IGF1 Antibody
-
中文名稱:IGF1兔多克隆抗體
-
貨號:CSB-PA08399A0Rb
-
規格:¥440
-
圖片:
-
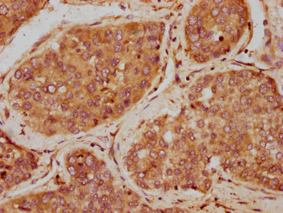
IHC image of CSB-PA08399A0Rb diluted at 1:400 and staining in paraffin-embedded human liver cancer performed on a Leica BondTM system. After dewaxing and hydration, antigen retrieval was mediated by high pressure in a citrate buffer (pH 6.0). Section was blocked with 10% normal goat serum 30min at RT. Then primary antibody (1% BSA) was incubated at 4°C overnight. The primary is detected by a biotinylated secondary antibody and visualized using an HRP conjugated SP system.
-
-
其他:
產品詳情
-
產品名稱:Rabbit anti-Homo sapiens (Human) IGF1 Polyclonal antibody
-
Uniprot No.:
-
基因名:
-
別名:IBP1 antibody; IGF I antibody; IGF IA antibody; IGF IB antibody; IGF-I antibody; Igf1 antibody; IGF1_HUMAN antibody; IGF1A antibody; IGFI antibody; IGFIA antibody; Insulin like growth factor 1 (somatomedin C) antibody; Insulin like growth factor 1 antibody; Insulin like growth factor IA antibody; Insulin like growth factor IB antibody; Insulin-like growth factor I antibody; Mechano growth factor antibody; MGF antibody; OTTHUMP00000195080 antibody; OTTHUMP00000195081 antibody; OTTHUMP00000195082 antibody; OTTHUMP00000195083 antibody; OTTHUMP00000195084 antibody; Somatomedia C antibody; Somatomedin C antibody; Somatomedin-C antibody
-
宿主:Rabbit
-
反應種屬:Human
-
免疫原:Recombinant Human Insulin-like growth factor I protein (49-118AA)
-
免疫原種屬:Homo sapiens (Human)
-
標記方式:Non-conjugated
本頁面中的產品,IGF1 Antibody (CSB-PA08399A0Rb),的標記方式是Non-conjugated。對于IGF1 Antibody,我們還提供其他標記。見下表:
-
克隆類型:Polyclonal
-
抗體亞型:IgG
-
純化方式:>95%, Protein G purified
-
濃度:It differs from different batches. Please contact us to confirm it.
-
保存緩沖液:Preservative: 0.03% Proclin 300
Constituents: 50% Glycerol, 0.01M PBS, PH 7.4 -
產品提供形式:Liquid
-
應用范圍:ELISA, IHC
-
推薦稀釋比:
Application Recommended Dilution IHC 1:200-1:500 -
Protocols:
-
儲存條件:Upon receipt, store at -20°C or -80°C. Avoid repeated freeze.
-
貨期:Basically, we can dispatch the products out in 1-3 working days after receiving your orders. Delivery time maybe differs from different purchasing way or location, please kindly consult your local distributors for specific delivery time.
-
用途:For Research Use Only. Not for use in diagnostic or therapeutic procedures.
相關產品
靶點詳情
-
功能:The insulin-like growth factors, isolated from plasma, are structurally and functionally related to insulin but have a much higher growth-promoting activity. May be a physiological regulator of [1-14C]-2-deoxy-D-glucose (2DG) transport and glycogen synthesis in osteoblasts. Stimulates glucose transport in bone-derived osteoblastic (PyMS) cells and is effective at much lower concentrations than insulin, not only regarding glycogen and DNA synthesis but also with regard to enhancing glucose uptake. May play a role in synapse maturation. Ca(2+)-dependent exocytosis of IGF1 is required for sensory perception of smell in the olfactory bulb. Acts as a ligand for IGF1R. Binds to the alpha subunit of IGF1R, leading to the activation of the intrinsic tyrosine kinase activity which autophosphorylates tyrosine residues in the beta subunit thus initiatiating a cascade of down-stream signaling events leading to activation of the PI3K-AKT/PKB and the Ras-MAPK pathways. Binds to integrins ITGAV:ITGB3 and ITGA6:ITGB4. Its binding to integrins and subsequent ternary complex formation with integrins and IGFR1 are essential for IGF1 signaling. Induces the phosphorylation and activation of IGFR1, MAPK3/ERK1, MAPK1/ERK2 and AKT1.
-
基因功能參考文獻:
- SNX6 knockdown resulted in a dramatic diminution of IGF1-mediated ERK1/2 phosphorylation, but did not affect IGF1R internalization. PMID: 29530981
- We found that elevated production of insulin-like growth factor 1 by polyploid ASCs rendered them more potent in tumor growth promotion in vitro. PMID: 30185144
- No up-regulation of Wnt10A and IGF-1 mRNA was observed with 1,550-nm Er:Glass fractional laser treatment of androgenetic alopecia. PMID: 30096107
- Significant negative or positive correlations were observed between IGF-1 concentrations and impairments on several EDI-2 subscales (drive for thinness, body dissatisfaction, interoceptive awareness, sense of ineffectiveness, interpersonal distrust, maturity fear) and on SCL-90 subitems (depression, hostility, obsessivity compulsivity, anxiety), suggesting a possible hormonal modulatory effect on specific aspects of eatin PMID: 29179911
- This article reviews the tumor-specific molecular signatures of IGF-1-mediated epithelial-mesenchymal transition in breast, lung, and gastric cancers. [review] PMID: 30111747
- Results provide evidence for the role of IGF-I: matrix protein interactions in cell growth, migration and melanoma progression through forming a complex with IGF binding proteins. PMID: 29330502
- The molecular interactions of IGF1-IGF1R binding have been dissected. PMID: 29483580
- genetic association and nutrigenomic studies in population of postmenopausal women in China: Data confirm that dietary acid load is associated with postmenopausal osteoporosis; an SNP in IGF1 (rs35767) is not associated with this relationship in the population studied. PMID: 30018240
- Low IGF-I levels are associated with non-alcoholic fatty liver disease. PMID: 29395967
- Low IGF1 expression is associated with retinopathy of prematurity. PMID: 29274846
- Low IGF-I levels are associated with dry eye syndrome. PMID: 29452886
- serum IGF-1 is associated with more muscle mass, higher bone mineral density, and better handgrip performance in both genders among community-dwelling middle aged and older adults in Taiwan PMID: 28351218
- insulin-like growth factor 1 (IGF1) is a direct target of miR-1827. PMID: 28387248
- Results found that the expression of IGF-1 was up-regulated in cumulus cells (CCs) of women with polycystic ovary syndrome (PCOS), which was inversely proportional to the expression level of miR-323. Also, IGF1 3'UTR is targeted by miR-323. PMID: 30300681
- Study in hepatocellular carcinoma cell line elicited a new mechanism in which IGF-1 induced epithelial-mesenchymal transition through regulation of survivin and a downstream pathway. PMID: 29989646
- in this study, the influence of IGF-1 and BMP-7 in different concentrations on the osteogenic differentiation of two human MSC-subtypes, isolated from reaming debris (RMSC) and iliac crest bone marrow (BMSC) has been assessed PMID: 29874864
- AMH, IGF1 and leptin levels in follicular fluid have no relation to the fertility disorders caused by endometriosis or fallopian tube damage, though they are biomarkers for anovulatory fertility disorders. PMID: 29595066
- pituitary growth hormone secretory capacity is not related to the IGF-1 levels PMID: 29098662
- Peripheral totalIGF-1 and IGFBP-3 were associated with better performance in attention, visuospatial, and global cognitive domains, independent of the gait speed. PMID: 29547749
- CA repeat polymorphism of the P1 promoter of the IGF1 gene was associated with strength predispositions in the homozygous and non-carriers groups. In the group who were heterozygous it was speed-strength aptitudes. PMID: 29543920
- IGF1 levels in systemic lupus erythematosus patients decline with age at a similar rate as in healthy controls, are associated with positive metabolic effects and despite a moderating effect on B, NK and CD8+ cells, do not affect clinical disease activity or severity. PMID: 29385899
- results indicate that IGF-1 gene polymorphisms play crucial roles in the histopathological progression of IgA Nephropathy in the Chinese Han population PMID: 29402846
- Low IGF1 level is associated with steatosis in Pituitary Diseases. PMID: 29065431
- They retained the main IGF-1R-related properties, but the hormones with His49 in IGF-1 and His48 in IGF-2 showed significantly higher affinities for IR-A and for IR-B, being the strongest IGF-1- and IGF-2-like binders of these receptors ever reported. PMID: 29608283
- Mechanism of activation of SGK3 by IGF1 via the class 1 and class 3 phosphatidylinositol 3-kinases has been described. PMID: 29150437
- IGF1 is associated with giant cell tumor of bone recurrence, which might serve as biomarker for giant cell tumor of bone recurrence PMID: 29651441
- miR-19b is decreased in PCOS granulosa cells and miR-19b could be a granulosa cell proliferation inhibitor. miR-19b-mediated cell proliferation may act via directly targeting IGF-1. PMID: 29363717
- Report deregulation of IGF1/IGFBP3 expression in breast cancer correlating with neoplasm staging and histologic grade. PMID: 30084561
- Study observed that the IGF1 level was higher in human epithelial ovarian cancer (EOC) specimens than that in benign ovarian tumor specimens, and further analysis showed that a higher level of IGF1 was related to more advanced clinical stage and liver metastasis. Also, up-regulation of IGF1 by tumor-associated macrophages was shown to promote the proliferation and migration of EOC cell lines. PMID: 29251331
- Overexpression of circHIPK3 increased the expression levels of IGF1 and knock-down reduced it. PMID: 28738961
- 0001) only. Women who remained obese had increased cGP/IGF-1 ratio (p = 0.006) only. Increase in cGP/IGF-1 ratio is associated with obesity, but not hypertension. Changes of IGFBP-3 and/or cGP/IGF-1 ratio are associated with weight changes. The data suggest the role for cGP in obesity through autocrine regulation of IGF-1. PMID: 29921371
- IGF-1 exerts antioxidant, anti-inflammatory and protective effects on the central nervous system. (Review) PMID: 29975480
- Five single nucleotide polymorphisms (SNPs) of IGF-1 (rs6214, rs6218, rs35767, rs5742612, and rs5742714) were genotyped. DNA was extracted from peripheral blood and analyzed for SNP genotyping using PCR. rs6218 had a predictive role for the susceptibility and progression of osteosarcoma. The TC and CC genotypes of rs6218 indicated higher risk of osteosarcoma; associated with later stage and elevated risk of osteosarcoma PMID: 29232358
- Bio informatics analysis of 982 lung cancer patients revealed that higher expression of TNF- alpha was associated with low risk of cancer progression while overexpression of IGF-1 was correlated with high risk. Collectively, these results reveal that the cytokines in the tumor microenvironment differentially modulate radiation therapy through a variety of signaling mechanisms. PMID: 27344406
- Data suggest that lower IGF1 serum levels in aging are associated with lower handgrip strength and worse physical performance, but less recurrent falls, especially in men. This longitudinal study was conducted in the Netherlands. PMID: 29789408
- Data suggest that R1353H point mutation constitutes an activating IGF1R variant that can result in extreme tall height with very low levels of serum IGFI; the mutation was observed in proband, his mother, and his 3 sons, however, only the proband (43 y/o) and eldest son (18 y/o) exhibit extreme tall height. [CASE REPORT] PMID: 29789409
- IGF-1 treatment activated protein kinase B (AKT), which may inhibit autophagy via the AKT/mammalian target of rapamycin signaling pathway. Following inhibition of autophagy, drug resistant cells became sensitive to apoptosis induced by 5-fluorouracil. PMID: 29257307
- Consistent with its enhanced expression in Laron syndrome, we provide evidence that TXNIP gene expression is negatively regulated by IGF1. PMID: 29339473
- In elderly women with low-energy distal radius fractures, an association between IGF1 and lowest measures of bone mineral density was found, indicating that low IGF1 could be an indirect risk factor for fractures. PMID: 29178313
- Expression of miR-30a-3p was significantly increased in the placentas of patients with preeclampsia. miR-30a-3p might be involved in the pathogenesis of preeclampsia by targeting IGF-1 and regulating the invasion and apoptosis of trophoblast cells. PMID: 29155142
- results suggest that the different isoforms of the PI3K p110 subunit could be therapeutic targets for primary and metastatic colon cancer and that regulation of the NRD1/ADAM signaling pathway controls lipogenesis-mediated EMT in IGF-1-stimulated colon cancer cells. PMID: 28819788
- Demonstrate the uptake of fluorescently labeled IGF-I into skeletal growth plates of live mice using multiphoton microscopy. PMID: 28798204
- Study provides evidence that IGF-1/IGF-1R/hsa-let-7c axis can control the odonto/osteogenic differentiation of IGF-1-treated stem cells from apical papilla via the regulation of JNK and p38 MAPK signaling pathways. PMID: 27833148
- Circulating sex steroids, prolactin, insulin-like growth factor (IGF) I, IGF-binding protein 3, and sex hormone-binding globulin (SHBG) were evaluated using backward elimination separately in women pre- and postmenopausal at blood collection. PMID: 28246273
- association between serum IGFBP-1 and IGF-I levels with advanced fibrosis in non-alcoholic fatty liver disease patients PMID: 28927302
- findings suggest that the IGF1 polymorphism rs5742714 may be a genetic predictor of susceptibility and prognosis of renal cell carcinoma. PMID: 27976731
- The results of the study may help to inform future health interventions that utilize physical activity as a means to improve cognitive development in children, adolescents, and adults. Additionally, the study may assist in determining whether the putative effects occur via modification of plasma IGF-1 or BDNF concentrations. PMID: 29094050
- Data show the differential expression of insulin like growth factor 1 (IGF-I) transcripts isoforms in bladder cancer, revealing a distinct suppression of IGF-IEc. PMID: 29848696
- Peripheral blood aspirates overexpressing IGF-I via rAAV gene transfer undergo enhanced chondrogenic differentiation processes. PMID: 28467017
- Human IGF-I propeptides and mutants were overexpressed in bovine articular chondrocytes. Secreted IGF-I propeptides stimulated articular chondrocyte biosynthetic activity as much as mature IGF-I. Of the 3 IGF-I propeptides, only proIGF-IA strongly bound to heparin, depending on N-glycosylation at Asn92 in the EA peptide. PMID: 29174671
顯示更多
收起更多
-
相關疾病:Insulin-like growth factor I deficiency (IGF1 deficiency)
-
亞細胞定位:Secreted.
-
蛋白家族:Insulin family
-
數據庫鏈接:
Most popular with customers
-
-
YWHAB Recombinant Monoclonal Antibody
Applications: ELISA, WB, IHC, IF, FC
Species Reactivity: Human, Mouse, Rat
-
Phospho-YAP1 (S127) Recombinant Monoclonal Antibody
Applications: ELISA, WB, IHC
Species Reactivity: Human
-
-
-
-
-















