GNAZ Antibody
-
中文名稱:GNAZ兔多克隆抗體
-
貨號:CSB-PA796881
-
規格:¥1100
-
圖片:
-
The image on the left is immunohistochemistry of paraffin-embedded Human brain tissue using CSB-PA796881(GNAZ Antibody) at dilution 1/25, on the right is treated with synthetic peptide. (Original magnification: ×200)
-
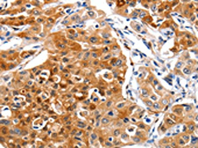
The image on the left is immunohistochemistry of paraffin-embedded Human lung cancer tissue using CSB-PA796881(GNAZ Antibody) at dilution 1/25, on the right is treated with synthetic peptide. (Original magnification: ×200)
-
-
其他:
產品詳情
-
Uniprot No.:
-
基因名:GNAZ
-
別名:G(x) alpha chain antibody; GNAZ antibody; GNAZ_HUMAN antibody; Guanine nucleotide-binding protein G(z) subunit alpha antibody; Gz-alpha antibody
-
宿主:Rabbit
-
反應種屬:Human,Mouse,Rat
-
免疫原:Synthetic peptide of Human GNAZ
-
免疫原種屬:Homo sapiens (Human)
-
標記方式:Non-conjugated
-
抗體亞型:IgG
-
純化方式:Antigen affinity purification
-
濃度:It differs from different batches. Please contact us to confirm it.
-
保存緩沖液:-20°C, pH7.4 PBS, 0.05% NaN3, 40% Glycerol
-
產品提供形式:Liquid
-
應用范圍:ELISA,IHC
-
推薦稀釋比:
Application Recommended Dilution ELISA 1:1000-1:10000 IHC 1:50-1:200 -
Protocols:
-
儲存條件:Upon receipt, store at -20°C or -80°C. Avoid repeated freeze.
-
貨期:Basically, we can dispatch the products out in 1-3 working days after receiving your orders. Delivery time maybe differs from different purchasing way or location, please kindly consult your local distributors for specific delivery time.
-
用途:For Research Use Only. Not for use in diagnostic or therapeutic procedures.
相關產品
靶點詳情
-
功能:Guanine nucleotide-binding proteins (G proteins) are involved as modulators or transducers in various transmembrane signaling systems.
-
基因功能參考文獻:
- GNAZ mutations are associated with melanoma. PMID: 20424519
- cGMP-phosphodiesterase 6 can be activated by another cancer-retina antigen, transducin, through Wnt5a-Frizzled-2 cascade, which leads to a lowering of cGMP and an increase in intracellular calcium mobilization. PMID: 19946729
- findings suggest that Galphaz signals may attenuate Rho-induced stimulation of SRF-mediated transcription PMID: 15326221
-
亞細胞定位:Membrane; Lipid-anchor.
-
蛋白家族:G-alpha family, G(i/o/t/z) subfamily
-
數據庫鏈接:
Most popular with customers
-
-
YWHAB Recombinant Monoclonal Antibody
Applications: ELISA, WB, IHC, IF, FC
Species Reactivity: Human, Mouse, Rat
-
-
-
-
-
-















