HSD3B2 Antibody
-
中文名稱:HSD3B2兔多克隆抗體
-
貨號:CSB-PA834150
-
規格:¥1100
-
圖片:
-
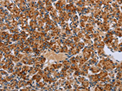
The image on the left is immunohistochemistry of paraffin-embedded Human ovarian cancer tissue using CSB-PA834150(HSD3B2 Antibody) at dilution 1/20, on the right is treated with fusion protein. (Original magnification: ×200)
-
The image on the left is immunohistochemistry of paraffin-embedded Human prostate cancer tissue using CSB-PA834150(HSD3B2 Antibody) at dilution 1/20, on the right is treated with fusion protein. (Original magnification: ×200)
-
-
其他:
產品詳情
-
Uniprot No.:
-
基因名:HSD3B2
-
別名:HSD3B2; HSDB3B; 3 beta-hydroxysteroid dehydrogenase/Delta 5-->4-isomerase type 2; 3 beta-hydroxysteroid dehydrogenase/Delta 5-->4-isomerase type II; 3-beta-HSD II; 3-beta-HSD adrenal and gonadal type [Includes: 3-beta-hydroxy-Delta(5-steroid dehydrogenase; 3-beta-hydroxy-5-ene steroid dehydrogenase; Progesterone reductase; Steroid Delta-isomerase; Delta-5-3-ketosteroid isomerase]
-
宿主:Rabbit
-
反應種屬:Human
-
免疫原:Fusion protein of Human HSD3B2
-
免疫原種屬:Homo sapiens (Human)
-
標記方式:Non-conjugated
-
抗體亞型:IgG
-
純化方式:Antigen affinity purification
-
濃度:It differs from different batches. Please contact us to confirm it.
-
保存緩沖液:-20°C, pH7.4 PBS, 0.05% NaN3, 40% Glycerol
-
產品提供形式:Liquid
-
應用范圍:ELISA,IHC
-
推薦稀釋比:
Application Recommended Dilution ELISA 1:1000-1:2000 IHC 1:25-1:100 -
Protocols:
-
儲存條件:Upon receipt, store at -20°C or -80°C. Avoid repeated freeze.
-
貨期:Basically, we can dispatch the products out in 1-3 working days after receiving your orders. Delivery time maybe differs from different purchasing way or location, please kindly consult your local distributors for specific delivery time.
-
用途:For Research Use Only. Not for use in diagnostic or therapeutic procedures.
相關產品
靶點詳情
-
功能:3-beta-HSD is a bifunctional enzyme, that catalyzes the oxidative conversion of Delta(5)-ene-3-beta-hydroxy steroid, and the oxidative conversion of ketosteroids. The 3-beta-HSD enzymatic system plays a crucial role in the biosynthesis of all classes of hormonal steroids.
-
基因功能參考文獻:
- Independent silencing of CRY1 and CRY2 genes in HAC15 cells resulted in a mild upregulation of HSD3B2 without affecting HSD3B1 expression. In conclusion, our results support the hypothesis that CRY1 and CRY2, being AngII-regulated genes, and showing a differential expression in APAs when compared with the adjacent adrenal cortex, might be involved in adrenal cell function, and in the regulation of aldosterone production PMID: 29874863
- Observed significant increase in HSD3B2 and ESR1 transcripts in follicular eutropic endometrium from infertile women with endometriosis may be related to abnormal biological effect of E2 in endometrium, further affecting the development of human embryos. PMID: 29664547
- Sequencing analyses indicate homozygous p.W355R mutation at exon 4 of the 3 beta-hydroxysteroid dehydrogenase type II (HSD3beta2) gene in both siblings. PMID: 27476613
- the first HSD3B2 gene mutation in the Italian population and analyzed its effect in the context of the 3beta-HSD2 structure and function. PMID: 27082427
- The steroidogenic enzymes cytochrome P450 cholesterol side-chain cleavage enzyme (P450scc), cytochrome P450 17 alpha-hydroxylase (P450c17) and 3beta-hydroxysteroid dehydrogenase (3beta-HSD) showed immunoreactivity in 9/20 (45.0 %), 15/20 (75.0 %) and 13/20 (65.0 %), respectively, of ovarian-type stroma from pancreatic mucinous cystic neoplasm cases. PMID: 27060902
- Patients with HSD3B2 deficiency and 21-hydroxylase deficiency suffer similar morbid complications from under- and overtreatment, but HSD3B2 deficiency is associated with a distinctive pattern of sex steroid dysmetabolism. PMID: 26079780
- both area and ratio of 3betaHSD and CYB5A double positive cells, which could represent the hybrid cells of zona fasciculate and zona reticularis, are correlated with adrenal development and could influence age-related serum androstenedione levels. PMID: 24832628
- the CYP11A1, CYP17A1, HSD3B2, SRD5A2, and HSD17B6 mRNA levels in metastases were significantly lower. PMID: 24244276
- The cause of adrenocortical insufficiency in the studied family appears to be two novel homozygous mutations in the 3beta-HSD gene. PMID: 23026940
- low ratio of cytochrome P450 family 17/3 beta-hydroxysteroid dehydrogenase type II with high expression of steroid 11-beta-monooxygenase seems to explain steroidogenic characteristics of aldosterone-producing adenomas PMID: 23257735
- HSD3B SNP and gene-gene interactions in genetic susceptibility to bladder cancer PMID: 23284679
- Interleukin-4 and prostaglandin E2 synergistically up-regulate 3beta-hydroxysteroid dehydrogenase type 2 in endometrioma stromal cells. PMID: 23450050
- snps in HSD3B2 was in men associated with a lower risk of paranoid ideation. PMID: 22356824
- Mitochondrial HSD3B2 activity requires reversible pH-dependent conformational change at the intermembrane space. PMID: 22262841
- Data suggest that HSD3B2 interacts/unfolds in presence of specific liposomes (unilamellar liposomes of DPPG/DPPC). This lipid-mediated unfolding completely supports model in which cavity forms between alpha-helix and beta-sheet to activate enzyme. PMID: 22106846
- 3beta-hydroxysteroid dehydrogenase type 2 PMID: 21930695
- Human adrenal cells that express both 3beta-hydroxysteroid dehydrogenase type 2 (HSD3B2) and cytochrome b5 (CYB5A) contribute to adrenal androstenedione production PMID: 21185375
- SNPs located within the HSD3B2 gene were not associated with essential hypertension. PMID: 20660004
- LRH-1 is highly expressed in corpus luteum, and it plays an essential role in the regulation of HSD3B2. PMID: 14671206
- Subtle molecular abnormalities in HSD3B2 gene may be observed in some patients with apparent idiopathic hypospadias. This finding is uncommon. PMID: 14764821
- Transcription enhancer factor-5 and the GATA-like protein act in a coordinate manner to determine the placental-specific expression of the human 3betaHSD I enzyme PMID: 15131259
- regulation of transcription by NGFIB PMID: 15208301
- HSD3B2 is upregulated by the nerve growth factor-induced clone B family of transcription factors. PMID: 15615861
- HSD3B2 promoter (hHSD3B2), which contains four consensus GATA elements, constitutes an important target for GATA factors. PMID: 15928316
- Differences in fibroblast-derived glucocorticoid production (via the enzyme 11beta-HSD1) between cells from distinct anatomical locations may play a key role in the predeliction of certain tissues to develop persistent inflammation. PMID: 16846535
- HSD3B2 (TG)n,(TA)n,(CA)n intron 3 length polymorphism is associated with both prostate cancer risk and aggressiveness. PMID: 17823934
- Lower 3beta-hydroxysteroid dehydrogenase type 2 but higher 17,20-lyase activity in NCI-H295R cells explaining the 'androgenic' steroid profile for these cells and resembling the zona reticularis of the human adrenal cortex. PMID: 18000308
- characterization of 3 novel homozygous mutations in HSD3B2 gene in patients with classic salt-losing 3beta-HSD deficiency; study concludes the C-terminal part of type II 3beta-HSD protein is essential for correct functioning & processing of the molecule PMID: 18252794
- In cortices attached to adrenocortical adenomas, HSD3B2 mRNA was expressed in zona glomerulosa and zona fasciculata, but only sporadically in zona reticularis. PMID: 18505908
- Structure/function of the inhibition of HSD3B2 by trilostane is reported. PMID: 18524572
- both SF1 and LRH1 can transcriptionally cooperate with the AP-1 family members c-JUN and c-FOS, known to be associated with enhanced proliferation of endometrial carcinoma cells, to further enhance activation of the STAR, HSD3B2, and CYP19A1 PII promoters PMID: 19022561
- In human adrenal cells, FXR increases transcription and expression of HSD3B2. PMID: 19059462
- NGFI-B family members induced promoter activity of 3-beta-hydroxysteroid-dehydrogenase type 2 (HSD3B2), 21-hydroxylase (CYP21A2), and aldosterone synthase (CYP11B2). PMID: 19158234
顯示更多
收起更多
-
相關疾病:Adrenal hyperplasia 2 (AH2)
-
亞細胞定位:Endoplasmic reticulum membrane; Single-pass membrane protein. Mitochondrion membrane; Single-pass membrane protein.
-
蛋白家族:3-beta-HSD family
-
組織特異性:Expressed in adrenal gland, testis and ovary.
-
數據庫鏈接:
Most popular with customers
-
-
YWHAB Recombinant Monoclonal Antibody
Applications: ELISA, WB, IHC, IF, FC
Species Reactivity: Human, Mouse, Rat
-
Phospho-YAP1 (S127) Recombinant Monoclonal Antibody
Applications: ELISA, WB, IHC
Species Reactivity: Human
-
-
-
-
-















