GNRH1 Antibody
-
中文名稱:GNRH1兔多克隆抗體
-
貨號:CSB-PA199057
-
規格:¥1100
-
圖片:
-
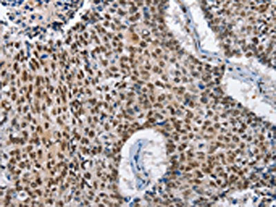
The image on the left is immunohistochemistry of paraffin-embedded Human colon cancer tissue using CSB-PA199057(GNRH1 Antibody) at dilution 1/65, on the right is treated with fusion protein. (Original magnification: ×200)
-
The image on the left is immunohistochemistry of paraffin-embedded Human lung cancer tissue using CSB-PA199057(GNRH1 Antibody) at dilution 1/65, on the right is treated with fusion protein. (Original magnification: ×200)
-
-
其他:
產品詳情
-
Uniprot No.:
-
基因名:
-
別名:GNRH1 antibody; GNRH antibody; GRH antibody; LHRHProgonadoliberin-1 antibody; Progonadoliberin I) [Cleaved into: Gonadoliberin-1 antibody; Gonadoliberin I antibody; Gonadorelin antibody; Gonadotropin-releasing hormone I antibody; GnRH-I antibody; Luliberin I antibody; Luteinizing hormone-releasing hormone I antibody; LH-RH I); GnRH-associated peptide 1 antibody; GnRH-associated peptide I)] antibody
-
宿主:Rabbit
-
反應種屬:Human
-
免疫原:Fusion protein of Human GNRH1
-
免疫原種屬:Homo sapiens (Human)
-
標記方式:Non-conjugated
-
抗體亞型:IgG
-
純化方式:Antigen affinity purification
-
濃度:It differs from different batches. Please contact us to confirm it.
-
保存緩沖液:-20°C, pH7.4 PBS, 0.05% NaN3, 40% Glycerol
-
產品提供形式:Liquid
-
應用范圍:ELISA,IHC
-
推薦稀釋比:
Application Recommended Dilution ELISA 1:2000-1:10000 IHC 1:100-1:300 -
Protocols:
-
儲存條件:Upon receipt, store at -20°C or -80°C. Avoid repeated freeze.
-
貨期:Basically, we can dispatch the products out in 1-3 working days after receiving your orders. Delivery time maybe differs from different purchasing way or location, please kindly consult your local distributors for specific delivery time.
-
用途:For Research Use Only. Not for use in diagnostic or therapeutic procedures.
相關產品
靶點詳情
-
功能:Stimulates the secretion of gonadotropins; it stimulates the secretion of both luteinizing and follicle-stimulating hormones.
-
基因功能參考文獻:
- High expression of LHRH is associated with ovarian cancer. PMID: 27793127
- GNRH (and GNRHR) are expressed in trophoblast cell populations and fallopian tube epithelium at tubal ectopic pregnancy sites. PMID: 26920257
- High LHRH expression is associated with sarcomas of bone and soft tissue. PMID: 27639272
- mutations in the region encoding the decapeptide associated with complete Idiopathic hypogonadotropic hypogonadism PMID: 26595427
- GnRH regulates trophoblast invasion via RUNX2-mediated MMP2/MMP9 expression. PMID: 26660506
- analysis of information transfer via gonadotropin-releasing hormone receptors to extracellular signal-regulated kinase or nuclear factor of activated T-cells PMID: 26644469
- our results showed that GnRH participates in the self-renewal capacity and stemness maintenance of LCSLCs by upregulating the JNK signaling pathway, and GnRH may be useful as an alternative lung cancer stem-like cells therapy. PMID: 25955300
- Melatonin affects the secretion of GnRH, LH and testosterone, improves sperm quality thereby regulating the testicular development and male reproduction. (Review) PMID: 25916694
- Data suggest differences in regulation of expression of PEDF (up-regulation) vs. VEGF (down-regulation) in granulosa cells explain reduced risk of ovarian hyperstimulation syndrome due to ovulation induction using GnRH/GNRHR agonists rather than hCG. PMID: 26308290
- No abnormalities were found in the patient group for the PROKR2 and GNRH1genes. In addition, no genomic rearrangements were identified in the healthy control individuals for the described genes PMID: 24002956
- Haploinsufficiency of Dmxl2, encoding a synaptic protein, causes infertility associated with a loss of GnRH neurons in humans and mice. PMID: 25248098
- Data indicate that the gene expression pattern is profoundly different between human chorionic gonadotropin (hCG) and gonadotropin-releasing hormone (GnRH) agonist. PMID: 24603682
- GnRH agonists fail to increase Bax expression and do not potentiate the cytotoxic activity of docetaxel PMID: 24722580
- GnRH, through heterotopic expression of its receptor, may be a potential regulator of CYP11B2 expression levels in some cases of aldosterone-producing adenoma. PMID: 24472523
- This review will summarize the current understanding of the mechanisms by which PACAP modulates gonadotrope function, with a focus on interactions with GnRH. PMID: 24095645
- Current research efforts aim to discover the mechanisms responsible for the decoding of the GnRH pulse signal by the gonadotrope. PMID: 24056171
- GPR101 is a critical requirement for GnRH-(1-5) transactivation of EGFR in Ishikawa cells. PMID: 24264576
- This review summarizes the mechanisms used by glial cells to control GnRH neuronal ativity and secretion. PMID: 23735672
- R31C GNRH1 is the only missense mutation that was identified in a CpG islet in nine congenital hypogonadotropic hypogonadism subjects from four unrelated families, giving evidence for a putative ''hot spot''. PMID: 23936060
- GnRHI, GnRHII and GnRH receptor expression correlated significantly with poor prognosis in breast cancer patients PMID: 23287110
- AXL and MET crosstalk to promote gonadotropin releasing hormone (GnRH) neuronal cell migration and survival. PMID: 23648337
- Olfactory ensheathing cells form a microenvironment for migrating GnRH-1 neurons during development. PMID: 23404564
- TRH, LH-RH and substance P are not affected in Alzheimer disease and Down's syndrome PMID: 24010162
- Kisspeptin and GnRH pulse generation. PMID: 23550012
- Kisspeptin resets the GnRH pulse generator in men, but does not appear to do so in women PMID: 23550003
- Spontaneous GnRH release is detected in the median eminence of transgenic mice that produce diurnal variations in GnRH. PMID: 23077052
- The role of several class 1 cytokines in regulating GnRH neuronal development, GnRH secretion, and GnRH expression in this REVIEW. PMID: 22161498
- data demonstrate that GnRH transcription is repressed by AR via multiple sequences in GnRH-P, including three Oct-1 binding sites, and that this repression requires the complex interaction of several transcription factors PMID: 22074952
- molecular mechanisms involved in GnRH/GnRHR signaling at the maternal-fetal interface. [Review] PMID: 22024993
- Mutations in GNRH1 have been associated with both mild and severe forms of GnRH deficiency, and may work in combination with other gene mutations to produce GnRH-deficient phenotypes. PMID: 21722705
- [review] Existing evidence suggests that neural pathways originating in hindbrain and hypothalamic feeding nuclei transmit information concerning glucose availability to GnRH neurons, which integrate numerous physiological signals and metabolic cues. PMID: 21855365
- Data show that higher levels of GnRH IgM antibodies were detected in patients with IBS and dysmotility, but not organic GI diseases, compared with healthy controls. PMID: 21714833
- Assessment of CGB and GNRH1 expression level in cancer patients' blood may be useful for indicating metastatic spread of tumor cells. PMID: 21827674
- Sleep is associated with a significant decline in GnRH pulse frequency in both older and younger postmenopausal women PMID: 21646369
- Deletion of the cell-specific enhancer region of GnRH implicates the GnRH promoter in mediating pubertal development and periodic reproductive cycling. PMID: 21368045
- Lactation is an important physiological model of the integration of energy balance and reproduction, as it involves activation of potent appetitive neuropeptide systems coupled to a profound inhibition of pulsatile GnRH/LH secretion--REVIEW PMID: 20727862
- A large literature dealing with various stressors that regulate gonadotrophin-releasing hormone secretion in a variety of species provides evidence that stress modulates GnRH secretion by activating the corticotrophin-releasing factor system--REVIEW PMID: 20727865
- The sources of glutamatergic inputs to the GnRH neurons are only just beginning to be examined and include the anteroventral periventricular nucleus as well as the possibility that GnRH neurons--REVIEW PMID: 20807514
- We then discuss possible neurobiological mechanisms underlying GnRH pulse generation, and conclude by proposing that kisspeptin neurons in the arcuate nucleus are key players--REVIEW PMID: 20951683
- homozygous inactivating mutations in the GNRH1 gene causing hypothalamic hypogonadotropic hypogonadism in patients were reported, validating definitively the pivotal role of GnRH in human pubertal development and reproduction--REVIEW PMID: 20887715
- GNRH1 mutations might cause congenital idiopathic (or isolated) hypogonadotropic hypogonadism (Review) PMID: 20389089
- The role of GnRH-GnRHR signaling at the maternal-fetal interface therefore appears to be limited to the regulation of trophoblast hCG production. PMID: 20400076
- Data describe the distribution and sex dimorphism of kisspeptin-immunoreactive elements in hypothalami, reveal contacts between kisspeptin-immunoreactive fibers and GnRH cells, and colocalize kisspeptins and neurokinin B in the infundibular nucleus. PMID: 20529119
- Metabolic signals are integrated at the levels of first-order neurons equipped with the proper receptors, ant that these neurons send their signals towards hypothalamic GnRH neurons which constitute the integrative element of this network. PMID: 20138117
- The major genes associated with GnRH-dependent pubertal disorders, are reviewed. PMID: 20188792
- Review: Using human GnRH deficiency as a paradigm and presenting original data from the screening of numerous candidate genes, we discuss the emerging model of patient-focused clinical genetic research. PMID: 20484732
- cadherin switching and p120(ctn) signaling as important targets of GnRH function and as novel mediators of invasiveness and tumor progression in ovarian cancer. PMID: 20118984
- data indicate that the promoter region between -992 and -795 contains elements both essential and sufficient for targeting gene expression to GnRH neurons PMID: 11875100
- Coupling of GnRH concentration and the GnRH receptor-activated gene program PMID: 12040003
- JunD activated by LHRH acts as a modulator of cell proliferation and cooperates with the anti-apoptotic and anti-mitogenic functions of LHRH. PMID: 12054733
顯示更多
收起更多
-
相關疾病:Hypogonadotropic hypogonadism 12 with or without anosmia (HH12)
-
亞細胞定位:Secreted.
-
蛋白家族:GnRH family
-
數據庫鏈接:
Most popular with customers
-
-
YWHAB Recombinant Monoclonal Antibody
Applications: ELISA, WB, IHC, IF, FC
Species Reactivity: Human, Mouse, Rat
-
-
-
-
-
-















