DCSTAMP Antibody
-
中文名稱:DCSTAMP兔多克隆抗體
-
貨號:CSB-PA023625LA01HU
-
規格:¥440
-
圖片:
-
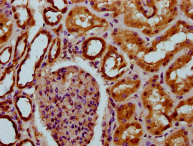
IHC image of CSB-PA023625LA01HU diluted at 1:200 and staining in paraffin-embedded human kidney tissue performed on a Leica BondTM system. After dewaxing and hydration, antigen retrieval was mediated by high pressure in a citrate buffer (pH 6.0). Section was blocked with 10% normal goat serum 30min at RT. Then primary antibody (1% BSA) was incubated at 4°C overnight. The primary is detected by a biotinylated secondary antibody and visualized using an HRP conjugated SP system.
-
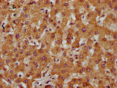
IHC image of CSB-PA023625LA01HU diluted at 1:200 and staining in paraffin-embedded human liver tissue performed on a Leica BondTM system. After dewaxing and hydration, antigen retrieval was mediated by high pressure in a citrate buffer (pH 6.0). Section was blocked with 10% normal goat serum 30min at RT. Then primary antibody (1% BSA) was incubated at 4°C overnight. The primary is detected by a biotinylated secondary antibody and visualized using an HRP conjugated SP system.
-
Immunofluorescence staining of HepG2 cells with CSB-PA023625LA01HU at 1:66, counter-stained with DAPI. The cells were fixed in 4% formaldehyde, permeabilized using 0.2% Triton X-100 and blocked in 10% normal Goat Serum. The cells were then incubated with the antibody overnight at 4°C. The secondary antibody was Alexa Fluor 488-congugated AffiniPure Goat Anti-Rabbit IgG(H+L).
-
-
其他:
產品詳情
-
產品描述:
Rabbit polyclonal antibody anti-DCSTAMP is suitable for use in ELISA, IHC, and IF research applications. This DCSTAMP antibody is developed in a rabbit against a recombinant protein corresponding to the amino acids 119-209 of the human DCSTAMP. It undergoes protein G purification and exceeds 95% in purity. And it shows reactivity with the human species.
The DCSTAMP protein plays a critical role in osteoclast differentiation and bone resorption. It has also been implicated in the regulation of immune responses, as well as cancer cell migration and invasion. DCSTAMP mutations can result in various pathological conditions, including osteoporosis, rheumatoid arthritis, and periodontitis.
-
產品名稱:Rabbit anti-Homo sapiens (Human) DCSTAMP Polyclonal antibody
-
Uniprot No.:
-
基因名:DCSTAMP
-
別名:DCSTAMP; TM7SF4; Dendritic cell-specific transmembrane protein; DC-STAMP; hDC-STAMP; Dendrocyte-expressed seven transmembrane protein; IL-four-induced protein; FIND; Transmembrane 7 superfamily member 4
-
宿主:Rabbit
-
反應種屬:Human
-
免疫原:Recombinant Human Dendritic cell-specific transmembrane protein (119-209AA)
-
免疫原種屬:Homo sapiens (Human)
-
標記方式:Non-conjugated
本頁面中的產品,DCSTAMP Antibody (CSB-PA023625LA01HU),的標記方式是Non-conjugated。對于DCSTAMP Antibody,我們還提供其他標記。見下表:
-
克隆類型:Polyclonal
-
抗體亞型:IgG
-
純化方式:>95%, Protein G purified
-
濃度:It differs from different batches. Please contact us to confirm it.
-
保存緩沖液:Preservative: 0.03% Proclin 300
Constituents: 50% Glycerol, 0.01M PBS, pH 7.4 -
產品提供形式:Liquid
-
應用范圍:ELISA, IHC, IF
-
推薦稀釋比:
Application Recommended Dilution IHC 1:200-1:500 IF 1:50-1:200 -
Protocols:
-
儲存條件:Upon receipt, store at -20°C or -80°C. Avoid repeated freeze.
-
貨期:Basically, we can dispatch the products out in 1-3 working days after receiving your orders. Delivery time maybe differs from different purchasing way or location, please kindly consult your local distributors for specific delivery time.
-
用途:For Research Use Only. Not for use in diagnostic or therapeutic procedures.
相關產品
靶點詳情
-
功能:Probable cell surface receptor that plays several roles in cellular fusion, cell differentiation, bone and immune homeostasis. Plays a role in TNFSF11-mediated osteoclastogenesis. Cooperates with OCSTAMP in modulating cell-cell fusion in both osteoclasts and foreign body giant cells (FBGCs). Participates in osteoclast bone resorption. Involved in inducing the expression of tartrate-resistant acid phosphatase in osteoclast precursors. Plays a role in haematopoietic stem cell differentiation of bone marrow cells toward the myeloid lineage. Inhibits the development of neutrophilic granulocytes. Plays also a role in the regulation of dendritic cell (DC) antigen presentation activity by controlling phagocytic activity. Involved in the maintenance of immune self-tolerance and avoidance of autoimmune reactions.
-
基因功能參考文獻:
- TM7SF4 may be involved in the progression of lung cancer. PMID: 28849122
- Our results suggest that the rare genetic variant of TM7SF4 gene, found in our French-Canadian cohort of patients with Paget's disease of bone and which encodes the DC-STAMP protein, increase the number of nuclei per multinucleated cells and affect DC-STAMP expression during osteoclastogenesis in Paget's disease of bone. PMID: 29145829
- TM7SF4 plays an essential role in regulating cell cycle progression in breast cancer. PMID: 26636523
- The EP in TKA differed from EP in aseptically failed THA by lower CCL3 and DC-STAMP mRNA and protein expression. EP of all studied inflammatory and osteoclastogenic molecules were similar in knee and hip OA. PMID: 25151085
- Our findings also suggest that next generation sequencing may help explore the pathogenesis and aid the diagnosis of Juvenile Paget's disease. PMID: 25891874
- Rs62620995 in the TM7SF4 gene was found to have a marginal association with Paget's disease of bone in the French-Canadian population. PMID: 24370779
- DC-STAMP inhibition by RNA interference consequently suppressed fusion and bone resorption of human osteoclasts. PMID: 23525827
- An interaction between OS9 and DC-STAMP was confirmed by yeast-2-hybrid analysis and cellular colocalization.ER-to-Golgi translocation of DC-STAMP following TLR stimulation in CHO cells was demonstrated, involving the DC-STAMP/OS9 interaction. The data indicate that OS9 is critically involved in ER-to-Golgi transport of DC-STAMP, and may be important in both myeloid differentiation and cell fusion. PMID: 18952287
- DC-STAMP is a potential osteoclast precursors biomarker in inflammatory arthritis. PMID: 21987375
- Results show that T cells played a pivotal role in a new in vitro Langhans giant cells (LGCs) formation system, in which DC-STAMP was involved, and occurred via a molecular mechanism that involved CD40-CD40L interaction and IFN-gamma secretion. PMID: 22058328
- DC-STAMP is an ITIM-bearing molecule. Based on the 4 distinct patterns of DCSTAMP on human PBMC, it has potential to serve as a susceptible biomarker of psoriasis (Ps) as well as severity marker of Psoriatic Arthritis (PsA). PMID: 21987375
- genetic risk for Paget's disease of bone is associated with variants close to CSF1, OPTN, TM7SF4, and TNFRSF11A genes PMID: 20839008
- DC-STAMP interacts with ER-resident transcription factor LUMAN which becomes activated during DC maturation. PMID: 20546900
- The dendritic cell-specific transmembrane protein is a multimembrane-spanning protein preferentially expressed by human DC (hDC). PMID: 15601667
- 2 differentially expressed genes over-expressed in papillary thyroid cancers were identified as DC-STAMP and type I collagen A1 PMID: 19259350
顯示更多
收起更多
-
亞細胞定位:Cell membrane; Multi-pass membrane protein. Endoplasmic reticulum membrane; Multi-pass membrane protein. Endoplasmic reticulum-Golgi intermediate compartment membrane; Multi-pass membrane protein. Endosome.
-
組織特異性:Preferentially expressed by dendritic cells (DCs). Detected in both immature and mature DCs. Highly expressed in lymph nodes, lung, kidney and liver. Expressed at lower levels in pancreas, bone marrow, spleen, leukocytes, in freshly isolated peripheral bl
-
數據庫鏈接:
Most popular with customers
-
-
YWHAB Recombinant Monoclonal Antibody
Applications: ELISA, WB, IHC, IF, FC
Species Reactivity: Human, Mouse, Rat
-
Phospho-YAP1 (S127) Recombinant Monoclonal Antibody
Applications: ELISA, WB, IHC
Species Reactivity: Human
-
-
-
-
-















