INSL3 Antibody
-
中文名稱:INSL3兔多克隆抗體
-
貨號:CSB-PA489038
-
規格:¥1090
-
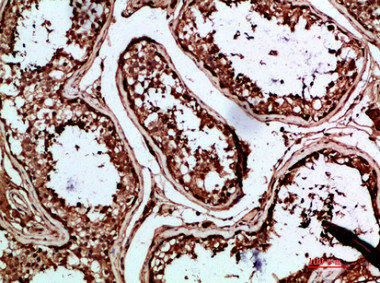
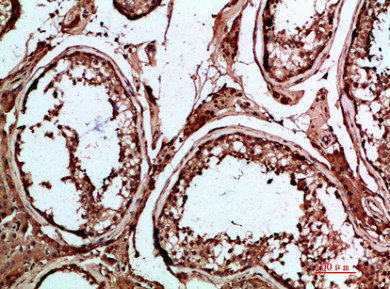
圖片:
-
其他:
產品詳情
-
Uniprot No.:
-
基因名:INSL3
-
別名:INSL 3 antibody; INSL3 antibody; INSL3_HUMAN antibody; Insulin like 3 antibody; insulin like peptide, Leydig cell-specific antibody; insulin-like 3 (Leydig cell) antibody; Insulin-like 3 A chain antibody; Ley IL antibody; Ley-I-L antibody; leydig insulin -like hormone antibody; Leydig insulin like peptide antibody; Leydig insulin-like peptide antibody; prepro-INSL3 antibody; Relaxin like factor antibody; Relaxin-like factor antibody; relaxin-like factor b antibody; RLF antibody; RLNL antibody
-
宿主:Rabbit
-
反應種屬:Human
-
免疫原:Synthetic peptide from Human protein at AA range: 10-50
-
免疫原種屬:Homo sapiens (Human)
-
標記方式:Non-conjugated
-
純化方式:The antibody was affinity-purified from rabbit serum by affinity-chromatography using specific immunogen.
-
濃度:It differs from different batches. Please contact us to confirm it.
-
保存緩沖液:Liquid in PBS containing 50% glycerol, 0.5% BSA and 0.02% sodium azide.
-
產品提供形式:Liquid
-
應用范圍:IHC,ELISA
-
推薦稀釋比:
Application Recommended Dilution IHC IHC-p:1:50-300 ELISA 1:10000-20000 -
Protocols:
-
儲存條件:Upon receipt, store at -20°C or -80°C. Avoid repeated freeze.
-
貨期:Basically, we can dispatch the products out in 1-3 working days after receiving your orders. Delivery time maybe differs from different purchasing way or location, please kindly consult your local distributors for specific delivery time.
-
用途:For Research Use Only. Not for use in diagnostic or therapeutic procedures.
相關產品
靶點詳情
-
功能:Seems to play a role in testicular function. May be a trophic hormone with a role in testicular descent in fetal life. Is a ligand for LGR8 receptor.
-
基因功能參考文獻:
- Variants of the INSL3 gene are prevalent in patients with testicular torsion instead of healthy subjects. PMID: 29785651
- The strong positive correlation between INSL3, and high ovarian androgens levels in all polycystic ovary syndrome women, which appeared clearly in undescended polycystic ovaries could support the proposed syndrome hypothesis between those abnormal findings. PMID: 29254383
- KLF6-mediated activation of the human INSL3 promoter required an intact KLF element as well as Leydig/Sertoli-enriched factors. KLF6 transcriptionally cooperates with NUR77 and SF1. our results identify KLF6 as a regulator of human INSL3 transcription. PMID: 26874000
- The INSL3 G178A polymorphism was not significantly associated with spermatozoa or no spermatozoa in the testes of males with a history of bilateral cryptorchidism. I The evidence suggests that mutations of INSL3 may not directly contribute to the damage of spermatogenesis in patients with bilateral cryptorchidism history. PMID: 26840636
- hINSL3 seems to recruit Aund spermatogonia into differentiation, potentially mediating an Fsh effect on spermatogenesis. PMID: 26077926
- Healthy eumenorrheic late adolescent females with sporadic anovulation display higher INSL3 blood concentration. PMID: 26579638
- rs6523 polymorphism and AGAG haplotype of INSL3 showed significant association with increased risk of polycystic ovary syndrome. PMID: 26625974
- INSL3 in girls is a unique and specific marker of theca cells surrounding antral follicles. PMID: 25516081
- Three common INSL3 gene polymorphisms (27G>A, 126G>A, 178G>A) unrelated to any particular phenotype of testicular maldescent (TMD) were detected both in patients and controls, indicating that INSL3 gene mutations are not a common cause of TMD. PMID: 25728210
- DLK1, INSL3 and COUP-TFII expression changes during normal development and is linked to different stages of Leydig Cell differentiation. PMID: 24908673
- low INSL3 concentration is related to the pathogenesis behind an unfavourable change in body composition and bone metabolism among Klinefelter syndrome patients PMID: 24659579
- The aim of this study was to assess plasma INSL3 in patients with osteoporosis and Klinefelter's Syndrome compared to healthy males. PMID: 24640568
- INSL3 is as sensitive a marker as T for the evaluation of altered Leydig cell function in congenital hypogonadotropic hypogonadism/Kallmann syndrome patients. PMID: 24243640
- INSL3 and AMH levels are significantly correlated with each other in women with PCOS, and they are significantly increased, particularly in the presence of amenorrhea and oligomenorrhea. PMID: 23928669
- Findings suggest a novel and gender-specific role for INSL3 and cognate receptor RXFP2 signaling in ocular surface homeostasis. PMID: 23539510
- Most Prader-Willi syndrome males have normal INSL3 levels. PMID: 23150680
- In the meta-analysis, INSL3 rs10421916 and rs11088680 had both a 0.8-fold decreased odds ratio for gastric cancer. PMID: 23028900
- Cystin A11-B10 serves as an insulator between the two ports, whereas the amide functionality disturbs the signal transmission complex likely due to changes in polarity. PMID: 22574850
- Data suggest that insulin-like factor 3 is related to functional ovarian hyperandrogenism in women with polycystic ovary syndrome. PMID: 21586896
- study demonstrates that the INSL3/RXFP2 system is involved in bone metabolism by acting on the MAPK cascade and stimulating transcription of important genes of osteoblast maturation/differentiation and osteoclastogenesis PMID: 22216350
- Data show that synthetic parallel dimer of the B-chain of INSL3 is a potent inhibitor of the native peptide's binding to its receptor, RXFP2. PMID: 20560146
- The current knowledge of INSL3, its involvement in testicular descent and germ cell survival, verifies that this Leydig cell hormone is an important player in testicular physiology[review] PMID: 20550598
- High INSL3 is associated with testicular Leydig cell tumors. PMID: 19110449
- investigation of INSL3 structural requirements (i.e., intra-A-chain disulfide bonds) for binding to & activation of RXFP2 PMID: 20570702
- INSL3 is a powerful and multifunctional promoter of tumor growth and angiogenesis in human thyroid cancer cell xenografts. INSL3 actions involve RXFP2 activation and the secretion of S100A4 and (pro-)cathepsin-L PMID: 19950223
- Results describe the in vitro degradation of insulin-like peptide 3 by insulin-degrading enzyme. PMID: 20082125
- Analogues of INSL3 with higher alpha-helicity had higher receptor binding affinity. PMID: 19067106
- A novel mutation in this protein is found in patients with cryptorchidism. PMID: 12601553
- differentially expressed in hyperplastic and neoplastic thyrocytes, and in various thyroid diseases PMID: 12684664
- the only clinical consequence of alterations of the INSL3-LGR8 system seems to be failure of the testis to normally descend in the scrotum during embryonic development, without affecting the spermatogenic and endocrine components of the testis itself PMID: 12970298
- Analysis of men treated with different combinations of hormones of the hypothalamus-pituitary-testis axis suggests that the production of INSL3 is related to LH in a manner similar to that of the LH-testosterone axis. PMID: 15579743
- Although a common polymorphism was identified in the INSL3 gene, no mutations were observed. Lack of association between genetic factors necessary for correct testicular descent and anorchia. PMID: 15579790
- LGR8 signal is activated by the relaxin-like factor PMID: 15708846
- Even testosterone and INSL3 are both dependent on lutropin, thesse two Leydig cell hormones are regulated differently. PMID: 15755855
- relaxin-like hormones appear to be present early during C-cell hyperplasia and potentially functional relaxin/INSL3 ligand-receptor systems are present in human medullary thyroid carcinoma tissues and cell lines PMID: 15956746
- Analysis of men treated with different combinations of hormones of the hypothalamus-pituitary-testis axis suggests that the production of INSL3 is related to the luteinizing hormone PMID: 15956751
- Strongest INSL3 expression was detected in the basal epithelial cell compartment of the prostate epithelial cells, while weaker mRNA expression and immunoreactive production were observed in secretory epithelial cells. PMID: 16010410
- INSL3 is not sensitive to gonadotropin stimulation in normal men, but declines markedly in response to gonadotropin deprivation. PMID: 16394084
- Thus, the human INSL3 promoter constitutes a novel target for the orphan nuclear receptor Nur77. PMID: 16467267
- Results showed a significant association of INSL3 gene mutations in men presenting one or more signs of testicular dysgenesis syndrome. PMID: 16687567
- INSL3 was found to adopt a characteristic relaxin/insulin-like fold in solution but is a highly dynamic molecule. The four termini of this two-chain peptide are disordered, and additional conformational exchange is evident in the molecular core. PMID: 16867980
- The data show that INSL3 is an independent measure of Leydig cell function (quality and number), which appears to be independent of acute control via the HPG axis. PMID: 17014531
- The results, in conjunction with the previous data, suggest that mutations of INSL3 and LGR8/GREAT remain rare, and that the Thr/Thr genotype of Ala60Thr polymorphism in INSL3 may constitute a susceptibility factor for the development of cryptorchidism. PMID: 17028442
- INSL3 blood levels may be higher in men with persistent spermatogenesis during treatment with male hormonal contraceptives. PMID: 17314233
- INSL3 could be considered a new circulating hormone related to LH-dependent ovarian hyperandrogenism, particularly in normal-weight polycystic ovary women PMID: 17356050
- Mutations involving the insulin-like factor 3 gene may contribute to other anomalies of male genital development, such as micropenis. PMID: 17437853
- predicted the complete INSL3/LGR8 primary binding site, including interactions between INSL3 His-B12 and LGR8 Trp-177, INSL3 Val-B19 and LGR8 Ile-179, and INSL3 Arg-B20 with LGR8 Asp-181 and Glu-229 PMID: 17473281
- Higher blood levels may be indicative of ovarian cancer. PMID: 17549672
- The common INSL3 G178A polymorphism was not statistically significantly associated with male infertility. PMID: 17559848
- In boys, early postnatal INSL3 is markedly higher as compared with later childhood, presumably because it is stimulated by the transient postnatal LH peak PMID: 17666478
顯示更多
收起更多
-
相關疾?。?/div>Cryptorchidism (CRYPTO)亞細胞定位:Secreted.蛋白家族:Insulin family組織特異性:Expressed in prenatal and postnatal Leydig cells. Found as well in the corpus luteum, trophoblast, fetal membranes and breast.數據庫鏈接:
Most popular with customers
-
-
YWHAB Recombinant Monoclonal Antibody
Applications: ELISA, WB, IHC, IF, FC
Species Reactivity: Human, Mouse, Rat
-
Phospho-YAP1 (S127) Recombinant Monoclonal Antibody
Applications: ELISA, WB, IHC
Species Reactivity: Human
-
-
-
-
-















