-
中文名稱:GNLY兔多克隆抗體
-
貨號:CSB-PA009627LA01HU
-
規格:¥440
-
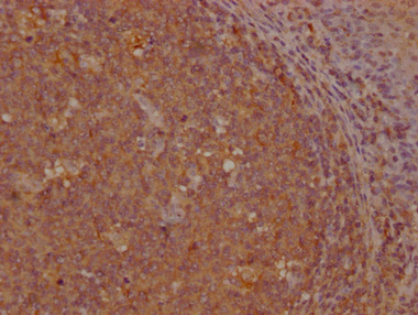
圖片:
-
IHC image of CSB-PA009627LA01HU diluted at 1:200 and staining in paraffin-embedded human tonsil tissue performed on a Leica BondTM system. After dewaxing and hydration, antigen retrieval was mediated by high pressure in a citrate buffer (pH 6.0). Section was blocked with 10% normal goat serum 30min at RT. Then primary antibody (1% BSA) was incubated at 4°C overnight. The primary is detected by a Goat anti-rabbit IgG labeled by HRP and visualized using 0.05% DAB.
-
-
其他:
產品詳情
-
產品名稱:Rabbit anti-Homo sapiens (Human) GNLY Polyclonal antibody
-
Uniprot No.:
-
基因名:GNLY
-
別名:519 antibody; D2S69E antibody; GNLY antibody; GNLY_HUMAN antibody; Granulysin antibody; Granulysin precursor antibody; LAG 2 antibody; LAG2 antibody; Lymphocyte activation gene 2 antibody; Lymphokine LAG 2 antibody; Lymphokine LAG-2 antibody; NKG 5 antibody; NKG5 antibody; Protein NKG5 antibody; T cell activation protein 519 antibody; T lymphocyte activation gene 519 antibody; T-cell activation protein 519 antibody; TLA519 antibody
-
宿主:Rabbit
-
反應種屬:Human
-
免疫原:Recombinant Human Granulysin protein (23-145AA)
-
免疫原種屬:Homo sapiens (Human)
-
標記方式:Non-conjugated
本頁面中的產品,GNLY Antibody (CSB-PA009627LA01HU),的標記方式是Non-conjugated。對于GNLY Antibody,我們還提供其他標記。見下表:
-
克隆類型:Polyclonal
-
抗體亞型:IgG
-
純化方式:>95%, Protein G purified
-
濃度:It differs from different batches. Please contact us to confirm it.
-
保存緩沖液:Preservative: 0.03% Proclin 300
Constituents: 50% Glycerol, 0.01M PBS, PH 7.4 -
產品提供形式:Liquid
-
應用范圍:ELISA, IHC
-
推薦稀釋比:
Application Recommended Dilution IHC 1:200-1:500 -
Protocols:
-
儲存條件:Upon receipt, store at -20°C or -80°C. Avoid repeated freeze.
-
貨期:Basically, we can dispatch the products out in 1-3 working days after receiving your orders. Delivery time maybe differs from different purchasing way or location, please kindly consult your local distributors for specific delivery time.
-
用途:For Research Use Only. Not for use in diagnostic or therapeutic procedures.
引用文獻
相關產品
靶點詳情
-
功能:Antimicrobial protein that kills intracellular pathogens. Active against a broad range of microbes, including Gram-positive and Gram-negative bacteria, fungi, and parasites. Kills Mycobacterium tuberculosis.
-
基因功能參考文獻:
- The results suggest granulysin as a novel marker for a subset of cytotoxic natural killer cell derived malignancies PMID: 30151671
- These results suggest that the 15 kDa granulysin exhibits a novel mechanism in bacteria killing in a way that's different from most antimicrobial peptides. PMID: 27276051
- Decreased blood granulysin at the protein level, is linked to the immunological condition of latent tuberculosis infection. PMID: 27756230
- Carbamate pesticides significantly reduced the intracellular levels of perforin, GrA, GrB, Gr3/K, and GRN in NK-92CI cells. PMID: 25921628
- serum GNLY is closely associated with the clinical characteristics of nasopharyngeal carcinoma and may be a potential biomarker for nasopharyngeal carcinoma PMID: 26751807
- GNLY delivers Gzms into three protozoan parasites (Trypanosoma cruzi, Toxoplasma gondii and Leishmania major), in which the Gzms generate superoxide and inactivate oxidative defense enzymes to kill the parasite. PMID: 26752517
- Studies indicate that cytotoxic mechanisms mediated by granulysin and TRAIL (TNF-related apoptosis inducing ligand) seem to be less secondary effects on normal tissues. PMID: 26314314
- High Granulysin expression is associated with Cutaneous T Cell Lymphoma and Sezary Syndrome. PMID: 26225678
- A three-way interaction between SNPs in HLA-DQ and GNLY was identified in terms of HBV clearance. PMID: 25644528
- GNLY-expressing lymphocytes, probably attracted by IL-15, not only participate partially in myocardial cell apoptosis, but also hasten resolution of cardiac leukocyte infiltration in patients with myocardial infarction. PMID: 21967803
- Peptides encoded by this gene display antimicrobial activity against S. typhimurium, L. monocytogenes, E. coli, S. aureus, C. neoformans, C. albicans, L. major, and M. tuberculosis. PMID: 10644038
- Serum granulysin levels were significantly elevated in both acute and chronic alopecia areata patients. PMID: 24035442
- Human, but not rodent, cytotoxic granules also contain granulysin, an antimicrobial peptide in addition to granzymes; study shows that granulysin delivers granzymes into bacteria to kill diverse bacterial strains. PMID: 24906149
- It was concluded taht granulysin induces apoptosis on hematological tumor cells and on cells from B-cell lymphocytic leukemia patients, opening the door to research on its use as a new anti-tumoral treatment. PMID: 24269628
- suggested that the alteration of circulating granulysin has potential function in host immune response against TB and HIV/TB coinfection PMID: 23801887
- study to determine: expression of GNLY at the gene and protein levels at the maternal-fetal interface, relationship(s) between GNLY and perforin, and GNLY secretion by stimulated NK cells PMID: 23399514
- Granulysin is closely associated with the characteristics of NK-cell neoplasms and serum granulysin may serve as a novel biomarker for these disorders. PMID: 22890551
- GNLY polymorphism genotypes and diplotypes were associated with the chronicity of HBV PMID: 22788687
- recombinant 15 kDa granulysin is not cytolytic but is a potent inducer of monocytic differentiation to dendritic cells PMID: 22586033
- Proliferating memory T cells (CFSE(low)CD4(+)CD45RO(+)) were identified as main source of granulysin and these cells expressed both central and effector memory phenotype PMID: 22216262
- Findings suggest that Vgamma9Vdelta2 T cell-mediated production of granulysin as an underestimated immune effector in malaria. PMID: 22045985
- Granulysin is expressed at different levels in multiple cutaneous adverse drug reactions both by NKp46(+) cells and by CD8(+) T cells. PMID: 21819408
- All these data clearly show the abundant expression and spontaneous secretion of GNLY by decidual NK cells during first trimester pregnancy. PMID: 21623991
- Gene expression profiles of monocytes cultured with 15 kDa Granulysin or GM-CSF for 4, 12, 24 and 48 hours were analysed to unravel both similarities and differences between the effects of these stimulators. PMID: 21501511
- Cytotoxic T- and natural killer (NK) cell-delivered transgenic granulysin induces endoplasmic reticulum stress, activating caspase-7 and distinct apoptotic pathways in target cells. PMID: 21296981
- Both 9- and 15-kDa forms of recombinant GNLY-induced in vitro chemotaxis and activation of both human and mouse dendritic cells. PMID: 20660289
- these data provide details about the complex regulation leading to granulysin expression and anticryptococcal activity in primary CD4(+) T cells. PMID: 20889547
- The megakaryoblastic leukemia cell line CMK, from a Down's syndromept, expressed granulysin mRNA, suggesting that GNLY is occasionally present in immature multilineage cells or may be characteristic of leukemic cells obtained from Down's syndrome pts. PMID: 12145461
- Up-regulation of granulysin in primary CD8 T cells correlates with the acquisition of anticryptococcal activity, which can be blocked by specific inhibition of granulysin. PMID: 12421959
- Sequence analysis of this gene do not support it as a candidate gene for familial hemophagocytic lymphohistiocytosis. PMID: 12483306
- Data report the initial crystal structure of selenomethionyl granulysin by MAD phasing at 2A resolution. PMID: 12488100
- Granulysin is detected in a granular pattern in the cytoplasm of alpha GalCer-activated NKT cells consistent with their presence within cytotoxic granules and suggests that these cells can mediate antimicrobial activity. PMID: 12626573
- mRNA expression measurement of granulysin in urinary cells of renal allograft ents allows the early noninvasive detection of ongoing acute rejection. PMID: 15223905
- granulysin was found exclusively in endosomal-phagosomal vesicles; lipid raft microdomains, enriched in the immunological synapse, may thus enhance uptake and transfer of granulysin into bacterial infected host cells PMID: 15778384
- Granulysin not only contributes to innate immunity but also to adaptive immunity as it attracts and activates human monocytes, dendritic, natural killer (NK) and T cells. PMID: 15843520
- Granulysin expression in CD8 cells seems to be correlated with steroid resistance in polymyositis PMID: 16980658
- These cells use granulysin as the effector molecule, and priming is dysregulated in HIV-infected patients, which results in defective microbicidal activity PMID: 17038537
- This study shows that the regulation of granulysin synthesis in response to IL-2 or bacterial antigen stimulation occurs at several levels: RNA expression, extensive alternative splicing and posttranslational processing. PMID: 17596262
- Serum granulysin is elevated in patients with hemophagocytic lymphohistiocytosis PMID: 18192122
- study found PI3K & STAT5 signaling pathways are required for granulysin expression & IL-2Rbeta induction & IL-2Rbeta induction is a prerequisite for granulysin expression; both signaling pathways are defective in CD4+ T cells from HIV-infected patients PMID: 18490721
- Increased expression in pbmc and elevated serum levels correlated with the severity of primary biliary cirrhosis PMID: 18584314
- granulysin is involved in spontaneous abortion. PMID: 18688023
- Granulysin in the blister fluids was a 15-kDa secretory form PMID: 19029983
- serum granulysin is a novel parameter of patients cancer immunity PMID: 19106590
- Results demonstrate the localization and effect of intracellularly expressed granulysin on non-native cancer cells and indicate its potential utility in gene therapy for cancer. PMID: 19111751
- High granulysin mrna expression is associated with systemic anaplastic large cell lymphoma. PMID: 19243819
- Granulysin can target lysosomes to induce partial release of lysosomal contents into the cytosol; relocalized lysosomal cathepsin B can process Bid to active tBid to cause cytochrome c and apoptosis-activating factor release from mitochondria. PMID: 19454696
- HIV-1 infection of peripheral blood mononuclear cells may reduce the antimicrobial profile of activated CD8+ T cells by disrupting signaling events that are critical for the induction of granulysin. PMID: 19687290
- GLS/IL-12-modified Mycobacterium smegmatis as a novel anti-tuberculosis immunotherapeutic vaccine. PMID: 19861007
- This molecule activates a pathway of CTL- and NK cell-mediated death via disruption of cell and mitochondrial membranes. This is a distinct pathway from granzyme- and death receptor-induced apoptosis. PMID: 11418670
顯示更多
收起更多
-
亞細胞定位:Secreted. Note=Located in the cytotoxic granules of T-cells, which are released upon antigen stimulation.
-
組織特異性:Expressed in natural killer and T-cells.
-
數據庫鏈接:
Most popular with customers
-
-
Phospho-YAP1 (S127) Recombinant Monoclonal Antibody
Applications: ELISA, WB, IHC
Species Reactivity: Human
-
-
-
-
-
-















