MIA Antibody
-
中文名稱:MIA兔多克隆抗體
-
貨號:CSB-PA613694LA01HU
-
規格:¥440
-
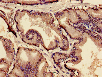
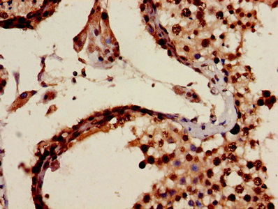
圖片:
-
其他:
產品詳情
-
產品名稱:Rabbit anti-Homo sapiens (Human) MIA Polyclonal antibody
-
Uniprot No.:
-
基因名:
-
別名:Cartilage derived retinoic acid sensitive protein antibody; CD RAP antibody; CDRAP antibody; Melanoma derived growth regulatory protein precursor antibody; Melanoma inhibitory activity protein antibody; Melanoma-derived growth regulatory protein antibody; Mia antibody; MIA_HUMAN antibody
-
宿主:Rabbit
-
反應種屬:Human
-
免疫原:Recombinant Human Melanoma-derived growth regulatory protein (87-124AA)
-
免疫原種屬:Homo sapiens (Human)
-
標記方式:Non-conjugated
本頁面中的產品,MIA Antibody (CSB-PA613694LA01HU),的標記方式是Non-conjugated。對于MIA Antibody,我們還提供其他標記。見下表:
-
克隆類型:Polyclonal
-
抗體亞型:IgG
-
純化方式:>95%, Protein G purified
-
濃度:It differs from different batches. Please contact us to confirm it.
-
保存緩沖液:Preservative: 0.03% Proclin 300
Constituents: 50% Glycerol, 0.01M PBS, pH 7.4 -
產品提供形式:Liquid
-
應用范圍:ELISA, IHC
-
推薦稀釋比:
Application Recommended Dilution IHC 1:20-1:200 -
Protocols:
-
儲存條件:Upon receipt, store at -20°C or -80°C. Avoid repeated freeze.
-
貨期:Basically, we can dispatch the products out in 1-3 working days after receiving your orders. Delivery time maybe differs from different purchasing way or location, please kindly consult your local distributors for specific delivery time.
-
用途:For Research Use Only. Not for use in diagnostic or therapeutic procedures.
相關產品
靶點詳情
-
功能:Elicits growth inhibition on melanoma cells in vitro as well as some other neuroectodermal tumors, including gliomas.
-
基因功能參考文獻:
- the molecular basis of the interaction of MIA with the Hep II domain of fibronectin based on nuclear magnetic resonance spectroscopic binding assays. PMID: 28565914
- The frequency of MIA gene family expression was higher among squamous cell carcinomas than among other tumor types subjected to screening. MIA gene family staining was observed frequently in esophageal and lung cancers associated with nodal and/or distant metastasis. In cervical cancers, MIA and TANGO immunostaining also correlated with tumor progression and metastasis. PMID: 27145272
- Our results suggest that MIA-STOX2 signaling may be a useful diagnostic and therapeutic target in oral squamous cell carcinoma PMID: 27050375
- MIA had a slightly superior sensitivity to detect progressive disease compared to S100 and seems to be more useful in monitoring of patients with metastatic melanoma receiving immunotherapy PMID: 28870930
- real-time RT-PCR assays showed that expressions of MIA and MIA-RAB4B located 35 kb upstream of the deletion, were up-regulated in the polyps compared to the matched mucosa of the proband. MIA-RAB4B, the read-through long non-coding RNA (lncRNA), RAB4B, PIM2 and TAOK1 share common binding site of a microRNA, miR-24, in their 3'UTRs PMID: 28306719
- The effects of MIA/CD-RAP on transcriptional regulation in chondrocytes, through the regulation of p54(nrb) via YBX1 contributes to the understanding of chondrogenesis. PMID: 24349210
- data provide evidence for a critical role of SOX10 in melanoma cell invasion through the regulation of MIA and highlight its role as a therapeutic target in melanoma PMID: 24608986
- Focus on the quantitative analysis of the MIA protein as a prognostic tool because it has proven to be a useful serum marker for documenting disease progression of malignant melanoma. Review. PMID: 24372647
- Functional promoter analysis identified the transcription factor YBX1 as the mediator of MIA activation of p54(nrb) transcription. PMID: 23672612
- MIA protein is present in non-segmental vitiligo skin and may cause the detachment of melanocytes; its target is integrin alpha5beta1, which determines the breaking and/or weakening of connections among melanocytes and basal membrane PMID: 23664187
- Results show that S-100B, MIA and LDH levels were significantly higher in patients with advanced melanoma than in disease-free patients or healthy controls. PMID: 21858537
- assessed the utility of melanoma inhibitory activity (MIA) serum marker in the follow up and primary diagnosis of stage III melanoma patients PMID: 21658116
- Further diagnostics should be initiated in uveal melanoma patients with serum MIA above 8.3ng/ml. PMID: 21540751
- Data suggest that plasma markers: CEACAM, ICAM-1, osteopontin, MIA, TIMP-1 and S100B particularly when assessed in combination, can be used to monitor patients for disease recurrenc. PMID: 21487066
- The cell-specific production rate of MIA was quantitatively proportional to the aggrecan gene expression level in the early and middle phase of cartilage chondrocyte differentiation. PMID: 21277254
- MIA/CD-RAP stabilizes cartilage differentiation and inhibits differentiation into bone potentially by regulating signaling processes during differentiation. PMID: 20164682
- pancreatic cancer patients with high intratumoral expression are antibody-negative and have shorter survival PMID: 20514540
- A fluorescence polarization biological assay was developed using MIA protein-binding compounds for studies of the binding properties of this protein. PMID: 19852767
- The assignments, solution structure, & dynamics of human MIA were determined by heteronuclear NMR methods. The structure consists of an SH3-like subdomain with N- and C-terminal extensions of about 20 amino acids each that form a novel fold. PMID: 11991352
- Melanoma-inhibiting activity (MIA/CD-RAP) is expressed in a variety of malignant tumors of mainly neuroectodermal origin. PMID: 12014625
- expression pattern of a novel splice product MIA (splice) of malignant melanoma-derived growth-inhibiting activity (MIAY CD-RAP). PMID: 12230496
- Stable antisense-HMG1 expression in melanoma cells led to the reduction of melanoma inhibitory activity (MIA) promoter activity and protein expression. PMID: 12665595
- increased MIA production may, in turn, increase the invasive properties of the cells by modulating the attachment of human uveal melanoma cells to the extracellular matrix PMID: 15057037
- MIA may promote the detachment of radial and vertical growth phase melanomas. PMID: 15201995
- The MIA protein enhances the migration of melanocytes and promotes melanoma progression. PMID: 15208686
- MIA may contribute to immunosuppression frequently seen in malignant melanomas by inhibiting cellular antitumor immune reactions. PMID: 15386421
- MIA in homogenates of surgical specimen directly relate to a more benign clinical prognosis in patients with high-grade glioma PMID: 15547763
- There is a correlation between MIA expression and pigmentation and morphology of melanocytic cells. PMID: 15760338
- Increased levels of MIA is associated with gastric cancer PMID: 16331256
- When patients progressed, level of MIA increased significantly. PMID: 17348447
- A candidate autoantigen in rheumatoid arthritis found in synovial fluid cells. PMID: 17599744
- An antigen in melanoma, elevated in 22 per cent of patients, predicting recurrence. PMID: 17661202
- MIA serum level is the ideal test for screening the skin melanoma spread to sentinel lymph nodes. PMID: 18477894
- MIA expression is enhanced by the interaction of intracellular HMGB1 and NFkBp65 and MIA is closely involved in tumor progression and nodal metastasis by the increments of VEGF-C and VEGF-D in oral squamous cell carcinomas. PMID: 18616526
- MIA protein, binding to integrins and thus promoting detachment of cells from extracellular matrix structures, is internalized into the cell together with these cell adhesion receptors at the cell rear. PMID: 19521988
顯示更多
收起更多
-
亞細胞定位:Secreted.
-
蛋白家族:MIA/OTOR family
-
組織特異性:All malignant melanoma cell lines tested and infrequently in glioma cell lines.
-
數據庫鏈接:
Most popular with customers
-
-
Phospho-YAP1 (S127) Recombinant Monoclonal Antibody
Applications: ELISA, WB, IHC
Species Reactivity: Human
-
-
-
-
-
-















