IL17RC Antibody
-
中文名稱:IL17RC兔多克隆抗體
-
貨號:CSB-PA316039
-
規格:¥1100
-
圖片:
-
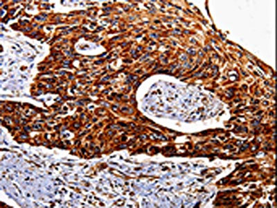
The image is immunohistochemistry of paraffin-embedded Human esophagus cancer tissue using CSB-PA316039(IL17RC Antibody) at dilution 1/20. (Original magnification: ×200)
-
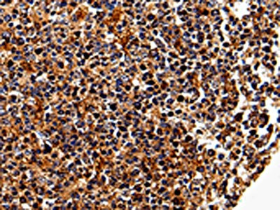
The image is immunohistochemistry of paraffin-embedded Human tonsil tissue using CSB-PA316039(IL17RC Antibody) at dilution 1/20. (Original magnification: ×200)
-
-
其他:
產品詳情
-
Uniprot No.:
-
基因名:
-
別名:IL17RC antibody; UNQ6118/PRO20040/PRO38901Interleukin-17 receptor C antibody; IL-17 receptor C antibody; IL-17RC antibody; Interleukin-17 receptor homolog antibody; IL17Rhom antibody; Interleukin-17 receptor-like protein antibody; IL-17RL antibody; ZcytoR14 antibody
-
宿主:Rabbit
-
反應種屬:Human
-
免疫原:Fusion protein of Human IL17RC
-
免疫原種屬:Homo sapiens (Human)
-
標記方式:Non-conjugated
-
抗體亞型:IgG
-
純化方式:Antigen affinity purification
-
濃度:It differs from different batches. Please contact us to confirm it.
-
保存緩沖液:-20°C, pH7.4 PBS, 0.05% NaN3, 40% Glycerol
-
產品提供形式:Liquid
-
應用范圍:ELISA,IHC
-
推薦稀釋比:
Application Recommended Dilution ELISA 1:1000-1:10000 IHC 1:25-1:100 -
Protocols:
-
儲存條件:Upon receipt, store at -20°C or -80°C. Avoid repeated freeze.
-
貨期:Basically, we can dispatch the products out in 1-3 working days after receiving your orders. Delivery time maybe differs from different purchasing way or location, please kindly consult your local distributors for specific delivery time.
-
用途:For Research Use Only. Not for use in diagnostic or therapeutic procedures.
相關產品
靶點詳情
-
功能:Receptor for IL17A and IL17F, major effector cytokines of innate and adaptive immune system involved in antimicrobial host defense and maintenance of tissue integrity. Receptor for IL17A and IL17F, major effector cytokines of innate and adaptive immune system involved in antimicrobial host defense and maintenance of tissue integrity. Receptor for IL17A and IL17F homodimers as part of a heterodimeric complex with IL17RA. Receptor for the heterodimer formed by IL17A and IL17B as part of a heterodimeric complex with IL17RA. Has also been shown to be the cognate receptor for IL17F and to bind IL17A with high affinity without the need for IL17RA. Upon binding of IL17F homodimer triggers downstream activation of TRAF6 and NF-kappa-B signaling pathway. Induces transcriptional activation of IL33, a potent cytokine that stimulates group 2 innate lymphoid cells and adaptive T-helper 2 cells involved in pulmonary allergic response to fungi. Promotes sympathetic innervation of peripheral organs by coordinating the communication between gamma-delta T cells and parenchymal cells. Stimulates sympathetic innervation of thermogenic adipose tissue by driving TGFB1 expression. Binding of IL17A-IL17F to IL17RA-IL17RC heterodimeric receptor complex triggers homotypic interaction of IL17RA and IL17RC chains with TRAF3IP2 adapter through SEFIR domains. This leads to downstream TRAF6-mediated activation of NF-kappa-B and MAPkinase pathways ultimately resulting in transcriptional activation of cytokines, chemokines, antimicrobial peptides and matrix metalloproteinases, with potential strong immune inflammation. Primarily induces neutrophil activation and recruitment at infection and inflammatory sites. Stimulates the production of antimicrobial beta-defensins DEFB1, DEFB103A, and DEFB104A by mucosal epithelial cells, limiting the entry of microbes through the epithelial barriers.; Receptor for both IL17A and IL17F.; Does not bind IL17A or IL17F.; Does not bind IL17A or IL17F.; Receptor for both IL17A and IL17F.
-
基因功能參考文獻:
- Five SNPs in the IL17RC (and COL6A1) genes were found to be associated with susceptibility to ossification of the posterior longitudinal ligament in Han Chinese patients. PMID: 29764467
- IL-17RC rs708567 polymorphism in A/A genotype, G/G genotype, and G/a genotype did not seem to influence RA susceptibility in Tunisian population. PMID: 29584788
- methylation of IL17RC could play as a marker in CNV and degeneration of RPE cells in vitro. PMID: 26731132
- Interleukin 17A (IL17a) and interleukin-23 (IL-23) - dependent interleukin-17 receptor C (IL-17RC) are expressed by sputum and neutrophils in deltaF508-CFTR protein (F508del) cystic fibrosis patients. PMID: 27155366
- human IL-17RC is essential for mucocutaneous immunity to C. albicans but is otherwise largely redundant. PMID: 25918342
- results suggested a potential involvement of IL-17RC+CD8+ T cells in pathogenesis of ocular sarcoidosis PMID: 24885153
- IL-17RC predisposes to the development of adolescent idiopathic scoliosis in a Chinese Han population. PMID: 22999050
- Overall, our study found a significant association of IL-17RC gene polymorphisms with AIS in a Chinese Han population, indicating IL-17RC gene may be as a susceptibility gene for AIS. PMID: 22744455
- IL-17 and its receptor IL-17RC are involved in rheumatoid arthritis synovial fluid-mediated chemotaxis in human lung microvascular endothelial cell culture. PMID: 20173024
- IL-17RL exists as multiple isoforms due to extensive alternative splicing. Changes in RNA IL-17RL splicing occur in advanced cancers. PMID: 16688746
- The biologic activity of IL-17 is dependent on a complex composed of receptors IL-17RA and IL-17RC. PMID: 16785495
- IL-17RC functions as a receptor for both IL-17A and IL-17F; a soluble version of this protein should be an effective antagonist of IL-17A and IL-17F mediated inflammatory diseases. PMID: 17911633
- IL-17A-induced IL-6, IL-8, and CCL20 secretion was dependent on both IL-17RA and IL-17RC, which are overexpressed in RA patients. PMID: 18097068
- Interleukin-17F is inhibited by the IL-17RC receptor, a combination of soluble IL-17RA/IL-17RC receptors is required for inhibition of the IL-17F/IL-17A activity. PMID: 18684971
顯示更多
收起更多
-
相關疾病:Candidiasis, familial, 9 (CANDF9)
-
亞細胞定位:Cell membrane; Single-pass type I membrane protein. Note=Soluble isoforms may be produced.
-
組織特異性:Expressed in prostate, skeletal muscle, kidney and placenta (at protein level). Expressed in brain, cartilage, colon, heart, intestine, kidney, liver, lung, muscle, placenta, and prostate. Also detected in thyroid, trachea and adrenal gland. Low expressio
-
數據庫鏈接:
Most popular with customers
-
-
Phospho-YAP1 (S127) Recombinant Monoclonal Antibody
Applications: ELISA, WB, IHC
Species Reactivity: Human
-
-
-
-
-
-















