GPX8 Antibody
-
中文名稱:GPX8兔多克隆抗體
-
貨號:CSB-PA848417LA01HU
-
規格:¥440
-
圖片:
-
Immunofluorescent analysis of Hela cells using CSB-PA848417LA01HU at dilution of 1:100 and Alexa Fluor 488-congugated AffiniPure Goat Anti-Rabbit IgG(H+L)
-
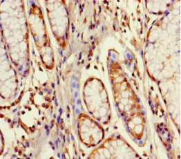
Immunohistochemistry of paraffin-embedded human gastric cancer using CSB-PA848417LA01HU at dilution of 1:100
-
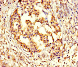
Immunohistochemistry of paraffin-embedded human pancreatic cancer using CSB-PA848417LA01HU at dilution of 1:100
-
-
其他:
產品詳情
-
產品名稱:Rabbit anti-Homo sapiens (Human) GPX8 Polyclonal antibody
-
Uniprot No.:
-
基因名:
-
別名:GPX8; UNQ847/PRO1785; Probable glutathione peroxidase 8; GPx-8; GSHPx-8
-
宿主:Rabbit
-
反應種屬:Human
-
免疫原:Recombinant Human Probable glutathione peroxidase 8 protein (41-209AA)
-
免疫原種屬:Homo sapiens (Human)
-
標記方式:Non-conjugated
本頁面中的產品,GPX8 Antibody (CSB-PA848417LA01HU),的標記方式是Non-conjugated。對于GPX8 Antibody,我們還提供其他標記。見下表:
-
克隆類型:Polyclonal
-
抗體亞型:IgG
-
純化方式:>95%, Protein G purified
-
濃度:It differs from different batches. Please contact us to confirm it.
-
保存緩沖液:Preservative: 0.03% Proclin 300
Constituents: 50% Glycerol, 0.01M PBS, PH 7.4 -
產品提供形式:Liquid
-
應用范圍:ELISA, IHC, IF
-
推薦稀釋比:
Application Recommended Dilution IHC 1:20-1:200 IF 1:50-1:200 -
Protocols:
-
儲存條件:Upon receipt, store at -20°C or -80°C. Avoid repeated freeze.
-
貨期:Basically, we can dispatch the products out in 1-3 working days after receiving your orders. Delivery time maybe differs from different purchasing way or location, please kindly consult your local distributors for specific delivery time.
-
用途:For Research Use Only. Not for use in diagnostic or therapeutic procedures.
相關產品
靶點詳情
-
基因功能參考文獻:
- Study provides evidence that the conserved N-terminal transmembrane domain of GPX8, in addition to its enzymatic activity, is essential for regulating Ca(2+) dynamics revealing a novel level of integration between redox-related proteins and Ca(2+) signaling/homeostasis. PMID: 28129698
- GPX8 is transcriptionally regulated by HIFalpha and modulates growth factor signaling in HeLa cells. PMID: 25557012
- Along with the induction of GPX8 in ER-stressed cells, these findings question a ubiquitous role of Ero1alpha as a producer of cytoplasmic ROS under ER stress PMID: 24566470
- Quantitative proteomics identifies the membrane-associated peroxidase GPx8 as a cellular substrate of the hepatitis C virus NS3-4A protease. PMID: 23929719
- GPx8 labeled as secreted glutathione peroxidase, is actually endoplasmic reticulum-resident protein disulfide isomerase peroxidase PMID: 21215271
顯示更多
收起更多
-
亞細胞定位:Membrane; Single-pass membrane protein.
-
蛋白家族:Glutathione peroxidase family
-
數據庫鏈接:
Most popular with customers
-
-
YWHAB Recombinant Monoclonal Antibody
Applications: ELISA, WB, IHC, IF, FC
Species Reactivity: Human, Mouse, Rat
-
Phospho-YAP1 (S127) Recombinant Monoclonal Antibody
Applications: ELISA, WB, IHC
Species Reactivity: Human
-
-
-
-
-















