DLL3 Antibody
-
中文名稱:DLL3兔多克隆抗體
-
貨號:CSB-PA882142LA01HU
-
規格:¥440
-
圖片:
-
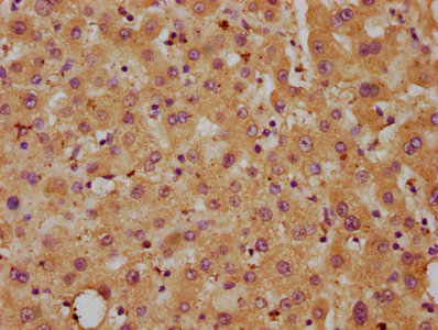
IHC image of CSB-PA882142LA01HU diluted at 1:700 and staining in paraffin-embedded human liver tissue performed on a Leica BondTM system. After dewaxing and hydration, antigen retrieval was mediated by high pressure in a citrate buffer (pH 6.0). Section was blocked with 10% normal goat serum 30min at RT. Then primary antibody (1% BSA) was incubated at 4°C overnight. The primary is detected by a biotinylated secondary antibody and visualized using an HRP conjugated SP system.
-
IHC image of CSB-PA882142LA01HU diluted at 1:700 and staining in paraffin-embedded human brain tissue performed on a Leica BondTM system. After dewaxing and hydration, antigen retrieval was mediated by high pressure in a citrate buffer (pH 6.0). Section was blocked with 10% normal goat serum 30min at RT. Then primary antibody (1% BSA) was incubated at 4°C overnight. The primary is detected by a biotinylated secondary antibody and visualized using an HRP conjugated SP system.
-
-
其他:
產品詳情
-
產品名稱:Rabbit anti-Homo sapiens (Human) DLL3 Polyclonal antibody
-
Uniprot No.:
-
基因名:
-
別名:Delta Drosophila like 3 antibody; Delta like 3 Drosophila antibody; Delta like 3 homolog Drosophila antibody; Delta like 3 protein antibody; Delta like protein 3 precursor antibody; Delta-like protein 3 antibody; Delta3 antibody; Dll3 antibody; DLL3_HUMAN antibody; Drosophila Delta homolog 3 antibody; SCDO1 antibody; SCOD1 antibody; Spondylocostal dysostosis autosomal recessive antibody
-
宿主:Rabbit
-
反應種屬:Human
-
免疫原:Recombinant Human Delta-like protein 3 protein (27-492AA)
-
免疫原種屬:Homo sapiens (Human)
-
標記方式:Non-conjugated
本頁面中的產品,DLL3 Antibody (CSB-PA882142LA01HU),的標記方式是Non-conjugated。對于DLL3 Antibody,我們還提供其他標記。見下表:
-
克隆類型:Polyclonal
-
抗體亞型:IgG
-
純化方式:>95%, Protein G purified
-
濃度:It differs from different batches. Please contact us to confirm it.
-
保存緩沖液:Preservative: 0.03% Proclin 300
Constituents: 50% Glycerol, 0.01M PBS, PH 7.4 -
產品提供形式:Liquid
-
應用范圍:ELISA, IHC
-
推薦稀釋比:
Application Recommended Dilution IHC 1:500-1:1000 -
Protocols:
-
儲存條件:Upon receipt, store at -20°C or -80°C. Avoid repeated freeze.
-
貨期:Basically, we can dispatch the products out in 1-3 working days after receiving your orders. Delivery time maybe differs from different purchasing way or location, please kindly consult your local distributors for specific delivery time.
-
用途:For Research Use Only. Not for use in diagnostic or therapeutic procedures.
相關產品
靶點詳情
-
功能:Inhibits primary neurogenesis. May be required to divert neurons along a specific differentiation pathway. Plays a role in the formation of somite boundaries during segmentation of the paraxial mesoderm.
-
基因功能參考文獻:
- these results reveal that DLL3 is expressed in tumor specimens from most patients with small cell lung cancer PMID: 29290251
- Results indicated that DLL3 expression was silenced in hepatocellular carcinoma (HCC) cells by DNA methylation and was more readily affected by histone acetylation than histone methylation (H3K9me2 or H3K27me3). PMID: 29512761
- our results indicated epidermal growth factor-like domain multiple 7 protein participates in growth hormone-secreting pituitary adenoma proliferation and invasion regulation via Notch2/DLL3 signaling pathway. These findings raised the possibility that epidermal growth factor-like domain multiple 7 protein might serve as a useful biomarker to assess growth hormone-secreting pituitary adenoma invasion and prognosis PMID: 28705113
- The Dll3 was rarely detectable in the para-carcinoma tissues, but positive in 82.1% of non-small cell cancer tissues. PMID: 28007595
- Both global haplotype and individual haplotype analyses showed that the haplotypes of SNP1/SNP2/SNP3/SNP4/SNP5 did not correlate with the disease (P >0.05). Together, these data suggest that genetic variants of the DLL3 gene are not associated with CS in the Chinese Han population. PMID: 27472720
- DLL3 was silenced by methylation in human human hepatocellular carcinoma and it negatively regulates the growth of human hepatocellular carcinoma cells. PMID: 23337976
- We suggest that the three human DLL3 mutations associated with spondylocostal dysplasia are also functionally equivalent to the Dll3(neo) null allele in mice. PMID: 11923214
- mutations in DLL3 cause a consistent pattern of abnormal vertebral segmentation in spondylocostal dysostosis PMID: 12746394
- no novel or previously described mutations are present in our cohort, indicating that DLL3 mutations may not be a major cause of congenital scoliosis. PMID: 15717203
- The intracellular region of Notch ligands Dll1 and Dll3 regulates their trafficking and signaling activity PMID: 18676613
顯示更多
收起更多
-
相關疾病:Spondylocostal dysostosis 1, autosomal recessive (SCDO1)
-
亞細胞定位:Membrane; Single-pass type I membrane protein.
-
數據庫鏈接:
Most popular with customers
-
YWHAB Recombinant Monoclonal Antibody
Applications: ELISA, WB, IHC, IF, FC
Species Reactivity: Human, Mouse, Rat
-
Phospho-YAP1 (S127) Recombinant Monoclonal Antibody
Applications: ELISA, WB, IHC
Species Reactivity: Human
-
-
-
-
-
-















