DEGS1 Antibody
-
中文名稱:DEGS1兔多克隆抗體
-
貨號:CSB-PA191736
-
規格:¥1100
-
圖片:
-
The image on the left is immunohistochemistry of paraffin-embedded Human thyroid cancer tissue using CSB-PA191736(DEGS1 Antibody) at dilution 1/30, on the right is treated with fusion protein. (Original magnification: ×200)
-
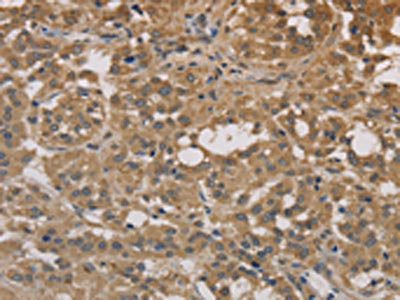
The image on the left is immunohistochemistry of paraffin-embedded Human liver cancer tissue using CSB-PA191736(DEGS1 Antibody) at dilution 1/30, on the right is treated with fusion protein. (Original magnification: ×200)
-
-
其他:
產品詳情
-
Uniprot No.:
-
基因名:DEGS1
-
別名:DEGS1; DES1; MLD; MIG15; Sphingolipid delta(4-desaturase DES1; Cell migration-inducing gene 15 protein; Degenerative spermatocyte homolog 1; Dihydroceramide desaturase-1; Membrane lipid desaturase
-
宿主:Rabbit
-
反應種屬:Human,Mouse,Rat
-
免疫原:Fusion protein of Human DEGS1
-
免疫原種屬:Homo sapiens (Human)
-
標記方式:Non-conjugated
-
抗體亞型:IgG
-
純化方式:Antigen affinity purification
-
濃度:It differs from different batches. Please contact us to confirm it.
-
保存緩沖液:-20°C, pH7.4 PBS, 0.05% NaN3, 40% Glycerol
-
產品提供形式:Liquid
-
應用范圍:ELISA,IHC
-
推薦稀釋比:
Application Recommended Dilution ELISA 1:2000-1:5000 IHC 1:50-1:200 -
Protocols:
-
儲存條件:Upon receipt, store at -20°C or -80°C. Avoid repeated freeze.
-
貨期:Basically, we can dispatch the products out in 1-3 working days after receiving your orders. Delivery time maybe differs from different purchasing way or location, please kindly consult your local distributors for specific delivery time.
-
用途:For Research Use Only. Not for use in diagnostic or therapeutic procedures.
相關產品
靶點詳情
-
功能:Has sphingolipid-delta-4-desaturase activity. Converts D-erythro-sphinganine to D-erythro-sphingosine (E-sphing-4-enine). Catalyzes the equilibrium isomerization of retinols.
-
基因功能參考文獻:
- DES1 plays a key role in palmitic acid-mediated caspase 9 and caspase 3 activation. PMID: 27364952
- SKI II is a noncompetitive inhibitor (Ki = 0.3 muM) of Des1 activity with effect also in intact cells without modifying Des1 protein levels. Molecular modeling studies support that the SKI II-induced decrease in Des1 activity could result from inhibition of NADH-cytochrome b5 reductase. PMID: 24875537
- ABC294640 may reduce the proliferative capacity of castration-resistant prostate cancer cells through inhibition of both sphingosine kinase 2 and dihydroceramide desaturase. PMID: 26494858
- Dihydroceramide desaturase 1 (DES) is a potential molecular target for regulating apoptotic resistance to photodynamic therapy PMID: 23267130
- changes in lipid homeostasis and gene expression in Huh7 hepatocytes when the synthesis of ceramide is perturbed by knocking down serine pal mitoyltransferase subunits 1, 2, and 3 (SPTLC123) or dihydroceramide desaturase 1 (DEGS1) PMID: 22628619
- a role of the sphingolipid pathway, dihydroceramides desaturase in particular, in confluence-induced growth arrest in neuroblastoma cells PMID: 22377532
- overexpression of DEGS1 or DEGS2 attenuates the DHC accumulation and increased cell proliferation during hypoxia PMID: 21914808
- oxidative stress leads to potent inhibition of dihydroceramide desaturase resulting in significant elevation in dihydroceramide levels in vivo PMID: 20105137
- identification of sphingolipid delta 4-desaturase family PMID: 11937514
- partial loss of DEGS-1 inhibited cell growth, with cell cycle arrest at G(0)/G(1). This was accompanied by a significant decrease in the amount of phosphorylated retinoblastoma protein PMID: 17283068
顯示更多
收起更多
-
亞細胞定位:Mitochondrion membrane. Endoplasmic reticulum membrane; Multi-pass membrane protein.
-
蛋白家族:Fatty acid desaturase type 1 family, DEGS subfamily
-
組織特異性:Ubiquitous.
-
數據庫鏈接:
Most popular with customers
-
Phospho-YAP1 (S127) Recombinant Monoclonal Antibody
Applications: ELISA, WB, IHC
Species Reactivity: Human
-
-
-
-
-
-
VCP Recombinant Monoclonal Antibody
Applications: ELISA, WB, IHC, IF, IP
Species Reactivity: Human, Rat
-















