GFER Antibody
-
中文名稱:GFER兔多克隆抗體
-
貨號:CSB-PA183839
-
規格:¥1100
-
圖片:
-
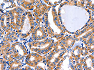
The image on the left is immunohistochemistry of paraffin-embedded Human thyroid cancer tissue using CSB-PA183839(GFER Antibody) at dilution 1/50, on the right is treated with fusion protein. (Original magnification: ×200)
-
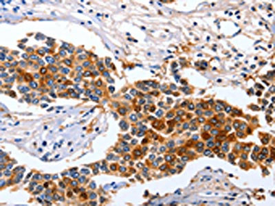
The image on the left is immunohistochemistry of paraffin-embedded Human breast cancer tissue using CSB-PA183839(GFER Antibody) at dilution 1/50, on the right is treated with fusion protein. (Original magnification: ×200)
-
-
其他:
產品詳情
-
Uniprot No.:
-
基因名:
-
別名:ALR_HUMAN antibody; Augmenter of liver regeneration antibody; ERV1 antibody; ERV1 homolog antibody; Erv1 like growth factor antibody; FAD-linked sulfhydryl oxidase ALR antibody; GFER antibody; Growth factor augmenter of liver regeneration antibody; Growth factor erv1 like antibody; Hepatic regenerative stimulation substance antibody; Hepatopoietin antibody; Hepatopoietin protein antibody; hERV1 antibody; HPO antibody; HPO1 antibody; HPO2 antibody; HSS antibody
-
宿主:Rabbit
-
反應種屬:Human,Mouse,Rat
-
免疫原:Fusion protein of Human GFER
-
免疫原種屬:Homo sapiens (Human)
-
標記方式:Non-conjugated
-
抗體亞型:IgG
-
純化方式:Antigen affinity purification
-
濃度:It differs from different batches. Please contact us to confirm it.
-
保存緩沖液:-20°C, pH7.4 PBS, 0.05% NaN3, 40% Glycerol
-
產品提供形式:Liquid
-
應用范圍:ELISA,IHC
-
推薦稀釋比:
Application Recommended Dilution ELISA 1:1000-1:2000 IHC 1:50-1:200 -
Protocols:
-
儲存條件:Upon receipt, store at -20°C or -80°C. Avoid repeated freeze.
-
貨期:Basically, we can dispatch the products out in 1-3 working days after receiving your orders. Delivery time maybe differs from different purchasing way or location, please kindly consult your local distributors for specific delivery time.
-
用途:For Research Use Only. Not for use in diagnostic or therapeutic procedures.
相關產品
靶點詳情
-
功能:FAD-dependent sulfhydryl oxidase that regenerates the redox-active disulfide bonds in CHCHD4/MIA40, a chaperone essential for disulfide bond formation and protein folding in the mitochondrial intermembrane space. The reduced form of CHCHD4/MIA40 forms a transient intermolecular disulfide bridge with GFER/ERV1, resulting in regeneration of the essential disulfide bonds in CHCHD4/MIA40, while GFER/ERV1 becomes re-oxidized by donating electrons to cytochrome c or molecular oxygen.; May act as an autocrine hepatotrophic growth factor promoting liver regeneration.
-
基因功能參考文獻:
- Data (including data from studies in knockout mice) suggest that KIBRA plays important role in regulating HPO activity, YAP signaling, and actin cytoskeletal dynamics in podocytes; expression of KIBRA and YAP plus phosphorylation of YAP are up-regulated in glomeruli of patients with focal segmental glomerulosclerosis. (KIBRA = kidney/brain protein-KIBRA; HPO = hepatopoietin protein; YAP = Yes associated protein-1) PMID: 28982981
- Loss of DLG5 expression promoted breast cancer progression by inactivating the Hippo signaling pathway and increasing nuclear YAP. PMID: 28169360
- WWC2 functions as a tumor suppressor by negatively regulating the Hippo signaling pathway and may serve as a prognostic marker in hepatocellular carcinoma. PMID: 28815883
- the results of this study demonstrated that targeted inhibition of the ALR expression in Jurkat cells triggered cell growth inhibition and sensitized cells to VCR via promoting apoptosis and regulating the cell cycle. PMID: 29048676
- IKBKE plays a pivotal role in regulating cell proliferation, invasion and epithelial-mesenchymal transition of malignant glioma cells in vitro and in vivo by impacting on the Hippo pathway. PMID: 28548934
- we found 2 additional patients carrying compound heterozygous variants in GFER. Reverse phenotyping confirmed the phenotypical similarities between the 4 patients. Together with the first literature reports, the review of these 8 cases from 4 unrelated families enables us to better describe this apparently homogeneous disorder, with the clinical and biological stigmata of mitochondrial disease PMID: 28155230
- ese findings collectively indicate that ALR negatively regulates the autophagy process through an association with the AMPK/mTOR signaling pathway. Autophagy inhibit apoptosis and play a protective role under conditions of oxidative stress. PMID: 28466106
- HPO interaction with MOB1 is not essential for development and tissue growth control. PMID: 28947795
- Overexpression of augmenter of liver regeneration (ALR) in liver cancer was studied and found to improve sensitivity to antitumor drugs by increasing the retention of intracellular drugs, at least partly through the modulation of the ABCB1 and ABCG2 signaling pathway. PMID: 28825695
- role in regulating the mitochondrial fission machinery PMID: 28646508
- It evidence demonstrating Hippo-independent regulation of TEADs and the potential impacts these studies may have on new cancer therapeutics. PMID: 28964625
- ALR protects steatotic hepatocytes from ischemia reperfusion injury by attenuating oxidative stress and mitochondrial dysfunction. PMID: 28704337
- Our results show that MARK4 acts as a negative regulator of the Hippo kinase cassette to promote YAP/TAZ activity and that loss of MARK4 restrains the tumorigenic properties of breast cancer cells. PMID: 28183853
- ALR, dependent on its localization, changes the acute-phase response (APR) at least in part, by modifying STAT3 activation; dual signaling of ALR suggests that ALR is pivotal for the regulation of APR, a crucial event in liver injury and regeneration PMID: 28506765
- the mechanistic regulation and linkage of the ROR1-HER3 and Hippo-YAP pathway in a cancer-specific context PMID: 28114269
- S100A7 induction by the Hippo-YAP pathway in cervical and glossopharyngeal squamous cell carcinoma has been described. PMID: 27907036
- ALR protects cells from apoptosis partly through increased autophagy in HepG2 cells. PMID: 25954098
- Knockdown of GFER exerts anti-inflammatory actions via suppression of the mitogen-activated protein kinase signaling pathway PMID: 25929436
- ALR plays a protective role against hydrogen peroxide-induced oxidative stress in renal proximal tubule cells. PMID: 25633409
- Data show that the over-expression of 23 kDa augmenter of liver regeneration (ALR) in hepatic cell line LO2 cells promoted the cell proliferation and enhanced cell resistance to hydrogen peroxide. PMID: 26271971
- Upregulation of miR-130b enhances stem cell-like phenotype in glioblastoma by inactivating the Hippo signaling pathway. PMID: 26241672
- This review summarizes the current findings of the regulation of Hippo signaling in liver regeneration and tumorigenesis, focusing on how the loss of tumor suppressor components of the Hippo pathway results in liver cancers. [review] PMID: 25476204
- Here we provide an overview of its roles in regulating stem cells in epithelial tissues and its potential implications in related cancers. [review] PMID: 25476205
- The purpose of this review is to summarize the recent findings and discuss how Hippo pathway responds to cellular stress and regulates early development events, tissue homeostasis as well as tumorigenesis. [review] PMID: 25476206
- this review, we briefly describe the components of the Hippo pathway and focus on the recent progress with respect to the regulation of the Hippo pathway by GPCRs and G proteins in cancer cells. [review] PMID: 25491506
- Control of growth and beyond: a special issue on Hippo signaling PMID: 25467756
- This review will discuss and summarize the roles of several core components of the Hippo pathway in mammary gland development and breast cancer. [review] PMID: 25467757
- In this review, we discuss the roles of non-canonical Hippo/Mst signaling pathways in lymphocyte development and functions. [review] PMID: 25487919
- ALR is involved in the progression of renal fibrosis and administration of rhALR protects the kidney against renal fibrosis by inhibition of TGF-beta/Smad activity. PMID: 24844766
- Enhanced ALR gene expression was negatively correlated with advanced histopathological grade and stage in both colon cancer cell lines and human tissue samples. PMID: 25778301
- A model for the functional defect in Erv1 R182H, which could potentially be extended to human ALR R194H and provides insights into the molecular basis of autosomal recessive myopathy. PMID: 25269795
- ALR, Bcl-2 protein, clusterin and reactive oxygen species expression in muscle tissue biopsies from mitochondrial myopathy-affected patients, was determined. PMID: 23916837
- protects Jurkat T leukemia cells from vincristine-induced cell death PMID: 23810409
- the protective effect of hepatic stimulator substance against endoplasmic reticulum stress may be associated with the removal of reactive oxygen species to restore the activity of the sarco-endoplasmic reticulum Ca(2+)-ATPase. PMID: 24284796
- These results collectively suggest that the Hippo pathway negatively regulates the actin-binding activity of Amot family members through direct phosphorylation. PMID: 24225952
- Import and oxidative folding of proteins are kinetically and functionally coupled and depend on the expression of Mia40, ALR, and the intracellular glutathione pool. PMID: 23676665
- this work studies the catalytic mechanism of the short, cytokine form of augmenter of liver regeneration using model thiol substrates of the enzyme PMID: 24147449
- Nrf2 activates ALR via antioxidant response element and links oxidative stress to liver regeneration. PMID: 23887691
- Small molecule MitoBloCK-6 inhibits Erv1/ALR and thus mitochondrial protein import in human embryonic stem cells. PMID: 23597483
- overexpression of hALR results in influencing the sperm morphology and quantity and the eventual reduction in male fertility. PMID: 22863717
- refined 2.4 A resolution of ALR structure is in good agreement with both the X-ray data (R(cryst) of 0.165, R(free) of 0.211) PMID: 22948913
- The unstructured domain performs a dual function in two cellular compartments: it acts (i) as a mitochondrial targeting signal in the cytosol and (ii) as a crucial recognition site in the disulfide relay system of intermembrane space. PMID: 23207295
- ALR level in serum may indicate hepatocyte proliferation or liver regeneration. High ALR level in serum in early stage of acute-on-chrinic liver failure may mean a good prognosis. PMID: 22246190
- The role of ALR is activated caspase-3, ROS, apoptotic cell number and mitochondrial degeneration. PMID: 22476097
- The study shows the mechanism of the electron flux within ALR, characterizing at the atomic level the ALR intermediates that allow electrons to rapidly flow to cytochrome c. PMID: 22224850
- The role for Gfer is the restriction of unwarranted proliferation in HSCs through the inhibition of Jab1 and subsequent stabilization and nuclear retention of p27kip1. PMID: 21636978
- Data indicate that cytosolic ALR reduces hepatoma cell migration, augments epithelial growth and, therefore, may act as an antimetastatic and EMT reversing protein. PMID: 21152698
- Molecular recognition and substrate mimicry drive the electron-transfer process between MIA40 and ALR. PMID: 21383138
- Mutation in the GFER gene causes an infantile mitochondrial disorder. GFER mutation in patient's muscle causes: a reduction in complex I, II, and IV activity; abnormal morphology of the mitochondria; and mtDNA multiple deletions. PMID: 19409522
- [review] Chronic lack of action by hepatic insulin-sensitizing substance (HISS) results in a progressive and predictable series of homeostatic dysfunctions typical of type 2 diabetes. PMID: 20393596
顯示更多
收起更多
-
相關疾病:Myopathy, mitochondrial progressive, with congenital cataract, hearing loss and developmental delay (MPMCHD)
-
亞細胞定位:[Isoform 1]: Mitochondrion intermembrane space. Mitochondrion.; [Isoform 2]: Cytoplasm. Secreted.
-
組織特異性:Ubiquitously expressed. Highest expression in the testis and liver and low expression in the muscle.
-
數據庫鏈接:
Most popular with customers
-
-
Phospho-YAP1 (S127) Recombinant Monoclonal Antibody
Applications: ELISA, WB, IHC
Species Reactivity: Human
-
-
-
-
-
-















