DEFB104A Antibody
-
中文名稱:DEFB104A兔多克隆抗體
-
貨號:CSB-PA840974LA01HU
-
規格:¥440
-
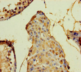
圖片:
-
其他:
產品詳情
-
產品名稱:Rabbit anti-Homo sapiens (Human) DEFB104A Polyclonal antibody
-
Uniprot No.:
-
基因名:DEFB104A
-
別名:BD 4 antibody; BD-4 antibody; BD4 antibody; beta 104 antibody; beta 4 Defensin antibody; Beta defensin 4 antibody; Beta-defensin 104 antibody; Beta-defensin 4 antibody; D104A_HUMAN antibody; DEFB-4 antibody; DEFB104B antibody; Defensin antibody; Defensin beta 104 antibody; Defensin beta 4 precursor antibody; hBD 4 antibody; hBD-4 antibody; hBD4 antibody
-
宿主:Rabbit
-
反應種屬:Human
-
免疫原:Recombinant Human Beta-defensin 104 protein (23-72AA)
-
免疫原種屬:Homo sapiens (Human)
-
標記方式:Non-conjugated
本頁面中的產品,DEFB104A Antibody (CSB-PA840974LA01HU),的標記方式是Non-conjugated。對于DEFB104A Antibody,我們還提供其他標記。見下表:
-
克隆類型:Polyclonal
-
抗體亞型:IgG
-
純化方式:>95%, Protein G purified
-
濃度:It differs from different batches. Please contact us to confirm it.
-
保存緩沖液:Preservative: 0.03% Proclin 300
Constituents: 50% Glycerol, 0.01M PBS, PH 7.4 -
產品提供形式:Liquid
-
應用范圍:ELISA, IHC
-
推薦稀釋比:
Application Recommended Dilution IHC 1:20-1:200 -
Protocols:
-
儲存條件:Upon receipt, store at -20°C or -80°C. Avoid repeated freeze.
-
貨期:Basically, we can dispatch the products out in 1-3 working days after receiving your orders. Delivery time maybe differs from different purchasing way or location, please kindly consult your local distributors for specific delivery time.
-
用途:For Research Use Only. Not for use in diagnostic or therapeutic procedures.
相關產品
靶點詳情
-
功能:Has antimicrobial activity. Synergistic effects with lysozyme and DEFB103.
-
基因功能參考文獻:
- Beta-defensin 104 displays antimicrobial activity against S. carnosus, E. coli, S. cerevisiae, and P. aeruginosa (strong). PMID: 11481241
- TFF3 activated the epithelial cells in culture to produce beta defensins 2 (hBD2) and beta defensins 4 PMID: 23198942
- Data suggest an activation of b-defensin-4 induction, in human knee meniscus by the osteoarthritis inflammatory process as a result of an endogenous antibiotic defense mechanism accompanied by an intrinsic effort of tissue remodeling. PMID: 21879330
- Our results suggest that copy number variation of DEFB4 may not contribute to the pathogenesis of Behcet's disease. PMID: 21385545
- Analysis of the DEFB4 promoter region shows remarkably high density of sequence variabilities. PMID: 20445567
- The variations in the genes encoding human beta-defensin-1 and -2 may be associated with the risk of severe acute pancreatitis. PMID: 20720450
- Data show that beta-defensin cluster (DEFB4, DEFB103 and DEFB104) varied between 2 and 9 copies per genome, and high copy numbers (>4) were underrepresented among patients, suggesting that increased copy numbers could protect from CD. PMID: 20483368
- We report here the application of small ubiquitin-related modifier (SUMO) fusion technology to the expression and purification of cationic antibacterial peptide hBD4. PMID: 20526896
- This study demonstrates, the involvement of NOD1 and DEFB4 in direct killing of Helicobacter pylori bacteria by epithelial cells and confirms the importance of NOD1 in host defence mechanisms against cagPAI(+)Helicobacter pylori infection. PMID: 20039881
- The mRNA level of the beta defensin 4 did not differ significantly between the two subgroups. PMID: 20128731
- elevated DEFB4 copy number is a risk factor for Crohn's disease PMID: 19809410
- There is an association of four common DEFB104 haplotypes with the risk of prostate cancer in two independent patient cohorts. PMID: 18515986
顯示更多
收起更多
-
亞細胞定位:Secreted.
-
蛋白家族:Beta-defensin family
-
組織特異性:High expression in the testis. Gastric antrum exhibited relatively high levels. A lower expression is observed in uterus and neutrophils thyroid gland, lung, and kidney. No detectable expression in other tissues tested.
-
數據庫鏈接:
Most popular with customers
-
-
YWHAB Recombinant Monoclonal Antibody
Applications: ELISA, WB, IHC, IF, FC
Species Reactivity: Human, Mouse, Rat
-
-
-
-
-
-















