IL18R1 Antibody
-
中文名稱:IL18R1兔多克隆抗體
-
貨號:CSB-PA140943
-
規格:¥1100
-
圖片:
-
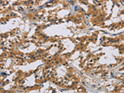
The image is immunohistochemistry of paraffin-embedded Human thyroid cancer tissue using CSB-PA140943(IL18R1 Antibody) at dilution 1/40. (Original magnification: ×200)
-
The image is immunohistochemistry of paraffin-embedded Human brain tissue using CSB-PA140943(IL18R1 Antibody) at dilution 1/40. (Original magnification: ×200)
-
-
其他:
產品詳情
-
Uniprot No.:
-
基因名:
-
別名:CD218 antigen-like family member A antibody; CD218a antibody; CDw218a antibody; CDw218a antigen antibody; IL 1Rrp antibody; IL-18R-1 antibody; IL-18R1 antibody; IL-1Rrp antibody; IL1 receptor related protein antibody; IL1 receptor-related protein antibody; IL18R_HUMAN antibody; IL18R1 antibody; IL18RA antibody; Il18ralpha antibody; IL1R-rp antibody; IL1RRP antibody; Interleukin 18 receptor 1 antibody; Interleukin 18 receptor, alpha chain antibody; Interleukin-18 receptor 1 antibody
-
宿主:Rabbit
-
反應種屬:Human
-
免疫原:Fusion protein of Human IL18R1
-
免疫原種屬:Homo sapiens (Human)
-
標記方式:Non-conjugated
-
抗體亞型:IgG
-
純化方式:Antigen affinity purification
-
濃度:It differs from different batches. Please contact us to confirm it.
-
保存緩沖液:-20°C, pH7.4 PBS, 0.05% NaN3, 40% Glycerol
-
產品提供形式:Liquid
-
應用范圍:ELISA,IHC
-
推薦稀釋比:
Application Recommended Dilution ELISA 1:2000-1:5000 IHC 1:50-1:200 -
Protocols:
-
儲存條件:Upon receipt, store at -20°C or -80°C. Avoid repeated freeze.
-
貨期:Basically, we can dispatch the products out in 1-3 working days after receiving your orders. Delivery time maybe differs from different purchasing way or location, please kindly consult your local distributors for specific delivery time.
-
用途:For Research Use Only. Not for use in diagnostic or therapeutic procedures.
相關產品
靶點詳情
-
功能:Within the IL18 receptor complex, responsible for the binding of the proinflammatory cytokine IL18, but not IL1A nor IL1B. Involved in IL18-mediated IFNG synthesis from T-helper 1 (Th1) cells. Contributes to IL18-induced cytokine production, either independently of SLC12A3, or as a complex with SLC12A3.
-
基因功能參考文獻:
- IL-18, IL-18R and IL-18BP expression in eosinophil are involved in the inflammatory reaction of asthma. PMID: 28395725
- IL18R1 rs1035130 may be associated with schizophrenia. PMID: 26736035
- IL-18 and IL-18R polymorphisms may contribute to the development and lymph node metastasis of PTC. PMID: 26600055
- strong evidence that IL-18 and IL18Ralpha have important functions in the pathogenesis of allergic asthma PMID: 26561030
- PDGFB and IL18R1 represent plausible candidates for studying the pathophysiology of these disorders in the context of TLR4 activation PMID: 25327457
- The architecture of the IL-18 receptor second domain (D2) is unique among the other IL-1R family members, which presumably distinguishes them from the IL-1 receptors that exhibit a more promiscuous ligand recognition mode. PMID: 25500532
- polymorphisms in the interleukin 18 receptor 1 gene and tuberculosis susceptibility among Chinese PMID: 25360588
- IL-37 requires the receptors IL-18Ralpha and IL-1R8 to carry out its multifaceted anti-inflammatory program upon innate signal transduction. PMID: 25729923
- There was no association between the rs917997 in IL18R gene and rs187238 in IL18 gene polymorphisms and risk for non-Hodgkin's malignant lymphomas in Novosibirsk population. PMID: 24909718
- IL-18, IL-18BP, and IL-18R may have roles in the pathogenesis of epithelial ovarian carcinoma PMID: 24963217
- IL-18R downregulates IFN-alpha production by activation-induced splicing of IL-18Ralpha into 2 isoforms: the full-length receptor (IL-18Ralpha1) and a novel, truncated variant (IL-18Ralpha2), a competitive molecular decoy inhibiting canonical IL-18Ralpha1/IL-18Rbeta signaling. PMID: 25170117
- structural basis for the specific recognition of IL-18 by its alpha receptor PMID: 25261253
- increased levels of soluble IL-18Ralpha complex in serum may also exert an antagonistic effect in vivo and play an important role in the inflammatory process in allergic asthma. PMID: 23963474
- Association between single nucleotide polymorphisms in the IL18R1, IL18 and interferon-gamma genes and smallpox vaccine induced adaptive immunity. PMID: 23901078
- Our study reveals the important role of IL12/IL18-mediated transcriptional regulation of IFN-gamma production in leprosy. PMID: 23103228
- Genetic variation in the promoter region of IL18, but not IL18R1, may be associated with knee osteoarthritis. PMID: 22136483
- The soluble IL-18Ralpha complex could be a potentially useful biomarker for the diagnosis of rheumatoid arthritis PMID: 21435242
- IL18 and its receptor may play an important role in the pathogenesis of allergic asthma. PMID: 21965503
- IL18 and IL18R1 genes as plausible genes regulating the humoral immune response to smallpox vaccine in both Caucasians and African Americans. PMID: 21742843
- The levels of plasma IL-18 and IL-18R on CD3(+) lymphocytes were significantly increased in active phase immune thrombocytopenia than in remission phase and controls. PMID: 19954659
- Report increased expression of IL18R1 in multiple sclerosis but did not find evidence of a genetic association with SNPs. PMID: 20354066
- These data suggest a role for IL-1F family members in psoriasis. PMID: 20833839
- IL-18 and IL-18Ralpha might upregulate the expression of Th1-cytokines in immune thrombocytopenia patients. PMID: 20627039
- Interleukin-18 receptor expression may possibly be responsible for the pathologic process of adenomyosis. PMID: 19394601
- These results demonstrate how IL-18 activity is regulated by TNFalpha and TGF-beta1, and how IFNgamma production through regulation of IL-18 receptor and T-bet expression. PMID: 19879772
- Expression of the IL-18 receptor is demonstrated on dendritic cells (DC) in peripheral blood and epidermis; on monocyte-derived DC its expression is up-regulated by interferon-gamma. PMID: 14662834
- The biologically active IL-8R complex requires the membrane-proximal third immunoglobulin-like domain in IL-18Ralpha for formation of IL-18R ternary complex as well as for signaling involved in IL-18-induced interferon-gamma in natural killer cells. PMID: 14662859
- IL-1F6, IL-1F8, and IL-1F9 signal through IL-1Rrp2 and IL-1RAcP in Jurkat cells. PMID: 14734551
- the promoter region of IL-18 receptor has two novel single nucleotide polymorphisms PMID: 15009178
- Thus, our results identified a functional region in the IL-1R AcP required for the recruitment and activation of PI 3-kinase. PMID: 15044087
- Transfection of C33A cervical cancer cells with the IL-18 receptor induced IL-18 expression, and enhanced intracellular reactive oxygen species and Fas expression. PMID: 15202785
- review of structure, function and tissue distribution of IL-18R [review] PMID: 15323361
- The overexpression of IL-18Ralpha predominantly by CD4+ T cells in sarcoidosis emphasizes crucial roles played by T-helper type 1 cells in the IL-18/IL-18Ralpha system in sarcoidosis PMID: 16236915
- Two IFN-gammaR2 chains interact through species-specific determinants in their extracellular domains. Finally, these determinants also participate in the interaction of IFN-gammaR2 with IFN-gammaR1. PMID: 16467876
- our data show that variola virus IL-18BP prevents IL-18 from binding to IL-18R by interacting with three residues that are part of the binding site for hIL-18Ralpha. PMID: 16979683
- A twofold increase in the percentage of CD4-resting T cells expressing IL-12Rbeta1 and IL-18Ralpha from HIV-1-infected patients; deregulation of the IL-12 and IL-18 pathways may play a role in the immunopathogenesis of HIV-1 infection. PMID: 17403771
- There is a significant association between polymorphisms of interleukin 18 receptor 1 and asthma. PMID: 18382474
- Our analysis suggests that the variability of IL18R1 genes is unlikely to contribute to modulate the risk of cardiovascular disease PMID: 19473509
顯示更多
收起更多
-
亞細胞定位:Membrane; Single-pass type I membrane protein.
-
蛋白家族:Interleukin-1 receptor family
-
組織特異性:Highly expressed in leukocytes, spleen, lung. Also expressed, but at lower levels, in liver, small intestine, colon, prostate, thymus, placenta, and heart. Specifically coexpressed with IL18R1 in Th1 cells.
-
數據庫鏈接:
Most popular with customers
-
-
YWHAB Recombinant Monoclonal Antibody
Applications: ELISA, WB, IHC, IF, FC
Species Reactivity: Human, Mouse, Rat
-
Phospho-YAP1 (S127) Recombinant Monoclonal Antibody
Applications: ELISA, WB, IHC
Species Reactivity: Human
-
-
-
-
-















