IREB2 Antibody
-
中文名稱:IREB2兔多克隆抗體
-
貨號:CSB-PA011813LA01HU
-
規格:¥440
-
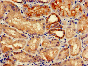
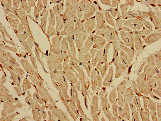
圖片:
-
其他:
產品詳情
-
產品名稱:Rabbit anti-Homo sapiens (Human) IREB2 Polyclonal antibody
-
Uniprot No.:
-
基因名:IREB2
-
別名:ACO3 antibody; FLJ23381 antibody; IRE BP2 antibody; IRE-BP 2 antibody; IREB 2 antibody; IREB2 antibody; IREB2_HUMAN antibody; Iron regulatory protein 2 antibody; iron responsive element binding protein 2 antibody; Iron-responsive element-binding protein 2 antibody; IRP 2 antibody; IRP2 antibody; IRP2AD antibody; OTTHUMP00000185022 antibody
-
宿主:Rabbit
-
反應種屬:Human
-
免疫原:Recombinant Human Iron-responsive element-binding protein 2 protein (107-216AA)
-
免疫原種屬:Homo sapiens (Human)
-
標記方式:Non-conjugated
本頁面中的產品,IREB2 Antibody (CSB-PA011813LA01HU),的標記方式是Non-conjugated。對于IREB2 Antibody,我們還提供其他標記。見下表:
-
克隆類型:Polyclonal
-
抗體亞型:IgG
-
純化方式:>95%, Protein G purified
-
濃度:It differs from different batches. Please contact us to confirm it.
-
保存緩沖液:Preservative: 0.03% Proclin 300
Constituents: 50% Glycerol, 0.01M PBS, pH 7.4 -
產品提供形式:Liquid
-
應用范圍:ELISA, IHC
-
推薦稀釋比:
Application Recommended Dilution IHC 1:20-1:200 -
Protocols:
-
儲存條件:Upon receipt, store at -20°C or -80°C. Avoid repeated freeze.
-
貨期:Basically, we can dispatch the products out in 1-3 working days after receiving your orders. Delivery time maybe differs from different purchasing way or location, please kindly consult your local distributors for specific delivery time.
-
用途:For Research Use Only. Not for use in diagnostic or therapeutic procedures.
相關產品
靶點詳情
-
功能:RNA-binding protein that binds to iron-responsive elements (IRES), which are stem-loop structures found in the 5'-UTR of ferritin, and delta aminolevulinic acid synthase mRNAs, and in the 3'-UTR of transferrin receptor mRNA. Binding to the IRE element in ferritin results in the repression of its mRNA translation. Binding of the protein to the transferrin receptor mRNA inhibits the degradation of this otherwise rapidly degraded mRNA.
-
基因功能參考文獻:
- Five of these SNPs acted as cis-eQTLs, being associated with the transcription of IREB2 (rs2568494, rs16969968, rs11634351, rs6495309), PSMA4 (rs6495309) and ERCC1 (rs735482), out of 10,821 genes analyzed in lung. For these three genes, we obtained experimental evidence of differential allelic expression in lung tissue, pointing to the existence of in-cis genomic variants that regulate their transcription. PMID: 28181565
- Iron loading caused cell proliferation in cancer cell lines, which were less able to regulate IREB2 expression than primary bronchial epithelial cells (PBECs). Iron chelation resulted in a return of proliferation rates to baseline levels; knockdown of IREB2 had a similar effect. IRP2-positive tumours were larger and higher percentage staining related to poorer survival. PMID: 28404645
- The rs13180 (IREB2), rs16969968 (CHRNA5) and rs1051730 (CHRNA3) were significantly associated with Chronic obstructive pulmonary disease (COPD) in additive model [Padj =0.00001, odds ratio (OR)=0.64; Padj =0.0001, OR=1.41 and Padj =0.0001, OR=1.47]. The C-G haplotype by rs13180 and rs1051730 was a protective factor for COPD in our population (Padj =0.0005, OR=0.61). PMID: 28474623
- IRP2 expression was associated with mutations in BRAF. PMID: 28281325
- The current results revealed that there was significant association between IREB2 gene rs2568494 polymorphism with susceptibility to Chronic Obstructive Pulmonary Disease. PMID: 26775557
- This study confirms that the IREB2 variants contribute to an increased risk of lung cancer, whereas FAM13A predisposes to increased susceptibility to chronic obstructive pulmonary disease. PMID: 26310313
- IREB2 - candidate gene for Chronic Obstructive Pulmonary Disease identified by Genome-wide association studies. PMID: 26527870
- Irp2 expression is increased in airway epithelial cells exposed to cigarette smoke. PMID: 26752519
- IRP2 can regulate the expression of TfR and Fn by changing its own protein expression and thereby regulate iron metabolism. PMID: 25117307
- Genetic variants near IREB2 and GALC likely contribute to genetic susceptibility to PAE associated with COPD. PMID: 25101718
- Haplotypes of IREB2 carrying major alleles of rs2568494 (G), rs2656069 (A), rs10851906 (A), rs965604 (C) and minor alleles of rs1964678 (T), rs12593229 (T) showed negative correlation with lung function amongst South Indian male smokers with COPD. PMID: 24587150
- IRE2 is located within genes previously associated with chronic obstructive pulmonary disease susceptibility. PMID: 25006744
- Ascorbate-induced up-regulation of cellular ferroportin levels was associated with increased levels of the iron regulatory protein IRP2, and the hypoxia-inducible factor HIF2alpha. PMID: 24394537
- dysregulation of IRP2 is an early nodal point underlying altered iron metabolism in breast cancer and may contribute to poor outcome of some patients with breast cancer PMID: 24285726
- IREB2 polymorphisms were associated with chronic obstructive pulmonary disease in non-smoking Chinese Han subjects PMID: 22914670
- A replication of association between two SNPs previously associated with COPD (CHRNA3/5 and IREB2), as well as an association with COPD of one locus initially associated with lung function (ADCY2). PMID: 22461431
- Ggenetic polymorphisms of the iron regulatory protein 1 and 2 genes may be associated with development of age-related macular degeneration. PMID: 22331484
- The data showed that IREB2 and CHRNA3 are potential genetic modifiers of chronic obstructive pulmonary disease in individuals with severe alpha-1 antitrypsin deficiency and may be sex-specific in their impact. PMID: 22356581
- IRP2 may affect the expressions of transferrin receptor and ferritin in lung adenocarcinoma A549 cells by changing the amount of protein and regulating the iron metabolism. PMID: 22093897
- under physiological, iron-sufficient conditions, the steady-state level of IRP2 in HEK293A cells is regulated by the nonproteasomal pathway. PMID: 21558272
- an apparent pro-oncogenic activity of IRP2 depends on its specific 73 amino acids insert, providing further evidence for a link between IRPs and cancer biology. PMID: 20405006
- confirmed that the IREB2 locus is a contributor to COPD susceptibility and suggested a new pathway in COPD pathogenesis invoking iron homeostasis PMID: 21320324
- variants in the IREB2 gene were only significantly associated with FEV. PMID: 20656943
- gene coding and flanking regions were sequenced and examined for mutations that might modulate the iron burden of individuals harboring the common mutant hemochromatosis HFE genotype or cause hemochromatosis independent of mutations in the HFE gene PMID: 11783942
- Multiple, conserved iron-responsive elements in the 3'-untranslated region of transferrin receptor mRNA enhance binding of iron regulatory protein 2 PMID: 12200453
- data suggest that the differential regulation of IRP1 and IRP2 during hypoxia may be important for cellular adaptation to low oxygen tension. PMID: 12855587
- 2-oxoglutarate-dependent dioxygenase activity may be involved in the oxygen and iron regulation of IRP2 protein stability PMID: 12888568
- Mutations in the IRP2 gene are not a common cause of Parkinson Diseasse associated with SN iron accumulation. PMID: 15057521
- IRP2 degradation involving 2-oxoglutarate-dependent oxygenase does not require the E3 ubiquitin ligase activity of pVHL PMID: 15777842
- IRP2 exists as monomer in both the apo-IRP2 form and in the IRP2/iron regulatory element (IRE) complex. PMID: 15938636
- IRP2 is the major regulator of intracellular iron homeostasis in humans. PMID: 16503547
- Two mutations,rs2656070 and rs13180 showed statistically significant skewing of allelic and genotypic distributions between Alzheimer's disease patients and controls PMID: 16914832
- Results describe thet effect of hypoxia on the binding and subcellular distribution of iron regulatory proteins 1 and 2. PMID: 17200797
- analysis of the iron regulatory protein system PMID: 17604281
- Hypertransfusional (>8 transfusions/year) iron in liver biopsies correlated with increased expression (RNA) for iron regulatory proteins 1 and 2 (3-, 9- to 11-fold) and hepcidin RNA: (5- to 8-fold), while ferritin H and L RNA remained constant. PMID: 17613866
- it is unlikely that the iron-dependent degradation of IRP2 is mediated by haem binding to the intact 73aa-Domain, since the sequence resembling an HRM in the 73aa-Domain does not provide an axial ligand of the cofactor unless this domain is cleaved PMID: 17760563
- These data demonstrate that HOIL-1 is not required for iron-dependent degradation of IRP2 in HEK293 cells, and suggest that a HOIL-1 independent mechanism is used for IRP2 degradation in most cell types. PMID: 17822790
- reversible phosphorylation of IRP2 during G(2)/M has a role in modulating the iron-independent expression of ferritin and other IRE-containing mRNAs during the cell cycle. PMID: 18574241
- A role for lysosomes in the turnover of IRP2 is reported. PMID: 18582596
- iron-independent mechanism for regulating iron homeostasis through the redox regulation of IRP2 cysteines. PMID: 19223469
- IREB2 has a role as a COPD susceptibility gene PMID: 19800047
顯示更多
收起更多
-
亞細胞定位:Cytoplasm.
-
蛋白家族:Aconitase/IPM isomerase family
-
數據庫鏈接:
Most popular with customers
-
-
Phospho-YAP1 (S127) Recombinant Monoclonal Antibody
Applications: ELISA, WB, IHC
Species Reactivity: Human
-
-
-
-
-
-















