HRK Antibody
-
中文名稱:HRK兔多克隆抗體
-
貨號:CSB-PA297560
-
規格:¥1100
-
圖片:
-
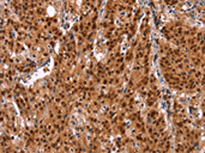
The image on the left is immunohistochemistry of paraffin-embedded Human gastic cancer tissue using CSB-PA297560(HRK Antibody) at dilution 1/20, on the right is treated with synthetic peptide. (Original magnification: ×200)
-
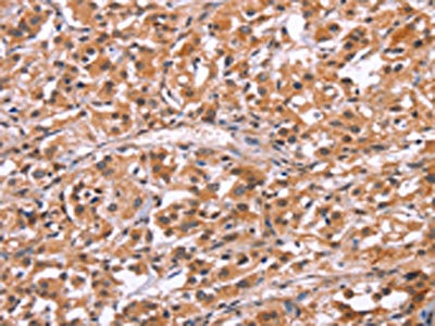
The image on the left is immunohistochemistry of paraffin-embedded Human thyroid cancer tissue using CSB-PA297560(HRK Antibody) at dilution 1/20, on the right is treated with synthetic peptide. (Original magnification: ×200)
-
-
其他:
產品詳情
-
Uniprot No.:
-
基因名:
-
別名:HRK; BID3; Activator of apoptosis harakiri; BH3-interacting domain-containing protein 3; Neuronal death protein DP5
-
宿主:Rabbit
-
反應種屬:Human
-
免疫原:Synthetic peptide of Human HRK
-
免疫原種屬:Homo sapiens (Human)
-
標記方式:Non-conjugated
-
抗體亞型:IgG
-
純化方式:Antigen affinity purification
-
濃度:It differs from different batches. Please contact us to confirm it.
-
保存緩沖液:-20°C, pH7.4 PBS, 0.05% NaN3, 40% Glycerol
-
產品提供形式:Liquid
-
應用范圍:ELISA,IHC
-
推薦稀釋比:
Application Recommended Dilution ELISA 1:2000-1:5000 IHC 1:50-1:200 -
Protocols:
-
儲存條件:Upon receipt, store at -20°C or -80°C. Avoid repeated freeze.
-
貨期:Basically, we can dispatch the products out in 1-3 working days after receiving your orders. Delivery time maybe differs from different purchasing way or location, please kindly consult your local distributors for specific delivery time.
-
用途:For Research Use Only. Not for use in diagnostic or therapeutic procedures.
相關產品
靶點詳情
-
功能:Promotes apoptosis.
-
基因功能參考文獻:
- The apoptosis phenotype was partly dependent on HRK upregulation, as HRK knockdown significantly abrogated the sensitization. KDM2B-silenced tumors exhibited slower growth in vivo. Taken together, our findings suggest a novel mechanism, where the key apoptosis components are under epigenetic control of KDM2B in glioblastoma multiforme cells. PMID: 28661478
- miR-23a-3p, miR-23b-3p, and miR-149-5p, were downregulated by cytokines and selected for further studies. These miRNAs were found to regulate the expression of the proapoptotic Bcl-2 proteins DP5 and PUMA and consequent human beta-cell apoptosis. PMID: 27737950
- our findings suggest that induction of the BH3-only protein Hrk is a critical step in 2-ME activation of the JNK-induced apoptotic pathway, targeting mitochondria by liberating proapoptotic protein Bak. PMID: 23580416
- SUZ12 promotes the proliferation of human EOC cells by inhibiting apoptosis and HRK is a novel SUZ12 target gene whose upregulation contributes to apoptosis induced by SUZ12 knockdown. PMID: 22964433
- Diva binds peptides derived from the BH3 domain of several other proapoptotic Bcl-2 proteins, including mouse Harakiri, Bid, Bak and Bmf. PMID: 23192964
- The BH3-only protein harakiri (HRK) is transactivated by ATF4 in severe hypoxia through direct binding of ATF4 to the promoter region. PMID: 23090478
- Data suggest that DP5 and PUMA/BBC3 (p53 up-regulated modulator of apoptosis/bcl-2-binding component 3) contribute to palmitate-induced apoptosis of pancreatic beta-cells via lipotoxic endoplasmic reticulum stress. PMID: 22773666
- These results are used to propose a tentative structural model of how Harakiri works. PMID: 21731739
- analysis of a novel interaction between Bcl-2 members Diva and Harakiri PMID: 21209886
- Hrk is involved in the induction of apoptosis in RGCs after optic nerve transection. PMID: 11796190
- apoptosis inducers as diverse as oncoprotein inhibitors and cell death receptor activators trigger Hrk expression via blockade of DREAM in leukemia cells PMID: 12217801
- Data report that human oocytes and fragmenting preimplantation embryos possess transcripts encoding Harakiri and caspase-3. PMID: 12606589
- HRK is a target of epigenetic inactivation in colorectal and gastric cancer PMID: 14695142
- The interaction between HRK and cellular protein p32 was studied. HRK-induced apoptosis was suppresssed by the expression of p32 mutants lacking the N-terminal sequences 74-282 and the C-terminal sequences 1-221. PMID: 15031724
- HRK appears to be inactivated principally by promoter hypermethylation in prostate cancers and decreased expression may play an important role in tumor progression by modulating apoptotic cell death PMID: 18008329
- in response to PAHs, Ahr-mediated activation of the harakiri, BCL2 interacting protein (contains only BH3 domain), was necessary for execution of cell death. PMID: 18037991
- Aberrant 5'-CpG methylation status and loss of heterozygosity on 12q13.1 are associated with HRK expression in human malignancies, including prostate cancers, astrocytic tumors and primary central nervous system lymphomas. Review. PMID: 19641496
顯示更多
收起更多
-
亞細胞定位:Membrane; Single-pass membrane protein. Mitochondrion.
-
數據庫鏈接:
Most popular with customers
-
-
YWHAB Recombinant Monoclonal Antibody
Applications: ELISA, WB, IHC, IF, FC
Species Reactivity: Human, Mouse, Rat
-
Phospho-YAP1 (S127) Recombinant Monoclonal Antibody
Applications: ELISA, WB, IHC
Species Reactivity: Human
-
-
-
-
-















