GRIN2D Antibody
-
中文名稱:GRIN2D兔多克隆抗體
-
貨號:CSB-PA064073
-
規格:¥1100
-
圖片:
-
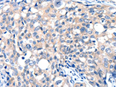
The image on the left is immunohistochemistry of paraffin-embedded Human breast cancer tissue using CSB-PA064073(GRIN2D Antibody) at dilution 1/30, on the right is treated with synthetic peptide. (Original magnification: ×200)
-
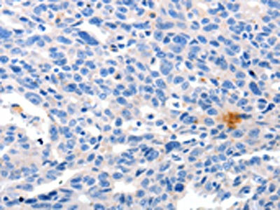
The image on the left is immunohistochemistry of paraffin-embedded Human ovarian cancer tissue using CSB-PA064073(GRIN2D Antibody) at dilution 1/30, on the right is treated with synthetic peptide. (Original magnification: ×200)
-
-
其他:
產品詳情
-
Uniprot No.:
-
基因名:
-
別名:EB11 antibody; estrogen receptor binding CpG island antibody; GluN2D antibody; Glutamate [NMDA] receptor subunit epsilon 4 antibody; Glutamate [NMDA] receptor subunit epsilon-4 antibody; Glutamate receptor ionotropic antibody; glutamate receptor ionotropic NMDA 2D antibody; Glutamate receptor, ionotropic, N-methyl D-aspartate 2D antibody; Grin2d antibody; N methyl D aspartate receptor subtype 2D antibody; N methyl d aspartate receptor subunit 2D antibody; N-methyl D-aspartate receptor subtype 2D antibody; NMDA 2D antibody; NMDAR2D antibody; NMDE4 antibody; NMDE4_HUMAN antibody; NR2D antibody
-
宿主:Rabbit
-
反應種屬:Human,Mouse,Rat
-
免疫原:Synthetic peptide of Human GRIN2D
-
免疫原種屬:Homo sapiens (Human)
-
標記方式:Non-conjugated
-
抗體亞型:IgG
-
純化方式:Antigen affinity purification
-
濃度:It differs from different batches. Please contact us to confirm it.
-
保存緩沖液:-20°C, pH7.4 PBS, 0.05% NaN3, 40% Glycerol
-
產品提供形式:Liquid
-
應用范圍:ELISA,IHC
-
推薦稀釋比:
Application Recommended Dilution ELISA 1:1000-1:2000 IHC 1:15-1:50 -
Protocols:
-
儲存條件:Upon receipt, store at -20°C or -80°C. Avoid repeated freeze.
-
貨期:Basically, we can dispatch the products out in 1-3 working days after receiving your orders. Delivery time maybe differs from different purchasing way or location, please kindly consult your local distributors for specific delivery time.
-
用途:For Research Use Only. Not for use in diagnostic or therapeutic procedures.
相關產品
靶點詳情
-
功能:Component of NMDA receptor complexes that function as heterotetrameric, ligand-gated ion channels with high calcium permeability and voltage-dependent sensitivity to magnesium. Channel activation requires binding of the neurotransmitter glutamate to the epsilon subunit, glycine binding to the zeta subunit, plus membrane depolarization to eliminate channel inhibition by Mg(2+). Sensitivity to glutamate and channel kinetics depend on the subunit composition.
-
基因功能參考文獻:
- This study found that NMDAR activation, NR2D in particular, is involved in human fetal lung fibroblast proliferation and collagen production through a potential ERK1/2-mediated mechanism. PMID: 28987794
- High GRIN2D expression is associated with colorectal cancer. PMID: 26943033
- This study showed that the higher GluN2D mRNA level in healthy but not in depressed pregnant women as compared to non-pregnant individuals. PMID: 28284346
- GRIN2D Recurrent De Novo Dominant Mutation Causes a Severe Epileptic Encephalopathy Treatable with NMDA Receptor Channel Blockers PMID: 27616483
- After 7 days of chronic alcohol exposure, there are significant increases in mRNA expression of GRIN2D in cultured neurons derived from alcoholic subjects, but not in cultures from nonalcoholics. PMID: 22486492
- Absence of truncating mutation in GRIN1 and GRIN2D genes in patients with autism spectrum disorder and schizophrenia and controls. PMID: 22833210
- In microsatellite instable and microsatellite and chromosomally stable cancers, CIMP and BRAF/KRAS mutations are similarly distributed indicating common mechanisms of tumor initiation or progression in the molecular pathogenesis. PMID: 21915661
- data show that the NMDAR2D was specifically expressed in cultivated keratinocytes PMID: 16328341
顯示更多
收起更多
-
相關疾病:Epileptic encephalopathy, early infantile, 46 (EIEE46)
-
亞細胞定位:Cell membrane; Multi-pass membrane protein. Cell junction, synapse, postsynaptic cell membrane; Multi-pass membrane protein.
-
蛋白家族:Glutamate-gated ion channel (TC 1.A.10.1) family, NR2D/GRIN2D subfamily
-
數據庫鏈接:
Most popular with customers
-
-
YWHAB Recombinant Monoclonal Antibody
Applications: ELISA, WB, IHC, IF, FC
Species Reactivity: Human, Mouse, Rat
-
Phospho-YAP1 (S127) Recombinant Monoclonal Antibody
Applications: ELISA, WB, IHC
Species Reactivity: Human
-
-
-
-
-















