DEFB4A Antibody
-
中文名稱:DEFB4A兔多克隆抗體
-
貨號:CSB-PA006705ESR1HU
-
規格:¥440
-
圖片:
-
其他:
產品詳情
-
產品名稱:Rabbit anti-Homo sapiens (Human) DEFB4A Polyclonal antibody
-
Uniprot No.:
-
基因名:DEFB4A
-
別名:BD 2 antibody; BD-2 antibody; BD2 antibody; beta 2 antibody; beta 2 Defensin antibody; Beta defensin 2 antibody; Beta defensin 4B antibody; Beta-defensin 2 antibody; Beta-defensin 4A antibody; DEF B2 antibody; DEF B4 antibody; DEFB 102 antibody; DEFB 2 antibody; DEFB 4 antibody; DEFB102 antibody; DEFB2 antibody; DEFB2; formerly antibody; DEFB4 antibody; DEFB4; formerly antibody; DEFB4B antibody; DEFB4P antibody; Defensin antibody; Defensin beta 2 antibody; Defensin; beta 4 antibody; Defensin; beta 4; pseudogene antibody; Defensin; beta 4A antibody; Defensin; beta 4B antibody; Defensin; beta; 2; formerly antibody; Defensin; beta; 4; formerly antibody; DFB4A_HUMAN antibody; HBD 2 antibody; hBD-2 antibody; HBD2 antibody; mBD-2 antibody; SAP 1 antibody; SAP1 antibody; Skin antimicrobial peptide 1 antibody; Skin-antimicrobial peptide 1 antibody
-
宿主:Rabbit
-
反應種屬:Human
-
免疫原:Recombinant Human Beta-defensin 4A protein (1-64AA)
-
免疫原種屬:Homo sapiens (Human)
-
標記方式:Non-conjugated
-
克隆類型:Polyclonal
-
抗體亞型:IgG
-
純化方式:Antigen Affinity Purified
-
濃度:It differs from different batches. Please contact us to confirm it.
-
保存緩沖液:PBS with 0.02% sodium azide, 50% glycerol, pH7.3.
-
產品提供形式:Liquid
-
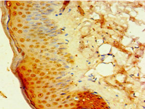
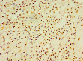
應用范圍:ELISA, IHC
-
推薦稀釋比:
Application Recommended Dilution IHC 1:20-1:200 -
Protocols:
-
儲存條件:Upon receipt, store at -20°C or -80°C. Avoid repeated freeze.
-
貨期:Basically, we can dispatch the products out in 1-3 working days after receiving your orders. Delivery time maybe differs from different purchasing way or location, please kindly consult your local distributors for specific delivery time.
-
用途:For Research Use Only. Not for use in diagnostic or therapeutic procedures.
相關產品
靶點詳情
-
功能:Exhibits antimicrobial activity against Gram-negative bacteria and Gram-positive bacteria. May act as a ligand for C-C chemokine receptor CCR6. Can bind to both human and mouse CCR6 and induce chemotactic activity of CCR6-expressing cells.
-
基因功能參考文獻:
- The encoded peptide has antimicrobial activity against E.coli, S. aureus, and P. aeruginosa. PMID: 9727055
-
亞細胞定位:Secreted.
-
蛋白家族:Beta-defensin family, LAP/TAP subfamily
-
組織特異性:Expressed in the skin and respiratory tract.
-
數據庫鏈接:
Most popular with customers
-
-
YWHAB Recombinant Monoclonal Antibody
Applications: ELISA, WB, IHC, IF, FC
Species Reactivity: Human, Mouse, Rat
-
Phospho-YAP1 (S127) Recombinant Monoclonal Antibody
Applications: ELISA, WB, IHC
Species Reactivity: Human
-
-
-
-
-















