CYBA Antibody
-
中文名稱:CYBA兔多克隆抗體
-
貨號:CSB-PA006323LA01HU
-
規格:¥440
-
圖片:
-
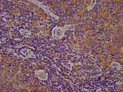
IHC image of CSB-PA006323LA01HU diluted at 1:200 and staining in paraffin-embedded human lymph node tissue performed on a Leica BondTM system. After dewaxing and hydration, antigen retrieval was mediated by high pressure in a citrate buffer (pH 6.0). Section was blocked with 10% normal goat serum 30min at RT. Then primary antibody (1% BSA) was incubated at 4°C overnight. The primary is detected by a biotinylated secondary antibody and visualized using an HRP conjugated SP system.
-
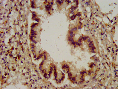
IHC image of CSB-PA006323LA01HU diluted at 1:200 and staining in paraffin-embedded human lung tissue performed on a Leica BondTM system. After dewaxing and hydration, antigen retrieval was mediated by high pressure in a citrate buffer (pH 6.0). Section was blocked with 10% normal goat serum 30min at RT. Then primary antibody (1% BSA) was incubated at 4°C overnight. The primary is detected by a biotinylated secondary antibody and visualized using an HRP conjugated SP system.
-
Immunofluorescence staining of MCF-7 cells with CSB-PA006323LA01HU at 1:66, counter-stained with DAPI. The cells were fixed in 4% formaldehyde, permeabilized using 0.2% Triton X-100 and blocked in 10% normal Goat Serum. The cells were then incubated with the antibody overnight at 4°C. The secondary antibody was Alexa Fluor 488-congugated AffiniPure Goat Anti-Rabbit IgG(H+L).
-
-
其他:
產品詳情
-
產品名稱:Rabbit anti-Homo sapiens (Human) CYBA Polyclonal antibody
-
Uniprot No.:
-
基因名:
-
別名:CYBACytochrome b-245 light chain antibody; Cytochrome b(558) alpha chain antibody; Cytochrome b558 subunit alpha antibody; Neutrophil cytochrome b 22 kDa polypeptide antibody; Superoxide-generating NADPH oxidase light chain subunit antibody; p22 phagocyte B-cytochrome antibody; p22-phox antibody; p22phox antibody
-
宿主:Rabbit
-
反應種屬:Human
-
免疫原:Recombinant Human Cytochrome b-245 light chain protein (128-195AA)
-
免疫原種屬:Homo sapiens (Human)
-
標記方式:Non-conjugated
本頁面中的產品,CYBA Antibody (CSB-PA006323LA01HU),的標記方式是Non-conjugated。對于CYBA Antibody,我們還提供其他標記。見下表:
-
克隆類型:Polyclonal
-
抗體亞型:IgG
-
純化方式:>95%, Protein G purified
-
濃度:It differs from different batches. Please contact us to confirm it.
-
保存緩沖液:Preservative: 0.03% Proclin 300
Constituents: 50% Glycerol, 0.01M PBS, pH 7.4 -
產品提供形式:Liquid
-
應用范圍:ELISA, IHC, IF
-
推薦稀釋比:
Application Recommended Dilution IHC 1:200-1:500 IF 1:50-1:200 -
Protocols:
-
儲存條件:Upon receipt, store at -20°C or -80°C. Avoid repeated freeze.
-
貨期:Basically, we can dispatch the products out in 1-3 working days after receiving your orders. Delivery time maybe differs from different purchasing way or location, please kindly consult your local distributors for specific delivery time.
-
用途:For Research Use Only. Not for use in diagnostic or therapeutic procedures.
相關產品
靶點詳情
-
功能:Critical component of the membrane-bound oxidase of phagocytes that generates superoxide. Associates with NOX3 to form a functional NADPH oxidase constitutively generating superoxide.
-
基因功能參考文獻:
- Metabolic syndrome in Brazilian NAFLD patients most likely results from common allelic variants in a large number of genes, including CYBA and NOX4, that interact with each other, each of which alone determines a modest risk. PMID: 30087027
- The TT genotype of rs4673 in the CYBA gene was associated with Diabetic Peripheral Neuropathy in Type 1 Diabetes patients (OR 4.997, 95% CI 1.403-19.083, p = 0.016). PMID: 29924645
- T allele carriers of C242T gene polymorphism might be predisposed to overt diabetic nephropathy [meta-analysis] PMID: 27926811
- Three new mutations of CYBA gene in four of 22 Iranian patients with autosomal recessive-Chronic granulomatous disease were found. PMID: 28941186
- Data indicate an association between the GA genotype of single nucleotide polymorphism rs3794624 in cytochrome b-245, alpha polypeptide (CYBA) with decreased tuberculosis susceptibility in two Chinese populations. PMID: 27901128
- in patients with very severe chronic obstructive pulmonary disease the NADPH oxidase subunit p22phox is significantly reduced as compared to controls; p22phox is a key player in COPD and in hypoxic pulmonary vascular remodelling PMID: 28729471
- data demonstrated that rs4673 transition in p22phox gene may be involved in susceptibility to coronary artery disease and could be applied as a potential biomarker for this disease. PMID: 28474233
- Data suggest that an SNP in NADPH oxidase p22phox (C242T) is associated with nephropathy leading to macroalbuminuria in diabetic patients; this report is a meta-analysis of case-control genetic association studies. [META-ANALYSIS] PMID: 28457704
- Together with the increased p22phox expression in lungs of asthmatic patients, findings demonstrate a crucial role of p22phox-dependent NADPH oxidase for the development of mucus hypersecretion and airway hyperresponsiveness in house dust mite-induced model of asthma. PMID: 28510479
- Results showed that variations of the C242T polymorphism of the CYBA gene altered the risk of developing neonatal respiratory distress syndrome, retinopathy of prematurity, and bronchopulmonary dysplasia. PMID: 28375031
- Suggest that the C242T gene polymorphism is associated with arterial stiffness. Additionally, this relationship could be modified by smoking dose. PMID: 26467818
- In a family study of a patient with chronic granulomatous disease, the mutation in the CYBB gene was confirmed to be pathogenic, and the three variants in the CYBA gene were benign. PMID: 29132304
- We demonstrated that rapid deletion of p22phox is possible and that the activity of Nox1 and Nox4 but not Nox5 exclusively depends on p22phox. PMID: 27614387
- NOX5-p22phox complex drives monocytic differentiation into dendritic cells, and thus could be critical for immunity and inflammation. PMID: 28830888
- PI3K/AKT signaling only occurs when FLT3-ITD is expressed at the plasma membrane and is required for the production of NOX-generated ROS. ER retention of FLT3-ITD resulted in NOX4 deglycosylation and p22(phox) protein degradation. PMID: 27870947
- CYBA gene ()49A>G polymorphism modifies the risk of coronary artery disease PMID: 27314008
- The study demonstrated that the genetic variants of rs9932581 and rs1049255 in CYBA might not be associated with preeclampsia. PMID: 27607450
- p22phox C242T polymorphism has a possible role in changing the genetic susceptibility to late-onset AD in ApoE 4 carriers of northern Han Chinese origin. PMID: 26000926
- CYBA mutations lead to one of the autosomal recessive forms of chronic granulomatous disease (AR220CGD) clinically characterized by recurrent and severe infections in early chilA large number of genetic variations of CYBA have been reported, among them the C242T polymorphism, which has been extensively studied in association with coronary artery and heart diseases, but conflicting results continue to be reported. [Review] PMID: 27048830
- C242T single-nucleotide polymorphism causes p22(phox) structural changes that inhibit endothelial Nox2 activation and oxidative response to tumor necrosis factor-alpha or high-glucose stimulation. C242T single-nucleotide polymorphism may represent a natural protective mechanism against inflammatory cardiovascular diseases. PMID: 27162237
- CYBA C242T correlates with microalbuminuria onset in the French DT1 cohort. PMID: 26607824
- Overexpression of p22phox is associated with increased migration/metastasis rate in melanoma. PMID: 26760964
- To evaluate the association between CYBA gene polymorphisms and ESRD, we genotyped five CYBA polymorphisms. Our results suggested that rs1049255 polymorphism of CYBA modified the risk of ESRD. PMID: 26627442
- Substance P enhances tissue factor release from granulocyte-macrophage colony-stimulating factor-dependent macrophages via the p22phox/beta-arrestin 2/Rho A signaling pathway. PMID: 26852662
- Downregulating p22phox ameliorates inflammatory response in Angiotensin II-induced oxidative stress by regulating MAPK and NF-kappaB pathways in retinal pigment cells. PMID: 26415877
- TRX-1/PRX-1 levels are associated with NADPH oxidase-activity in vivo and in vitro in atherosclerosis. PMID: 26117319
- A functional variant in the promoter of the CYBA gene is associated with reduced renal function and with prevalence and incidence of diabetic nephropathy and end-stage renal disease in type 1 diabetic patients. PMID: 25862415
- C936T polymorphism of the VEGF gene and the C242T polymorphism of the p22phox gene are not correlated with diabetes mellitus type 2 and distal diabetic polyneuropathy. PMID: 26130419
- increased levels of gp91phox, p47phox and p22phox likely account for the interferon-gamma mediated enhancement of dimethyl sulfoxide-induced Nox2 activity. PMID: 26317224
- Data show that p22phox expression correlated with Epstein-Barr virus (EBV) and its encoded oncoprotein, latent membrane protein 1 (LMP1) expression. PMID: 26244812
- results suggest the evaluated NOX4 and CYBA SNPs are not direct genetic determinants of fibrosis in patients with chronic hepatitis C PMID: 25888935
- the C242T polymorphism might be a protective factor against developing acute coronary syndrome in the Asian population [meta-analysis] PMID: 25990054
- the A640G polymorphism may play a protective role in coronary heart disease. PMID: 24345348
- The analysis of covariance revealed that CYBA risk alleles and their haplotypes, were positively correlated with clinical parameters, for example, systolic blood pressure, diastolic blood pressure and mean arterial pressure, and biochemical parameters PMID: 25787042
- The A930G polymorphism of the p22phox gene may affect the susceptibility to ICH and certain haplotypes of the gene may be associated with a higher susceptibility to ICH. PMID: 25572489
- CDDP entry into the nucleus was severely impaired in p22phox-overexpressing cells (P < 0.001), and cytoplasmically accumulated CDDP was co-localized with overexpressed p22phox. PMID: 25686830
- our present analysis reinforces the involvement in ACT of the regulatory NADPH oxidase subunit RAC2 gene variant rs13058338 and, to a lesser extent of the CYBA gene variant rs4673. PMID: 25823784
- p22phox C242T polymorphism may have a role in ischemic cerebrovascular disease [meta-analysis] PMID: 25619262
- Associations between the CYBA 242C/T and the MPO -463G/A polymorphisms, oxidative stress and cardiovascular disease in chronic kidney disease patients. PMID: 17337886
- These observations clarify the effects of the studied polymorphisms on glomerular filtration rate and exemplify gene-gene interactions influencing renal function. PMID: 24890187
- Although our data suggest that expression of the gene encoding p22phox is not associated with chronic inflammation in patients with ulcerative colitis, other mechanisms can affect oxidative stress in these patients PMID: 25599773
- These results suggest that the recipients' p22(phox) C242T polymorphism may be a major risk factor for DGF in renal transplantation. PMID: 25173715
- Data show that NADPH oxidase NOX4 and p22(phox) localize to the nuclear membrane in MV4-11 leukemia cells expressing internal tandem duplication of the FMS-like tyrosine kinase (FLT3-ITD) receptor. PMID: 25697362
- The CYBA C-242T and CAT C-262T genetic polymorphisms and their epistatic interactions can be associated with ICC through mechanisms related with the role of ROS in cell proliferation and apoptosis. PMID: 25307973
- p22-phox 242T allele is associated with higher blood pressure levels among subjects with higher urinary sodium exretion in an urban Brazilian population PMID: 24339896
- A possible role of the first transmembrane domain (Trp18), and the region between the membrane and the dehydrogenase domain of NOX2 (Glu309, Ile325 and Gly389), in the binding with p22phox. PMID: 25252997
- A meta-analysis indicates that the NAD(P)H oxidase P22 phox gene 242 T allele might be associated with an increased type 2 diabetes mellitus risk. PMID: 24156725
- Homocysteine-induced expression of p22(phox) is regulated by the reactive oxygen species/p38MAPK pathway and PPARdelta activation is capable of attenuating this pathway by eliminating Hcy-induced reactive oxygen species production. PMID: 24486703
- In conclusion the -930A>G CYBA polymorphism is associated with CAD in the Polish population. The -930G allele carriers are particularly at risk of consequences of obesity and tobacco smoke exposure. PMID: 24477591
- C242T polymorphism of p22phox gene of NADPH oxidase is a novel genetic marker associated with reduced susceptibility to AMI. PMID: 24415302
顯示更多
收起更多
-
相關疾病:Granulomatous disease, chronic, cytochrome-b-negative, autosomal recessive (ARCGD)
-
亞細胞定位:Cell membrane.
-
蛋白家族:P22phox family
-
數據庫鏈接:
Most popular with customers
-
-
Phospho-YAP1 (S127) Recombinant Monoclonal Antibody
Applications: ELISA, WB, IHC
Species Reactivity: Human
-
-
-
-
-
-















