FAF1 Antibody
-
中文名稱:FAF1兔多克隆抗體
-
貨號:CSB-PA694254
-
規格:¥1100
-
圖片:
-
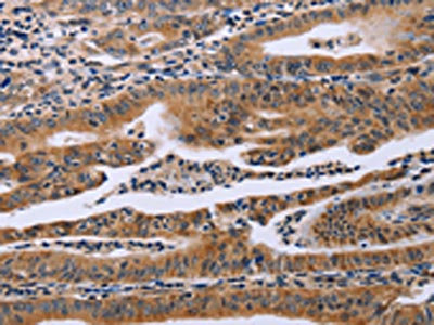
The image on the left is immunohistochemistry of paraffin-embedded Human gastic cancer tissue using CSB-PA694254(FAF1 Antibody) at dilution 1/40, on the right is treated with synthetic peptide. (Original magnification: ×200)
-
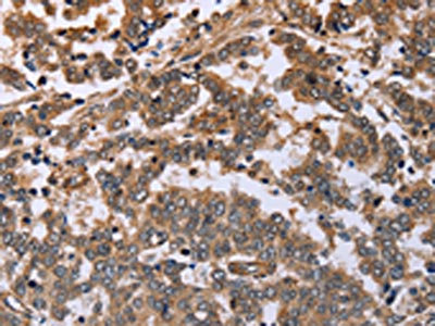
The image on the left is immunohistochemistry of paraffin-embedded Human liver cancer tissue using CSB-PA694254(FAF1 Antibody) at dilution 1/40, on the right is treated with synthetic peptide. (Original magnification: ×200)
-
-
其他:
產品詳情
-
Uniprot No.:
-
基因名:
-
別名:CGI 03 antibody; FAF1 antibody; FAF1 protein antibody; FAF1_HUMAN antibody; Fas (TNFRSF6) associated factor 1 antibody; FAS associated factor 1 antibody; Fas associated protein factor 1 antibody; FAS-associated factor 1 antibody; FLJ37524 antibody; hFAF1 antibody; HFAF1s antibody; Protein FAF1 antibody; TNFRSF6 associated factor 1 antibody; UBX domain protein 3A antibody; UBX domain-containing protein 12 antibody; UBX domain-containing protein 3A antibody; UBXD12 antibody; UBXN3A antibody
-
宿主:Rabbit
-
反應種屬:Human,Mouse,Rat
-
免疫原:Synthetic peptide of Human FAF1
-
免疫原種屬:Homo sapiens (Human)
-
標記方式:Non-conjugated
-
抗體亞型:IgG
-
純化方式:Antigen affinity purification
-
濃度:It differs from different batches. Please contact us to confirm it.
-
保存緩沖液:-20°C, pH7.4 PBS, 0.05% NaN3, 40% Glycerol
-
產品提供形式:Liquid
-
應用范圍:ELISA,IHC
-
推薦稀釋比:
Application Recommended Dilution ELISA 1:2000-1:5000 IHC 1:50-1:200 -
Protocols:
-
儲存條件:Upon receipt, store at -20°C or -80°C. Avoid repeated freeze.
-
貨期:Basically, we can dispatch the products out in 1-3 working days after receiving your orders. Delivery time maybe differs from different purchasing way or location, please kindly consult your local distributors for specific delivery time.
-
用途:For Research Use Only. Not for use in diagnostic or therapeutic procedures.
相關產品
靶點詳情
-
功能:Ubiquitin-binding protein. Required for the progression of DNA replication forks by targeting DNA replication licensing factor CDT1 for degradation. Potentiates but cannot initiate FAS-induced apoptosis.
-
基因功能參考文獻:
- Data show that activated proto-oncogene protein Akt (AKT) directly phosphorylates Fas associated factor 1 (FAF1) reduces FAF1 at the plasma membrane and results in an increase in TGF-beta type II receptor (TbetaRII) at the cell surface. PMID: 28443643
- FAF1 was vital in the proliferation of NP cells by modulating the Erk signaling pathway, which suggests that FAF1 may be a novel marker in the early diagnosis of Intervertebral disc degeneration. PMID: 29257270
- Helicobacter pylori, a risk factor for gastric cancer, down-regulated FAF1 expression via NF-kappaB signaling in gastric carcinoma cells, promoting tumor growth. PMID: 28030825
- Knockdown of FAF1 suppressed Sanguinarine (SNG)-induced inhibition of cell proliferation, invasion, and migration and induction of cell cycle arrest and apoptosis in NSCLC cells. SNG also inhibited implanted tumor growth and increased FAF1 expression in tumors in vivo. PMID: 28296008
- These data demonstrate the presence of an FAF1-PARP1 axis that is involved in oxidative stress-induced necrosis and in the pathology of Parkinson's disease. PMID: 27662363
- FAF1 physically interacts with XIAP. FAF1 attenuates XIAP-mediated NF-kappaB activation. PMID: 28414080
- confirmation of the association between rs17106184 (FAF1) and Type 2 Diabetes in a northern Han Chinese population PMID: 27589775
- FAF1 plays a novel role in negatively regulating virus-induced IFN-beta production and the antiviral response by inhibiting the translocation of active, phosphorylated IRF3 from the cytosol to the nucleus PMID: 26811330
- Progression of the DNA replication fork is coordinated by FAF1. FAF1 binds to the licensing factor CDT-1 and additional ubiquitylated proteins, thus promoting CDC48-dependent turnover and disassembly of DNA replication factor complexes. PMID: 26842564
- Report a novel role for FAF1 in regulating CD40-induced NFkappaB activation via a negative feedback loop. PMID: 24810049
- The repertoire of VAPB interactors is more diverse than previously anticipated and link VAPB to the function of ATPase complexes such as p97/FAF1 and ASNA1/transmembrane-domain recognition complex. PMID: 24885147
- long-chain unsaturated fatty acids also induced polymerization of Fas-associated factor 1 (FAF1), the only other mammalian protein that contains a UAS domain homologous to that of Ubxd8 PMID: 23720822
- Data indicate that Npl4-Ufd1 heterodimer is required for VCP-FAF1 interaction. PMID: 23293021
- hFAF1 inhibits tumor formation by increasing the degradation of Hsp70 mediated via its UBA domain. PMID: 22876279
- Fas-associated factor 1 is a scaffold protein that promotes beta-transducin repeat-containing protein (beta-TrCP)-mediated beta-catenin ubiquitination and degradation. PMID: 22730322
- Wild-type p97/VCP ND1 in complex with FAF1 UBX crystallized into very thin sheet-shaped crystals which turned out to be of poor diffraction quality PMID: 22102026
- The authors report the first in vitro confirmed non-homotypic interaction between NLRP12 pyrin domain and the pro-apoptotic protein Fas-associated factor 1 (FAF-1), which links the innate immune system to apoptotic signaling. PMID: 21978668
- In transgenic mice in which FAF1 is expressed in immature olfactory sensory neurons (OSNs), FAF1 not only misroutes OSN axons to deep layers of the olfactory bulb but also disrupts the glomerular layer PMID: 21849551
- FAF1 and UBXD7 only bind to p97-UFD1/NPL4, but not free p97, thus demonstrating for the first time a hierarchy in p97-cofactor interactions PMID: 21645854
- the crystal structure of human FAF1 UBX domain at 2.9A resolution is reported. PMID: 21414298
- Mutations in FAF1 is associated with cleft palate and is necessary for lower jaw development in zebrafish. PMID: 21295280
- Data show that miR-24 regulates apoptosis by targeting FAF1 in cancer cells. PMID: 20195546
- the p97/VCP N domain was crystallized in complex with the FAF1 UBX domain. X-ray data were collected to 2.60 A resolution and the crystals belonged to space group C222(1), with unit-cell parameters a = 58.24, b = 72.81, c = 132.93 A. PMID: 20057067
- report FAF1 UBX domain crystallization and X-ray data collection. X-ray data were collected to 3.00 A resolution and the crystals belonged to space group F4(1)32, with unit-cell parameters a = b = c = 176.40 A. PMID: 20124726
- Determined the crystal structure of the ubiquitin-associated domain of human FAF1 (hFAF1-UBA) and examined its interaction with ubiquitin and ubiquitin-like proteins using nuclear magnetic resonance. PMID: 19722279
- FAF1 is a member of Fas-DISC acting upstream of caspase-8 PMID: 12702723
- phosphorylation by protein kinase CK2 influencing transport into nucleus PMID: 12832043
- FAS-associated factor 1 is specifically reduced in human gastric carcinomas PMID: 12963981
- a novel function of FAF1: NF-kappaB activity suppressor by cytoplasmic retention of NF-kappaB p65 via physical interaction. PMID: 14600157
- hFAF1 prevents cells from recovery after stress by binding to and inhibiting the chaperone activity of Hsp70 PMID: 15596450
- hFAF1 may serve as a scaffolding protein that regulates protein degradation in the ubiquitin-proteasome pathway. PMID: 15743842
- FAF1 functions as a negative regulator of an NF-kappaB signal pathway that involves PYPAF1 and ASC. PMID: 17046979
- FAF1 robustly suppresses NF-kappaB activation through the inhibition of IKK activation in combination with previously reported cytoplasmic retention of NF-kappaB p65 PMID: 17684021
- Fas expression was reduced and caspase-10 activity was decreased in both patients PMID: 17999750
- Changes in FAF1 expression were specific to PD-related alpha-synuclein pathology and nigral cell loss. These studies, together with previous genetic linkage studies, highlight the potential significance of FAF1 in pathogenesis of idiopathic PD. PMID: 18573343
- analysis of the negative feedback regulation of Aurora-A via phosphorylation of Fas-associated factor-1 PMID: 18790738
顯示更多
收起更多
-
亞細胞定位:Nucleus.
-
組織特異性:Most abundant in testis, slightly less abundant in skeletal muscle and heart, followed by prostate, thymus, ovary, small intestine, and colon. Not detected in the peripheral blood leukocytes.
-
數據庫鏈接:
Most popular with customers
-
-
YWHAB Recombinant Monoclonal Antibody
Applications: ELISA, WB, IHC, IF, FC
Species Reactivity: Human, Mouse, Rat
-
Phospho-YAP1 (S127) Recombinant Monoclonal Antibody
Applications: ELISA, WB, IHC
Species Reactivity: Human
-
-
-
-
-















