acids, primarily hypochlorous acid in physiologic situations, and other toxic intermediates that greatly enhance PMN microbicidal activity.
-
基因功能參考文獻:
- findings indicate that cyanide is a substrate for MPO and suggest an additional pathway for in vivo cyanate formation and protein carbamylation that involves MPO either directly or via its reaction products hypochlorous acid or chloramines. They also suggest that chronic cyanide exposure could promote the accumulation of carbamylated proteins in atherosclerotic plaques. PMID: 29496995
- These results indicate significant increases of MPO-immunoreactive cells in brain regions affected by neurodegeneration in Parkinson's disease and Alzheimer's Disease. PMID: 28466093
- Evidence has been presented for FN modification by inflammatory oxidants, and particularly myeloperoxidase (MPO)-derived species including hypochlorous acid (HOCl). Studies using primary human coronary artery smooth muscle cells show that exposure to HOCl-modified FN, results in decreased adherence, increased proliferation and altered expression of genes involved in extracellular matrix synthesis and remodelling. PMID: 30237127
- MPO -463G > A was not associated with chronic kidney disease (CKD) susceptibility in recessive model and homozygote comparison. Owing to insufficient data, the association between MPO -463G > A and CKD cannot be fully confirmed. [meta-analysis] PMID: 30278820
- data suggest that the decomposition of dimeric MPO into monomers can serve as a regulatory mechanism that controls MPO-dependent activation of neutrophils and reduces the proinflammatory effects of MPO. PMID: 29585927
- High MPO expression is associated with cardiometabolic risk factors, and distal sensorimotor polyneuropathy. PMID: 29577557
- Our results suggest that the presence of MPO polymorphism, -463 G>A in patients might offer them protection against cervical cancer. PMID: 29937309
- Results found that myeloperoxidase genes is up-regulated in both overweight and obese subjects and associated with BMI and markers of cardiovascular disease. PMID: 30056589
- Myeloperoxidase -463 G/A polymorphism is associated with lung cancer risk. PMID: 29970677
- MPO gene SNP (rs2107545) was associated with type 2 diabetes mellitus susceptibility in Chinese Han population. PMID: 29383971
- Myeloperoxidase serum level in stable coronary disease is predicitve of the risk of acute coronary syndrome. PMID: 29618370
- According to results, MPO G+ genotype and AG genotype were significantly increased in endometrial carcinoma patients as compared to controls. PMID: 29631687
- The level of myeloperoxidase in plasma of patients with acute myocardial infarction depends on the functional state of neutrophils. PMID: 29975476
- Glycosylation critically determines the enzymatic activity of MPO. Deglycosylation decreased oxidation activity of MPO and its binding with ceruloplasmin and decreased the microbicidal effect of MPO. Deglycosylated MPO presented less antigenicity to MPO-ANCA. PMID: 27643667
- Maternal myeloperoxidase activity was similar in both neural tube defect-affected pregnancies and healthy controls. PMID: 28397206
- Data show that pro-myeloperoxidase (pro-MPO) was more frequently detected in plasma from patients with myocardial infarction compared to plasma from control donors. PMID: 29590135
- Increased MPO indexed to HDL particle concentration (MPO/HDLp) at baseline is associated with increased risk of incident cardiovascular disease events. PMID: 28645072
- Evidence was sufficient to show the association between MPO-463G > A polymorphism and cancer risk.[meta-analysis] PMID: 28764808
- Aberrant glycosylated MPO exposed neo-epitopes and was recognized by half of the patients with anti-GBM disease. Their antibodies possessed pathogenic characteristics and may be associated with kidney injury. PMID: 28187981
- Data suggest that increased serum anti-MPO antibody levels are associated with retinal photoreceptor ellipsoid zone disruption and decreased visual acuity in diabetic retinopathy in patients with type 2 diabetes. This study was conducted in India. PMID: 28279572
- MPO concentrations showed positive correlations with sCD40L, ADMA, and sICAM-1 levels in overweight patients with newly diagnosed untreated hyperlipidaemia. PMID: 28602123
- This study revealed that epistatic interaction among the ALOX5, ALOX5AP and MPO genes played a significant role in vulnerability to ischemic stroke. PMID: 29041000
- Osteopontin, neopterin, and myeloperoxidase were independently associated with the risk of recurrent stroke and improved risk classification when added to a clinical risk algorithm PMID: 29114094
- peroxidase enzymes, like MPO and EPO, may play a fundamental role in inhibiting RANKL-induced osteoclast differentiation at inflammatory sites of bone fracture and injury. PMID: 27836774
- MPO complexed with HLA class II molecules is involved in the pathogenesis of MPA as a target for MPO-ANCA. PMID: 28575531
- PIC1 inhibits the peroxidase activity of myeloperoxidase in Cystic fibrosis sputum likely via an antioxidant mechanism. PMID: 28135312
- In absence of CALR, immature MPO protein precursors are degraded in the proteasome. PMID: 27013444
- Meta-analysis suggested an association between the MPO 463G/A polymorphism and the risk of coronary artery disease, but there is no significant association between the MPO 129G/A gene polymorphism and coronary artery disease risk. PMID: 28682877
- Both MPO and EPO are causatively involved in breast cancer progression and identified as potential therapeutic targets whereby specific novel inhibitors may reduce tumor growth and limit the occurrence of metastasis. PMID: 28260049
- Although IgA anti-MPO antibodies are detectable in some patients with eosinophilic granulomatosis with polyangiitis and may be detectable more frequently during active disease, their presence seems unlikely to provide information beyond what is obtained from conventional IgG anti-MPO. PMID: 28281453
- Clinical manifestations varied ANCA-associated vasculitis categories, and neither MPO-ANCA nor PR3-ANCA significantly affected relapse of AAV. PMID: 28339364
- MPO levels were higher in those patients infected with H. pylori irrespective of the virulence factors than those uninfected patients. PMID: 27048452
- The present study determined that ARE, CLP, CAT, and MPO levels are different between the pediatric patients with sepsis and healthy controls. ARE level can be a potent biomarker for sepsis in critical patients in intensive care units. PMID: 28167245
- Studies of the mutants C158A, C319A, and C158A/C319A demonstrated significant differences from the wild-type protein, including diminished enzymatic activity and prevention of export to the Golgi due to prolonged association with the chaperone calnexin. These structural and functional findings provide novel insights into MPO biosynthesis and processing. PMID: 28348079
- Consistent with these in vitro data, in diabetic rat aortas, both MPO expresion and NADPH oxidase activity were increased while the endothelial function was simultaneously impaired. The results suggested that vascular-bound MPO could amplify high glucose-induced vascular injury in diabetes. MPO-NADPH oxidase-HOCl may represent an important pathogenic pathway in diabetic vascular diseases. PMID: 28131839
- Patients with active disease demonstrated hypomethylation of myeloperoxidase and proteinase 3 and increased expression of the autoantigens; in remission, DNA methylation generally increased PMID: 27821628
- Myeloperoxidase-oxidized high density lipoprotein impairs atherosclerotic plaque stability by inhibiting smooth muscle cell migration. PMID: 28069011
- The roles of myeloperoxidase in coronary artery disease [review] PMID: 27884085
- Study shows that MPO and PRTN3 in neutrophils of Anti-neutrophil cytoplasmic autoantibody (ANCA)-associated vasculitis (AAV) patients with active disease have a distinct pattern of histone modifications, which implicates epigenetic mechanisms in regulating expression of autoantigen genes and suggests that the epigenome may be involved in AAV pathogenesis. PMID: 27752292
- Data suggest that the system of MPO/hydrogen peroxide/chloride ions exhibits activity able to oxidize dibromoacetonitrile, a by-product of water treatment/disinfection and potential carcinogen, to cyanide, a known poison. PMID: 25614581
- Compared with the commercial human MPO ELISA assay, the MPO-ISA can be used to detect the natural human MPO protein, but not recombinant MPO polypeptides. The generated mAbs and MPO-ISA test may be useful tools to assess risk for inflammation and cardiac events PMID: 26978734
- The MPO gene -463G/A polymorphism is associated with Coronary Artery Disease risk, especially within the Chinese population. PMID: 28328864
- Study demonstrated that the MPO -463G>A SNP may protect from cervical squamous cell carcinoma in women from Polish Caucasian populations. PMID: 27197583
- The collected data showed a correlation between the occurrence of superimposed thrombosis in respiratory infection patients, and the intensity of the inflammatory process, reflected by the increased MPO activity, and the dynamics of LpPLA2 and VEGF. PMID: 27928450
- results suggest that the acute inflammatory response induced by thermal injury involves activation of neutrophils and is accompanied by MPO release into the plasma. MPO-mediated modification of serum albumin induces its capacity to prime neutrophils and thus to enhance further inflammatory reaction. PMID: 27797335
- The difference in MPO between women with abnormal and normal menstrual cycles and the upregulation of MPO before ovulation suggest that neutrophils and MPO are closely related to ovulation. PMID: 28013526
- The results suggest that G allele of Myeloperoxidase -463G>A polymorphism is a potential genetic marker for Kawasaki disease risk in Taiwanese children. PMID: 26066543
- Genetic polymorphisms in eNOS, catalase and myeloperoxidase and their significance in a cohort of Turkish prostate cancer patients. PMID: 27706591
- ANCA affinity was associated with the in vivo formation of neutrophil extracellular traps, which might be involved in the pathophysiology of patients with MPO-ANCA-associated microscopic polyangiitis. PMID: 26833773
- Study demonstrated the possibility of biodegradation of fullerene molecule using the human neutrophil enzyme myeloperoxidase, which leads to the formation of non-aromatic compounds and to the loss of the fullerene molecule topology PMID: 28058679
顯示更多
收起更多
-
相關疾病:Myeloperoxidase deficiency (MPOD)
-
亞細胞定位:Lysosome.
-
蛋白家族:Peroxidase family, XPO subfamily
-
數據庫鏈接:
Most popular with customers
-
-
YWHAB Recombinant Monoclonal Antibody
Applications: ELISA, WB, IHC, IF, FC
Species Reactivity: Human, Mouse, Rat
-
Phospho-YAP1 (S127) Recombinant Monoclonal Antibody
Applications: ELISA, WB, IHC
Species Reactivity: Human
-
-
-
-
-















