CUL4B Antibody
-
中文名稱:CUL4B兔多克隆抗體
-
貨號:CSB-PA444901
-
規格:¥1100
-
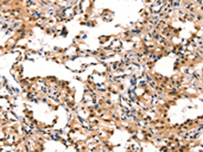
圖片:
-
The image on the left is immunohistochemistry of paraffin-embedded Human thyroid cancer tissue using CSB-PA444901(CUL4B Antibody) at dilution 1/50, on the right is treated with synthetic peptide. (Original magnification: ×200)
-
The image on the left is immunohistochemistry of paraffin-embedded Human gastric cancer tissue using CSB-PA444901(CUL4B Antibody) at dilution 1/50, on the right is treated with synthetic peptide. (Original magnification: ×200)
-
-
其他:
產品詳情
-
Uniprot No.:
-
基因名:
-
別名:CUL 4B antibody; CUL-4B antibody; CUL4B antibody; CUL4B_HUMAN antibody; Cullin-4B antibody; DKFZp686F1470 antibody; KIAA0695 antibody; MRXHF2 antibody; MRXSC antibody; SFM2 antibody
-
宿主:Rabbit
-
反應種屬:Human,Mouse
-
免疫原:Synthetic peptide of Human CUL4B
-
免疫原種屬:Homo sapiens (Human)
-
標記方式:Non-conjugated
-
抗體亞型:IgG
-
純化方式:Antigen affinity purification
-
濃度:It differs from different batches. Please contact us to confirm it.
-
保存緩沖液:-20°C, pH7.4 PBS, 0.05% NaN3, 40% Glycerol
-
產品提供形式:Liquid
-
應用范圍:ELISA,IHC
-
推薦稀釋比:
Application Recommended Dilution ELISA 1:2000-1:5000 IHC 1:50-1:200 -
Protocols:
-
儲存條件:Upon receipt, store at -20°C or -80°C. Avoid repeated freeze.
-
貨期:Basically, we can dispatch the products out in 1-3 working days after receiving your orders. Delivery time maybe differs from different purchasing way or location, please kindly consult your local distributors for specific delivery time.
-
用途:For Research Use Only. Not for use in diagnostic or therapeutic procedures.
相關產品
靶點詳情
-
功能:Core component of multiple cullin-RING-based E3 ubiquitin-protein ligase complexes which mediate the ubiquitination and subsequent proteasomal degradation of target proteins. The functional specificity of the E3 ubiquitin-protein ligase complex depends on the variable substrate recognition subunit. CUL4B may act within the complex as a scaffold protein, contributing to catalysis through positioning of the substrate and the ubiquitin-conjugating enzyme. Plays a role as part of the E3 ubiquitin-protein ligase complex in polyubiquitination of CDT1, histone H2A, histone H3 and histone H4 in response to radiation-induced DNA damage. Targeted to UV damaged chromatin by DDB2 and may be important for DNA repair and DNA replication. A number of DCX complexes (containing either TRPC4AP or DCAF12 as substrate-recognition component) are part of the DesCEND (destruction via C-end degrons) pathway, which recognizes a C-degron located at the extreme C terminus of target proteins, leading to their ubiquitination and degradation. The DCX(AMBRA1) complex is a master regulator of the transition from G1 to S cell phase by mediating ubiquitination of phosphorylated cyclin-D (CCND1, CCND2 and CCND3). The DCX(AMBRA1) complex also acts as a regulator of Cul5-RING (CRL5) E3 ubiquitin-protein ligase complexes by mediating ubiquitination and degradation of Elongin-C (ELOC) component of CRL5 complexes. Required for ubiquitination of cyclin E (CCNE1 or CCNE2), and consequently, normal G1 cell cycle progression. Regulates the mammalian target-of-rapamycin (mTOR) pathway involved in control of cell growth, size and metabolism. Specific CUL4B regulation of the mTORC1-mediated pathway is dependent upon 26S proteasome function and requires interaction between CUL4B and MLST8. With CUL4A, contributes to ribosome biogenesis.
-
基因功能參考文獻:
- Results show that CUL4B is highly expressed in pancreatic cancer cells and inversely correlated with miR-300 expression which activate the Wnt/beta-catenin signaling pathway and further stimulating EMT, thus promoting proliferation and migration but suppressing apoptosis of pancreatic cancer cells. PMID: 28685847
- The CUL4B interacts with WD-40 proteins through the adaptor protein DNA damage-binding protein 1 (DDB1) to target substrates for ubiquitylation. PMID: 28886238
- This study found that microRNA-194 (miR-194) and CUL4B protein were inversely correlated in cancer specimens and demonstrated that miR-194 could downregulate CUL4B by directly targeting its 3'-UTR. PMID: 28164432
- findings revealed that CUL4A and CUL4B are differentially associated with etiologic factors for pulmonary malignancies and are independent prognostic markers for the survival of distinct lung cancer subtypes PMID: 27974468
- CUL4B regulates protein turnover and homeostasis in response to dopamine stimulation. PMID: 28225217
- CUL4B protein levels in human subcutaneous adipose tissue is negatively correlated with body mass index. PMID: 27899484
- these results suggest that knockdown of CUL4B inhibited the proliferation and invasion through suppressing the Wnt/beta-catenin signaling pathway in NSCLC cells. Therefore, CUL4B may represent a novel therapeutic target for the treatment of NSCLC. PMID: 27656838
- these results showed that knockdown of CUL4B inhibit proliferation and promotes apoptosis of colorectal cancer cells through suppressing the Wnt/beta-catenin signaling pathway PMID: 26617747
- Our data are consistent with the idea that the CUL4A/B-DDB1-CRBN complex catalyses the polyubiquitination and thus controls the degradation of CLC-1 channels. PMID: 26021757
- FBXO44-mediated degradation of RGS2 protein uniquely depends on a Cul4B/DDB1 complex. PMID: 25970626
- results established a critical role of CUL4B in negatively regulating the p53-ROS positive feedback loop that drives cellular senescence PMID: 25464270
- Results demonstrated that CUL4B promotes cell proliferation and inhibits the apoptosis of osteosarcoma cells. PMID: 25189186
- Results show that CUL4A- and CUL4B-mediated polyubiquitination of gamma-tubulin for its degradation. PMID: 25542213
- Data show that CUL4B variants are associated with a wide range of cerebral malformations and suggest an important role in brain through its interaction with WDR62, a protein in which variants were identified in patients with cerebral malformations. PMID: 25385192
- Cullin4B-Ring E3 ligase complex (CRL4B) is physically associated with PRC2. CRL4B possesses an intrinsic transcription repressive activity by promoting H2AK119 monoubiquitination. CUL4B promotes cancer cell proliferation, invasion, and tumorigenesis in vitro and in vivo. PMID: 23238014
- CUL4B can up-regulate Wnt/beta-catenin signalling in human HCC through transcriptionally repressing Wnt antagonists and thus contributes to the malignancy of HCC. PMID: 25430888
- The intellectual disability phenotype is caused by aberrant splicing and removal of intron 7 from CUL4B gene primary transcript. PMID: 24898194
- CRL4B promotes tumorigenesis by coordinating with SUV39H1/HP1/DNMT3A in DNA methylation-based epigenetic silencing PMID: 24292684
- these observations establish an important negative regulatory role of CUL4B on p53 stability. PMID: 24452595
- HIV-1 Vpr can trigger G2 cell cycle arrest in the absence of either CUL4A or CUL4B. PMID: 24719410
- Investigated CUL4B expression pattern in patients with colon cancer; immunohistochemistry and PCR study showed that high CUL4B expression was significantly associated with colon cancer progression and pathogenesis. PMID: 23649548
- Studies indicate Jun activation domain-binding protein Jab1 as a substrate for CUL4B E3 ligase. PMID: 23357576
- Our results suggest that XLID CUL4B mutants are defective in promoting TSC2 degradation and positively regulating mTOR signaling in neocortical neurons PMID: 23348097
- the up-regulation of CDK2 by CUL4B is achieved via the repression of miR-372 and miR-373, which target CDK2. PMID: 23479742
- The data suggest that unneddylated Cul4B isoforms specifically inhibits beta-catenin degradation during mitosis. PMID: 22992378
- the unexpected association of defective CUL4B with syndromal X-linked mental retardation in humans PMID: 21352845
- Cullin 4B protein ubiquitin ligase targets peroxiredoxin III for degradation. PMID: 21795677
- CUL4B targets WDR5 for ubiquitylation and degradation in the nucleus. PMID: 21816345
- Increased PRMT5 activity mediates key events associated with cyclin D1-dependent neoplastic growth, including CUL4 repression, CDT1 overexpression, and DNA rereplication. PMID: 20951943
- This study identifies CRL4-Cdt2 ubiquitin ligase to promote the ubiquitin-dependent proteolysis of the histone H4 methyltransferase Set8 during S-phase of the cell cycle and after UV-irradiation in a reaction that is dependent on PCNA. PMID: 20932471
- the interplay between CUL4A and CUL4B in pathogenesis of CUL4B-deficiency in humans PMID: 20064923
- CUL4B is over-expressed in placenta in intra-uterine growth restriction. PMID: 20005570
- The CUL4B gene is associated with X-linked mental retardation syndrome. PMID: 20002452
- Data show that that RNA interference of CUL4B led to an inhibition of cell proliferation and a prolonged S phase, due to the overaccumulation of cyclin E. PMID: 19801544
- Studies indicate that CUL4 uses a large beta-propeller protein, DDB1, as a linker to interact with a subset of WD40 proteins. PMID: 19818632
- human CUL4B and cyclin E proteins interact with each other and the CUL4B complexes can polyubiquitinate the CUL4B-associated cyclin E PMID: 16322693
- Cul4B, PCNA, and DDB1 are involved in the degradation of Cdt1 after ultraviolet radiation PMID: 16407252
- The relatively high frequency of CUL4B mutations in this series indicates that it is one of the most commonly mutated genes underlying XLMR and suggests that its introduction into clinical diagnostics should be a high priority. PMID: 17236139
- Mutation in CUL4B causes X-linked mental retardation PMID: 17273978
- a fat-soluble ligand-dependent ubiquitin ligase complex in human cell lines, in which dioxin receptor (AhR) is integrated as a component of a novel cullin 4B ubiquitin ligase complex, CUL4B(AhR) PMID: 17392787
- CUL4-DDB1 ubiquitin ligase interacts with Raptor and regulates the mTORC1-mediated signaling pathway through ubiquitin-dependent proteolysis. PMID: 18235224
- DDB1-CUL4B(DDB2) E3 ligase may have a distinctive function in modifying the chromatin structure at the site of UV lesions to promote efficient NER. PMID: 18593899
- CUL4A and CUL4B are therefore components of a conserved Wnt-induced proteasome targeting (WIPT) complex that regulates p27(KIP1) levels and cell cycle progression in mammalian cells. PMID: 19056892
- Cells depleted of Dda1 spontaneously accumulated double-stranded DNA breaks in a similar way to Cul4A-, Cul4B- or Wdr23-depleted cells, indicating that Dda1 interacts physically and functionally with cullin-RING E3 ligases complexes. PMID: 19295130
顯示更多
收起更多
-
相關疾病:Mental retardation, X-linked, syndromic, 15 (MRXS15)
-
亞細胞定位:Nucleus.
-
蛋白家族:Cullin family
-
數據庫鏈接:
Most popular with customers
-
-
YWHAB Recombinant Monoclonal Antibody
Applications: ELISA, WB, IHC, IF, FC
Species Reactivity: Human, Mouse, Rat
-
Phospho-YAP1 (S127) Recombinant Monoclonal Antibody
Applications: ELISA, WB, IHC
Species Reactivity: Human
-
-
-
-
-















