GREM1 Antibody
-
中文名稱:GREM1兔多克隆抗體
-
貨號:CSB-PA009892LA01HU
-
規格:¥440
-
圖片:
-
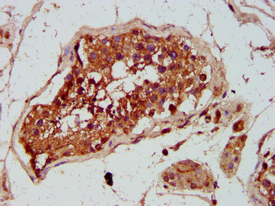
IHC image of CSB-PA009892LA01HU diluted at 1:300 and staining in paraffin-embedded human testis tissue performed on a Leica BondTM system. After dewaxing and hydration, antigen retrieval was mediated by high pressure in a citrate buffer (pH 6.0). Section was blocked with 10% normal goat serum 30min at RT. Then primary antibody (1% BSA) was incubated at 4°C overnight. The primary is detected by a biotinylated secondary antibody and visualized using an HRP conjugated SP system.
-
IHC image of CSB-PA009892LA01HU diluted at 1:300 and staining in paraffin-embedded human skeletal muscle tissue performed on a Leica BondTM system. After dewaxing and hydration, antigen retrieval was mediated by high pressure in a citrate buffer (pH 6.0). Section was blocked with 10% normal goat serum 30min at RT. Then primary antibody (1% BSA) was incubated at 4°C overnight. The primary is detected by a biotinylated secondary antibody and visualized using an HRP conjugated SP system.
-
-
其他:
產品詳情
-
產品名稱:Rabbit anti-Homo sapiens (Human) GREM1 Polyclonal antibody
-
Uniprot No.:
-
基因名:
-
別名:BMP antagonist 1 antibody; Cell proliferation inducing gene 2 protein antibody; Cell proliferation-inducing gene 2 protein antibody; CKTSF1B1 antibody; colorectal adenoma and carcinoma 1 antibody; Cysteine knot superfamily 1 antibody; Cysteine knot superfamily 1; BMP antagonist 1 antibody; Cysteine knot superfamily BMP antagonist 1 antibody; DAN domain family member 2 antibody; DAND2 antibody; Down regulated in Mos-transformed cells protein antibody; Down-regulated in Mos-transformed cells protein antibody; DRM antibody; grem1 antibody; GREM1_HUMAN antibody; Gremlin 1 homolog; cysteine knot superfamily antibody; Gremlin 1 like protein antibody; Gremlin 1; cysteine knot superfamily; homolog antibody; GREMLIN antibody; Gremlin-1 antibody; Gremlin1 antibody; IHG-2 antibody; IHG2 antibody; Increased in high glucose 2 antibody; Increased in high glucose protein 2 antibody; PIG2 antibody; Proliferation inducing gene 2 antibody; proliferation inducing gene 2 protein antibody
-
宿主:Rabbit
-
反應種屬:Human
-
免疫原:Recombinant Human Gremlin-1 protein (18-184AA)
-
免疫原種屬:Homo sapiens (Human)
-
標記方式:Non-conjugated
本頁面中的產品,GREM1 Antibody (CSB-PA009892LA01HU),的標記方式是Non-conjugated。對于GREM1 Antibody,我們還提供其他標記。見下表:
-
克隆類型:Polyclonal
-
抗體亞型:IgG
-
純化方式:>95%, Protein G purified
-
濃度:It differs from different batches. Please contact us to confirm it.
-
保存緩沖液:Preservative: 0.03% Proclin 300
Constituents: 50% Glycerol, 0.01M PBS, pH 7.4 -
產品提供形式:Liquid
-
應用范圍:ELISA, IHC
-
推薦稀釋比:
Application Recommended Dilution IHC 1:200-1:500 -
Protocols:
-
儲存條件:Upon receipt, store at -20°C or -80°C. Avoid repeated freeze.
-
貨期:Basically, we can dispatch the products out in 1-3 working days after receiving your orders. Delivery time maybe differs from different purchasing way or location, please kindly consult your local distributors for specific delivery time.
-
用途:For Research Use Only. Not for use in diagnostic or therapeutic procedures.
相關產品
靶點詳情
-
功能:Cytokine that may play an important role during carcinogenesis and metanephric kidney organogenesis, as a BMP antagonist required for early limb outgrowth and patterning in maintaining the FGF4-SHH feedback loop. Down-regulates the BMP4 signaling in a dose-dependent manner. Antagonist of BMP2; inhibits BMP2-mediated differentiation of osteoblasts (in vitro). Acts as inhibitor of monocyte chemotaxis. Can inhibit the growth or viability of normal cells but not transformed cells when is overexpressed.
-
基因功能參考文獻:
- the GREM1rs1258763 polymorphism was significantly associated with the risk of non-syndromic orofacial cleft in the Chinese population. PMID: 29149498
- High gremlin1 expression is associated with gastric cancer. PMID: 29396725
- study suggested that GREM1 delivered by MSCs promoted EMT in esophageal squamous cell carcinoma in vitro and in vivo, which is partly through TGF-beta/BMP signaling pathway. PMID: 29953975
- COX-2, GREM1, and HAS2 are cumulus cell genes that potentially determine oocyte and embryo developmental competence. (Review) PMID: 29537212
- Results indicate that Gremlin1 could be involved in gastric cancer (GC) progression and may be a good marker of long-term survival in GC. PMID: 29491067
- We conclude that gremlin promotes RPE cell proliferation, migration and VEGF production possibly via activating VEGFR2-Akt-mTORC2 signaling. Gremlin could be a novel therapeutic target of ROP or other retinal vasoproliferation diseases. PMID: 27894090
- Platelet derived Gremlin-1 might contribute to the elevated circulating levels of Gremlin-1 in acute coronary syndromes and serve as a thrombo-inflammatory mediator in cardiovascular pathophysiologies. PMID: 27929199
- gremlin protects skin cells from UV damages via activating VEGFR2-Nrf2 signaling PMID: 27713170
- Gene duplication upstream of GREM1 was screened for in all sixty-five SPS individuals with no carriers being identified. PMID: 23805267
- Nox1-SHH-Grem1 signaling axis in pulmonary vascular endothelium that is likely to contribute to Pulmonary hypertension. PMID: 28522681
- GREM1 plays an important role in the development of glioma, and it may serve as a potential target in glioma therapy. PMID: 27862197
- Describe a hereditary mixed polyposis syndrome in which is characterized by SCG5-GREM1 duplication. PMID: 27984123
- GREM1 is frequently expressed by myofibroblasts in scars or in the stroma of basal cell carcinomas, suggesting that GREM1 expression can be a marker for activated myofibroblasts in the cancer stroma or in scar tissue. PMID: 28346486
- Clinical features of hereditary mixed polyposis syndrome caused by GREM1 gene duplication include extracolonic tumors, onset of polyps in adolescence, and rapid progression of some polyps to advanced adenomas. PMID: 28242209
- In human Idiopathic Pulmonary Fibrosis patient samples the study established a strong negative correlation in the mRNA expression levels of gremlin-1 and CXCL10. The results suggest that in addition to regulation of epithelial-mesenchymal crosstalk during tissue injury, gremlin-1 modulates inflammatory cell recruitment and anti-fibrotic chemokine production in the lung. PMID: 27428020
- Gremlin1 protein expression in colorectal cancer associates with low tumour stage and extended survival independently of tumour stage, suggesting that it represents a relevant prognostic indicator in colorectal cancer PMID: 27257976
- The results suggest that inhibition of BMP-2 by Gremlin-1 occurs by a mechanism that is distinct from other known inhibitors such as Noggin and Chordin and study propose a novel model of BMP-2-Gremlin-1 interaction yet not seen among any BMP antagonists, and cannot rule out that several different oligomeric states could be found, depending on the concentration of the two proteins. PMID: 27036124
- Gremlin1 inhibited the cell viability and osteogenic differentiation of human mesenchymal stem cells (MSCs) and the suppression of gremlin1 expression can increase the cell viability and osteogenic differentiation of human MSCs induced by BMP-2. PMID: 28260028
- overexpression of GREM1 in mesenchymal stem cells have greater therapeutic effects against ischemia. PMID: 27579673
- Colorectal neoplasms are frequently accompanied by GERM1-expressing fibroblasts, which are closely associated with low lymphovascular invasion and a better prognosis. PMID: 28041973
- Diabetic patients with acute coronary syndrome show increased levels of Gremlin-1 and MIF, leading to unfavorable Gremlin-1/MIF ratios. However, DM2 alone is not associated with low Gremlin-1/MIF ratios. PMID: 27101443
- The critical element of the Gremlin-1 molecule for regulating MIF-induced chemotactic activity lies at the C-terminal region. A single amino acid exchange of an arginine to an alanine residue is sufficient to abolish the antagonistic effect of Gremlin-1 on MIF. The Gremlin-1 mutant R172A failed to reduce MIF-induced monocyte differentiation into macrophages. PMID: 26872252
- Study identified a high penetrant duplication in the regulatory region of GREM1, predisposing to colorectal cancer (CRC) in a family with attenuated/ atypical polyposis. A POLE variant was also identified in a patient with early onset CRC. PMID: 26493165
- Results found that high mRNA expression level of Gremlin 1 was an independent poor prognostic factor for cervical neoplasm. it is suggested that Gremlin 1 may have a role in clinical recurrence and maintaining cancer stem cell-like properties. PMID: 26530461
- our data suggest that the closely located GREM1 gene contributes to a rare clinical Nonsyndromic orofacial clefts entity PMID: 26968009
- results might suggest that variants influencing GREM1 expression levels, rather than variants affecting the function of the encoded protein, are significant factors in NSCL/P etiology. PMID: 26043427
- Gremlin is a key pro-fibrogenic factor in chronic pancreatitis PMID: 26141517
- Gremlin1 and chronic pancreatitis: a new clinical target and biomarker PMID: 26311241
- Data suggest that the hereditary mixed polyposis syndrome (HMPS) 40 kb duplication upstream of the gremlin 1 protein (GREM1) gene is present at low rates in Jewish Ashkenazi individuals of a familial predisposition to colorectal cancer (CRC). PMID: 25992589
- Gremlin-1 plasma levels of Loeys-Dietz syndrome patients were significantly elevated compared to healthy control subjects. PMID: 25116393
- transgenic mice overexpressing Gremlin in renal tubules develop greater glomerular and tubulointerstitial injury in response to diabetic-mediated damage PMID: 26155842
- Results demonstrated that miR-27b targets Gremlin 1, and that this regulation likely represents an important control point in fi brotic pathways. PMID: 24633904
- Gremlin/VEGFR2 axis participates in renal inflammation and could be a novel target for kidney disease. PMID: 25810250
- macrophage migration inhibitory factor and its inhibitor Gremlin-1 have roles in coronary artery disease PMID: 25463068
- These results also suggest that Gremlin1 (and possibly its mimetics that may be developed for therapeutic use) may not adversely affect normal human hematopoietic stem cell survival, though they may reduce their myelopoietic potential PMID: 25130431
- GREM1 induces fibrosis and angiogenesis in mouse peritoneum and is associated with increased solute transport in peritoneal dialysis patients. PMID: 25194662
- The single nucleotide polymorphism rs16969681 influences colorectal cancer risk through effects on Wnt-driven GREM1 expression in colorectal tumors. PMID: 25131200
- Gremlin1 preferentially binds to BMP-2 and BMP-4 over BMP-7. PMID: 25378054
- the in vivo role of gremlin in kidney pathophysiology PMID: 25036148
- we show that epithelial expression of GREM1 also occurs in traditional serrated adenomas, sporadic premalignant lesions with a hitherto unknown pathogenesis, and these lesions can be considered the sporadic equivalents of HMPS polyps. PMID: 25419707
- Gremlin could participate in renal fibrosis by inducing EMT in tubular epithelial cells through activation of Smad pathway and induction of TGF-b PMID: 24949470
- The results support the hypothesis that GREM1 at chromosome 15q13 is the causal gene for nonsyndromic cleft lip with or without cleft palate. PMID: 24706492
- our findings suggest that CRAC1 is unlikely to be implicated in the development of colorectal cancer in general or, if involved, it is through small somatic mutations or other loss of function mechanisms rather than allele loss. PMID: 12885466
- Study mapped a high-penetrance gene (CRAC1; also known as HMPS) associated with colorectal cancer in the Ashkenazi population to a 0.6-Mb region on chromosome 15. PMID: 18084292
- None of the single nucleotide polymorphisms studied in SMAD7, GREM1 or CRAC1 were associated with breast cancer risk in our study PMID: 19505925
- TGF-beta2, CTGF and gremlin are all involved in epithelial mesenchymal transition and extracellular matrix synthesis via activation of Smad signaling pathway in lens epithelial cells. PMID: 24755068
- establishes CSC-derived Gremlin1 as a driving force in maintaining glioblastoma tumor proliferation and glioblastoma hierarchies through the modulation of endogenous prodifferentiation signals PMID: 24788093
- Gremlin-1 correlates with degree of myocardial fibrosis and left ventricular dysfunction and is an independent predictor of adverse outcome in patients with nonischemic heart failure. PMID: 24125106
- Interleukin-6 (IL-6) trans signaling drives a STAT3-dependent pathway that leads to hyperactive transforming growth factor-beta (TGF-beta) signaling promoting SMAD3 activation and fibrosis via Gremlin protein. PMID: 24550394
- Enrichment map profiling of the cancer invasion front suggests regulation of colorectal cancer progression by the bone morphogenetic protein antagonist, gremlin-1. PMID: 23659962
顯示更多
收起更多
-
相關疾病:Polyposis syndrome, mixed hereditary 1 (HMPS1)
-
亞細胞定位:Secreted.
-
蛋白家族:DAN family
-
組織特異性:Highly expressed in small intestine, fetal brain and colon. Expression is restricted to intestinal subepithelial myofibroblasts (ISEMFs) at the crypt base. In subjects with HMPS1, by contrast, GREM1 is expressed, not only in basal ISEMFs, but also at very
-
數據庫鏈接:
Most popular with customers
-
-
YWHAB Recombinant Monoclonal Antibody
Applications: ELISA, WB, IHC, IF, FC
Species Reactivity: Human, Mouse, Rat
-
-
-
-
-
-















