DNA2 Antibody
-
中文名稱:DNA2兔多克隆抗體
-
貨號:CSB-PA006982LA01HU
-
規格:¥440
-
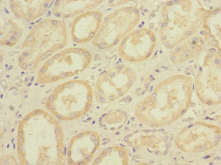
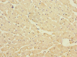
圖片:
-
其他:
產品詳情
-
產品名稱:Rabbit anti-Homo sapiens (Human) DNA2 Polyclonal antibody
-
Uniprot No.:
-
基因名:
-
別名:DNA replication ATP-dependent helicase-like homolog antibody; DNA replication helicase 2 homolog antibody; DNA replication helicase 2, yeast, homolog of antibody; DNA replication helicase 2-like antibody; DNA replication helicase/nuclease 2 antibody; DNA2 antibody; DNA2-like helicase antibody; DNA2L antibody; DNA2L_HUMAN antibody; HDNA2 antibody; KIAA0083 antibody; PEOA6 antibody; SCKL8 antibody
-
宿主:Rabbit
-
反應種屬:Human
-
免疫原:Recombinant Human DNA replication ATP-dependent helicase/nuclease DNA2 protein (1-300AA)
-
免疫原種屬:Homo sapiens (Human)
-
標記方式:Non-conjugated
本頁面中的產品,DNA2 Antibody (CSB-PA006982LA01HU),的標記方式是Non-conjugated。對于DNA2 Antibody,我們還提供其他標記。見下表:
-
克隆類型:Polyclonal
-
抗體亞型:IgG
-
純化方式:>95%, Protein G purified
-
濃度:It differs from different batches. Please contact us to confirm it.
-
保存緩沖液:Preservative: 0.03% Proclin 300
Constituents: 50% Glycerol, 0.01M PBS, PH 7.4 -
產品提供形式:Liquid
-
應用范圍:ELISA, IHC
-
推薦稀釋比:
Application Recommended Dilution IHC 1:20-1:200 -
Protocols:
-
儲存條件:Upon receipt, store at -20°C or -80°C. Avoid repeated freeze.
-
貨期:Basically, we can dispatch the products out in 1-3 working days after receiving your orders. Delivery time maybe differs from different purchasing way or location, please kindly consult your local distributors for specific delivery time.
-
用途:For Research Use Only. Not for use in diagnostic or therapeutic procedures.
相關產品
靶點詳情
-
功能:Key enzyme involved in DNA replication and DNA repair in nucleus and mitochondrion. Involved in Okazaki fragments processing by cleaving long flaps that escape FEN1: flaps that are longer than 27 nucleotides are coated by replication protein A complex (RPA), leading to recruit DNA2 which cleaves the flap until it is too short to bind RPA and becomes a substrate for FEN1. Also involved in 5'-end resection of DNA during double-strand break (DSB) repair: recruited by BLM and mediates the cleavage of 5'-ssDNA, while the 3'-ssDNA cleavage is prevented by the presence of RPA. Also involved in DNA replication checkpoint independently of Okazaki fragments processing. Possesses different enzymatic activities, such as single-stranded DNA (ssDNA)-dependent ATPase, 5'-3' helicase and endonuclease activities. While the ATPase and endonuclease activities are well-defined and play a key role in Okazaki fragments processing and DSB repair, the 5'-3' DNA helicase activity is subject to debate. According to various reports, the helicase activity is weak and its function remains largely unclear. Helicase activity may promote the motion of DNA2 on the flap, helping the nuclease function.
-
基因功能參考文獻:
- This review mainly encompasses the key functions of DNA2 in human cells with various aspects, especially focusing on the genome integrity, and also generalizes the recent insights to the mechanisms related to the occurrence of cancer and other diseases potentially linked to the mutations in DNA2. PMID: 28903076
- The authors show that the helicase of hDNA2 functionally integrates with BLM or WRN helicases to promote double-stranded DNA degradation by forming a heterodimeric molecular machine. This collectively suggests that the human DNA2 motor promotes the enzyme's capacity to degrade double-stranded DNA in conjunction with BLM or WRN and thus promote the repair of broken DNA. PMID: 27612385
- the motor of DNA2 functions as a ssDNA translocase to promote degradation of 5'-terminated DNA. PMID: 28336515
- The suppression of FANCD2(-/-) by DNA2 knockdowns suggests that DNA2 and FANCD2 also have antagonistic roles: in the absence of FANCD2, DNA2 somehow corrupts repair. PMID: 24626199
- BRCA1 and CtIP contribute to DSB resection by recruiting Dna2 to damage sites, thus ensuring the robust DSB resection necessary for efficient homologous recombination. PMID: 25909997
- depletion of DNA2 in cells reduces proliferation, addition of estrogen restores proliferation. cells responding to estrogen will proliferate despite impaired in DNA2 activity, potentially promoting genomic instability and triggering cancer development. PMID: 25238049
- EXO1, MRE11, and CtIP are not involved in the same mechanism of reversed fork processing, whereas human RECQ1 limits DNA2 activity by preventing extensive nascent strand degradation. PMID: 25733713
- DNA2 stimulates the helicase activity of BLM. PMID: 25200081
- WRN and BLM act epistatically with DNA2 to promote the long-range resection of double strand break ends in human cells. PMID: 25122754
- DNA2 interacts with FANCD2, and cisplatin induces FANCD2 ubiquitylation even in the absence of DNA2. PMID: 22987153
- These results implicate human DNA2 and the long-patch base-excision repair pathway in the pathogenesis of adult-onset disorders of mtDNA maintenance. PMID: 23352259
- A characterization of the substrate specificities influencing hDna2 binding and cleavage functions and the sequential interaction of hFEN1 and hDna2 on Okazaki fragment intermediates. PMID: 22570407
- analysis of Okazaki fragment processing-independent role for human Dna2 enzyme during DNA replication PMID: 22570476
- reviews the evidence for the dynamic design of Okazaki fragment processing and the roles of Dna2 and its interacting partners in carrying out this design. [REVIEW] PMID: 20131965
- Acetylation of Dna2 endonuclease/helicase and flap endonuclease 1 by p300 promotes DNA stability by creating long flap intermediates. PMID: 20019387
- The purified human Dna2 enzyme contains intrinsic endonuclease and DNA-dependent ATPase activities, but is devoid of detectable DNA helicase activity. PMID: 16595799
- hDna2 showed ATPase/helicase activity and 5'-3' exo-endonuclease as well as 3'-5' exo-endonuclease activity, indicating that its biochemical properties are very similar to yeast DNA2. PMID: 16595800
- report here two novel activities of both the yeast and human Dna2 helicase/nuclease protein: single strand annealing and ATP-independent strand exchange on short duplexes PMID: 17032657
- Replication protein A stimulates the 5'- to 3'-nuclease activity of Dna2 and inhibits the 3'- to 5'-exo/endonuclease activity of Dna2. PMID: 18593712
- studies illustrate an evolutionarily diversified role of hDNA2 in mitochondrial DNA replication and repair in a mammalian system. PMID: 18995831
- Data indicate that hDna2 is similar to its yeast counterpart and is a new addition to the growing list of proteins that participate in both nuclear and mitochondrial DNA maintenance. PMID: 19487465
顯示更多
收起更多
-
相關疾病:Progressive external ophthalmoplegia with mitochondrial DNA deletions, autosomal dominant, 6 (PEOA6); Seckel syndrome 8 (SCKL8)
-
亞細胞定位:Nucleus. Mitochondrion.
-
蛋白家族:DNA2/NAM7 helicase family
-
數據庫鏈接:
Most popular with customers
-
YWHAB Recombinant Monoclonal Antibody
Applications: ELISA, WB, IHC, IF, FC
Species Reactivity: Human, Mouse, Rat
-
Phospho-YAP1 (S127) Recombinant Monoclonal Antibody
Applications: ELISA, WB, IHC
Species Reactivity: Human
-
-
-
-
-
-















