MAGEC2 Antibody
-
中文名稱:MAGEC2兔多克隆抗體
-
貨號:CSB-PA259300
-
規格:¥1100
-
圖片:
-
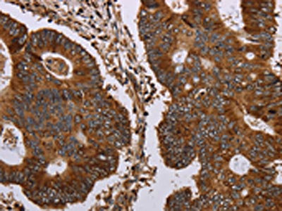
The image on the left is immunohistochemistry of paraffin-embedded Human colon cancer tissue using CSB-PA259300(MAGEC2 Antibody) at dilution 1/40, on the right is treated with synthetic peptide. (Original magnification: ×200)
-
The image on the left is immunohistochemistry of paraffin-embedded Human liver cancer tissue using CSB-PA259300(MAGEC2 Antibody) at dilution 1/40, on the right is treated with synthetic peptide. (Original magnification: ×200)
-
-
其他:
產品詳情
-
Uniprot No.:
-
基因名:
-
別名:Cancer testis antigen 10 antibody; Cancer/testis antigen 10 antibody; CT10 antibody; HCA587 antibody; Hepatocellular cancer antigen 587 antibody; Hepatocellular carcinoma associated antigen 587 antibody; Hepatocellular carcinoma-associated antigen 587 antibody; MAGC2_HUMAN antibody; MAGE C2 antigen antibody; MAGE E1 antigen antibody; MAGE family member C2 antibody; MAGE-C2 antigen antibody; MAGE-E1 antigen antibody; MAGEC2 antibody; Melanoma antigen family C 2 antibody; Melanoma antigen family C2 antibody; Melanoma antigen family E 1 cancer/testis specific antibody; Melanoma associated antigen C2 antibody; Melanoma-associated antigen C2 antibody; MGC13377 antibody
-
宿主:Rabbit
-
反應種屬:Human
-
免疫原:Synthetic peptide of Human MAGEC2
-
免疫原種屬:Homo sapiens (Human)
-
標記方式:Non-conjugated
-
抗體亞型:IgG
-
純化方式:Antigen affinity purification
-
濃度:It differs from different batches. Please contact us to confirm it.
-
保存緩沖液:-20°C, pH7.4 PBS, 0.05% NaN3, 40% Glycerol
-
產品提供形式:Liquid
-
應用范圍:ELISA,IHC
-
推薦稀釋比:
Application Recommended Dilution ELISA 1:2000-1:5000 IHC 1:50-1:200 -
Protocols:
-
儲存條件:Upon receipt, store at -20°C or -80°C. Avoid repeated freeze.
-
貨期:Basically, we can dispatch the products out in 1-3 working days after receiving your orders. Delivery time maybe differs from different purchasing way or location, please kindly consult your local distributors for specific delivery time.
-
用途:For Research Use Only. Not for use in diagnostic or therapeutic procedures.
相關產品
靶點詳情
-
功能:Proposed to enhance ubiquitin ligase activity of RING-type zinc finger-containing E3 ubiquitin-protein ligases. In vitro enhances ubiquitin ligase activity of TRIM28 and stimulates p53/TP53 ubiquitination in presence of Ubl-conjugating enzyme UBE2H leading to p53/TP53 degradation. Proposed to act through recruitment and/or stabilization of the Ubl-conjugating enzymes (E2) at the E3:substrate complex.
-
基因功能參考文獻:
- HCA587/MAGEC2 directly binds TAF9 via its CR domain, suggesting that HCA587/MAGEC2 may involve in TAF9 binding with DNA to regulate certain genes transcription. PMID: 29257297
- our findings revealed a previously unrecognized regulation of STAT3 activation in tumor cells by cancer/testis antigen MAGEC2, and provided a molecular mechanism for the oncogenic activity of MAGEC2 in cancer cells. PMID: 27775077
- High MAGE-C2 expression was found in 38.18% of triple negative breast cancer tissues and in 9.09% of adjacent tissues. High MAGE-C2 expression in TNBC patients was closely associated with tumor node metastasis and shorter survival time. PMID: 27843173
- our study provides a suitable cell model for exploring the biological functions of MAGEC2 in malignant cells, and sheds light on the molecular pathway by which MAGEC2 promotes tumor development. PMID: 27636589
- The expressions of MAGE-C2 mRNA and MAGE-C2 protein were closely associated with stage, metastasis of lung cancer. PMID: 26903162
- In gastrointestinal stromal tumors, 5/51 (10%) patients expressed MAGE-C2. High-grade GIST are more likely to express MAGE-C2. MAGE-C2 also significantly correlates with mitotic rate and tumor size. PMID: 24713551
- Our results indicate that MAGEC2 has a role in breast cancer metastasis through inducing epithelial-mesenchymal transition PMID: 24687377
- overexpression of HCA587 resulted in a significant enhancement of LMP1-induced IL-6 production. These data indicate that HCA587 is a new negative regulator of BS69 PMID: 24866244
- MAGE-C2 promotes growth and tumorigenicity of melanoma cells, phosphorylation of KAP1, and DNA damage repair. PMID: 23096706
- Cytotoxic T cell clones directed against MAGE-C2 peptides recognize EB81-melanoma tumor cells treated with interferon (IotaFN)-gamma. PMID: 22925930
- MAGE-C2/CT10 expression in prostate cancer correlates with the degree of malignancy and indicates a higher risk for biochemical recurrence after radical prostatectomy. PMID: 21754986
- MAGEC2 is a sensitive and novel marker for seminoma. PMID: 21780320
- p43-57 is the first HCA587-derived major histocompatibility complex class II-restricted epitope to fulfil all prerequisites for use as a peptide vaccine in patients with HCA587-expressing tumors PMID: 21595801
- HCA 587 may be a valuable target antigen for diagnosis and vaccination of hepatocelular carcinoma patients. PMID: 12920247
- identified 2 antigens encoded by gene MAGE-C2 which are recognized by several melanoma-specific cytolytic T lymphocyte clones isolated from a melanoma patient; both antigens are presented by HLA-A2 PMID: 14999777
- CT10 expression was more frequently found in squamous cell carcinoma than in adenocarcinoma. PMID: 15061963
- because of the expression pattern of gene MAGE-C2, this new antigen is strictly tumor-specific PMID: 17096150
- the MAGE-A3 and MAGE-C2 gene promoter regions are de-methylated in the presence of activated KIT but become methylated on inhibition of KIT, consistent with the downregulation of mRNA and protein PMID: 17495964
- MAGE-C2/CT-10 is expressed in hepatocellular carcinoma PMID: 18942708
顯示更多
收起更多
-
亞細胞定位:Cytoplasm. Nucleus. Note=Nuclear in germ cells. Cytoplasmic in well-differentiated hepatocellular carcinoma, nuclear in moderately- and poorly-differentiated hepatocellular carcinoma.
-
組織特異性:Not expressed in normal tissues, except in germ cells in the seminiferous tubules and in Purkinje cells of the cerebellum. Expressed in various tumors, including melanoma, lymphoma, as well as pancreatic cancer, mammary gland cancer, non-small cell lung c
-
數據庫鏈接:
Most popular with customers
-
-
YWHAB Recombinant Monoclonal Antibody
Applications: ELISA, WB, IHC, IF, FC
Species Reactivity: Human, Mouse, Rat
-
Phospho-YAP1 (S127) Recombinant Monoclonal Antibody
Applications: ELISA, WB, IHC
Species Reactivity: Human
-
-
-
-
-















