FGFRL1 Antibody
-
中文名稱:FGFRL1兔多克隆抗體
-
貨號:CSB-PA926721
-
規格:¥1100
-
圖片:
-
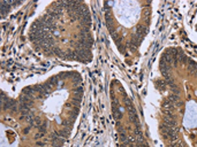
The image on the left is immunohistochemistry of paraffin-embedded Human colon cancer tissue using CSB-PA926721(FGFRL1 Antibody) at dilution 1/20, on the right is treated with fusion protein. (Original magnification: ×200)
-
The image on the left is immunohistochemistry of paraffin-embedded Human cervical cancer tissue using CSB-PA926721(FGFRL1 Antibody) at dilution 1/20, on the right is treated with fusion protein. (Original magnification: ×200)
-
-
其他:
產品詳情
-
Uniprot No.:
-
基因名:FGFRL1
-
別名:FGF homologous factor receptor antibody; FGF receptor like protein 1 antibody; FGF receptor-like protein 1 antibody; FGFR 5 antibody; FGFR like protein antibody; FGFR-5 antibody; FGFR-like protein antibody; FGFR5 antibody; Fgfrl1 antibody; FGRL1_HUMAN antibody; FHFR antibody; Fibroblast growth factor receptor 5 antibody; Fibroblast growth factor receptor like 1 antibody; Fibroblast growth factor receptor-like 1 antibody
-
宿主:Rabbit
-
反應種屬:Human,Mouse,Rat
-
免疫原:Fusion protein of Human FGFRL1
-
免疫原種屬:Homo sapiens (Human)
-
標記方式:Non-conjugated
-
抗體亞型:IgG
-
純化方式:Antigen affinity purification
-
濃度:It differs from different batches. Please contact us to confirm it.
-
保存緩沖液:-20°C, pH7.4 PBS, 0.05% NaN3, 40% Glycerol
-
產品提供形式:Liquid
-
應用范圍:ELISA,IHC
-
推薦稀釋比:
Application Recommended Dilution ELISA 1:1000-1:2000 IHC 1:25-1:100 -
Protocols:
-
儲存條件:Upon receipt, store at -20°C or -80°C. Avoid repeated freeze.
-
貨期:Basically, we can dispatch the products out in 1-3 working days after receiving your orders. Delivery time maybe differs from different purchasing way or location, please kindly consult your local distributors for specific delivery time.
-
用途:For Research Use Only. Not for use in diagnostic or therapeutic procedures.
相關產品
靶點詳情
-
功能:Has a negative effect on cell proliferation.
-
基因功能參考文獻:
- this study shows FGFRL1 promotes ovarian cancer progression by crosstalk with Hedgehog signaling PMID: 29675438
- FGFRL1 is a transmembrane receptor that can induce the fusion of CHO cells to multinucleated syncytia. This cell fusion activity has been attributed to the extracellular Ig3 domain of the receptor. The Ig3 domain from humans, mice, chicken and fish stimulates fusion of CHO cells, while the Ig3 domain from lancelet and sea urchin does not. PMID: 28596102
- Both in vitro and in vivo studies determined that miR-210 promoted hepatocellular carcinoma (HCC), angiogenesis, and the corresponding mechanism was identified to be the direct targeting and inhibition of fibroblast growth factor receptor-like 1 (FGFRL1) expression PMID: 27666683
- FGFRL1 is a cell adhesion protein. PMID: 27220341
- functional evidence for a novel FGFRL1 poly-miRTS rs4647940 in a previously known 4p16.3 locus, and experimental and clinical genetics studies have shown both FGFRL1 and hsa-miR-140-5p are important for bone formation. PMID: 25941324
- Cell-cell fusion induced by the Ig3 domain of receptor FGFRL1 PMID: 26025674
- The signaling complex appears to integrate the input from FGFR and EphA4, and release the output signal through FRS2alpha. PMID: 20184660
- study identified a novel region of deletion mapping to 4p16.3 in 15 percent of bladder tumors and 24 percent of bladder cancer cell lines; FGFRL1, which maps within this region, was investigated as putative deletion target; average FGFRL1 protein expression was lower in bladder tumors compared to normal tissue, but downregulation was independent from 4p16.3 LOH status PMID: 23775577
- Interaction of FGFRL1 with Spred1 increases the proportion of the receptor at the plasma membrane. PMID: 21616146
- an important role for miR-210 as a tumor-suppressive microRNA with effects on cancer cell proliferation PMID: 21044961
- FGFRL1 is capable of inducing syncytium formation of heterologous cells in vitro. PMID: 20851884
- FGFRL1 is indeed a decoy receptor for FGFs. PMID: 19920134
- analysis of FGF18 and FGFR5(FGFRL1) expression in primary endothelial cells and vascular smooth muscle cells PMID: 16019430
- Screening of 241 different human tumors with the help of a cancer profiling array suggested major alterations in the relative expression of FGFRL1 in ovarian tumors PMID: 16273302
- The extracellular domain of recombinant FGFRL1 promoted cell adhesion, but not cell spreading. Adhesion was mediated by heparan sulfate glycosaminoglycans located at the cell surface. PMID: 18061161
- mutant FGFRL1 contributes to the skeletal malformations of the patient PMID: 19056490
顯示更多
收起更多
-
亞細胞定位:Membrane; Single-pass type I membrane protein. Note=Predominantly localized in the plasma membrane but also detected in the Golgi and in secretory vesicles.
-
組織特異性:Expressed preferentially in cartilaginous tissues and pancreas. Highly expressed in the liver, kidney, heart, brain and skeletal muscle. Weakly expressed in the lung, small intestine and spleen.
-
數據庫鏈接:
Most popular with customers
-
-
YWHAB Recombinant Monoclonal Antibody
Applications: ELISA, WB, IHC, IF, FC
Species Reactivity: Human, Mouse, Rat
-
Phospho-YAP1 (S127) Recombinant Monoclonal Antibody
Applications: ELISA, WB, IHC
Species Reactivity: Human
-
-
-
-
-















