LSR Antibody
-
中文名稱:LSR兔多克隆抗體
-
貨號:CSB-PA801252LA01HU
-
規格:¥440
-
圖片:
-
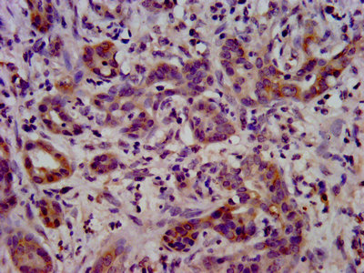
IHC image of CSB-PA801252LA01HU diluted at 1:400 and staining in paraffin-embedded human pancreatic cancer performed on a Leica BondTM system. After dewaxing and hydration, antigen retrieval was mediated by high pressure in a citrate buffer (pH 6.0). Section was blocked with 10% normal goat serum 30min at RT. Then primary antibody (1% BSA) was incubated at 4°C overnight. The primary is detected by a biotinylated secondary antibody and visualized using an HRP conjugated SP system.
-
Immunofluorescence staining of HepG2 cells with CSB-PA801252LA01HU at 1:133, counter-stained with DAPI. The cells were fixed in 4% formaldehyde, permeabilized using 0.2% Triton X-100 and blocked in 10% normal Goat Serum. The cells were then incubated with the antibody overnight at 4°C. The secondary antibody was Alexa Fluor 488-congugated AffiniPure Goat Anti-Rabbit IgG(H+L).
-
-
其他:
產品詳情
-
產品名稱:Rabbit anti-Homo sapiens (Human) LSR Polyclonal antibody
-
Uniprot No.:
-
基因名:
-
別名:ILDR3 antibody; Immunoglobulin like domain containing receptor 3 antibody; Lipolysis Stimulated Lipoprotein Receptor antibody; Lipolysis stimulated remnant antibody; Lipolysis-stimulated lipoprotein receptor antibody; LISCH antibody; LISCH protein antibody; LISCH7 antibody; Liver specific bHLH Zip transcription factor antibody; LSR antibody; LSR_HUMAN antibody; MGC10659 antibody; MGC48312 antibody; MGC48503 antibody
-
宿主:Rabbit
-
反應種屬:Human
-
免疫原:Recombinant Human Lipolysis-stimulated lipoprotein receptor protein (112-233AA)
-
免疫原種屬:Homo sapiens (Human)
-
標記方式:Non-conjugated
本頁面中的產品,LSR Antibody (CSB-PA801252LA01HU),的標記方式是Non-conjugated。對于LSR Antibody,我們還提供其他標記。見下表:
-
克隆類型:Polyclonal
-
抗體亞型:IgG
-
純化方式:>95%, Protein G purified
-
濃度:It differs from different batches. Please contact us to confirm it.
-
保存緩沖液:Preservative: 0.03% Proclin 300
Constituents: 50% Glycerol, 0.01M PBS, pH 7.4 -
產品提供形式:Liquid
-
應用范圍:ELISA, IHC, IF
-
推薦稀釋比:
Application Recommended Dilution IHC 1:200-1:500 IF 1:50-1:200 -
Protocols:
-
儲存條件:Upon receipt, store at -20°C or -80°C. Avoid repeated freeze.
-
貨期:Basically, we can dispatch the products out in 1-3 working days after receiving your orders. Delivery time maybe differs from different purchasing way or location, please kindly consult your local distributors for specific delivery time.
-
用途:For Research Use Only. Not for use in diagnostic or therapeutic procedures.
相關產品
靶點詳情
-
功能:Probable role in the clearance of triglyceride-rich lipoprotein from blood. Binds chylomicrons, LDL and VLDL in presence of free fatty acids and allows their subsequent uptake in the cells.
-
基因功能參考文獻:
- this study shows that loss of tricellular tight junction protein LSR promotes cell invasion and migration via upregulation of TEAD1/AREG in endometrial cancer PMID: 28071680
- Lipolysis-stimulated lipoprotein receptor (LSR)-deficient CaCo-2 cells exhibited increased cell proliferation. PMID: 27391068
- Results of this study provide novel evidence that tricellular tight junctions protein LSR negatively regulates cancer cell progression and development in endometrial cancer. PMID: 27036040
- Lipolysis-stimulated lipoprotein receptors (LSRs) localized to bicellular junctions in association with myosin regulatory light chain 2 (MRLC2) at low cell densities and to tricellular contacts when myosin phosphatase target subunit 1 (MYPT1) localized to the bicellular regions. PMID: 28493278
- analysis of how Clostridium difficile binary toxin CDT interacts with its host cell receptor, Lipolysis-stimulated Lipoprotein Receptor PMID: 25882847
- These data show that Clostridium difficile binary toxin CDT induces clustering of the lipolysis-stimulated lipoprotein receptor into lipid rafts. PMID: 23631918
- findings show that Clostridium spiroforme toxin (CST)enters target cells via the lipolysis-stimulated lipoprotein receptor; findings indicate that CST shares LSR with C. difficile CDT and C. perfringens iota toxin as a host cell surface receptor PMID: 22252869
- LSR defines tricellular contacts in epithelial cellular sheets by acting as a landmark to recruit tricellulin for tricellular tight junction formation. PMID: 21245199
- LISCH7 may have a role in progression of human colon cancer PMID: 17975147
顯示更多
收起更多
-
亞細胞定位:Cell membrane; Single-pass membrane protein.
-
蛋白家族:Immunoglobulin superfamily, LISCH7 family
-
數據庫鏈接:
Most popular with customers
-
-
YWHAB Recombinant Monoclonal Antibody
Applications: ELISA, WB, IHC, IF, FC
Species Reactivity: Human, Mouse, Rat
-
Phospho-YAP1 (S127) Recombinant Monoclonal Antibody
Applications: ELISA, WB, IHC
Species Reactivity: Human
-
-
-
-
-















