IL10RB Antibody
-
中文名稱:IL10RB兔多克隆抗體
-
貨號:CSB-PA294228
-
規格:¥1100
-
圖片:
-
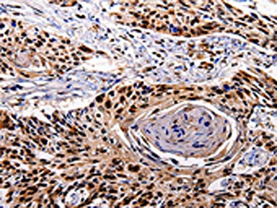
The image is immunohistochemistry of paraffin-embedded Human cervical cancer tissue using CSB-PA294228(IL10RB Antibody) at dilution 1/20. (Original magnification: ×200)
-
The image is immunohistochemistry of paraffin-embedded Human esophagus cancer tissue using CSB-PA294228(IL10RB Antibody) at dilution 1/20. (Original magnification: ×200)
-
-
其他:
產品詳情
-
Uniprot No.:
-
基因名:
-
別名:Cd210 antibody; CDw210b antibody; CRF2 4 antibody; CRF2-4 antibody; CRFB4 antibody; Cytokine receptor class II antibody; Cytokine receptor class II CRF2 4 antibody; Cytokine receptor class-II member 4 antibody; Cytokine receptor family 2 member 4 antibody; Cytokine receptor family II member 4 antibody; D21S58 antibody; D21S66 antibody; I10R2_HUMAN antibody; IL-10 receptor subunit beta antibody; IL-10R subunit 2 antibody; IL-10R subunit beta antibody; IL-10R2 antibody; IL-10RB antibody; IL10R2 antibody; IL10RB antibody; Interleukin 10 receptor beta antibody; Interleukin-10 receptor subunit 2 antibody; Interleukin-10 receptor subunit beta antibody
-
宿主:Rabbit
-
反應種屬:Human
-
免疫原:Fusion protein of Human IL10RB
-
免疫原種屬:Homo sapiens (Human)
-
標記方式:Non-conjugated
-
抗體亞型:IgG
-
純化方式:Antigen affinity purification
-
濃度:It differs from different batches. Please contact us to confirm it.
-
保存緩沖液:-20°C, pH7.4 PBS, 0.05% NaN3, 40% Glycerol
-
產品提供形式:Liquid
-
應用范圍:ELISA,IHC
-
推薦稀釋比:
Application Recommended Dilution ELISA 1:1000-1:10000 IHC 1:25-1:100 -
Protocols:
-
儲存條件:Upon receipt, store at -20°C or -80°C. Avoid repeated freeze.
-
貨期:Basically, we can dispatch the products out in 1-3 working days after receiving your orders. Delivery time maybe differs from different purchasing way or location, please kindly consult your local distributors for specific delivery time.
-
用途:For Research Use Only. Not for use in diagnostic or therapeutic procedures.
相關產品
靶點詳情
-
功能:Shared cell surface receptor required for the activation of five class 2 cytokines: IL10, IL22, IL26, IL28, and IFNL1. The IFNLR1/IL10RB dimer is a receptor for the cytokine ligands IFNL2 and IFNL3 and mediates their antiviral activity. The ligand/receptor complex stimulate the activation of the JAK/STAT signaling pathway leading to the expression of IFN-stimulated genes (ISG), which contribute to the antiviral state.
-
基因功能參考文獻:
- IFN-lambda4 suppressed HIV infection of macrophages. This IFN-lambda4-mediated HIV inhibition was compromised by the antibodies against IFN-lambda receptor complex, IFN-lambdaR1/IL-10R2. PMID: 30247785
- IL-10 and IL-10R gene polymorphisms may not contribute to the susceptibility to MM but may be associated with the severity and prognosis of MM. In particular, IL-10RB K47E polymorphism may contribute to the poor prognosis of MM patients treated with thalidomide and/or bortezomib. PMID: 27405747
- systemic mRNA expression of IL10RB strongly differentiated children who failed to achieve asthma control with triamcinolone administration PMID: 27665382
- IL10R2 Overexpression promotes IL22/STAT3 signaling in colorectal carcinogenesis. PMID: 26130064
- High IL10RB expression is associated with diffuse large B-cell lymphoma. PMID: 25733167
- PAPL, IL10RB and DEPDC5 polymorphisms have an impact on progression of hepatitis B virus-related liver disease. PMID: 25032264
- Results show that the distribution of IL10RB and IL28RA genotypes among the Hepatitis C virus-infected and control groups did not differ significantly. PMID: 24144988
- Mutations in the IL10RB gene is associated with ulcerative colitis. PMID: 24216686
- IL-10RB rs2834167 (A/G) polymorphism may be a potential biomarker for susceptibility to systemic lupus erythematosus. PMID: 23749100
- Case Report: pediatric ulcerative colitis patient compound heterozygote for the IL10RB E47K polymorphism, inherited from his father. PMID: 24379584
- IL10RB polymorphisms are associated with Crohn's disease. PMID: 22550014
- distinct receptor complex that is utilized by all three IFN-lambda proteins for signaling and is composed of two subunits, a receptor designated CRF2-12 (also designated as IFN-lambdaR1) and a second subunit, CRF2-4 (also known as IL-10R2) PMID: 12483210
- sensitivity to recombinant interleukin-26(IL-26) of various cell lines strictly correlated with the expression of IL-20 receptor 1 and blocking antibodies against either IL-10 receptor 2 or IL-20 receptor 1 inhibited IL-26-dependent signal transduction PMID: 15178681
- These findings suggested that signaling through IL-10R2 may play a causative role in dcSSc. PMID: 18588853
- The IL-22R and IL-10R2 binding sites are juxtaposed on adjacent IL-22 surfaces contributed mostly by helices A, D, and F and loop AB. PMID: 18675824
- gene polymorphism in combination with IL-10 gene polymorphism is assiociated with GvHD in HLA-identical donor-recipient pairs PMID: 19409109
- Inhibition of S100A11 gene expression impairs the ability of keratinocytes to control vaccinia virus replication via downregulation of IFN-lambda receptor IL-10R2. PMID: 19577285
- The association with the susceptibility to HBV infection was only observed for IL10RB K47E when we compared the individuals with persistent HBV infection through nonmaternal transmission to the controls with asymptomatic self-limited HBV infection. PMID: 19714778
顯示更多
收起更多
-
相關疾病:Inflammatory bowel disease 25 (IBD25)
-
亞細胞定位:Membrane; Single-pass type I membrane protein.
-
蛋白家族:Type II cytokine receptor family
-
數據庫鏈接:
Most popular with customers
-
YWHAB Recombinant Monoclonal Antibody
Applications: ELISA, WB, IHC, IF, FC
Species Reactivity: Human, Mouse, Rat
-
Phospho-YAP1 (S127) Recombinant Monoclonal Antibody
Applications: ELISA, WB, IHC
Species Reactivity: Human
-
-
-
-
-
-















