MARK2 Antibody
-
中文名稱:MARK2兔多克隆抗體
-
貨號:CSB-PA267095
-
規格:¥1100
-
圖片:
-
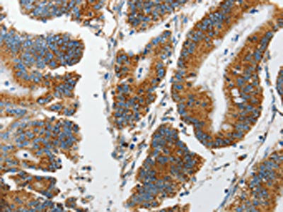
The image on the left is immunohistochemistry of paraffin-embedded Human colon cancer tissue using CSB-PA267095(MARK2 Antibody) at dilution 1/15, on the right is treated with synthetic peptide. (Original magnification: ×200)
-
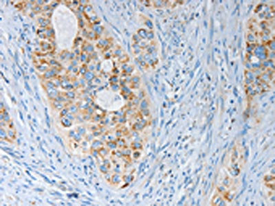
The image on the left is immunohistochemistry of paraffin-embedded Human cervical cancer tissue using CSB-PA267095(MARK2 Antibody) at dilution 1/15, on the right is treated with synthetic peptide. (Original magnification: ×200)
-
-
其他:
產品詳情
-
Uniprot No.:
-
基因名:
-
別名:ELKL motif kinase 1 antibody; ELKL motif kinase antibody; EMK-1 antibody; EMK1 antibody; MAP/microtubule affinity regulating kinase 2 antibody; MAP/microtubule affinity-regulating kinase 2 antibody; Mark2 antibody; MARK2_HUMAN antibody; MGC99619 antibody; PAR 1 antibody; Par 1b antibody; PAR1 homolog antibody; Par1b antibody; Ser/Thr protein kinase PAR 1B antibody; Serine/threonine protein kinase EMK antibody; Serine/threonine protein kinase MARK2 antibody; Serine/threonine-protein kinase MARK2 antibody
-
宿主:Rabbit
-
反應種屬:Human,Mouse,Rat
-
免疫原:Synthetic peptide of Human MARK2
-
免疫原種屬:Homo sapiens (Human)
-
標記方式:Non-conjugated
-
抗體亞型:IgG
-
純化方式:Antigen affinity purification
-
濃度:It differs from different batches. Please contact us to confirm it.
-
保存緩沖液:-20°C, pH7.4 PBS, 0.05% NaN3, 40% Glycerol
-
產品提供形式:Liquid
-
應用范圍:ELISA,IHC
-
推薦稀釋比:
Application Recommended Dilution ELISA 1:2000-1:5000 IHC 1:25-1:100 -
Protocols:
-
儲存條件:Upon receipt, store at -20°C or -80°C. Avoid repeated freeze.
-
貨期:Basically, we can dispatch the products out in 1-3 working days after receiving your orders. Delivery time maybe differs from different purchasing way or location, please kindly consult your local distributors for specific delivery time.
-
用途:For Research Use Only. Not for use in diagnostic or therapeutic procedures.
相關產品
靶點詳情
-
功能:Serine/threonine-protein kinase. Involved in cell polarity and microtubule dynamics regulation. Phosphorylates CRTC2/TORC2, DCX, HDAC7, KIF13B, MAP2, MAP4 and RAB11FIP2. Phosphorylates the microtubule-associated protein MAPT/TAU. Plays a key role in cell polarity by phosphorylating the microtubule-associated proteins MAP2, MAP4 and MAPT/TAU at KXGS motifs, causing detachment from microtubules, and their disassembly. Regulates epithelial cell polarity by phosphorylating RAB11FIP2. Involved in the regulation of neuronal migration through its dual activities in regulating cellular polarity and microtubule dynamics, possibly by phosphorylating and regulating DCX. Regulates axogenesis by phosphorylating KIF13B, promoting interaction between KIF13B and 14-3-3 and inhibiting microtubule-dependent accumulation of KIF13B. Also required for neurite outgrowth and establishment of neuronal polarity. Regulates localization and activity of some histone deacetylases by mediating phosphorylation of HDAC7, promoting subsequent interaction between HDAC7 and 14-3-3 and export from the nucleus. Also acts as a positive regulator of the Wnt signaling pathway, probably by mediating phosphorylation of dishevelled proteins (DVL1, DVL2 and/or DVL3). Modulates the developmental decision to build a columnar versus a hepatic epithelial cell apparently by promoting a switch from a direct to a transcytotic mode of apical protein delivery. Essential for the asymmetric development of membrane domains of polarized epithelial cells.
-
基因功能參考文獻:
- In cell-based assays, Mark2 depletion indeed reduces Dvl gene expression and interrupts neural stem cell (NSCs) growth and differentiation, which are likely to be mediated through a decrease in class IIa HDAC phosphorylation and reduced H3K4ac and H3K27ac occupancies at the Dvl1/2 promoters. PMID: 27714636
- HIV-1 did not stimulate widespread FEZ1 phosphorylation but, instead, bound microtubule (MT) affinity-regulating kinase 2 (MARK2) to stimulate FEZ1 phosphorylation on viral cores. PMID: 28930676
- Low expression of Mark2 is associated with uterine cervical neoplasms. PMID: 28560405
- In this study, through quantitative analysis of the complex formation between CagA and PAR1b, the authors found that several CagA species have acquired elevated PAR1b-binding activity via duplication of the CagA multimerization motifs, while others have lost their PAR1b-binding activity. PMID: 27445265
- In the modeled structure of inactive MARK2, activation segment occludes the enzyme active site and assumes a relatively stable position. PMID: 28711359
- In conclusion, baicalin and DDP were synergistic at inhibiting proliferation and invasion of human lung cancer cells at appropriate dosages and incubation time in the presence or absence of DDP resistance. The attenuation of DDP resistance was associated with downregulation of MARK2 and p-Akt. PMID: 27878245
- MARK2 plays a role in promoting malignant phenotypes of lung cancer. PMID: 25907283
- Phosphorylation of RNF41 by Par-1b regulates basolateral membrane targeting of laminin-111 receptors. PMID: 24259665
- induces asymmetric inheritance of plasma membrane domains via LGN-dependent mitotic spindle orientation in proliferating hepatocytes PMID: 24358023
- Perturbation of PAR1b and SHP2 by CagA underlies the oncogenic potential of CagA. PMID: 24354359
- The MARK2 binds to the N-terminal tail of Tau and selectively phosphorylates three major and five minor serine residues in the repeat domain and C-terminal tail. PMID: 24251416
- Hepatocyte Par1b defines lumen position in concert with the position of the astral microtubule anchoring complex LGN-NuMA to yield the distinct epithelial division phenotypes. PMID: 24165937
- automated image analysis of MT assembly dynamics identified MARK2 as a target regulated downstream of Rac1 that promotes oriented MT growth in the leading edge to mediate directed cell migration. PMID: 22848487
- The scaffolding adaptor GAB1 interacts with two polarity proteins, PAR1 and PAR3. PMID: 22883624
- The results identify MARK2 as an upstream regulator of PINK1 and DeltaN-PINK1 and provide insights into the regulation of mitochondrial trafficking in neurons and neurodegeneration in PD. PMID: 22238344
- Polarity-regulating kinase partitioning-defective 1b (PAR1b) phosphorylates guanine nucleotide exchange factor H1 (GEF-H1) to regulate RhoA-dependent actin cytoskeletal reorganization. PMID: 22072711
- These data suggest that Par1b-phosphorylation regulates turnover of GEF-H1 localization by regulating its interaction with microtubules, which may contribute to cell polarization. PMID: 21513698
- These results reveal that GAKIN/KIF13B is a key intermediate linking Par1b to the regulation of axon formation. PMID: 20194617
- the 8th and 9th spectrin-like repeats (R8 and R9) of utrophin cooperatively form a PAR-1b-interacting domain, and that Ser1258 within R9 is specifically phosphorylated by PAR-1b. PMID: 19945424
- Par1/Emk1 could have a role in the development of chronic allograft nephropathy in kidney allografts PMID: 15158914
- Flot-2 binds to PAR-1, a known upstream mediator of major signal transduction pathways implicated in cell growth and metastasis, and may thereby influence tumor progression in melanoma. PMID: 15492257
- GSK-3beta directly phosphorylates and activates MARK2/PAR-1 PMID: 16257959
- The X-ray structure of the catalytic and ubiquitin-associated domains of human MARK2. PMID: 16472737
- analysis of variations in the catalytic and ubiquitin-associated domains of microtubule-associated protein/microtubule affinity regulating kinase (MARK) 1 and MARK2 PMID: 16803889
- Class IIa histone deacetylases (HDACs) are subjected to signal-independent nuclear export that relies on their constitutive phosphorylation. EMK and C-TAK1, are identified as regulators of this process. PMID: 16980613
- Aberrant activation of PAR-1 may provide one of the molecular links in the pathogenic cascade of tauopathies. PMID: 17234589
- We demonstrate that H. pylori causes the recruitment of MARK2 from the cytosol to the plasma membrane, where it colocalizes with the bacteria and interacts with CagA.[CagA in strain G27] PMID: 18005242
- PAR-1 can be used with Breslow thickness and ulceration as a prognostic indicator for melanoma. PMID: 18315603
- findings show protein kinase D phosphorylates Par-1b on S400 to positively regulate 14-3-3 binding and to negatively regulate membrane association PMID: 19011111
- Par1b functions in the establishment of T cell polarity following engagement to an APC PMID: 19553522
顯示更多
收起更多
-
亞細胞定位:Cell membrane; Peripheral membrane protein. Cytoplasm. Lateral cell membrane. Cytoplasm, cytoskeleton. Cell projection, dendrite. Cytoplasm. Note=Phosphorylation at Thr-596 by PRKCZ/aPKC and subsequent interaction with 14-3-3 protein YWHAZ promotes relocation from the cell membrane to the cytoplasm.
-
蛋白家族:Protein kinase superfamily, CAMK Ser/Thr protein kinase family, SNF1 subfamily
-
組織特異性:High levels of expression in heart, brain, skeletal muscle and pancreas, lower levels observed in lung, liver and kidney.
-
數據庫鏈接:
Most popular with customers
-
-
YWHAB Recombinant Monoclonal Antibody
Applications: ELISA, WB, IHC, IF, FC
Species Reactivity: Human, Mouse, Rat
-
Phospho-YAP1 (S127) Recombinant Monoclonal Antibody
Applications: ELISA, WB, IHC
Species Reactivity: Human
-
-
-
-
-















