-
中文名稱:GCLC兔多克隆抗體
-
貨號:CSB-PA009321LA01HU
-
規格:¥440
-
圖片:
-
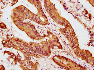
IHC image of CSB-PA009321LA01HU diluted at 1:100 and staining in paraffin-embedded human colon cancer performed on a Leica BondTM system. After dewaxing and hydration, antigen retrieval was mediated by high pressure in a citrate buffer (pH 6.0). Section was blocked with 10% normal goat serum 30min at RT. Then primary antibody (1% BSA) was incubated at 4°C overnight. The primary is detected by a biotinylated secondary antibody and visualized using an HRP conjugated SP system.
-
-
其他:
產品詳情
-
產品名稱:Rabbit anti-Homo sapiens (Human) GCLC Polyclonal antibody
-
Uniprot No.:
-
基因名:GCLC
-
別名:EC 6.3.2.2 antibody; Gamma ECS antibody; Gamma glutamylcysteine synthetase antibody; Gamma-ECS antibody; Gamma-glutamylcysteine synthetase antibody; GCL antibody; Gclc antibody; GCS antibody; GCS heavy chain antibody; GLCL antibody; GLCLC antibody; Glutamate cysteine ligase catalytic subunit antibody; Glutamate--cysteine ligase catalytic subunit antibody; GSH1_HUMAN antibody
-
宿主:Rabbit
-
反應種屬:Human
-
免疫原:Recombinant Human Glutamate--cysteine ligase catalytic subunit protein (78-236AA)
-
免疫原種屬:Homo sapiens (Human)
-
標記方式:Non-conjugated
本頁面中的產品,GCLC Antibody (CSB-PA009321LA01HU),的標記方式是Non-conjugated。對于GCLC Antibody,我們還提供其他標記。見下表:
-
克隆類型:Polyclonal
-
抗體亞型:IgG
-
純化方式:>95%, Protein G purified
-
濃度:It differs from different batches. Please contact us to confirm it.
-
保存緩沖液:Preservative: 0.03% Proclin 300
Constituents: 50% Glycerol, 0.01M PBS, pH 7.4 -
產品提供形式:Liquid
-
應用范圍:ELISA, IHC
-
推薦稀釋比:
Application Recommended Dilution IHC 1:20-1:200 -
Protocols:
-
儲存條件:Upon receipt, store at -20°C or -80°C. Avoid repeated freeze.
-
貨期:Basically, we can dispatch the products out in 1-3 working days after receiving your orders. Delivery time maybe differs from different purchasing way or location, please kindly consult your local distributors for specific delivery time.
-
用途:For Research Use Only. Not for use in diagnostic or therapeutic procedures.
引用文獻
- Protective effect of sargahydroquinoic acid against Aβ25–35-evoked damage via PI3K/Akt mediated Nrf2 antioxidant defense system JH Yoon,Biomedicine & Pharmacotherapy,2021
相關產品
靶點詳情
-
基因功能參考文獻:
- Study found that the frequency of C/T polymorphism genotype of GCLC gene in patients with pulmonary tuberculosis is 36.4%. PMID: 29023060
- the present study demonstrated that cells transformed by chronic exposure to 3MC exhibited inhibition of GSH biosynthesis by suppression of GCL protein expression and reduction of cysteine availability, which may subsequently render cells vulnerable to oxidative stress. PMID: 29039508
- Glutathione biosynthesis during the lipopolysaccharide-induced inflammatory response in THP-1 macrophages is tightly and differentially regulated via GCLC and GCLM subunits of glutamate cysteine ligase. PMID: 28993271
- High expression of GCLC in tumor tissue may be a potential predictor of treatment failure. PMID: 29474642
- gamma-GCS has a role in chemo- and radio-resistance of human hepatocellular carcinoma cells PMID: 29549912
- The findings indicate that expression of the transcription factor NRF2 and its effector GCL are both profoundly deregulated in endometriotic lesions towards increased growth and fibrogenetic processes. PMID: 28457937
- Taken together, our findings provide evidence that G9a protects head and neck squamous cell carcinomas (HNSCC)cells against chemotherapy by increasing the synthesis of GSH, and imply G9a as a promising target for overcoming cisplatin resistance in HNSCC PMID: 28265008
- A panel consisting of IGFBP1, KIM1, GCLC and GSTM1 genes could be used in combination for early screening of CKDu, whereas these genes in addition with FN1, IGFBP3 and KLK1 could be used to monitor progression of CKDu. The regulation of these genes has to be studied on larger populations to validate their efficiency for further clinical use. PMID: 28103909
- High GCLC expression is associated with chemotherapy resistance in breast cancer. PMID: 26894974
- Knockdown of CD44 reduced the protein level of xCT, a cystine transporter, and increased oxidative stress. However, an increase in GSH was also observed and was associated with enhanced chemoresistance in CD44-knockdown cells. Increased GSH was mediated by the Nrf2/AP-1-induced upregulation of GCLC, a subunit of the enzyme catalyzing GSH synthesis PMID: 28185919
- GCLC polymorphisms correlated with brain GSH and Glu levels in psychosis. PMID: 27069063
- NQO1 and GCLC were both functionally sufficient to autonomously confer a tamoxifen-resistant metabolic phenotype, characterized by i) increased mitochondrial biogenesis, ii) increased ATP production and iii) reduced glutathione levels. PMID: 28411284
- (i) melatonin counteracted UVR-induced alterations in the ATP synthesis and reduced free radical formation; (ii) melatonin induced the translocation of Nrf2 transcription factor from the cytosol into the nucleus resulting in, (iii) melatonin enhanced gene expression of phase-2 antioxidative enzymes including gamma-glutamylcysteine synthetase (gamma-GCS), heme oxygenase-1 (HO-1), and NADPH: quinone dehydrogenase-1 (NQO1... PMID: 27117941
- Glutaminolysis is activated in ES2 and OVCAR3, though ES2 exclusively synthesizes amino acids and GSH. ES2 cells are more resistant to carboplatin than OVCAR3 and the abrogation of GSH production by BSO sensitizes ES2 to carboplatin. HNF1beta regulates the expression of GCLC, but not GCLM, and consequently GSH production in ES2 PMID: 26520442
- miR-433 targets both catalytic (GCLc) and regulatory (GCLm) subunits of GCL. PMID: 25353619
- Data suggest expression of hepatocyte GCLC and GCLM can be regulated by dietary component; alpha-lipoic acid, a vitamin B complex nutrient, protects against oxidative stress/cytotoxicity induced by cadmium via restoration of GCLC and GCLM expression. PMID: 26365678
- Cigarette smoke-induced hypermethylation of the GCLC promoter is related to the initiation and progression of COPD. PMID: 26087411
- GCLC and GSS were expressed at higher levels in colon cancer tissue, as compared with normal mucosa. PMID: 26059756
- The Kaplan-Meier analysis shows that rs3736729 on GCLC presents a significant association with disease-free survival and overall survival. PMID: 23443115
- H2S upregulates GCLC and GSH and inhibits IL-1beta levels, which may be what mediates the beneficial effects of H2S-rich compounds in mitigating the pathogenesis of metabolic syndrome and atherosclerosis PMID: 24665821
- the CYP1A1 (rs2606345, rs4646903, rs1048943), GCLC, AGT, and AGTR1 genes was associated with pleuritis, empyema, acute respiratory distress syndrome, all PC and acute respiratory failure (ARF). PMID: 24068433
- A functional trinucleotide repeat polymorphism in the 5'-untranslated region of the glutathione biosynthetic gene GCLC is associated with increased risk for lung and aerodigestive tract cancers. PMID: 22610501
- 1,25 (OH) vitamin D significantly upregulated expression of GCLC and GR and lowered secretion of IL-8 and MCP-1 in high-glucose exposed U937 monocytes. PMID: 23770363
- Polymorphisms in GCLC, GSTM1, GSTT1, and GSTP1 genes associated with metabolism of glutathione act on cystic fibrosis severity. PMID: 23758905
- Genistein up-regulated HO-1 and Glutamate-Cysteine Ligase expression through the EKR1/2 and PKC /Nrf2 pathways during oxidative stress. PMID: 23255485
- Data suggest that microRNA/mRNA pairs in hsa-miR-140-3p/RAD51AP1/, hsa-miR-145/E2F3, hsa-miR-139-5p/TOP2A, and hsa-miR-133a/GCLC were correlated with ovarian tumorigenesis. PMID: 22452920
- rs761142 in GCLC was found to be associated with reduced GCLC mRNA expression and with SMX-induced hypersensitivity in HIV/AIDS patients. PMID: 22824134
- Data show for the first time that GCLC may serve a dual role, as a surrogate marker for cellular redox state as well as malignant potential of melanoma cells. PMID: 22249522
- insulin increased GCLc promoter activity, which required a prerequisite increase or decrease in medium glucose PMID: 21871559
- The functional SNPs CYBA -675 T --> A and GCLC rs17883901, probably associated with cellular redox imbalances, modulate the risk for renal disease in the studied population of type 1 diabetes patients PMID: 21962117
- high-risk glutamate-cysteine ligase catalytic subunit GAG trinucleotide repeat genotypes lead to alterations of plasma thiols levels that reflect a dysregulation of redox control PMID: 20673128
- Results suggest that GAG polymorphism affects GCLC expression via translation, and thus may be associated with altered risk for GSH-related diseases and toxicities. PMID: 21444626
- the single nucleotide polymorphism (SNP) -129C/T (rs17883901) in glutamate-cysteine ligase catalytic subunit (GCLC) and SNPs I128T (rs3816873) and Q95H (rs61733139) in microsomal triglyceride transfer protein (MTTP) in nonalcoholic fatty liver disease PMID: 21438662
- SNPs not associated with self-reported depression PMID: 21277635
- The impacts of four clinical missense mutations on GCLC enzymatic function in vivo and in vitro, was evaluated. PMID: 21657237
- GCLC is a target gene of the BACH1 transcription factor according to ChIP-seq analysis in HEK 293 cells. PMID: 21555518
- Posttranslational modification and regulation of glutamate-cysteine ligase by the alpha,beta-unsaturated aldehyde 4-hydroxy-2-nonenal. PMID: 20970495
- SNPs not associted with schizophrenia in Japanese individuals PMID: 21105962
- These results provide evidence that interaction of the two variations can efficiently impair GCLC expression and thus suggest its involvement in the pathogenesis of diseases related to GSH metabolism. PMID: 21156206
- Data show that activation of the PPARgamma/PGC-1alpha pathway may protect against COPD progression by upregulating gamma-GCS and relieving oxidative stress. PMID: 20732852
- An ethnic-specific polymorphism in the catalytic subunit of glutamate-cysteine ligase impairs the production of glutathione intermediates in vitro. PMID: 20655259
- PD98059 and erythromycin could block AP-1 transduction pathway, but increase the synthesis of gamma-GCS induced by 4-hydroxynonenal in bronchial epithelial cells. PMID: 19567187
- Regulation of GCL(cat) by MYCN accounts for the survival of neuroblastoma cells against oxidative damage; GCL should be considered a potential therapeutic target for the treatment of MYCN-amplified neuroblastoma. PMID: 20180881
- Polymorphisms of glutamate-cystein ligase and microsomal triglyceride transfer protein genes may be associated with non-alcoholic liver disease progression. PMID: 19817962
- Expression of the gamma-glutamylcysteine synthetase heavy subunit gene is inducible by certain nonsteroidal anti-inflammatory drugs (e.g., indomethacin) in colon cancer cells. PMID: 11820781
- Genetic determinants of lung cancer short-term survival: the role of glutathione-related genes PMID: 11844594
- Oxidant stress induces gamma-glutamylcysteine synthetase and glutathione synthesis in human bronchial epithelial NCI-H292 cells. PMID: 11972604
- identification of a variant antioxidant response element in the promoter region PMID: 12070177
- redox-sensitive elements directing expression of the glutamate cysteine ligase in CYP2E1-expressing cells are present in the ARE4 distal portion of the 5'-flanking region, perhaps a reflection of metabolic adaptation to CYP2E1-generated oxidative stress. PMID: 12500194
- A new gamma-GCSH mutation from gamma-GCS deficiency, a C>T missense mutation at nucleotide 379, encodes a predicted Arg127Cys amino acid change. The mutated amino acid lies within a cleft on the protein surface of gamma-GCSH, containing Cys249. PMID: 12663448
顯示更多
收起更多
-
相關疾病:Hemolytic anemia due to gamma-glutamylcysteine synthetase deficiency (HAGGSD)
-
蛋白家族:Glutamate--cysteine ligase type 3 family
-
數據庫鏈接:
Most popular with customers
-
YWHAB Recombinant Monoclonal Antibody
Applications: ELISA, WB, IHC, IF, FC
Species Reactivity: Human, Mouse, Rat
-
Phospho-YAP1 (S127) Recombinant Monoclonal Antibody
Applications: ELISA, WB, IHC
Species Reactivity: Human
-
-
-
-
-
-















