KSR2 Antibody
-
中文名稱:KSR2兔多克隆抗體
-
貨號:CSB-PA012696LA01HU
-
規格:¥440
-
圖片:
-
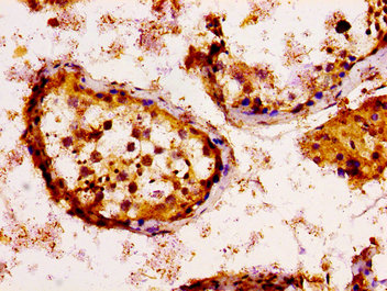
IHC image of CSB-PA012696LA01HU diluted at 1:100 and staining in paraffin-embedded human testis tissue performed on a Leica BondTM system. After dewaxing and hydration, antigen retrieval was mediated by high pressure in a citrate buffer (pH 6.0). Section was blocked with 10% normal goat serum 30min at RT. Then primary antibody (1% BSA) was incubated at 4°C overnight. The primary is detected by a biotinylated secondary antibody and visualized using an HRP conjugated SP system.
-
Immunofluorescence staining of Hela cells with CSB-PA012696LA01HU at 1:100, counter-stained with DAPI. The cells were fixed in 4% formaldehyde, permeabilized using 0.2% Triton X-100 and blocked in 10% normal Goat Serum. The cells were then incubated with the antibody overnight at 4°C. The secondary antibody was Alexa Fluor 488-congugated AffiniPure Goat Anti-Rabbit IgG(H+L).
-
-
其他:
產品詳情
-
產品名稱:Rabbit anti-Homo sapiens (Human) KSR2 Polyclonal antibody
-
Uniprot No.:
-
基因名:
-
別名:FLJ25965 antibody; hKSR 2 antibody; hKSR2 antibody; Kinase suppressor of Ras 2 antibody; KSR 2 antibody; Ksr2 antibody; KSR2_HUMAN antibody
-
宿主:Rabbit
-
反應種屬:Human
-
免疫原:Recombinant Human Kinase suppressor of Ras 2 protein (159-296AA)
-
免疫原種屬:Homo sapiens (Human)
-
標記方式:Non-conjugated
本頁面中的產品,KSR2 Antibody (CSB-PA012696LA01HU),的標記方式是Non-conjugated。對于KSR2 Antibody,我們還提供其他標記。見下表:
-
克隆類型:Polyclonal
-
抗體亞型:IgG
-
純化方式:>95%, Protein G purified
-
濃度:It differs from different batches. Please contact us to confirm it.
-
保存緩沖液:Preservative: 0.03% Proclin 300
Constituents: 50% Glycerol, 0.01M PBS, pH 7.4 -
產品提供形式:Liquid
-
應用范圍:ELISA, IHC, IF
-
推薦稀釋比:
Application Recommended Dilution IHC 1:20-1:200 IF 1:50-1:200 -
Protocols:
-
儲存條件:Upon receipt, store at -20°C or -80°C. Avoid repeated freeze.
-
貨期:Basically, we can dispatch the products out in 1-3 working days after receiving your orders. Delivery time maybe differs from different purchasing way or location, please kindly consult your local distributors for specific delivery time.
-
用途:For Research Use Only. Not for use in diagnostic or therapeutic procedures.
相關產品
靶點詳情
-
功能:Location-regulated scaffold connecting MEK to RAF. Has very low protein kinase activity and can phosphorylate MAP2K1 at several Ser and Thr residues with very low efficiency (in vitro). Acts as MAP2K1/MEK1-dependent allosteric activator of BRAF; upon binding to MAP2K1/MEK1, dimerizes with BRAF and promotes BRAF-mediated phosphorylation of MAP2K1/MEK1. Interaction with BRAF enhances KSR2-mediated phosphorylation of MAP2K1 (in vitro). Blocks MAP3K8 kinase activity and MAP3K8-mediated signaling. Acts as a negative regulator of MAP3K3-mediated activation of ERK, JNK and NF-kappa-B pathways, inhibiting MAP3K3-mediated interleukin-8 production.
-
基因功能參考文獻:
- These observations suggest that, in the brain, KSR2 regulates energy balance via control of feeding behavior and adaptive thermogenesis, while a second KSR2-dependent mechanism, functioning through one or more other tissues, modulates sensitivity to leptin and activators of the energy sensor AMPK. PMID: 28180061
- A pleiotropic effect of KSR2-rs7973260 was found on the risk of metabolic syndrome, severe hypertriglyceridemia, and diabetes. PMID: 28537769
- KSR2 deficiency affects stromal interaction molecule 1 (STIM1)/ORAI1 puncta formation, which is correlated with cytoskeleton disorganization. PMID: 24672054
- Study explored the role of KSR2 in humans by sequencing 2,101 individuals with severe early-onset obesity and identified multiple rare variants in KSR2 that disrupt signaling through the Raf-MEKERK pathway and impair cellular fatty acid oxidation and glucose oxidation in transfected cells. PMID: 24209692
- study demonstrated that miR-31 upregulated IL-2 expression via reduction of its up-stream kinase suppressor, KSR2, and is a component of T cell activation PMID: 23303246
- The involvement of KSR2 in regulation of cell proliferation was predicted by a KSR2-centered network analysis. PMID: 21403620
- KSR interacts with a regulatory Raf molecule in cis to induce a conformational switch of MEK, facilitating MEK's phosphorylation by a separate catalytic Raf molecule in trans PMID: 21441910
- Oncoprotein Cot1 represses kinase suppressors of Ras1/2 and 1,25-dihydroxyvitamin D3-induced differentiation of human acute myeloid leukemia cells. PMID: 20945381
- Observational study of gene-disease association. (HuGE Navigator) PMID: 19913121
- Observational study of gene-disease association, gene-environment interaction, and pharmacogenomic / toxicogenomic. (HuGE Navigator) PMID: 20628086
- Clinical trial of gene-disease association and gene-environment interaction. (HuGE Navigator) PMID: 20379614
- hKSR-2, a new member of the KSR family, negatively regulates Cot-mediated MAP kinase and NF-kappaB pathway signaling PMID: 12975377
- We find that while hKSR-2 blocks MEKK3 activation, it has little to no effect on other members of the MAP3K family, including MEKK4, TAK1, and Ras-Raf, suggesting that its effects are selective. PMID: 16039990
- These results demonstrate that kinase suppressor of Ras 2 is a direct target of 1,25-dihydroxyvitamin D(3)in HL60 cells, and is required for optimal monocytic differentiation. PMID: 17599832
- KSR-2 may act as a scaffold protein similar as KSR-1 to mediate the MAPK core (RAF-MEK-ERK) signaling but with a distinct RAF isoform specificity; KSR-2 may only mediate the A-RAF signaling while KSR-1 transduces signals only from c-RAF. PMID: 19563921
顯示更多
收起更多
-
亞細胞定位:Cytoplasm. Membrane; Peripheral membrane protein.
-
蛋白家族:Protein kinase superfamily, TKL Ser/Thr protein kinase family
-
組織特異性:Mainly expressed in brain and kidney.
-
數據庫鏈接:
Most popular with customers
-
-
YWHAB Recombinant Monoclonal Antibody
Applications: ELISA, WB, IHC, IF, FC
Species Reactivity: Human, Mouse, Rat
-
Phospho-YAP1 (S127) Recombinant Monoclonal Antibody
Applications: ELISA, WB, IHC
Species Reactivity: Human
-
-
-
-
-















