HSPH1 Antibody
-
中文名稱:HSPH1兔多克隆抗體
-
貨號:CSB-PA852885ESR2HU
-
規格:¥440
-
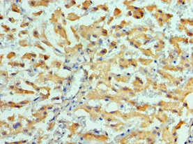
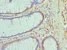
圖片:
-
其他:
產品詳情
-
產品名稱:Rabbit anti-Homo sapiens (Human) HSPH1 Polyclonal antibody
-
Uniprot No.:
-
基因名:
-
別名:Antigen NY CO 25 antibody; Antigen NY-CO-25 antibody; DKFZp686M05240 antibody; Heat shock 105kD alpha antibody; Heat shock 105kD antibody; Heat shock 105kD beta antibody; Heat shock 105kDa protein 1 antibody; Heat shock 105kDa protein antibody; Heat shock 105kDa/110kDa protein 1 antibody; Heat shock 110 kDa protein antibody; Heat shock 110kDa protein antibody; Heat shock protein 105 kDa antibody; HS105_HUMAN antibody; HSP105 antibody; HSP105A antibody; HSP105B antibody; HSP110 antibody; HSPH 1 antibody; Hsph1 antibody; KIAA0201 antibody; NY CO 25 antibody
-
宿主:Rabbit
-
反應種屬:Human
-
免疫原:Recombinant Human Heat shock protein 105 kDa protein (659-858AA)
-
免疫原種屬:Homo sapiens (Human)
-
標記方式:Non-conjugated
-
克隆類型:Polyclonal
-
抗體亞型:IgG
-
純化方式:Antigen Affinity Purified
-
濃度:It differs from different batches. Please contact us to confirm it.
-
保存緩沖液:PBS with 0.02% sodium azide, 50% glycerol, pH7.3.
-
產品提供形式:Liquid
-
應用范圍:ELISA, IHC
-
推薦稀釋比:
Application Recommended Dilution IHC 1:20-1:200 -
Protocols:
-
儲存條件:Upon receipt, store at -20°C or -80°C. Avoid repeated freeze.
-
貨期:Basically, we can dispatch the products out in 1-3 working days after receiving your orders. Delivery time maybe differs from different purchasing way or location, please kindly consult your local distributors for specific delivery time.
-
用途:For Research Use Only. Not for use in diagnostic or therapeutic procedures.
相關產品
靶點詳情
-
功能:Acts as a nucleotide-exchange factor (NEF) for chaperone proteins HSPA1A and HSPA1B, promoting the release of ADP from HSPA1A/B thereby triggering client/substrate protein release. Prevents the aggregation of denatured proteins in cells under severe stress, on which the ATP levels decrease markedly. Inhibits HSPA8/HSC70 ATPase and chaperone activities.
-
基因功能參考文獻:
- expression not an independent prognostic factor in gastric cancer patients with peritoneal metastasis, but might be a new marker of chemosensitivity PMID: 29204054
- Established heat shock protein 110 (HSP110) as a prognostic biomarker of colorectal carcinomas (CRCs) with microsatellite instability-high (MSI-H) by considering the intratumoral heterogeneity of HSP110 expression. The HSP110wt-low MSI-H CRCs were significantly correlated with larger deletions in the HSP110 T17 mononucleotide repeat (>/=4 bp; p < 0.001). PMID: 28971530
- HSP110 HT17 alone correctly classified samples judged to be uncertain with the pentaplex panel. PMID: 26831756
- deletion of the HSP110 T17 repeat was frequently observed in microsatellite-unstable advanced gastric cancers. PMID: 28811251
- Hsp105alpha localizes to the nucleus, interacts with HIF-1alpha and induces HIF-1a accumulation in CoCl2-treated cells. PMID: 28185835
- the expression of HSP110 in colon cancer contributes to STAT3-dependent tumor growth PMID: 27819670
- About 25% of patients with stages II-III colorectal tumors with microsatellite instability have an excellent response to chemotherapy, due to large, biallelic deletions in the T(17) intron repeat of HSP110 in tumor DNA. PMID: 24512910
- HSP105 depletion disrupts the integration of protein phosphatase 2A into the beta-catenin degradation complex, favoring the hyperphosphorylation and degradation of beta-catenin. PMID: 25645927
- A receiver operating characteristic curve constructed with HSP105 and TIM gave a sensitivity of 54.3% and 95% (38/40) specificity in discriminating esophageal squamous cell carcinoma from matched controls. PMID: 24157810
- we measured the binding of human Hsp72 (HSPA1A) to BAG1, BAG2, BAG3, and the unrelated NEF Hsp105. These studies revealed a clear hierarchy of affinities: BAG3 > BAG1 > Hsp105 >> BAG2. PMID: 24318877
- HSPH1 and HSPH2 are bona fide chaperones on their own that collaborate with DNAJA1 and DNAJB1 to hydrolyze ATP and unfold polypeptides and HSPA1A and HSPH1 formed a powerful molecular machinery. PMID: 23737532
- High HSP105 expression is associated with Barrett's esophagus. PMID: 22901192
- It restricts aggregation of denaturated proteins,plays a role in protein folding in cytoplasms,and enhance expression of hsp70 in cell nucleus.(review) PMID: 22712230
- The Hsp105-mediated multilevel regulation of DeltaF508 CFTR folding and quality control provides new opportunities to understand how chaperone machinery regulates the homeostasis and functional expression of misfolded proteins in the cell. PMID: 22505710
- A direct correlation between HSP105 expression and lymphoma aggressiveness was also apparent. PMID: 21860023
- Hsp105alpha and Hsp105beta suppressed the expanded polyQ tract-induced protein aggregation and apoptosis through the induction of Hsp70. PMID: 20542028
- Heat shock protein 105 is overexpressed in a variety of human tumors PMID: 14534695
- HSP105 appears to chaperone the responses to endoplasmic reticulum (ER) stress through its interactions with GRP78 and GSK3, and without HSP105 cell death following ER stress proceeds by a non-caspase-3-dependent process. PMID: 18083346
- HSP105 analysis may be a helpful tool as a poor prognostic indicator and as a diagnostic aid in problematic lesions. PMID: 18477890
- HSP 105 is thought to be a more relevant tumor-associated antigen in malignant melanoma than is HSP 70. PMID: 19476517
顯示更多
收起更多
-
亞細胞定位:Cytoplasm.
-
蛋白家族:Heat shock protein 70 family
-
組織特異性:Highly expressed in testis. Present at lower levels in most brain regions, except cerebellum. Overexpressed in cancer cells.
-
數據庫鏈接:
Most popular with customers
-
-
YWHAB Recombinant Monoclonal Antibody
Applications: ELISA, WB, IHC, IF, FC
Species Reactivity: Human, Mouse, Rat
-
Phospho-YAP1 (S127) Recombinant Monoclonal Antibody
Applications: ELISA, WB, IHC
Species Reactivity: Human
-
-
-
-
-















