MIP Antibody
-
中文名稱:MIP兔多克隆抗體
-
貨號:CSB-PA167583
-
規格:¥1100
-
圖片:
-
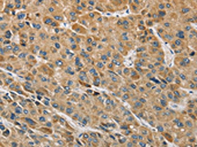
The image on the left is immunohistochemistry of paraffin-embedded Human liver cancer tissue using CSB-PA167583(MIP Antibody) at dilution 1/60, on the right is treated with fusion protein. (Original magnification: ×200)
-
The image on the left is immunohistochemistry of paraffin-embedded Human thyroid cancer tissue using CSB-PA167583(MIP Antibody) at dilution 1/60, on the right is treated with fusion protein. (Original magnification: ×200)
-
-
其他:
產品詳情
-
Uniprot No.:
-
基因名:MIP
-
別名:MIP; AQP0; Lens fiber major intrinsic protein; Aquaporin-0; MIP26; MP26
-
宿主:Rabbit
-
反應種屬:Human
-
免疫原:Fusion protein of Human MIP
-
免疫原種屬:Homo sapiens (Human)
-
標記方式:Non-conjugated
-
抗體亞型:IgG
-
純化方式:Antigen affinity purification
-
濃度:It differs from different batches. Please contact us to confirm it.
-
保存緩沖液:-20°C, pH7.4 PBS, 0.05% NaN3, 40% Glycerol
-
產品提供形式:Liquid
-
應用范圍:ELISA,IHC
-
推薦稀釋比:
Application Recommended Dilution ELISA 1:1000-1:5000 IHC 1:50-1:200 -
Protocols:
-
儲存條件:Upon receipt, store at -20°C or -80°C. Avoid repeated freeze.
-
貨期:Basically, we can dispatch the products out in 1-3 working days after receiving your orders. Delivery time maybe differs from different purchasing way or location, please kindly consult your local distributors for specific delivery time.
-
用途:For Research Use Only. Not for use in diagnostic or therapeutic procedures.
相關產品
靶點詳情
-
功能:Water channel. Channel activity is down-regulated by CALM when cytoplasmic Ca(2+) levels are increased. May be responsible for regulating the osmolarity of the lens. Interactions between homotetramers from adjoining membranes may stabilize cell junctions in the eye lens core. Plays a role in cell-to-cell adhesion and facilitates gap junction coupling.
-
基因功能參考文獻:
- Study presented genetic and functional evidence for a novel major intrinsic protein mutation of G212R, which leads to congenital progressive cortical punctate with or without Y suture. PMID: 28059152
- In summary, whole-exome sequencing identifies a novel heterozygous missense variant (c.402G > T) in rarely reported cataract gene of MIP in an unconsanguineous marriage of three-generation Chinese family with congenital cataracts. PMID: 28836894
- The data evidence a broad lipidation profile of AQP0 that is both species and site independent, suggesting a chemical-based ester aminolysis mechanism to explain such modifications. PMID: 27378310
- A novel MIP frame-shift mutation in familial congenital nuclear cataract patient PMID: 27456987
- defects in AQP-0 permeability may be a cause for presbyopia. PMID: 26615967
- the p.D150H mutation is a novel disease-causing mutation in MIP, which leads to congenital progressive cortical punctate cataract by impairing the trafficking mechanism of AQP0. PMID: 25946197
- Authors identified a novel nonsense mutation in MIP (c.657 C>G; p.Y219*) (major intrinsic protein gene) that segregates with congenital posterior polar cataract in a Chinese family. PMID: 25803033
- Functional evidence linking the new MIP mutation of G215D to autosomal dominant congenital cataracts. PMID: 25033405
- A novel donor splice-site mutation (c.606+1G>A) in the MIP gene causes congenital cataract in a Chinese family. PMID: 24319327
- the first nonsense mutation of MIP identified in autosomal dominant congenital cataracts PMID: 24405844
- Mutation of this conserved glycine residue leads to improper trafficking of AQP0-G165D and loss of water channel function. PMID: 23116563
- Aquaporin 0 R233K mutation did not affect the expression, location and trafficking of the protein but did influence the interaction between AQP0 and CaM. PMID: 22662182
- Direct tissue analysis led to the detection of aging-related AQP0 modifications including carbamylation, acetylation, and oleoylation. PMID: 22036630
- Major intrinsic protein (MIP) polymorphism is associated with age-related cataract in Chinese. PMID: 21921980
- Cerulean cataract has been mapped to chromosome 12q13 and associated with a novel initiation codon mutation in MIP. PMID: 21850180
- A novel mutation in the MIP gene is associated with autosomal dominant congenital nuclear cataract in a Chinese family. PMID: 21647270
- analysis of a novel disease-causing mutation p.R187C in MIP in a Chinese cataract family PMID: 21245956
- AQP-0 gene expression was 3.4-fold higher in rat retinas. AQP-0 was predominantly expressed in the bipolar cells of the non-diabetic rat retinas, whereas it was also expressed in the retinal nerve fibers of diabetic rat retinas PMID: 21232536
- This is the first report of activation of a cryptic splice site in the 3' UTR in the human MIP gene. PMID: 21139677
- This study has identified a novel MIP mutation, p.V107I in a Chinese family with congenital cataracts. PMID: 20361015
- In human, multiple aquaporins are expressed in developing teeth and in selected orofacial tissues. PMID: 12522663
- Analysis of C-terminal peptides of AQP0 from normal lenses of donors aged 34 to 38 reveals a remarkably similar pattern and distribution of truncation products, suggesting specific temporal mechanisms for post-translational modification of AQP0. PMID: 15274640
- Expression of hMafF or MIP alone did not alter basal reporter transcription activity, whereas co-expression of hMafF and MIP activated transcription efficiently. PMID: 16549056
- We identified a novel single base pair deletion in the MIP gene and conclude that it is a pathogenic sequence alteration. PMID: 16564824
- First dominant cataract mutation in MIP that is located outside the phylogenetically conserved transmembrane domain. PMID: 17893667
- The structure of aquaporin-0 (AQP0) has recently been determined by electron crystallography of two-dimensional crystals and by X-ray crystallography of three-dimensional crystals--REVIEW PMID: 17932686
- Arginine in this domain plays a crucial role in the function of the carboxyl-end of this protein and provides a helpful clue to further studies on completely understanding the physiological significance of MIP and its role in the formation of cataract. PMID: 17960133
- presence of measurable interactions between MIP26 and all crystallins, with the extent of interactions decreasing from alphaA- and alphaB-crystallin to betaB2- and gammaC-crystallin. PMID: 18004741
- To map the disease locus for a congenital cataract family, and detect the disease-causing gene. PMID: 18247294
- deletion mutation in AQP0 resulted in the localization of the mutant protein in the ER without trafficking to the plasma membrane, and cytotoxicity due to the accumulation of the mutant protein PMID: 18501347
- This is the first report on an acceptor splice-site mutation in human genes associated with dominant congenital cataract. PMID: 19137077
- Only in the presence of both MIP and hMafF could the nUS2-pLacZi reporter in yeast genome be activated. PMID: 19723544
- this is the first report validating the possible structural role of intact AQP0 as a cell-to-cell adhesion protein, using an in vitro expression system. PMID: 19857466
顯示更多
收起更多
-
相關疾病:Cataract 15, multiple types (CTRCT15)
-
亞細胞定位:Cell membrane; Multi-pass membrane protein. Cell junction, gap junction.
-
蛋白家族:MIP/aquaporin (TC 1.A.8) family
-
組織特異性:Expressed in the cortex and nucleus of the retina lens (at protein level). Major component of lens fiber gap junctions.
-
數據庫鏈接:
Most popular with customers
-
-
YWHAB Recombinant Monoclonal Antibody
Applications: ELISA, WB, IHC, IF, FC
Species Reactivity: Human, Mouse, Rat
-
Phospho-YAP1 (S127) Recombinant Monoclonal Antibody
Applications: ELISA, WB, IHC
Species Reactivity: Human
-
-
-
-
-















