FANCL Antibody
-
中文名稱:FANCL兔多克隆抗體
-
貨號:CSB-PA882120LA01HU
-
規格:¥440
-
圖片:
-
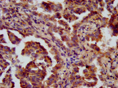
IHC image of CSB-PA882120LA01HU diluted at 1:600 and staining in paraffin-embedded human lung cancer performed on a Leica BondTM system. After dewaxing and hydration, antigen retrieval was mediated by high pressure in a citrate buffer (pH 6.0). Section was blocked with 10% normal goat serum 30min at RT. Then primary antibody (1% BSA) was incubated at 4°C overnight. The primary is detected by a biotinylated secondary antibody and visualized using an HRP conjugated SP system.
-
Immunofluorescence staining of Hela cells with CSB-PA882120LA01HU at 1:200, counter-stained with DAPI. The cells were fixed in 4% formaldehyde, permeabilized using 0.2% Triton X-100 and blocked in 10% normal Goat Serum. The cells were then incubated with the antibody overnight at 4°C. The secondary antibody was Alexa Fluor 488-congugated AffiniPure Goat Anti-Rabbit IgG(H+L).
-
-
其他:
產品詳情
-
產品名稱:Rabbit anti-Homo sapiens (Human) FANCL Polyclonal antibody
-
Uniprot No.:
-
基因名:
-
別名:E3 ubiquitin-protein ligase FANCL antibody; FAAP43 antibody; Fancl antibody; FANCL_HUMAN antibody; Fanconi anemia complementation group L antibody; Fanconi anemia group L protein antibody; Fanconi anemia-associated polypeptide of 43 kDa antibody; FLJ10335 antibody; PHD finger protein 9 antibody; PHF9 antibody; POG antibody; Ubiquitin ligase protein FANCL antibody
-
宿主:Rabbit
-
反應種屬:Human
-
免疫原:Recombinant Human E3 ubiquitin-protein ligase FANCL protein (138-248AA)
-
免疫原種屬:Homo sapiens (Human)
-
標記方式:Non-conjugated
本頁面中的產品,FANCL Antibody (CSB-PA882120LA01HU),的標記方式是Non-conjugated。對于FANCL Antibody,我們還提供其他標記。見下表:
-
克隆類型:Polyclonal
-
抗體亞型:IgG
-
純化方式:>95%, Protein G purified
-
濃度:It differs from different batches. Please contact us to confirm it.
-
保存緩沖液:Preservative: 0.03% Proclin 300
Constituents: 50% Glycerol, 0.01M PBS, pH 7.4 -
產品提供形式:Liquid
-
應用范圍:ELISA, IHC, IF
-
推薦稀釋比:
Application Recommended Dilution IHC 1:500-1:1000 IF 1:200-1:500 -
Protocols:
-
儲存條件:Upon receipt, store at -20°C or -80°C. Avoid repeated freeze.
-
貨期:Basically, we can dispatch the products out in 1-3 working days after receiving your orders. Delivery time maybe differs from different purchasing way or location, please kindly consult your local distributors for specific delivery time.
-
用途:For Research Use Only. Not for use in diagnostic or therapeutic procedures.
相關產品
靶點詳情
-
功能:Ubiquitin ligase protein that mediates monoubiquitination of FANCD2 in the presence of UBE2T, a key step in the DNA damage pathway. Also mediates monoubiquitination of FANCI. May stimulate the ubiquitin release from UBE2W. May be required for proper primordial germ cell proliferation in the embryonic stage, whereas it is probably not needed for spermatogonial proliferation after birth.
-
基因功能參考文獻:
- A novel homozygous mutation c.822_823insCTTTCAGG (p.Asp275LeufsX13) in the FANCL gene identified in a Chinese patient with Fanconi anemia. PMID: 28419882
- Using small interfering RNA (siRNA), knockdown of FANCF, FANCL, or FANCD2 inhibited function of the FA/BRCA pathway in A549, A549/DDP and SK-MES-1 cells, and potentiated sensitivity of the three cells to cisplatin. PMID: 26385482
- Loss-of-Function FANCL Mutations Associate with Severe Fanconi Anemia Overlapping the VACTERL Association PMID: 25754594
- a signal transduction pathway involved in self-renewal and survival of hematopoietic stem cells also functions to stabilize FANCL and suggesting that FANCL participates directly in support of stem cell function. PMID: 23783032
- FAVL elevation can increase the tumorigenic potential of bladder cancer cells, including the invasive potential that confers the development of advanced bladder cancer. PMID: 22828653
- Suppression of FANCL expression in normal CD34(+) stem and progenitor cells results in fewer beta-catenin active cells and inhibits expansion of multilineage progenitors. PMID: 22653977
- FA DNA repair genes, FANCD2, FANCL, and FANCC, are transcriptionally upregulated differently in melanoma compared with non-melanoma skin cancer PMID: 21697891
- genetic diversity in FANCA, FANCC and FANCL does not support an association of these genes with cervical cancer susceptibility in the Swedish population. PMID: 21543111
- FANCL is associated with acute lung injury in mice PMID: 21297076
- expression of a novel splice variant of FA complementation group L (FANCL), named FAVL, can impair the FA pathway in non-FA tumor cells and act as a tumor promoting factor PMID: 20407210
- data suggest that PHF9 has a crucial role in the Fanconi anemia pathway as the likely catalytic subunit required for monoubiquitination of FANCD2 PMID: 12973351
- FANCL, via its WD40 region, binds the FA complex and, via its PHD, recruits an as-yet-unidentified E2 for mono-ubiquitination of FANCD2 PMID: 16474167
- Abnormal FANCL expression is the cause leading to a defective Ranconi anemia-BRCA pathway, conferring sensitivity of a lung cancer cell line to mitomycin C> PMID: 17106252
- the first report to describe hypermethylation of FANCC in leukemia PMID: 18607065
- Upon the occurrence of DNA damage, FANCI becomes monoubiquitinated on Lys-523 by the UBE2T-FANCL pair. PMID: 19589784
- results rule out a major role of FANCL in familial breast cancer susceptibility PMID: 19737859
- FANCL is necessary for primordial germ cell proliferation during the embryonic stage but not necessary for spermatogonia proliferation in adulthood. Thus, mouse FancL-/- males are infertile at 7 to 12 weeks but gain fertility thereafter. PMID: 12606378
- Deficiency of Fancl (also called Pog) is the cause of gcd mouse, which has a reduced number of primordial germ cells during the embryonic stage. PMID: 12417526
顯示更多
收起更多
-
相關疾病:Fanconi anemia complementation group L (FANCL)
-
亞細胞定位:Cytoplasm. Nucleus.
-
數據庫鏈接:
Most popular with customers
-
-
YWHAB Recombinant Monoclonal Antibody
Applications: ELISA, WB, IHC, IF, FC
Species Reactivity: Human, Mouse, Rat
-
Phospho-YAP1 (S127) Recombinant Monoclonal Antibody
Applications: ELISA, WB, IHC
Species Reactivity: Human
-
-
-
-
-















