LTC4S Antibody
-
中文名稱:LTC4S兔多克隆抗體
-
貨號:CSB-PA013228OA01HU
-
規格:¥440
-
圖片:
-
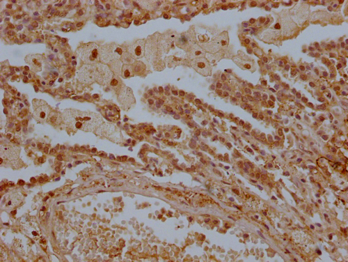
IHC image of CSB-PA013228OA01HU diluted at 1:300 and staining in paraffin-embedded human lung tissue performed on a Leica BondTM system. After dewaxing and hydration, antigen retrieval was mediated by high pressure in a citrate buffer (pH 6.0). Section was blocked with 10% normal goat serum 30min at RT. Then primary antibody (1% BSA) was incubated at 4°C overnight. The primary is detected by a Goat anti-rabbit polymer IgG labeled by HRP and visualized using 0.05% DAB.
-
Immunofluorescence staining of HepG2 cells with CSB-PA013228OA01HU at 1:200, counter-stained with DAPI. The cells were fixed in 4% formaldehyde and blocked in 10% normal Goat Serum. The cells were then incubated with the antibody overnight at 4°C. The secondary antibody was Alexa Fluor 488-congugated AffiniPure Goat Anti-Rabbit IgG(H+L).
-
-
其他:
產品詳情
-
產品名稱:Rabbit anti-Homo sapiens (Human) LTC4S Polyclonal antibody
-
Uniprot No.:
-
基因名:LTC4S
-
別名:LTC4S; Leukotriene C4 synthase; LTC4 synthase; Glutathione S-transferase LTC4; Leukotriene-C(4 synthase; Leukotriene-C4 synthase
-
宿主:Rabbit
-
反應種屬:Human
-
免疫原:Recombinant Human Leukotriene C4 synthase protein (36-51aa)
-
免疫原種屬:Homo sapiens (Human)
-
標記方式:Non-conjugated
本頁面中的產品,LTC4S Antibody (CSB-PA013228OA01HU),的標記方式是Non-conjugated。對于LTC4S Antibody,我們還提供其他標記。見下表:
-
克隆類型:Polyclonal
-
抗體亞型:IgG
-
純化方式:>95%, Protein G purified
-
濃度:It differs from different batches. Please contact us to confirm it.
-
保存緩沖液:Preservative: 0.03% Proclin 300
Constituents: 50% Glycerol, 0.01M PBS, pH 7.4 -
產品提供形式:Liquid
-
應用范圍:ELISA, IHC, IF
-
推薦稀釋比:
Application Recommended Dilution IHC 1:100-1:500 IF 1:100-1:500 -
Protocols:
-
儲存條件:Upon receipt, store at -20°C or -80°C. Avoid repeated freeze.
-
貨期:Basically, we can dispatch the products out in 1-3 working days after receiving your orders. Delivery time maybe differs from different purchasing way or location, please kindly consult your local distributors for specific delivery time.
-
用途:For Research Use Only. Not for use in diagnostic or therapeutic procedures.
相關產品
靶點詳情
-
功能:Catalyzes the conjugation of leukotriene A4 with reduced glutathione (GSH) to form leukotriene C4 with high specificity. Can also catalyzes the transfer of a glutathionyl group from glutathione (GSH) to 13(S),14(S)-epoxy-docosahexaenoic acid to form maresin conjugate in tissue regeneration 1 (MCTR1), a bioactive lipid mediator that possess potent anti-inflammatory and proresolving actions.
-
基因功能參考文獻:
- mutational and kinetic data, together with molecular simulations, suggest that phosphorylation of Ser(36) inhibits the catalytic function of LTC4S by interference with the catalytic machinery. PMID: 27365393
- Biochemical and structural characterization of LTC4S mutants along with crystal structures of the wild type and mutated enzymes in complex with three product analogs, provide new insights to binding of substrates and product. PMID: 24366866
- The results of our study failed to confirm whether the selected variants in LTC4S gene within the LT metabolism pathway contribute to platelet reactivity in a diabetic population treated with ASA. PMID: 23828562
- Elevated levels of leukotriene C4 synthase mRNA distinguish a subpopulation of eosinophilic oesophagitis patients. PMID: 23889244
- genetic association studies in population of Han Chinese in Eastern China: Data suggest that an SNP in LTC4S (rs730012) is associated with risk of ischemic stroke; carriers of C allele of rs730012 in LTC4S are most susceptible to ischemic stroke. PMID: 23079278
- meta-analysis suggested that the -444A/C polymorphism in the LTC4S gene would be a risk factor for asthma in Caucasians and aspirin-tolerant populations PMID: 22884858
- A significant association has been found between the -1072G/A (rs3776944) SNP in the LTC4S gene and atopic asthma in the family-based analysis. PMID: 22722751
- The SNPs of ALOX(5)AP and LTC(4)S are associated with asthma. PMID: 21729626
- investigation of catalytic mechanism of LTC4S: Data suggest that glutathione thiolate anion formation in LTC4S is not rate-limiting for overall reaction of leukotriene C4 production. Thiolate anion is stabilized by Arg104 at all three active sites. PMID: 22217203
- Polymorphisms of the PTGDR and LTC4S influence responsiveness to leukotriene receptor antagonists in Korean children with asthma. PMID: 21307858
- The catalytic architecture of leukotriene C4 synthase with two arginine residues. PMID: 21454538
- The increased expression of LTC(4)S, together with the predominant formation of cysteinyl-leukotrienes and effects on MMPs production, suggests a mechanism by which LTs may promote matrix degradation in the AAA wall PMID: 21078989
- Arginine 104 is a key catalytic residue in leukotriene C4 synthase. PMID: 20980252
- In a Southwest Chinese Han population LTC(4)S A(-444)C polymorphism might be a determinant factor in the clinical response of asthma to leukotriene receptor antagonists. PMID: 19080532
- no association between gene polymorphism and bronchial asthma in a Spanish population PMID: 20128419
- Distinct roles of receptor phosphorylation, G protein usage, and mitogen-activated protein kinase activation on platelet activating factor-induced leukotriene C(4) generation PMID: 11934880
- no relationship between the polymorphism and LTC4S activity in eosinophils, although LTC4S activities were significantly higher in patients with aspirin induced asthma than in patients with aspirin tolerant asthma PMID: 12063521
- A(-444)C polymorphism of this gene and clinical response to pranlukast in Japanses patients with moderate asthma PMID: 12360108
- C-to-A promoter polymorphism was associated with the increased presence of chronic hyperplastic eosinophilic sinusitis and the expression of cysteinyl leukotrienes PMID: 12589355
- expression of LTC(4)S during normal and leukemic myelopoiesis and correlation with the activity of the disease-specific tyrosine kinase p210 BCR-ABL in CML myeloid cells. PMID: 12591277
- Gene expression in mononuclear phagocytes is regulated by SP1 and SP3. PMID: 12664565
- Data show that mucosal mast cells, and not eosinophils, were the dominating leukotriene C4 synthase-containing cells in both untreated and treated aspirin-tolerant asthma. PMID: 12816731
- We further conclude that the A(-444)C polymorphism in the LTC(4) synthase gene probably contributes to asthma interpatient variability in montelukast-evoked changes in FE(NO)* and warrants further study. PMID: 14520724
- independent of transcriptional activity, the C(-444) allele in the LTC(4) synthase gene is weakly associated with the asthma phenotype, but it is not related to disease severity or aspirin intolerance PMID: 15131571
- calculated a projection map of recombinant human LTC(4) synthase at a resolution of 4.5 A by electron crystallography PMID: 15530365
- leukotriene C4 synthase gene promoter polymorphism is associated with asthma and/or atopy PMID: 16024972
- Glu 4 Lys amino acid substitution in the LTC4S might be associated with allergic diseases. PMID: 16211251
- The C allele of the leukotriene C4 synthase (A-444C) polymorphism is associated with asthma phenotype or severity. PMID: 16675353
- LTC4S plays a key role in the process of inflammation as the rate limiting enzyme in the conversion of arachidonic acid to cysteinyl-leukotrienes, important mediators of inflammatory responses. PMID: 17110605
- The combination of 927T CYSLTR1 and -444A LTC4S was less common in male patients with asthma than in controls and the combination of 927C CYSLTR1 and -444A LTC4S was slightly more frequent in patients with asthma PMID: 17153879
- The results of a case-control study aimed at investigating the association of MGST1 gene locus polymorphisms with colorectal cancer risk among Han Chinese are presented. PMID: 17483957
- crystal structure of the human LTC4 synthase in its apo and GSH-complexed forms to 2.00 and 2.15 A resolution, respectively PMID: 17632546
- atomic structure of human LTC4S in a complex with glutathione at 3.3 A resolution by X-ray crystallography PMID: 17632548
- Leukotriene C(4) synthase -1072 AA genotype predict increased risk, whereas -444 CC genotype predict decreased risk of ischemic cerebrovascular disease. PMID: 18276912
- Genetic variation in leukotriene pathway members and their receptors confer an increased risk of ischemic stroke in 2 independent populations PMID: 18323512
- The combined study of polymorphisms in genes of the leukotriene pathway could explain the differences observed in the studies reported on polymorphism -444A < C LTC4S individually analysed. PMID: 19080797
- LTC(4)S interacts in vitro with both FLAP and 5-LO and that these interactions involve distinct parts of LTC(4)S. PMID: 19233132
- Leukotriene C4 synthase promoter genotypes influence risk of transient ischemic attack and ischemic stroke, but not risk of ischemic heart disease/coronary atherosclerosis, asthma, or chronic obstructive pulmonary disease. PMID: 19280718
- Observational study of gene-gene interaction and pharmacogenomic / toxicogenomic. (HuGE Navigator) PMID: 17924829
- Clinical trial and meta-analysis of gene-environment interaction and pharmacogenomic / toxicogenomic. (HuGE Navigator) PMID: 12968987
顯示更多
收起更多
-
相關疾病:LTC4 synthase deficiency is associated with a neurometabolic developmental disorder characterized by muscular hypotonia, psychomotor retardation, failure to thrive, and microcephaly.
-
亞細胞定位:Nucleus outer membrane; Multi-pass membrane protein. Endoplasmic reticulum membrane; Multi-pass membrane protein. Nucleus membrane; Multi-pass membrane protein.
-
蛋白家族:MAPEG family
-
組織特異性:Detected in lung, platelets and the myelogenous leukemia cell line KG-1 (at protein level). LTC4S activity is present in eosinophils, basophils, mast cells, certain phagocytic mononuclear cells, endothelial cells, vascular smooth muscle cells and platelet
-
數據庫鏈接:
Most popular with customers
-
-
Phospho-YAP1 (S127) Recombinant Monoclonal Antibody
Applications: ELISA, WB, IHC
Species Reactivity: Human
-
-
-
-
-
-















