GOLM1 Antibody
-
中文名稱:GOLM1兔多克隆抗體
-
貨號:CSB-PA009666ESR2HU
-
規格:¥440
-
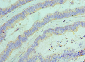
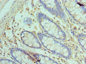
圖片:
-
其他:
產品詳情
-
產品名稱:Rabbit anti-Homo sapiens (Human) GOLM1 Polyclonal antibody
-
Uniprot No.:
-
基因名:
-
別名:bA379P1.3 antibody; C9orf155 antibody; Chromosome 9 open reading frame 155 antibody; Golgi membrane protein 1 antibody; Golgi membrane protein GP73 antibody; Golgi phosphoprotein 2 antibody; Golgi protein 73 kD antibody; Golgi protein 73kD antibody; GOLM 1 antibody; GOLM1 antibody; GOLM1_HUMAN antibody; GOLPH 2 antibody; GOLPH2 antibody; GP 73 antibody; GP73 antibody; PSEC0257 antibody
-
宿主:Rabbit
-
反應種屬:Human
-
免疫原:Recombinant Human Golgi membrane protein 1 protein (112-401AA)
-
免疫原種屬:Homo sapiens (Human)
-
標記方式:Non-conjugated
-
克隆類型:Polyclonal
-
抗體亞型:IgG
-
純化方式:Antigen Affinity Purified
-
濃度:It differs from different batches. Please contact us to confirm it.
-
保存緩沖液:PBS with 0.02% sodium azide, 50% glycerol, pH7.3.
-
產品提供形式:Liquid
-
應用范圍:ELISA, IHC
-
推薦稀釋比:
Application Recommended Dilution IHC 1:20-1:200 -
Protocols:
-
儲存條件:Upon receipt, store at -20°C or -80°C. Avoid repeated freeze.
-
貨期:Basically, we can dispatch the products out in 1-3 working days after receiving your orders. Delivery time maybe differs from different purchasing way or location, please kindly consult your local distributors for specific delivery time.
-
用途:For Research Use Only. Not for use in diagnostic or therapeutic procedures.
相關產品
靶點詳情
-
功能:Unknown. Cellular response protein to viral infection.
-
基因功能參考文獻:
- GOLM1 acts as a critical oncogene by promoting prostate cancer cell proliferation, migration and invasion, and inhibiting apoptosis. GOLM1 plays oncogenic functions mainly through activating PI3K-AKT-mTOR signaling pathway. PMID: 29181846
- Results showed that GOLM1 was significantly upregulated in both LUAD and LUSC tissues compared to the normal controls. However, GOLM1 expression was higher in LUAD tissues than in LUSC tissues. PMID: 29843532
- GOLM1 was highly expressed in lung adenocarcinoma cells and associated with low survival ratio and higher grade malignancy; overexpression of GOLM1 promoted the cell proliferation. PMID: 29710483
- PDGFA/PDGFRalpha-regulated GOLM1 promotes glioma progression possibly through activation of a key signaling kinase, AKT PMID: 29282077
- GP73 is an effective and reliable serological marker for the diagnosis of advanced fibrosis and prediction of appearance of cirrhosis PMID: 29256057
- GOLPH2 promotes the progression of pancreatic ductal adenocarcinoma. PMID: 29344673
- serum GP73 is an accurate serum marker for significant fibrosis in chronic HBV infection, with higher accuracy than APRI and FIB-4. Serum GP73 is potentially a complementary tool for TE when evaluating the necessity of antiviral treatment, particularly in patients without definite antiviral indication. PMID: 29082644
- The detection of ALT, AFP, AFP-L3, and GP73 has a certain guiding significance to predict the risk of hepatocellular carcinoma in hepatic cirrhosis patients PMID: 28540298
- The mechanism of hepatocarcinogenesis and a promising blueprint for miR-493-5p-GP73 axis-oriented treatment of HCC. PMID: 28419971
- GP73 unglycosylation is associated with hepatocellular carcinoma cell motility and invasiveness. PMID: 26993603
- The GOLPH2 is a novel marker for non-small-cell lung cancer. PMID: 28880107
- Findings suggest that GP73 silencing through siRNA delivery may provide a low-toxicity therapy for the inhibition of tumor proliferation and metastasis. PMID: 26870893
- Both gain- and loss-of-function studies determine that GOLM1 acts as a key oncogene by promoting HCC growth and metastasis. PMID: 27569582
- A cytokine QTL at the NAA35-GOLM1 locus markedly modulated interleukin (IL)-6 production in response to multiple pathogens and was associated with susceptibility to candidemia. PMID: 27376574
- knock-down of GP73 down-regulates HCV infection and replication in Huh7-MAVSR cells and primary human hepatocytes PMID: 28394926
- Studies indicate that golgi membrane protein 1 (GOLM1) may promote HCC by regulation of epidermal growth factor receptor (EGFR) recycling, and suggest that therapeutic targeting of GOLM1 may be a potential strategy for combating hepatocellular carcinoma (HCC) metastasis. PMID: 27858335
- these studies revealed that GP73 promotes hepatitis C virus (HCV) secretion by directly mediating the interaction of ApoE with HCV replication complex through binding with HCV NS5A. PMID: 27697522
- Significantly higher serum levels of GP-73 and PIVKA-II were detected in the hepatocellular carcinoma patients than in controls. PMID: 28276727
- The critical role of GP73 in hepatocellular carcinoma invasion, epithelial-mesenchymal transition and metastasis PMID: 28075476
- Results show that overexpression of GP73 in hepatocellular carcinoma cell (HCC) line retrieved the expression of epithelial-mesenchymal transition (EMT) markers, and promoted cell motility and invasion. High expression of GP73 was also found in HCC tissues with metastasis providing evidence for an important role of GP73 in HCC metastasis. PMID: 26820712
- Serum GP73 had limited diagnostic value for HBV-related liver cancer. The combined use of serum GP73 and AFP levels improved the diagnostic efficacy. PMID: 26617863
- GP73 enhances MMP-13 expression through cAMP responsive element binding protein (CREB)-mediated transcription activation. Levels of GP73 and MMP-13 are increased and positively correlated in human HCC tissues. Augmented MMP-13 potentiates HCC cell metastasis. PMID: 26378022
- the specific antibody could block the binding of A10-2 to GP73, and the specific binding of A10-2 to GP73 was also supported by the observation that several tumor cell lines exhibited variable expression level of GP73. PMID: 26583119
- Transcatheter arterial chemoembolization significantly increased GP73 expression in patients with hepatocellular carcinoma. PMID: 26256086
- GP73 and AFP-L3 are superior biomarkers to aid the diagnosis of small PHC with negative AFP. The combined detection of biomarkers improved the diagnostic accuracy. PMID: 26406957
- The results of this meta-analysis showed that serum GP73 + AFP exhibited significantly higher diagnostic accuracy for HCC than did serum GP73 or AFP alone. PMID: 26441340
- Sublingual vein parameters and AFP, AFP-L3, and GP73 serum gene expression facilitate early diagnosis of patients with hepatocellular carcinoma. PMID: 26125916
- GOLPH2 may be a useful tissue biomarker for oesophageal disease. PMID: 26461057
- a GP73 assay is not suitable for discriminating between primary malignant and benign tumors of the liver. PMID: 25033446
- Increased expression of GP73 promotes proliferation and migration of hepatocellular carcinoma cell lines and growth of xenograft tumors in mice. PMID: 25980751
- Results show that GOLPH2 is upregulated in Gastric cancer and correlated with shorter overall survival suggesting that GLPH2 is associated with the development and progression of the disease. PMID: 25119897
- serum GP73 was found to be correlated with liver pathological grading and staging in patients with CHB, and may be an effective indicator for the evaluation of disease progression. PMID: 25524053
- GP73 may play an important role in the inhibitory regulation of autophagy. PMID: 25527157
- GOLM1 was directly regulated by miR-27b in prostate cancer cells PMID: 25115396
- The variation trend of gp73 in chronic liver disease may indicate that monitoring of serum gp73 is helpful to diagnose cirrhosis in population with chronic HBV infection. PMID: 25168922
- GP73 might play an important role in proliferation and apoptosis in hepatocellular carcinoma cells. PMID: 25170213
- Studied the serum levels of GP73 in patients with HBV-ACLF. Found concentrations of GP73 in patients with HBV-ACLF (285.3 +/- 128.5 ng/mL) were markedly higher than HCC patients (159.1 +/- 105.8 ng/mL),CHB patients (64.65 +/- 44.99 ng/mL),and healthy controls. PMID: 24560809
- The expression levels of GOLPH2 and IL-12A were negatively correlated. PMID: 24289573
- The results demonstrate the critical function of GP73 in HCV secretion and provide new insights into the therapeutic design of antiviral strategies. PMID: 24608522
- Data demonstrate that chimera GOLM1-MAK10 encodes a secreted fusion protein. Mechanistic studies reveal that GOLM1-MAK10 is likely derived from transcription read-through/splicing rather than being generated from a fusion gene. PMID: 24243830
- Overexpression of GOLM1 is associated with hepatocellular carcinoma. PMID: 23838921
- Loss of the tumor-suppressive miR-143/145 cluster enhanced cancer cell migration and invasion in PCa through directly regulating GOLM1. PMID: 24284362
- GP73 is involved in the regulation of epithelial-mesenchymal transformation and invasiveness of hepatocellular carcinoma. PMID: 24313979
- The usefulness of serum Transforming growth factor-beta1 (TGF-beta1), Glypican-3 (GPC3), and Golgi protein-73 (GP73) mRNAs as early biomarkers in HCC Egyptian patients, was investigated. PMID: 24186850
- GP73 is a potential marker for evaluating AIDS progression and antiretroviral therapy efficacy. PMID: 24068434
- Serum GP73 has a relatively high diagnostic accuracy in primary hepatic carcinoma with better sensitivity and high-specificity than alpha-fetoprotein.[review] PMID: 24779292
- Serum GP73 were increased in patients with fatty liver disease. PMID: 24579464
- GP73 is down-regulated in gastric cancer and associated with tumor differentiation. PMID: 23742050
- GP73 may be a marker for diagnosing significant fibrosis in patients with chronic HBV infections, and may be a new contributor to fibrogensis. PMID: 23418424
- GP73 content of liver cancer patients was significantly higher than the chronic hepatitis, cirrhosis patients and controls. PMID: 23627036
顯示更多
收起更多
-
亞細胞定位:Golgi apparatus, cis-Golgi network membrane; Single-pass type II membrane protein. Note=Early Golgi. Cycles via the cell surface and endosomes upon lumenal pH disruption.
-
蛋白家族:GOLM1/CASC4 family
-
組織特異性:Widely expressed. Highly expressed in colon, prostate, trachea and stomach. Expressed at lower level in testis, muscle, lymphoid tissues, white blood cells and spleen. Predominantly expressed by cells of the epithelial lineage. Expressed at low level in n
-
數據庫鏈接:
Most popular with customers
-
-
YWHAB Recombinant Monoclonal Antibody
Applications: ELISA, WB, IHC, IF, FC
Species Reactivity: Human, Mouse, Rat
-
Phospho-YAP1 (S127) Recombinant Monoclonal Antibody
Applications: ELISA, WB, IHC
Species Reactivity: Human
-
-
-
-
-















