HSD11B1 Antibody
-
中文名稱:HSD11B1兔多克隆抗體
-
貨號:CSB-PA010763ESR2HU
-
規格:¥440
-
圖片:
-
Western blot
All lanes: Corticosteroid 11-beta-dehydrogenase isozyme 1 antibody at 7μg/ml
Lane 1: Mouse liver tissue
Lane 2: Jurkat whole cell lysate
Lane 3: LO2 whole cell lysate
Secondary
Goat polyclonal to rabbit IgG at 1/10000 dilution
Predicted band size: 32 kDa
Observed band size: 32 kDa -
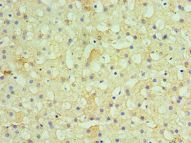
Immunohistochemistry of paraffin-embedded human liver tissue using CSB-PA010763ESR2HU at dilution of 1:100
-
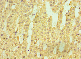
Immunohistochemistry of paraffin-embedded human adrenal gland tissue using CSB-PA010763ESR2HU at dilution of 1:100
-
-
其他:
產品詳情
-
產品名稱:Rabbit anti-Homo sapiens (Human) HSD11B1 Polyclonal antibody
-
Uniprot No.:
-
基因名:HSD11B1
-
別名:11 beta HSD 1 antibody; 11 beta HSD1 antibody; 11 beta hydroxysteroid dehydrogenase 1 antibody; 11 DH antibody; 11-beta hydroxysteroid dehydrogenase; type 1 antibody; 11-beta-HSD1 antibody; 11-beta-hydroxysteroid dehydrogenase 1 antibody; 11-DH antibody; 11DH antibody; Corticosteroid 11 beta dehydrogenase isozyme 1 antibody; Corticosteroid 11-beta-dehydrogenase isozyme 1 antibody; CORTRD2 antibody; DHI1_HUMAN antibody; HDL antibody; HSD 11 antibody; HSD11 antibody; HSD11B antibody; HSD11B1 antibody; HSD11L antibody; Hydroxysteroid (11 beta) dehydrogenase antibody; Hydroxysteroid (11 beta) dehydrogenase 1 antibody; MGC13539 antibody; SDR26C1 antibody; short chain dehydrogenase/reductase family 26C; member 1 antibody
-
宿主:Rabbit
-
反應種屬:Human, Mouse
-
免疫原:Recombinant Human Corticosteroid 11-beta-dehydrogenase isozyme 1 protein (25-292AA)
-
免疫原種屬:Homo sapiens (Human)
-
標記方式:Non-conjugated
-
克隆類型:Polyclonal
-
抗體亞型:IgG
-
純化方式:Antigen Affinity Purified
-
濃度:It differs from different batches. Please contact us to confirm it.
-
保存緩沖液:PBS with 0.02% sodium azide, 50% glycerol, pH7.3.
-
產品提供形式:Liquid
-
應用范圍:ELISA, WB, IHC
-
推薦稀釋比:
Application Recommended Dilution WB 1:500-1:2000 IHC 1:20-1:200 -
Protocols:
-
儲存條件:Upon receipt, store at -20°C or -80°C. Avoid repeated freeze.
-
貨期:Basically, we can dispatch the products out in 1-3 working days after receiving your orders. Delivery time maybe differs from different purchasing way or location, please kindly consult your local distributors for specific delivery time.
-
用途:For Research Use Only. Not for use in diagnostic or therapeutic procedures.
相關產品
靶點詳情
-
功能:Catalyzes reversibly the conversion of cortisol to the inactive metabolite cortisone. Catalyzes reversibly the conversion of 7-ketocholesterol to 7-beta-hydroxycholesterol. In intact cells, the reaction runs only in one direction, from 7-ketocholesterol to 7-beta-hydroxycholesterol.
-
基因功能參考文獻:
- Ultraviolet- and infrared-induced 11 beta-hydroxysteroid dehydrogenase type 1 activating skin photoaging is inhibited by red ginseng extract containing high concentration of ginsenoside Rg3. PMID: 28793178
- The authors show that lipoproteins including brain (apoE) and circulating (high-density lipoprotein, HDL) synergize to facilitate beta-amyloid transport across bioengineered human cerebral vessels. PMID: 28994390
- results indicated that the HSD11B1 rs12086634 is associated with both type 2 diabetes (T2D) and metabolic syndrome (metS) but HSD11B1 rs846910 is associated with only T2D in South Indian population PMID: 28750217
- The present study shows the temporal localisation of 11beta-HSD1 in uterus, highlighting its importance in the timing of gestation and suggesting its contribution in the myometrium contraction. PMID: 28237720
- Neuroticism was associated with the rs12565406 polymorphism and had a mediatory role in the association between the polymorphism and postpartum depression. This finding elucidates the genetic background of neuroticism and postpartum depression. PMID: 27721188
- This mini-review will focus on 11beta-HSD1 in skeletal muscle and its postulated link to obesity and insulin-resistance. PMID: 28765040
- This study investigated the contribution of first trimester decidua to glucocorticoid availability at the fetal-maternal interface by assessing the expression and regulation of 11beta-HSD in human first trimester decidual tissues. PMID: 27544778
- Moderate downregulation of 11beta-HSD1 can attenuate insulin insensitivity and the impairment of glucose-stimulated insulin secretion. PMID: 29078846
- distributed extensively on the maternal side including decidual stromal cells and epithelial cells but scarcely on the fetal side except for localization in the fetal blood vessels of the chorionic villi PMID: 27697223
- The reduction of DHT obese homozygotic twins could be linked to its increased degradation by AKR1C2 and HSD11B1, and increased estrogen levels could be linked to increased adiposity-related expression of aromatase in adipose tissue. PMID: 28619249
- this study shows that the phenotypic switch of adipose tissue macrophages from M2 to mixed M1/M2 phenotype occurred through differentiation of adipocytes in obese individuals, and upregulation of intracellular 11beta-HSD1 might play a role in the process PMID: 27698011
- 11beta-HSD-2 plays an important role in the development of bone or osteoblast cell apoptosis, and the decreased expression of 11beta-HSD-2 may aggravate steroid induced bone/osteoblast cell apoptosis. PMID: 28698139
- 11beta-HSD1 may be an important enzyme in the pathogenesis of fatty liver and visceral obesity. PMID: 27715400
- In HSD11B1 gene of rs3753519-stratified analysis, carriers of the minor allele presented significantly increased BMI, fasting plasma glucose and HOMA-IR. The study provides support for plausible implication of the HSD11B1 polymorphisms in susceptibility to develop undesirable effects of glucocorticoid replacement in Addison's disease. PMID: 27083553
- Increased 11beta-HSD1 expression and its reductase activity in granulosa cells are the major causes of increased cortisol concentration in the follicular fluid of PCOS with insulin resistance. PMID: 26934392
- Reciprocal regulation of the glucocorticoid metabolizing enzymes, 11beta-hydroxysteroid dehydrogenase types 1 and 2, is associated with steroid-responsiveness and disease remission in childhood nephrotic syndrome. PMID: 27507896
- increased cortisol and 11beta-HSD1 abundance and decreased LOX abundance were observed in human amnion tissue after the labor-initiated spontaneous rupture of membranes PMID: 27533889
- These findings indicated that 11beta-HSD1 inhibition can give a potential benefit in reducing obesity and lowering insulin resistance by modulating the insulin-signaling pathway and adipocytokine production. PMID: 27268236
- Review of the role of HSD11B1 in pregnancy complications, fetal diseases, and later life morbidity. PMID: 27018008
- the infiltration of macrophages in the form of crown-line structures in subcutaneous adipose tissue is associated with increased 11BHSD1 levels. It may be an important mechanism in the development of metabolic disorders. PMID: 27219880
- hyperactive hypothalamo-pituitary-adrenocortical axis in overweight diabetic subjects may be associated with downregulation of 11beta-HSD1, MR, and GR in the brain. PMID: 26212138
- ins4436A in the HSD11B1 gene is associated with essential hypertension in a Polish population PMID: 26671915
- the availability of H6PDH determines the different direction of 11beta-HSD1 in liver and Leydig cells. PMID: 26528718
- we also found a significant difference between AA and AG genotype of rs6688832 and the AG genotype was associated with hyperandrogenism, but no statistical different distribution of polymorphism rs17368528 of H6PD and rs846908 of HSD11B1 were observed PMID: 26452272
- 11beta-HSD1 expressed in polyp-derived epithelial cells may be involved in the anti-inflammatory function of glucocorticoid in the treatment of nasal polyps, which contributes to increased levels of endogenous cortisol. PMID: 26163245
- Our work is one of the first comprehensive views of DNA methylation and expression in the placenta for both HSD11B types 1 and 2, linking epigenetic alterations with the regulation of fetal stress and birth weight outcomes. PMID: 25788665
- Ultra-fast Shape Recognition with Atom Types--the discovery of novel bioactive small molecular scaffolds for FKBP12 and 11betaHSD1. PMID: 25659145
- Our results indicate that HSD11B1 polymorphisms may contribute toward the development of MetS in psychiatric patients treated with potential weight gain-inducing psychotropic drugs, but do not play a significant role in the general population PMID: 25751397
- Glucocorticoids and 11beta-hydroxysteroid dehydrogenases: mechanisms for hypertension PMID: 25666420
- This review describes the body of work performed over the past decade detailing the importance and regulation of HSD11B1 in humans, and its relevance to metabolic disease. [review] PMID: 25436731
- Promoter SNPs of the HSD11B1 gene might exert a potential genetic protective role against the development of PCOS, possibly via their beneficial effect on carbohydrate homeostasis due to facilitation of insulin efflux from pancreatic beta-cells. PMID: 24969481
- Skeletal muscle 11beta-HSD1 is up-regulated with age in women and is associated with reduced grip strength, insulin resistance, and an adverse body composition profile. PMID: 25989394
- The polymorphism of HSD11B1 may be a cause of childhood obesity, or even associated with the complication of childhood obesity. PMID: 24729284
- Although cerebral 11betaHSD1 reductase activity may be greater in cognitively impaired patients, in healthy men any contribution of 11betaHSD1 in the brain to systemic cortisol/cortisone turnover is negligible. PMID: 25393644
- placental gene expression of 11bHSD-1 may be indirectly connected with infantile growth via adiponectin-associated metabolic regulation represented by adiponectin levels in umbilical cord blood. PMID: 24147632
- These results indicate that chronic rhinosinusitis -relevant cytokines can modulate the expression of 11beta-HSD1, 11beta-HSD2, and CYP11B1 in the sinus mucosa, resulting in increasing intracellular concentrations of bioactive glucocorticoids. PMID: 24810847
- Polymorphisms in the 11betaHSD1 and NR3C1 genes were associated with impaired cognitive function in Cushings syndrome. PMID: 24915124
- Development of specific inhibitors targeting 11beta-HSD1 might be a promising way to improve impaired insulin-stimulated glucose uptake. PMID: 24122936
- In African Americans, but not Hispanics, subcutaneous adipose tissue 11betaHSD1 is associated with insulin sensitivity and disposition index, and might be mediated by hepatic fat fraction. PMID: 23836520
- Increased skeletal muscle 11betaHSD1 mRNA is associated with lower muscle strength in aging. PMID: 24391882
- The expression levels of 11beta-HSD1, CYP11B1, and cortisol were up-regulated in mild and moderate/severe persistent allergic nasal mucosa. PMID: 24447082
- Pro-inflammatory cytokine induction of 11beta-hydroxysteroid dehydrogenase type 1 in A549 cells requires phosphorylation of C/EBPbeta at Thr235. PMID: 24086653
- in a South Indian population, a polymorphism of the HSD11B1 gene containing the single-nucleotide polymorphism (SNP) rs12086634 T-->G may have a role in metabolic syndrome PMID: 23869418
- Data suggest that HSD11B1 expression and activity in fetal membranes during prolonged pregnancy are similar in women who enter labor spontaneously or who respond to labor induction; HSD11B1 expression and activity are low in non-responders. PMID: 24054540
- The aim of the work was to investigate the expression of HSD11B1, HSD11B2, H6PDH, and glucocorticoids receptor (GR) mRNA in subcutaneous adipose tissue (SAT) from obese women with or without polycystic ovary syndrome. PMID: 23979790
- Data suggest that males exhibit higher HSD11B1 activity in cultured adipocytes than females; no such difference was observed in biopsy samples of subcutaneous adipose tissue; HSD11B1 expression correlates with insulin resistance and adiposity. PMID: 23701286
- A variant (rs932335) in the HSD11B1 gene is associated with colorectal cancer. PMID: 24061267
- Two critical enzymes 11beta-HSD1 and 11beta-HSD2 that regulate glucocorticoid activities are expressed inversely in malignant hepatocytes, resulting in the inactivation of endogenous glucocorticoids and the loss of gluconeogenesis. PMID: 24149070
- Genetic variations in HSD11B1 may affect the physiological cortisol levels and the severity of age-related osteoporosis. PMID: 24285685
- CBX treatment inhibited the stimulatory effects of BPA (at 10 nM) on PPAR-gamma and LPL mRNA expression, whereas RU486 inhibited 11beta-HSD1 mRNA expression in the adipocytes. PMID: 23090578
顯示更多
收起更多
-
相關疾病:Cortisone reductase deficiency 2 (CORTRD2)
-
亞細胞定位:Endoplasmic reticulum membrane; Single-pass type II membrane protein.
-
蛋白家族:Short-chain dehydrogenases/reductases (SDR) family
-
組織特異性:Widely expressed. Highest expression in liver.
-
數據庫鏈接:
Most popular with customers
-
-
YWHAB Recombinant Monoclonal Antibody
Applications: ELISA, WB, IHC, IF, FC
Species Reactivity: Human, Mouse, Rat
-
Phospho-YAP1 (S127) Recombinant Monoclonal Antibody
Applications: ELISA, WB, IHC
Species Reactivity: Human
-
-
-
-
VDAC1 Recombinant Monoclonal Antibody
Applications: ELISA, WB, IHC
Species Reactivity: Human, Mouse, Rat
-
VCP Recombinant Monoclonal Antibody
Applications: ELISA, WB, IHC, IF, IP
Species Reactivity: Human, Rat















