MC3R Antibody
-
中文名稱:MC3R兔多克隆抗體
-
貨號:CSB-PA013560LA01HU
-
規格:¥440
-
圖片:
-
IHC image of CSB-PA013560LA01HU diluted at 1:200 and staining in paraffin-embedded human placenta tissue performed on a Leica BondTM system. After dewaxing and hydration, antigen retrieval was mediated by high pressure in a citrate buffer (pH 6.0). Section was blocked with 10% normal goat serum 30min at RT. Then primary antibody (1% BSA) was incubated at 4°C overnight. The primary is detected by a biotinylated secondary antibody and visualized using an HRP conjugated SP system.
-
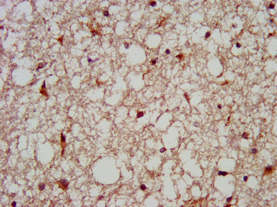
IHC image of CSB-PA013560LA01HU diluted at 1:200 and staining in paraffin-embedded human brain tissue performed on a Leica BondTM system. After dewaxing and hydration, antigen retrieval was mediated by high pressure in a citrate buffer (pH 6.0). Section was blocked with 10% normal goat serum 30min at RT. Then primary antibody (1% BSA) was incubated at 4°C overnight. The primary is detected by a biotinylated secondary antibody and visualized using an HRP conjugated SP system.
-
Immunofluorescence staining of HepG2 cells with CSB-PA013560LA01HU at 1:66, counter-stained with DAPI. The cells were fixed in 4% formaldehyde, permeabilized using 0.2% Triton X-100 and blocked in 10% normal Goat Serum. The cells were then incubated with the antibody overnight at 4°C. The secondary antibody was Alexa Fluor 488-congugated AffiniPure Goat Anti-Rabbit IgG(H+L).
-
-
其他:
產品詳情
-
產品名稱:Rabbit anti-Homo sapiens (Human) MC3R Polyclonal antibody
-
Uniprot No.:
-
基因名:
-
別名:MC3R; Melanocortin receptor 3; MC3-R
-
宿主:Rabbit
-
反應種屬:Human
-
免疫原:Recombinant Human Melanocortin receptor 3 protein (38-74AA)
-
免疫原種屬:Homo sapiens (Human)
-
標記方式:Non-conjugated
本頁面中的產品,MC3R Antibody (CSB-PA013560LA01HU),的標記方式是Non-conjugated。對于MC3R Antibody,我們還提供其他標記。見下表:
-
克隆類型:Polyclonal
-
抗體亞型:IgG
-
純化方式:>95%, Protein G purified
-
濃度:It differs from different batches. Please contact us to confirm it.
-
保存緩沖液:Preservative: 0.03% Proclin 300
Constituents: 50% Glycerol, 0.01M PBS, pH 7.4 -
產品提供形式:Liquid
-
應用范圍:ELISA, IHC, IF
-
推薦稀釋比:
Application Recommended Dilution IHC 1:200-1:500 IF 1:50-1:200 -
Protocols:
-
儲存條件:Upon receipt, store at -20°C or -80°C. Avoid repeated freeze.
-
貨期:Basically, we can dispatch the products out in 1-3 working days after receiving your orders. Delivery time maybe differs from different purchasing way or location, please kindly consult your local distributors for specific delivery time.
-
用途:For Research Use Only. Not for use in diagnostic or therapeutic procedures.
相關產品
靶點詳情
-
功能:Receptor for MSH (alpha, beta and gamma) and ACTH. This receptor is mediated by G proteins which activate adenylate cyclase. Required for expression of anticipatory patterns of activity and wakefulness during periods of limited nutrient availability and for the normal regulation of circadian clock activity in the brain.
-
基因功能參考文獻:
- This article reviews the MC3R polymorphisms and mutations identified in humans, and the in vitro, murine, and human cohort studies examining their putative effects. Certain human MC3R mutations are associated with greater adiposity and hyperleptinemia. [review] PMID: 28363697
- Structural Insights into Selective Ligand-Receptor Interactions Leading to Receptor Inactivation Utilizing Selective Melanocortin 3 Receptor Antagonists. PMID: 28715181
- MC3R mutations are associated with Obesity. PMID: 27288827
- findings support the role of MC3R genetic variants in adiposity gain during early childhood. PMID: 26663875
- There is no evidence of any association between MC3R variations and obesity. PMID: 26782456
- Replacing murine Mc3r with and double-mutant (C17A+G241A) human MC3R showed greater weight and fat mass, increased energy intake and feeding efficiency. PMID: 26818770
- the DPLIY motif and helix 8 was important for MC3R activation and signal transduction. The data led to a better understanding of the structure-function relationship of MC3R. PMID: 26220347
- novel data about the structure-function relationship of MC3R, identifying residues important for receptor function; some studied mutations exhibited biased signaling, preferentially activating one intracellular signaling pathway. PMID: 25798062
- propose three potential human candidate genes for voluntary physical exercise levels (MC3R, CYP24A1, and GRM8). PMID: 24821406
- The cytoplasmic end of transmembrane domain 3 and the intracellular loop 2 were critical for MC3R function. PMID: 25228159
- MC3R polymorphism is marginally associated in the development of pulmonary tuberculosis in Korean population. PMID: 25064630
- MC3R is a 2-exon gene that requires a 5' UTR for translation, localization, and potential interaction with MRAP2 PMID: 25051171
- 3' RACE experiments using MC3R transcript indicated the 3' UTR terminates approximately 115-160 bases after the translational stop codon. PMID: 25450386
- This study focused on the search for the MC3R polymorphism in the Polish population. PMID: 24142065
- Overall, the total prevalence of rare MC3R variants was 1 % in Belgian obese children and adolescents compared to 1.02 % in lean controls. PMID: 23264184
- Suggest MC3R rs6127698 polymorphism is associated with pulmonary tuberculosis in a sample Iranian population. PMID: 23827504
- Data suggest that specific amino acid residues (M247, R252, H254, K256, R257, A259) in 3rd intracellular loop (ICL3) of MC3R are important for ligand binding/signal transduction; studies used mutant, recombinant MC3R expressed in HEK293T cell line. PMID: 23323615
- while MC3R mutations are unlikely to result in an autosomal dominant form of monogenic obesity given lack of strong cosegregation in family studies, the studies provided evidence that MC3R can be one of the genes which contributes to increased adiposity [review] PMID: 23280863
- results suggest MC3R rs6127698 has no direct role in tuberculosis susceptibility. The possibility remains that this polymorphism is linked to an adjacent functional genetic variant, acting as a surrogate marker for disease risk PMID: 23497691
- we provided detailed data of these novel human MC3R mutations leading to a better understanding of structure-function relationship of MC3R and the role of MC3R mutation in obesity PMID: 22884546
- Interaction of the melanocortin 3 receptor (MC3R) and the growth hormone secretagogue receptor (GHSR)-1a results in a modulation of function in both receptors. PMID: 22327910
- The polymorphism T6K is not located in the coding region of the human MC3R and has no influence on translation initiation which makes an impact on body weight unlikely. PMID: 22433616
- Carriers of the MC3R 6Lys-81Ile haplotype showed higher respiratory quotient and higher glucose oxidation compared with non-carriers after standardization for fat-free mass. PMID: 21983807
- Extracellular cysteine residue C305, C311 and C313 are crucial for receptor expression and the transmembrane cysteine residue, C115 and 162 are important for ligand binding and signaling. PMID: 22079958
- in the populations studied functionally significant MC3R variants are associated with obesity PMID: 21047972
- The study provided overall sufficient evidence to support that there is no major effect of genetic variants of MC3R and differential weight loss. PMID: 21695122
- We demonstrated that the MC3R polymorphisms have a protective effect on metabolic traits. PMID: 21920079
- Polymorphisms in MC3R promoter and CTSZ 3'UTR are associated with tuberculosis susceptibility. PMID: 21368909
- A role of the MC3R gene in the pathogenesis of obesity in a small subset of patients. PMID: 20539302
- While MC3R is an important regulator of energy homeostasis, mutations in the MC3R gene remain controversially associated with human obesity pathogenesis.[Review] PMID: 20882712
- data are consistent with the involvement of rs3746619 in weight regulation among obese individuals PMID: 20972733
- There is not sufficient evidence to support the contribution for common melanocortin-3 receptor variants in childhood obesity. However, our results are concordant for a role of melanocortin-3 receptor variants in some dimensions of eating behavior. PMID: 20144537
- A novel melanocortin 3 receptor gene (MC3R) mutation associated with severe obesity. PMID: 11889220
- An association between an insertion polymorphism was observed with fat mass, percent body fat, and total abdominal fat. PMID: 12142547
- variaton in a Maori kindred with obesity and early onset type 2 diabetes PMID: 12161058
- functional characterization of the I183N mutated MC3R compared with that of the wild-type MC3R after transfection in HEK293 cells PMID: 15276649
- MC3R mutation might be genetic factor that confers susceptibility to obesity, likely due to haploinsufficiency. We identify a residue that is critical for activation of G protein-coupled receptors. PMID: 15292330
- Single-nucleotide polymorphisms found in anorexia nervosa. PMID: 16314751
- Our results suggest that TM3 and TM6 are important for NDP-MSH binding, while D121 in TM2 and D332 in TM7 are crucial for receptor activity and signaling.and thus provide molecular determinants of hMC3R responsible for ligand binding and receptor signals PMID: 16430209
- in addition to its inverse agonistic activities, Agrp exhibits agonistic properties on the endocytosis pathway of melanocortin-3 and -4 receptors PMID: 17041250
- SNPs of MC3R may regulate substrate oxidation and first-phase insulin secretion. PMID: 17192297
- results suggest a gene-diet interaction between the MC3R C17A and G241A variants and a weight loss program for the ability to lose weight in childhood obesity PMID: 17413091
- Further structure-activity studies of lactam derivatives of MT-II and SHU-9119 were made at MC3R. PMID: 17482720
- MC3R mutations may not result in autosomal dominant forms of obesity but may contribute as a predisposing factor to childhood obesity. PMID: 17639020
- highly conserved N/DPxxY motif, was critical for multiple aspects of the MC3R function, including cell surface expression, ligand binding, and signaling. PMID: 17964765
- In the Maori kindred, the D20S32e polymorphism is significantly associated with insulin resistance but not with the metabolic syndrome. PMID: 18180070
- in humans, MC3R mutations may be a cause of a dominantly inherited form of obesity PMID: 18231126
- there is a link between MC3R and cell growth pathways that may involve the alteration of AKT signaling pathway PMID: 18291523
- unlikely that MC3R gene plays a major role in tuberculosis susceptibility in African populations PMID: 18420963
- acidic residues in transmembrane (TM) domains 1 and 3 are important for ligand binding whereas the acidic residues in TMs 2 and 7 are important for both ligand binding and signaling PMID: 18614155
顯示更多
收起更多
-
亞細胞定位:Cell membrane; Multi-pass membrane protein.
-
蛋白家族:G-protein coupled receptor 1 family
-
組織特異性:Brain, placental, and gut tissues.
-
數據庫鏈接:
Most popular with customers
-
-
YWHAB Recombinant Monoclonal Antibody
Applications: ELISA, WB, IHC, IF, FC
Species Reactivity: Human, Mouse, Rat
-
Phospho-YAP1 (S127) Recombinant Monoclonal Antibody
Applications: ELISA, WB, IHC
Species Reactivity: Human
-
-
-
-
-















