IGFBP5 Antibody
-
中文名稱:IGFBP5兔多克隆抗體
-
貨號:CSB-PA372865
-
規格:¥1100
-
圖片:
-
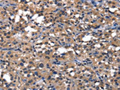
The image on the left is immunohistochemistry of paraffin-embedded Human liver cancer tissue using CSB-PA372865(IGFBP5 Antibody) at dilution 1/25, on the right is treated with fusion protein. (Original magnification: ×200)
-
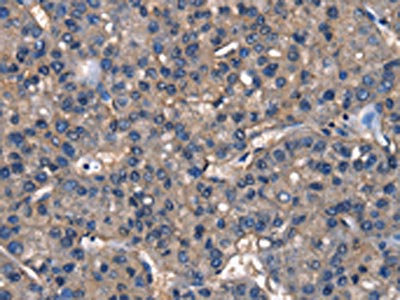
The image on the left is immunohistochemistry of paraffin-embedded Human thyroid cancer tissue using CSB-PA372865(IGFBP5 Antibody) at dilution 1/25, on the right is treated with fusion protein. (Original magnification: ×200)
-
-
其他:
產品詳情
-
Uniprot No.:
-
基因名:
-
別名:IBP 5 antibody; IBP-5 antibody; IBP5 antibody; IBP5_HUMAN antibody; IGF binding protein 5 antibody; IGF BP5 antibody; IGF-binding protein 5 antibody; IGFBP 5 antibody; IGFBP-5 antibody; IGFBP5 antibody; Insulin like growth factor binding protein 5 antibody; Insulin-like growth factor-binding protein 5 antibody
-
宿主:Rabbit
-
反應種屬:Human,Mouse,Rat
-
免疫原:Fusion protein of Human IGFBP5
-
免疫原種屬:Homo sapiens (Human)
-
標記方式:Non-conjugated
-
抗體亞型:IgG
-
純化方式:Antigen affinity purification
-
濃度:It differs from different batches. Please contact us to confirm it.
-
保存緩沖液:-20°C, pH7.4 PBS, 0.05% NaN3, 40% Glycerol
-
產品提供形式:Liquid
-
應用范圍:ELISA,IHC
-
推薦稀釋比:
Application Recommended Dilution ELISA 1:1000-1:2000 IHC 1:25-1:100 -
Protocols:
-
儲存條件:Upon receipt, store at -20°C or -80°C. Avoid repeated freeze.
-
貨期:Basically, we can dispatch the products out in 1-3 working days after receiving your orders. Delivery time maybe differs from different purchasing way or location, please kindly consult your local distributors for specific delivery time.
-
用途:For Research Use Only. Not for use in diagnostic or therapeutic procedures.
相關產品
靶點詳情
-
功能:IGF-binding proteins prolong the half-life of the IGFs and have been shown to either inhibit or stimulate the growth promoting effects of the IGFs on cell culture. They alter the interaction of IGFs with their cell surface receptors.
-
基因功能參考文獻:
- Data suggest that IGFBP5 nuclear import is mediated by KPNA5/KPNB1 complex; nuclear localization sequence of IGFBP5 is critical domain in this nuclear translocation. (IGFBP5 = insulin-like growth factor binding protein-5; KPNA5 = karyopherin subunit alpha-5; KPNB1 = karyopherin subunit beta-1/importin-beta) PMID: 28835592
- These results suggest that the C-terminus of IGFBP-5 exerts anti-cancer activity by inhibiting angiogenesis via regulation of the Akt/ERK and NF-kB-VEGF/MMP-9 signaling pathway. PMID: 28008951
- AMP-IBP5 markedly enhanced keratinocyte migration and proliferation. AMP-IBP5-induced keratinocyte activation was mediated by Mrg X1-X4 receptors with MAPK and NF-kappaB pathways. PMID: 28554590
- Factor Xa induced endothelial cell senescence through IGFBP-5. PMID: 27752126
- The findings suggest that miR-140 suppresses colorectal cancer progression and metastasis, possibly through downregulating ADAMTS5 and IGFBP5. PMID: 27906093
- MiR-137 inhibited cell proliferation and migration of vascular smooth muscle cells via targeting IGFBP-5 and modulating the mTOR/STAT3 signaling. PMID: 29016699
- dysregulation of DNMT3A and IGFBP5 is relevant to preeclampsia. Thus, we propose that DNMT3A and IGFBP5 can serve as potential markers and targets for the clinical diagnosis and therapy of preeclampsia. PMID: 28049695
- IGFBP5 promoter and exon-I methylation did not have any differences between tumor and adjacent tissues so that IGFBP5 methylation did not change IGFBP5 gene regulation in breast cancer. PMID: 27612043
- IGFBP5 promoted osteogenic differentiation potentials of periodontal ligament stem cells and Wharton's jelly umbilical cord stem cells via the JNK and MEK/Erk signalling pathways. PMID: 27484838
- Data demonstrate that dysregulation of miR-143-3p:Igfbp5 interactions in satellite cells with age may be responsible for age-related changes in satellite cell function. PMID: 26762731
- Results shed light on the mechanism of IGFBP5 as a potential tumor-suppressor in melanoma progression. PMID: 26010068
- data provide further insights into the role of cellular compartmentalization in IGFBP-5-induced fibrosis PMID: 26103640
- Demethylation of IGFBP5 by Histone Demethylase KDM6B Promotes Mesenchymal Stem Cell-Mediated Periodontal Tissue Regeneration by Enhancing Osteogenic Differentiation and Anti-Inflammation Potentials. PMID: 25827480
- rs4442975 at 2q35 flanks a transcriptional enhancer that physically interacts with the promoter of IGFBP5. Evidence suggests that the g-allele confers increased breast cancer susceptibility through relative downregulation of IGFBP5. PMID: 25248036
- IGFBP5 mRNA expression is a good indicator in clinical outcome of breast cancer patients. PMID: 25422220
- miR-204-5p suppresses IGFBP5 expression by direct binding to the 3' untranslated region. PMID: 25603050
- IGFBP-5 may be a negative modulator of RASSF1C/ PIWIL1 growth-promoting activities. PMID: 25007054
- IGFBP-5 induces its pro-fibrotic effects, at least in part, via DOK5. IGFBP-5 and DOK5 are both increased in systemic sclerosis fibroblasts and tissues and may thus be acting in concert to promote fibrosis. PMID: 24551065
- IGFBP-5 is important in maintaining epithelial-mesenchymal boundaries and thus may limit metastasis and fibrosis by inducing an orderly repair mechanism, very distinct from the fibrotic disruption induced by TGFbeta1. PMID: 24120850
- Serum IGFBP-5 concentrations were lower in Crohn's disease patients compared to healthy controls regardless of disease activity or the presence of stricture formation. PMID: 24379630
- IGFBP-5 modulates the efficiency of estrogen-triggered activation of the Akt/PKB signaling pathway which has been associated with growth factor/ ERalpha cross-talks. PMID: 23499909
- IGFBP-5 overexpression is a poor prognostic factor in patients with urothelial carcinomas of upper urinary tracts and urinary bladder. PMID: 23539739
- IGFBP5 domains modulate tumorigenicity and metastasis of human osteosarcoma in different ways PMID: 23665505
- Data suggest that insulin-like growth factor-binding protein 5 (IGFBP5) regulation by calcium-dependent chloride channel DOG1. PMID: 23576565
- The IGFBP5 enhanced adhesion, it inhibited cell migration, although this was not evident using the truncated C-terminal mutant, suggesting that effects of IGFBP5 on adhesion and migration involve different mechanisms. PMID: 22328518
- c-Src and IL-6 inhibit osteoblast differentiation and integrate IGFBP5 signalling PMID: 22252554
- This study demonistrated that IGFBP5 was significantly decreased in skeletal muscel in patient with amyotrophic lateral sclerosis. PMID: 22246875
- Data revealed a strong induction of several genes encoding components of the extracellular matrix, such as collagens, COMP, IGFBP5 and biglycan. PMID: 21029365
- Insulin-like growth factor binding protein 5 is a novel marker that has an important role in the pathogenesis of osteosarcoma. The loss of insulin-like growth factor binding protein 5 function may contribute to metastasis in osteosarcoma. PMID: 21460855
- The IGFBP5 polymorphism is functional and may potentially be a biomarker for susceptibility to late-stage risk of squamous cell carcinoma of the head and neck. PMID: 20949447
- results suggest that PGE(2) may play an important role in controlling cellular senescence of HDFs through the regulation of IGFBP5 and therefore may contribute to inflammatory disorders associated with aging PMID: 21191810
- Decreased Cav-1 expression in fibrotic diseases likely leads to increased deposition of IGFBP-5 in the extracellular matrix. PMID: 20345844
- the L-domain of IGFBP-5 is a novel TNFR1 ligand that functions as a competitive TNF-alpha inhibitor. PMID: 21256825
- IGFBP-5 has an effect on human hair shape. PMID: 20944648
- Data indicate that retinal astrocytes enhance the proliferation of cone-like retinoblastoma cells by deploying IGFBP5, a factor that also provides trophic support to the tumor cells' non-neoplastic counterparts. PMID: 20508032
- Data show that IGFBP5 expression is down-regulated during 4HPR-induced neuronal differentiation of human RPE cells through a MAPK signal transduction pathway involving C/EBPbeta. PMID: 20583135
- insulin-like growth factor binding protein 5 is a modulator of tamoxifen resistance in breast cancer PMID: 20354179
- Regulation of the IGFBP-5 and MMP-13 genes by the microRNAs miR-140 and miR-27a in human osteoarthritic chondrocytes. PMID: 19948051
- Insulin-like growth factor-binding protein 5 (IGFBP-5) interacts with a four and a half LIM protein 2 (FHL2). PMID: 11821401
- role in stimulating growth and IGF-I secretion in intestinal smooth muscle by ras-dependent activation of MAP kinase signaling pathways PMID: 11923300
- c-Myb and B-Myb transactivate the IGFBP-5 promoter through binding-dependent and -independent mechanisms. PMID: 11973331
- cDNA probes were used to analyze the gene expression of IGFBP-5 in luteinized granulosa cells from different-sized follicles after ovarian hyperstimulation. Transcript levels increased with increasing follicular fluid (FF) volume PMID: 12005306
- IGFBP-5 is a potent growth inhibitor and proapoptotic agent in human breast cancer cells via modulation of cell cycle regulation and apoptotic mediators PMID: 12777377
- Fibronectin and IGFBP-5 bind to each other, and this binding negatively regulates the ligand-dependent action of IGFBP-5 by triggering IGFBP-5 proteolysis. PMID: 14645245
- The IGFBP-5 C-domain is necessary and sufficient for its nuclear localization, and residues K206, K208, K217, and K218 are particularly critical. The IGFBP-5 N-domain contains a putative transactivation domain. PMID: 15001525
- exogenous IGFBP-5 increases apoptosis by binding to and inhibiting the activities of insulin-like growth factors PMID: 15155755
- Understanding the mechanism of how cleavage of IGFBP-5 by this protease (IGFBPase) alters its activity will help to further our understanding of the biologic actions of the IGFs PMID: 15534875
- Inhibition of expression of IGFBP-5 by micro and small interfering RNA has marked effect on neuroblastoma cell proliferation, apoptosis, and differentiation PMID: 15618969
- IGFBP-5 has a role in growth and differentiation of neuroblastoma cells PMID: 15650232
- Activation by C/EBP alpha and beta did not depend on their binding to the C/EBP site, since they still activated IGFBP-5 promoter. PMID: 15777798
顯示更多
收起更多
-
亞細胞定位:Secreted.
-
組織特異性:Osteosarcoma, and at lower levels in liver, kidney and brain.
-
數據庫鏈接:
Most popular with customers
-
-
YWHAB Recombinant Monoclonal Antibody
Applications: ELISA, WB, IHC, IF, FC
Species Reactivity: Human, Mouse, Rat
-
Phospho-YAP1 (S127) Recombinant Monoclonal Antibody
Applications: ELISA, WB, IHC
Species Reactivity: Human
-
-
-
-
-















