HARS Antibody
-
中文名稱:HARS兔多克隆抗體
-
貨號:CSB-PA010137ESR2HU
-
規格:¥440
-
圖片:
-
Western blot
All lanes: HARS antibody at 6μg/ml
Lane 1: Hela whole cell lysate
Lane 2: K562 whole cell lysate
Lane 3: 293T whole cell lysate
Secondary
Goat polyclonal to rabbit IgG at 1/10000 dilution
Predicted band size: 58, 53, 51, 55 kDa
Observed band size: 58 kDa -
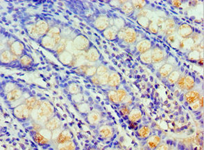
Immunohistochemistry of paraffin-embedded human colon tissue using CSB-PA010137ESR2HU at dilution of 1:100
-
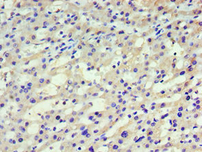
Immunohistochemistry of paraffin-embedded human liver cancer using CSB-PA010137ESR2HU at dilution of 1:100
-
Immunoprecipitating HARS in Hela whole cell lysate
Lane 1: Rabbit control IgG instead of (1μg) instead of CSB-PA010137ESR2HU in Hela whole cell lysate. For western blotting, a HRP-conjugated anti-rabbit IgG, specific to the non-reduced form of IgG was used as the Secondary antibody (1/50000)
Lane 2: CSB-PA010137ESR2HU (4μg) + Hela whole cell lysate (500μg)
Lane 3: Hela whole cell lysate (20μg)
-
-
其他:
產品詳情
-
產品名稱:Rabbit anti-Homo sapiens (Human) HARS Polyclonal antibody
-
Uniprot No.:
-
基因名:HARS
-
別名:cytoplasmic antibody; EC 6.1.1.21 antibody; FLJ20491 antibody; HARS antibody; HisRS antibody; Histidine tRNA ligase, cytoplasmic antibody; histidine translase antibody; Histidine tRNA ligase antibody; Histidine--tRNA ligase antibody; Histidyl tRNA synthetase antibody; Histidyl-tRNA synthetase antibody; HRS antibody; Human histidyl tRNA synthetase homolog (HO3) mRNA complete cds antibody; SYHC_HUMAN antibody; USH3B antibody
-
宿主:Rabbit
-
反應種屬:Human
-
免疫原:Recombinant Human Histidine--tRNA ligase, cytoplasmic protein (1-180AA)
-
免疫原種屬:Homo sapiens (Human)
-
標記方式:Non-conjugated
-
克隆類型:Polyclonal
-
抗體亞型:IgG
-
純化方式:Antigen Affinity Purified
-
濃度:It differs from different batches. Please contact us to confirm it.
-
保存緩沖液:PBS with 0.02% sodium azide, 50% glycerol, pH7.3.
-
產品提供形式:Liquid
-
應用范圍:ELISA, WB, IHC, IP
-
推薦稀釋比:
Application Recommended Dilution WB 1:1000-1:5000 IHC 1:20-1:200 IP 1:200-1:2000 -
Protocols:
-
儲存條件:Upon receipt, store at -20°C or -80°C. Avoid repeated freeze.
-
貨期:Basically, we can dispatch the products out in 1-3 working days after receiving your orders. Delivery time maybe differs from different purchasing way or location, please kindly consult your local distributors for specific delivery time.
-
用途:For Research Use Only. Not for use in diagnostic or therapeutic procedures.
相關產品
靶點詳情
-
功能:Catalyzes the ATP-dependent ligation of histidine to the 3'-end of its cognate tRNA, via the formation of an aminoacyl-adenylate intermediate (His-AMP). Plays a role in axon guidance.
-
基因功能參考文獻:
- This study suggests that the human HisRS genes, while descending from a common ancestor with dual function for both types of tRNA(His), have acquired highly specialized tRNA recognition properties through evolution. PMID: 28321488
- Despite the similar kinetics, differential scanning fluorimetry revealed that Y454S is less thermally stable than Wild Type HARS, and cells from Y454S patients grown at elevated temperatures demonstrate diminished levels of protein synthesis compared to those of Wild Type cells. The thermal sensitivity associated with the Y454S mutation represents a biochemical basis for understanding Usher Syndrome Type IIIB. PMID: 28632987
- Loss of function mutations in histidyl-tRNA synthetase cause a spectrum of inherited peripheral neuropathies PMID: 26072516
- Data suggest that by comparing human and trypanosomatid histidyl-tRNA synthetases (HisRS) may provide opportunities for developing specific inhibitors of Trypanosoma brucei HisRS. PMID: 25151410
- Secreted histidyl-tRNA synthetase splice variants elaborate major epitopes for autoantibodies in inflammatory myositis. PMID: 24898250
- Data indicate that higher anti-Jo1 levels were associated with disease severity in antisynthetase syndrome (ASS) patients. PMID: 24286268
- Non-Jo-1 anti-synAb positive patients have decreased survival compared with Jo-1 patients. PMID: 23422076
- Findings suggest that histidyl-tRNA synthetase (HARS) is associated with axonal peripheral neuropathy. PMID: 22930593
- The crystal structure of a novel splice variant of a tRNA synthetase lacking the entire catalytic domain. PMID: 22958643
- Although anti-Jo1 positive patients with antisynthetase syndrome share features of patients with anti-PL7/PL12 antibody, they exhibit many differences regarding clinical phenotype and long-term outcome. PMID: 22326685
- Study identified sequence variants in the known disease-causing genes SLC6A3 and FLVCR1, and present evidence to strongly support the pathogenicity of variants identified in TUBGCP6, BRAT1, SNIP1, CRADD, and HARS. PMID: 22279524
- genomic organization of the HARS locus and mapping of transcripts originating from a bi-directional promoter controlling the differential expression of these gene PMID: 12056811
- Demonstrating histidyl-tRNA synthetase (Jo-1)-specific T cell responses represents a key step in establishing the hypothesis that Jo-1 drives T cell-mediated autoimmunity in Jo-1+ polymyositis. PMID: 12471150
- the TSG101 interaction with HRS is a crucial step in endocytic down-regulation of mitogenic signaling and this interaction may have a role in linking the functions of early and late endosomes PMID: 12802020
- A proteolytically sensitive conformation of HisRS exists in the lung, the target tissue associated with this autoantibody response. PMID: 17665459
- clinical and prognostic profiles of 45 patients displaying anti-histidyl-tRNA synthetase autoantibodies were determined PMID: 17785330
顯示更多
收起更多
-
相關疾病:Usher syndrome 3B (USH3B); Charcot-Marie-Tooth disease 2W (CMT2W)
-
亞細胞定位:Cytoplasm.
-
蛋白家族:Class-II aminoacyl-tRNA synthetase family
-
組織特異性:Brain, heart, liver and kidney.
-
數據庫鏈接:
Most popular with customers
-
YWHAB Recombinant Monoclonal Antibody
Applications: ELISA, WB, IHC, IF, FC
Species Reactivity: Human, Mouse, Rat
-
Phospho-YAP1 (S127) Recombinant Monoclonal Antibody
Applications: ELISA, WB, IHC
Species Reactivity: Human
-
-
-
-
-
-















