GGT1 Antibody
-
中文名稱:GGT1兔多克隆抗體
-
貨號:CSB-PA10329A0Rb
-
規格:¥440
-
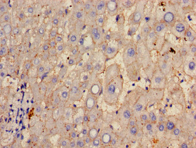
圖片:
-
其他:
產品詳情
-
產品名稱:Rabbit anti-Homo sapiens (Human) GGT1 Polyclonal antibody
-
Uniprot No.:
-
基因名:GGT1
-
別名:GGT1; GGT; Glutathione hydrolase 1 proenzyme; Gamma-glutamyltransferase 1; Gamma-glutamyltranspeptidase 1; GGT 1; Leukotriene-C4 hydrolase; CD antigen CD224
-
宿主:Rabbit
-
反應種屬:Human
-
免疫原:Recombinant Human Glutathione hydrolase 1 proenzyme protein (13-225AA)
-
免疫原種屬:Homo sapiens (Human)
-
標記方式:Non-conjugated
本頁面中的產品,GGT1 Antibody (CSB-PA10329A0Rb),的標記方式是Non-conjugated。對于GGT1 Antibody,我們還提供其他標記。見下表:
-
克隆類型:Polyclonal
-
抗體亞型:IgG
-
純化方式:>95%, Protein G purified
-
濃度:It differs from different batches. Please contact us to confirm it.
-
保存緩沖液:Preservative: 0.03% Proclin 300
Constituents: 50% Glycerol, 0.01M PBS, pH 7.4 -
產品提供形式:Liquid
-
應用范圍:ELISA, IHC, IF
-
推薦稀釋比:
Application Recommended Dilution IHC 1:20-1:200 IF 1:50-1:200 -
Protocols:
-
儲存條件:Upon receipt, store at -20°C or -80°C. Avoid repeated freeze.
-
貨期:Basically, we can dispatch the products out in 1-3 working days after receiving your orders. Delivery time maybe differs from different purchasing way or location, please kindly consult your local distributors for specific delivery time.
-
用途:For Research Use Only. Not for use in diagnostic or therapeutic procedures.
相關產品
靶點詳情
-
功能:Cleaves the gamma-glutamyl bond of extracellular glutathione (gamma-Glu-Cys-Gly), glutathione conjugates and other gamma-glutamyl compounds, such as leukotriene C4 (LTC4). The metabolism of glutathione by GGT1 releases free glutamate and the dipeptide cysteinyl-glycine, which is hydrolyzed to cysteine and glycine by dipeptidases. In the presence of high concentrations of dipeptides and some amino acids, can also catalyze a transpeptidation reaction, transferring the gamma-glutamyl moiety to an acceptor amino acid to form a new gamma-glutamyl compound. Contributes to cysteine homeostasis, glutathione homeostasis and in the conversion of the leukotriene LTC4 to LTD4.; Seems to be inactive.
-
基因功能參考文獻:
- Both GGT and ALT are effective markers for identifying Metabolically Unhealthy Obese. PMID: 30134916
- no association of rs4820599 with polycystic ovary syndrome PMID: 29169850
- gamma glutamyl transferase 1 (GGT1), the key enzyme of the gamma-glutamyl cycle, is expressed at approximately 100-fold lower levels in ChRCC compared with normal kidney, while no change in GGT1 expression was found in clear cell RCC (ccRCC). PMID: 29891694
- Data suggest that increased serum GGT level is independently associated with prevalence of hyperuricemia in middle-aged and elderly Chinese females. PMID: 28332856
- elevated preoperative serum gamma-GGT was significantly associated with advanced tumor stage and aggressive tumor behaviors, and serum gamma-GGT can be considered as a prognostic factor for hepatocellular carcinoma patients after liver transplantation PMID: 27381639
- Higher pre-treatment GGT serum levels were independently associated with unfavorable prognosis in women withu terine leiomyosarcoma (ULMS). Thus, GGT seems to be a useful novel biomarker in ULMS. PMID: 27646551
- In a large Korean population-based study, elevated GGT levels were significantly associated with increased risk of atrial fibrillation. PMID: 28757090
- The probe exhibits very high selectivity and sensitivity toward GGT activity from in vitro to in vivo and in clinical samples, which offers a promising tool for investigations of the GGT-overexpressing related biological process including tumor diagnosis and prognosis in living organisms. PMID: 28697445
- both tumor GGT and serum GGT are poor prognostic factors in gastric cancer PMID: 28404903
- The GPR could be used as a non-invasive marker to predict liver fibrosis and cirrhosis in CHB-NAFLD individuals. PMID: 28415736
- This study demonstrated a positive association between serum GGT levels and LV diastolic dysfunction and LV hypertrophy in a large cohort of middle-aged men and women independent of potential confounders. PMID: 28228613
- we found that serum exosomal GGT activity was significantly higher in prostate cancer (PC), patients than in benign prostatic hyperplasia (BPH) patients. In support of this finding, immunohistochemical analysis showed increased GGT1 expression in PC tissues compared with BPH tissues. Our results suggest that serum exosomal GGT activity could be a useful biomarker for PC PMID: 28476099
- GGT activity may serve as a potential surrogate biomarker of atherogenic risk and metabolic health status PMID: 28621610
- High initial GGT concentration and increases in GGT concentration over time should be considered independent predictors of and to have a combined effect on incident metabolic syndrome. PMID: 28540989
- gamma-glutamyltransferase may have a role in nasopharyngeal carcinoma PMID: 28241022
- Formation of LTD4 was rapid when catalyzed by gamma-glutamyl transpeptidase (GGT)1 in the A549 epithelial lung cancer cell line, but considerably slower when catalyzed by GGT5 in primary bronchial epithelial cells. When A549 cells were cultured in the presence of IL-1beta, GGT1 expression increased about 2-fold. Also exosomes from A549 cells contained GGT1 and augmented LTD4 formation. PMID: 27436590
- Results show a weak genetic evidence that GGT levels may have a causal role in the development of type 2 diabetes. PMID: 27466193
- The structure of DON-bound hGGT1 has led to the discovery of a new mechanism of inactivation by DON that differs from its inactivation of other glutamine metabolizing enzymes, and insight into the activation of the catalytic nucleophile that initiates the hGGT1 reaction. PMID: 28378915
- Study demonstrated that the combined effect of serum GGT and uric acid is associated with a diabetes risk in Korean women and that the use of the measurements of a combination of GGT and uric acid appears to have an additional benefit in the prediction of the future development of diabetes PMID: 28489802
- Impaired GGT expression has the potential to become a valuable tool for stratifying endometrioid adenocarcinoma of the uterus patients' prognosis and treatment planning PMID: 27512000
- evaluation of the association of gamma-glutamyl transpeptidase to platelet ratio with liver fibrosis in chronic hepatitis C patients should take diabetes status into consideration. PMID: 27377848
- In patients with coronary artery disease, elevated gamma-glutamyltransferase activity is independently associated with the presence of atrial fibrillation. PMID: 27939920
- Specific gene polymorphisms are known to be associated with a different arterial physiology in the younger generation. The present study found that young Russians with the matrix metalloproteinase 3 6A/6A and gamma-glutamyltransferase 1AA genotypes have lower levels of the cardio-ankle vascular index - a recent measure of arterial stiffness. PMID: 27161754
- Preoperative GGT can serve as an independent prognostic biomarker of nonmetastatic renal cell carcinoma patients with venous tumor thrombus. PMID: 28168196
- he cardiovascular risk, evaluated with Framingham risk scoring system, increased among fatty liver disease patients compared with control group. Another major finding of this study was the association of higher GGT levels with the increased cardiovascular disease risk. PMID: 26997011
- As a biomarker of GSH status, GGT has several technical advantages such as low cost, easy sample preparation, stability in previously thawed samples and ready availability of clinical laboratory measurement techniques [22] . However, the limitations of GGT as a novel marker of cardiovascular health need to be acknowledged. PMID: 26997005
- We demonstrated a significant correlation between serum GGT levels and VBI. In addition, higher GGT level was an independent risk factor for the presence of vertebrobasilar system inflammation and atherosclerosis PMID: 27546696
- We conclude that Increased serum GGT levels are associated with some markers of ventricular repolarization abnormalities in the early stage of type 2 diabetes PMID: 26433737
- gamma-glutamyltransferase is present in atherosclerotic lesions in the coronary and carotid arteries, and has a prooxidant role leading to the production of reactive oxygen species and atherosclerosis PMID: 26139450
- Elevated serum GGT levels are independently associated with coronary artery calcification progression PMID: 26414209
- gamma-Glutamyltransferase is an independent risk factor for breast cancer beyond the consumption of alcohol and other life style risk factors PMID: 26863311
- macrophages characterized by a pro-inflammatory phenotype may contribute to intra-plaque accumulation of b-GGT, with role in the progression of atherosclerosis PMID: 26463174
- Elevated serum GGT activity was independently associated with sarcopenia and sarcopenic obesity in community-dwelling older adults. PMID: 25913781
- serum GGT and LDH together with higher BCLC staging should be potential predictive factors for HCC overall survival. PMID: 26175398
- Interactive effects of GGT1 G allele and low HDL-cholesterol level on diabetic angiopathy is identified. PMID: 25952030
- Report different pattern of expression of GGT1 and GGT5 in normal human tissues. PMID: 25377544
- In stable coronary artery disease, increased GGT activity within the normal range is associated with increased oxidative stress. PMID: 25180444
- Serum GGT level is associated with urinary albumin excretion in middle-aged and elderly Chinese. PMID: 25500578
- There were similar hazards for all-cause and cancer mortality and attenuated hazards for cardiovascular mortality for people in the highest GGT quartile, adjusting for fatty liver assessed by either ultrasound or fatty liver index. PMID: 26152752
- High serum GGT levels were an independent risk factor for all-cause mortality in peritoneal dialysis patients. PMID: 26252286
- elevated serum ALT and GGT levels are associated with increased arterial stiffness, independent of the classical atherosclerotic risk factors in Japanese men PMID: 25437895
- The data underscores the role of ethanol consumption and age as major determinants of increased GGT levels in men, whereas in women, a relatively stronger impact was noted for ethanol intake and body mass index. PMID: 23736697
- report crystal structures that show conformational changes within the active site as the enzyme progresses from the free enzyme to inhibitor-bound tetrahedral transition states and to a glutamate-bound structure prior to release of final reaction product PMID: 26013825
- serum gamma-glutamyltransferase does not seem to be associated with carotid atherosclerosis PMID: 25282687
- intra-plaque b-GGT activity correlates with the histological markers of vulnerable plaque and with plasma b-GGT in human carotid atherosclerosis PMID: 25299965
- the SOD2 Val16Ala polymorphism has an impact on the relationship between VPA exposure and gamma-GT elevation in patients with epilepsy. These results suggest that determining the SOD2 genotype could be helpful for preventing the VPA-induced gamma-GT elevation. PMID: 25372290
- The serum GGT level was associated with brachial-ankle pulse wave velocity, a marker of peripheral atherosclerosis, independently of covariates including fatty liver or menopausal state just in women, but not in men. PMID: 25280803
- The incidence of hepatocellular carcinoma (HCC) did not differ between patients with high and low baseline gammaGT levels in patients with cirrhosis, but incidence of HCC was higher in non-cirrhotic patients with high gammaGT levels vs those with low gammaGT levels. PMID: 24613362
- High serum GGT levels are associated with recurrence in hepatocellular carcinoma. PMID: 24748164
- results suggest that serum beta2M and GGT levels are useful indicators for evaluating the occurrence of slight inflammation as background, which promotes atherosclerosis even in healthy children. PMID: 24572983
顯示更多
收起更多
-
相關疾?。?/div>Glutathionuria (GLUTH)亞細胞定位:Cell membrane; Single-pass type II membrane protein.蛋白家族:Gamma-glutamyltransferase family組織特異性:Detected in fetal and adult kidney and liver, adult pancreas, stomach, intestine, placenta and lung. There are several other tissue-specific forms that arise from alternative promoter usage but that produce the same protein.; [Isoform 3]: Lung-specific.數據庫鏈接:
Most popular with customers
-
-
Phospho-YAP1 (S127) Recombinant Monoclonal Antibody
Applications: ELISA, WB, IHC
Species Reactivity: Human
-
-
-
-
-
-















