ITIH1 Antibody
-
中文名稱:ITIH1兔多克隆抗體
-
貨號:CSB-PA4779A0Rb
-
規格:¥440
-
圖片:
-
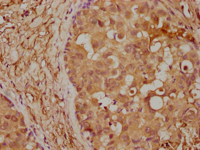
IHC image of CSB-PA4779A0Rb diluted at 1:400 and staining in paraffin-embedded human breast cancer performed on a Leica BondTM system. After dewaxing and hydration, antigen retrieval was mediated by high pressure in a citrate buffer (pH 6.0). Section was blocked with 10% normal goat serum 30min at RT. Then primary antibody (1% BSA) was incubated at 4°C overnight. The primary is detected by a biotinylated secondary antibody and visualized using an HRP conjugated SP system.
-
-
其他:
產品詳情
-
產品名稱:Rabbit anti-Homo sapiens (Human) ITIH1 Polyclonal antibody
-
Uniprot No.:
-
基因名:ITIH1
-
別名:H1P antibody; IATIH antibody; IGHEP1 antibody; Inter alpha (globulin) inhibitor H1 antibody; Inter alpha (globulin) inhibitor H1 polypeptide antibody; Inter alpha trypsin inhibitor heavy chain 1 antibody; Inter alpha trypsin inhibitor heavy chain H1 antibody; Inter-alpha-inhibitor heavy chain 1 antibody; Inter-alpha-trypsin inhibitor complex component III antibody; Inter-alpha-trypsin inhibitor heavy chain H1 antibody; ITI heavy chain H1 antibody; ITI-HC1 antibody; ITIH antibody; ITIH1 antibody; ITIH1_HUMAN antibody; Serum-derived hyaluronan-associated protein antibody; SHAP antibody
-
宿主:Rabbit
-
反應種屬:Human
-
免疫原:Recombinant Human Inter-alpha-trypsin inhibitor heavy chain H1 protein (403-638AA)
-
免疫原種屬:Homo sapiens (Human)
-
標記方式:Non-conjugated
本頁面中的產品,ITIH1 Antibody (CSB-PA4779A0Rb),的標記方式是Non-conjugated。對于ITIH1 Antibody,我們還提供其他標記。見下表:
-
克隆類型:Polyclonal
-
抗體亞型:IgG
-
純化方式:>95%, Protein G purified
-
濃度:It differs from different batches. Please contact us to confirm it.
-
保存緩沖液:Preservative: 0.03% Proclin 300
Constituents: 50% Glycerol, 0.01M PBS, pH 7.4 -
產品提供形式:Liquid
-
應用范圍:ELISA, IHC
-
推薦稀釋比:
Application Recommended Dilution IHC 1:200-1:500 -
Protocols:
-
儲存條件:Upon receipt, store at -20°C or -80°C. Avoid repeated freeze.
-
貨期:Basically, we can dispatch the products out in 1-3 working days after receiving your orders. Delivery time maybe differs from different purchasing way or location, please kindly consult your local distributors for specific delivery time.
-
用途:For Research Use Only. Not for use in diagnostic or therapeutic procedures.
相關產品
靶點詳情
-
功能:May act as a carrier of hyaluronan in serum or as a binding protein between hyaluronan and other matrix protein, including those on cell surfaces in tissues to regulate the localization, synthesis and degradation of hyaluronan which are essential to cells undergoing biological processes.; Contains a potential peptide which could stimulate a broad spectrum of phagocytotic cells.
-
基因功能參考文獻:
- Furthermore, thrombin treatment of the inflammatory matrix leads to dissolution of HC-HA cable structures and abolishes leukocyte adhesion. These data establish a novel mechanism whereby thrombin cleavage of HC1 regulates the adhesive properties of an inflammatory HA matrix. PMID: 27679489
- Data suggest that Mg2+ or Mn2+ (but not Ca2+) induce a conformational change in inter-alpha-inhibitor (ITIH1 and ITIH2) and a bikunin/chondroitin sulfate-dependent increase in thermodynamic stability; bikunin binds adjacent to the two heavy chains. PMID: 26728454
- The results of this study revealed that the shared genetic risk factors of both schizophrenia and major depressive disorder exist in ITIH family genes in the Han Chinese population. PMID: 24389398
- Data indicate that TSG-6-mediated cross-linking of hyaluronan (HA) films is impaired in the presence of inter-alpha-inhibitor (IalphaI) and that this effect suppresses the TSG-6-mediated enhancement of HA binding to CD44-positive cells. PMID: 24005673
- Human inter-alpha-inhibitor is a substrate for factor XIIIa and tissue transglutaminase. PMID: 21939789
- Transfection into H460M Human large cell lung carcinoma line decreased tumor metastasis in nude mice PMID: 11807786
- PTX3 directly interacts with inter-alpha-trypsin inhibitor and has a role in hyaluronan organization and cumulus oophorus expansion PMID: 17675295
- The first systematic analysis on the differential expression of ITIH genes in human cancer, showing frequent downregulation that may be associated with initiation and/or progression of these malignancies. PMID: 18226209
顯示更多
收起更多
-
亞細胞定位:Secreted.
-
蛋白家族:ITIH family
-
數據庫鏈接:
Most popular with customers
-
-
YWHAB Recombinant Monoclonal Antibody
Applications: ELISA, WB, IHC, IF, FC
Species Reactivity: Human, Mouse, Rat
-
Phospho-YAP1 (S127) Recombinant Monoclonal Antibody
Applications: ELISA, WB, IHC
Species Reactivity: Human
-
-
-
-
-















