KIR2DS2 Antibody
-
中文名稱:KIR2DS2兔多克隆抗體
-
貨號:CSB-PA012360LA01HU
-
規格:¥440
-
圖片:
-
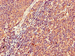
Immunohistochemistry of paraffin-embedded human lymph node tissue using CSB-PA012360LA01HU at dilution of 1:100
-
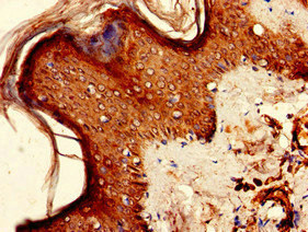
Immunohistochemistry of paraffin-embedded human skin tissue using CSB-PA012360LA01HU at dilution of 1:100
-
Immunofluorescent analysis of A549 cells using CSB-PA012360LA01HU at dilution of 1:100 and Alexa Fluor 488-congugated AffiniPure Goat Anti-Rabbit IgG(H+L)
-
-
其他:
產品詳情
-
產品名稱:Rabbit anti-Homo sapiens (Human) KIR2DS2 Polyclonal antibody
-
Uniprot No.:
-
基因名:
-
別名:KIR2DS2; CD158J; NKAT5; Killer cell immunoglobulin-like receptor 2DS2; CD158 antigen-like family member J; MHC class I NK cell receptor; NK receptor 183 ActI; Natural killer-associated transcript 5; NKAT-5; p58 natural killer cell receptor clone CL-49; p58 NK receptor CL-49; CD antigen CD158j
-
宿主:Rabbit
-
反應種屬:Human
-
免疫原:Recombinant Human Killer cell immunoglobulin-like receptor 2DS2 protein (104-241AA)
-
免疫原種屬:Homo sapiens (Human)
-
標記方式:Non-conjugated
本頁面中的產品,KIR2DS2 Antibody (CSB-PA012360LA01HU),的標記方式是Non-conjugated。對于KIR2DS2 Antibody,我們還提供其他標記。見下表:
-
克隆類型:Polyclonal
-
抗體亞型:IgG
-
純化方式:>95%, Protein G purified
-
濃度:It differs from different batches. Please contact us to confirm it.
-
保存緩沖液:Preservative: 0.03% Proclin 300
Constituents: 50% Glycerol, 0.01M PBS, pH 7.4 -
產品提供形式:Liquid
-
應用范圍:ELISA, IHC, IF
-
推薦稀釋比:
Application Recommended Dilution IHC 1:20-1:200 IF 1:50-1:200 -
Protocols:
-
儲存條件:Upon receipt, store at -20°C or -80°C. Avoid repeated freeze.
-
貨期:Basically, we can dispatch the products out in 1-3 working days after receiving your orders. Delivery time maybe differs from different purchasing way or location, please kindly consult your local distributors for specific delivery time.
-
用途:For Research Use Only. Not for use in diagnostic or therapeutic procedures.
相關產品
靶點詳情
-
功能:Receptor on natural killer (NK) cells for HLA-C alleles. Does not inhibit the activity of NK cells.
-
基因功能參考文獻:
- Genotypes missing these two inhibitory KIR-HLA combinations in addition to missing activating KIRs 2DS2 and 2DS3 were more common in Vogt-Koyanagi-Harada disease (OR = 1.90, P = 0.002). PMID: 27490240
- KIR2DS2/HLA-C1 may correlate with Hashimoto thyroiditis in a Chinese population. PMID: 27042744
- Loss of KIR2DS2 gene is associated with breast cancer. PMID: 27631728
- association between KIR2DS2 and the response to methotrexate (MTX), moreover, the combination KIR2DL2+/KIR2DS2+ was more frequent in responders to MTX (p = 0.043). PMID: 27251940
- this study shows that the presence of KIR2DS2 was associated with a worsening of haematopoietic stem cell transplantation from HLA-matched sibling donor for treatment of myeloid malignancies PMID: 27394130
- genetic polymorphism is associated with childhood acute lymphoblastic leukemia among north Indians PMID: 26472014
- this study was to look for immunogenetic determinants in the pathogenesis of FMF and find out if KIR are related to susceptibility. An activator KIR gene, KIR2DS2, was significantly more frequent in FMF patients (p=0.036). PMID: 26574972
- a significant increase in the frequency of KIR2DL2 (P = 0.019) as well as KIR2DS2 (P = 0.008) in patients with neuroblastoma compared with the healthy control group, was found. PMID: 26202659
- Single Nucleotide Polymorphism in KIR2DS2 gene is associated with Asthma and Atopic Dermatitis. PMID: 26430804
- genetic polymorphism is associated with chronic hepatitis C and levels of viremia in Poland PMID: 25636579
- KIR2DL2 and KIR2DS2 genotype is associated with protection against primary biliary cirrhosis in Han population. PMID: 25575065
- CD4(+) CD28(-) cells exhibited increased KIR2DS2, reduced KIR2DL3 and increased DAP12 expression in HD-ESRD compared with NDD-CKD patients. PMID: 25484131
- Authors showed a significant increased correlation between KIR2DL2/DS2, type 2 diabetes and HLA-C1C1 genotype in the type 2 diabetes patients infected with human herpesvirus 8. PMID: 24122895
- NK cells with KIR2DS2 immunogenotype have a functional activation advantage to efficiently kill glioblastoma and prolong animal survival. PMID: 25381437
- There is an association of the KIR2DS gene, especially KIR2DS2, with psoriatic arthritis. PMID: 24185760
- Activating killer cell immunoglobulin-like receptor 2DS2 binds to HLA-A*11. PMID: 24550293
- Analysis of this large cohort from Uganda in the context of other African populations reveals variations in KIR and HLA-C1 and C2 that are consistent with migrations within Africa and potential selection pressures on these genes. PMID: 23974321
- Data indicate that increased frequency of the activating receptor KIR2DS1 and a reduced frequency of the KIR-ligand combination KIR2DS2/2DL2 absent/C1 present were significantly associated with chronic myeloid leukemia (CML). PMID: 23380384
- presence of KIR2DS2 is associated with rheumatoid arthritis. PMID: 22960345
- Our data revealed a unique contribution of activating KIRs (KIR2DS4, KIR2DS2, or KIR3DS1), in addition to NKG2C, in the expansion of human natural killer cells. PMID: 23325834
- in response to HCT therapy, the activating receptors are also enhanced by a process that increases the number of unmethylated sites present on KIR2DS2/4 promoters. PMID: 22939905
- The frequency of the combination of HLA-C1 allele group with KIR2DS2 was significantly higher in severe dry eye disease patients. PMID: 22509813
- individuals possessing KIR2DL2 and/or KIR2DS2 (and, in most cases, also KIR2DL1) gene but no HLA-C C2 ligand may respond better to treatment and survive longer than people bearing other genotypes. PMID: 22836042
- KIR2DS2/KIR2DL2 and HLA-C genotype of rheumatoid arthritis patients may provide predictive information for response to anti-TNF-alpha therapy. PMID: 21373785
- In a comparison of healthy controls and a tightly defined cohort of adult ITP patients, the KIR2DS2/KIR2DL2 genotype was found to be associated with ITP independently of FCGR3a-158 polymorphisms. PMID: 22024796
- The CMV seropositivity of donors was not associated with activating KIR expression, and donor null expression in those with the KIR2DS2 or KIR2DS4 genotype was not predictive for CMV reactivation in the recipient. PMID: 21596150
- This study showed a significantly lower frequency of KIR2DS2 among chronic HCV carriers compared with controls in a Korean population PMID: 22065905
- KIR2DS2*005 encodes a molecule expressed on the surface of natural killer- and T-lymphocytes. PMID: 21593779
- predisposition to systemic lupus erythematosus was associated with GTGT deletion at the SLC11A1 3'UTR, presence of KIR2DS2 +/KIR2DS5 +/KIR3DS1 + profile, increased number of stimulatory KIR genes and European and Amerindian ancestries PMID: 21233146
- indicated nonspecific stimulation of natural killers, probably mediated by an increase in serum concentration of heat shock protein with a molecular weight of 70 kDa PMID: 21165439
- Observational study of gene-disease association. (HuGE Navigator) PMID: 20878400
- an evolutionary trend toward reducing the avidity of the activating C1- and C2-specific receptors is exempllified by KIR2DS2, an activating C1-specific receptor that has lost all detectable avidity for HLA class I. PMID: 20802150
- Observational study of gene-disease association. (HuGE Navigator) PMID: 20528243
- Observational study of gene-disease association. (HuGE Navigator) PMID: 20580654
- Observational study of gene-disease association. (HuGE Navigator) PMID: 20600442
- Observational study of gene-disease association. (HuGE Navigator) PMID: 20643584
- Observational study of genotype prevalence. (HuGE Navigator) PMID: 20650299
- Observational study of gene-disease association. (HuGE Navigator) PMID: 20652381
- Observational study of genotype prevalence. (HuGE Navigator) PMID: 20670355
- Observational study of gene-disease association. (HuGE Navigator) PMID: 20137308
- Observational study of gene-disease association and gene-gene interaction. (HuGE Navigator) PMID: 20356536
- Observational study of gene-disease association. (HuGE Navigator) PMID: 20371502
- Observational study of gene-disease association. (HuGE Navigator) PMID: 20426625
- Observational study of gene-disease association and gene-gene interaction. (HuGE Navigator) PMID: 20483367
- Observational study of gene-disease association. (HuGE Navigator) PMID: 20492596
- Observational study of gene-disease association. (HuGE Navigator) PMID: 20519398
- Single nucleotide polymorphism in KIR2DS2 gene is associated with posttransplantation non-Hodgkin lymphoma. PMID: 20207982
- Observational study of gene-disease association. (HuGE Navigator) PMID: 19683555
- Observational study of gene-disease association. (HuGE Navigator) PMID: 19968064
- Observational study of gene-disease association. (HuGE Navigator) PMID: 20082482
顯示更多
收起更多
-
亞細胞定位:Cell membrane; Single-pass type I membrane protein.
-
蛋白家族:Immunoglobulin superfamily
-
數據庫鏈接:
Most popular with customers
-
-
YWHAB Recombinant Monoclonal Antibody
Applications: ELISA, WB, IHC, IF, FC
Species Reactivity: Human, Mouse, Rat
-
Phospho-YAP1 (S127) Recombinant Monoclonal Antibody
Applications: ELISA, WB, IHC
Species Reactivity: Human
-
-
-
-
-















