CTNND1 Antibody
-
中文名稱:CTNND1兔多克隆抗體
-
貨號:CSB-PA006172LA01HU
-
規格:¥440
-
圖片:
-
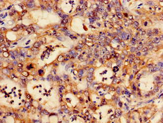
Immunohistochemistry of paraffin-embedded human liver cancer using CSB-PA006172LA01HU at dilution of 1:100
-
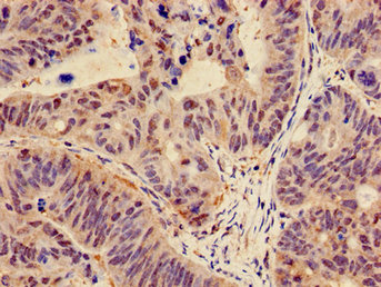
Immunohistochemistry of paraffin-embedded human colon cancer using CSB-PA006172LA01HU at dilution of 1:100
-
Immunofluorescent analysis of A549 cells using CSB-PA006172LA01HU at dilution of 1:100 and Alexa Fluor 488-congugated AffiniPure Goat Anti-Rabbit IgG(H+L)
-
-
其他:
產品詳情
-
產品名稱:Rabbit anti-Homo sapiens (Human) CTNND1 Polyclonal antibody
-
Uniprot No.:
-
基因名:
-
別名:Cadherin associated Src substrate antibody; Cadherin-associated Src substrate antibody; CAS antibody; Catenin (cadherin associated protein) delta 1 antibody; Catenin delta 1 antibody; Catenin delta antibody; Catenin delta-1 antibody; CTND1_HUMAN antibody; CTNND 1 antibody; CTNND antibody; CTNND1 antibody; delta 1 Catenin antibody; KIAA0384 antibody; p120 antibody; P120 CAS antibody; p120 catenin antibody; P120 CTN antibody; p120(cas) antibody; p120(ctn) antibody; P120CAS antibody; P120CTN antibody
-
宿主:Rabbit
-
反應種屬:Human
-
免疫原:Recombinant Human Catenin delta-1 protein (482-605AA)
-
免疫原種屬:Homo sapiens (Human)
-
標記方式:Non-conjugated
本頁面中的產品,CTNND1 Antibody (CSB-PA006172LA01HU),的標記方式是Non-conjugated。對于CTNND1 Antibody,我們還提供其他標記。見下表:
-
克隆類型:Polyclonal
-
抗體亞型:IgG
-
純化方式:>95%, Protein G purified
-
濃度:It differs from different batches. Please contact us to confirm it.
-
保存緩沖液:Preservative: 0.03% Proclin 300
Constituents: 50% Glycerol, 0.01M PBS, pH 7.4 -
產品提供形式:Liquid
-
應用范圍:ELISA, IHC, IF
-
推薦稀釋比:
Application Recommended Dilution IHC 1:20-1:200 IF 1:50-1:200 -
Protocols:
-
儲存條件:Upon receipt, store at -20°C or -80°C. Avoid repeated freeze.
-
貨期:Basically, we can dispatch the products out in 1-3 working days after receiving your orders. Delivery time maybe differs from different purchasing way or location, please kindly consult your local distributors for specific delivery time.
-
用途:For Research Use Only. Not for use in diagnostic or therapeutic procedures.
相關產品
靶點詳情
-
功能:Key regulator of cell-cell adhesion that associates with and regulates the cell adhesion properties of both C-, E- and N-cadherins, being critical for their surface stability. Beside cell-cell adhesion, regulates gene transcription through several transcription factors including ZBTB33/Kaiso2 and GLIS2, and the activity of Rho family GTPases and downstream cytoskeletal dynamics. Implicated both in cell transformation by SRC and in ligand-induced receptor signaling through the EGF, PDGF, CSF-1 and ERBB2 receptors.
-
基因功能參考文獻:
- pathogenic variants are described in four genes encoding components of the p120-catenin complex (CTNND1, PLEKHA7, PLEKHA5) and an epithelial splicing regulator (ESRP2), in addition to the known Cleft lip/Palate-associated gene, CDH1, which encodes E-cadherin. PMID: 29805042
- CTNND1 binds to CDH1 and controls the stability of the complex. PMID: 29348693
- miR-298 suppresses hepatocellular carcinoma progression at least partially by targeting CTNND1-mediated Wnt/beta-catenin signaling. PMID: 29990836
- these data indicated under cigarette smoke condensate treatment; losing of membrane p120ctn could upregulate surface NEP protein level and thus facilitate BEAS-2B cell migration. PMID: 30249887
- Data show that p120-catenin interacts with kinesin family member 23 (MKLP1) to regulate focused rhoA GTP-binding protein (RhoA) activity during cytokinesis. PMID: 28004812
- Results provide evidence that 90K interacts with the E-cadherin-p120-catenin complex and induced its dissociation, altering the phosphorylation status of p120-catenin. PMID: 29207493
- Results show that head and neck squamous cell carcinoma tumors with low P120CTN and PI3K pathway mutations have higher levels of MMP1 compared to tumors with high P120CTN and no PI3K pathway mutations demonstrating that P120CTN downregulation and PIK3CA mutations promote MMP1-driven invasion. PMID: 28637905
- In 11 BCD patients from eight families, we identified five CDH1 deleterious missense mutations and three CTNND1 truncating mutations. PMID: 28301459
- Our combined data indicate that as HPMECs achieve confluence and CD31 ectodomains become homophilically engaged, multiple SFKs are activated to increase tyrosine phosphorylation of p120ctn, which in turn, functions as a cross-bridging adaptor molecule that physically couples NEU1 to CD31, permitting NEU1-mediated desialylation of CD31. PMID: 28343945
- Studied interactions between protein kinase C alpha (PKCalpha), FOXC2, and p120-catenin (CTNND1) in breast cancer, cell migration/ invasion; found PKCalpha acts as an upstream regulator of FOXC2, which in turn represses the expression of p120-catenin, in both in endocrine resistant ER+breast cancer and basal A triple negative breast cancer PMID: 29216867
- Studied the association between genetic polymorphisms in the CTNND1 gene and risk of pancreatic carcinoma in Chinese population. PMID: 27565611
- Results found that CTNND1 expression was significantly up-regulated in hepatocellular carcinoma (HCC) cancer lesions compared with paired normal liver tissues and, could promote cell proliferation, migration, and invasion in vitro and in vivo. The study provides evidence that CTNND1 functions as a novel tumor oncogene in HCC. PMID: 27193094
- These results suggest that stabilization of delta-catenin by Hakai is dependent on Src. PMID: 28069439
- These results uncover a new role for p120 catenin bound to the N-cadherin precursor ensuring its trafficking through the biosynthetic pathway towards the cell surface. PMID: 27254316
- recent results describing actions of p120-catenin in different phases of this pathway PMID: 28276699
- The mTOR-dependent, epithelial phenotype of TSC astrocytes suggests TSC1/2 and mTOR tune the phosphorylation level of catenin delta-1 by controlling PKCe activity, thereby regulating the mesenchymal-epithelial-transition (MET) PMID: 27516388
- Src-dependent phosphorylation of p120(ctn) can respond rapidly to negative pressure and contribute to E-cadherin downregulation. PMID: 27220534
- p120 participates in the progress of gastric cancer through regulating Rac1 and Pak1. PMID: 26324182
- The overexpression of P120ctn led to a decrease in both invasion and migration capacity of HN12 cells accompanied by a decrease in EMT markers. Knockdown of P120ctn led to an increase in both invasion and migration capacity accompanied by an increase in EMT markers. PMID: 27146732
- OGT inhibited the formation of the Ecadherin/catenin complex through reducing the interaction between p120 and Ecadherin. PMID: 26707622
- Immunohistochemical panel of CDX2, p120ctn, c-Myc, and Jagged1 proteins would be to distinguish between low/high grade dysplasia in histologically challenging cases of Barrett's esophagus. PMID: 26926447
- p120ctn improves the BBB dysfunction and inflammatory responses induced by LPS through the inhibition of NF-kappaB activation. PMID: 26097613
- expression of catenin-delta1 rescued the inhibitory effect of miR-409-3p on cell migration and invasion PMID: 26992637
- expression of E-cadherin, and p120 negatively correlated with the tumor differentiation of oral squamous cell carcinoma. PMID: 26464646
- Survival time of colorectal cancer patients with positive deltacatenin expression was shorter than that of patients with negative deltacatenin expression. PMID: 26062780
- results indicate an anti-inflammatory effect of p120 in bronchial epithelial cells through its modulation of NF-kappaB signaling depending on RhoA/ROCK pathway. PMID: 25693631
- Phosphorylation and isoform use in p120-catenin during development and tumorigenesis. PMID: 26477567
- PLEKHA7 localization to adherens junctions is E-cadherin and p120 dependent. PMID: 26302406
- Pro-Tumorigenic Phosphorylation of p120 Catenin is associated with Renal and Breast Cancer. PMID: 26067913
- the modulation of HPV-16 E6/E7 expression remarkably influenced cell proliferation, migration, and invasion, as well as the protein levels of E-cadherin and P-cadherin in cervical cell lines. PMID: 26093522
- The expression, redistribution and disassociation of junction proteins in ventilator-induced lung injury were all restored with p120-catenin overexpression. PMID: 25986488
- localization of p120 catenin in the cytoplasm rather than the membrane correlates with poor prognosis in esophageal squamous cell carcinoma PMID: 25785604
- Enforced expression of miR-29s in gastric cancer cells inhibited cell invasion in vitro and in vivo by directly targeting CTNND1. PMID: 25634213
- C6orf106 promotes invasion in NSCLC cells. Finally, C6orf106 upregulates vimentin, and downregulates E-cadherin and P120ctn. PMID: 25736925
- p120ctn down-regulation and EGFR overexpression are able to mimic human ESCC in a culture model PMID: 25529795
- MiR-145 inhibits invasion of gastric cancer cells not only by down-regulating cytoplasmic catenin-delta1 expression but also by inducing the translocation of catenin-delta1 PMID: 25470111
- We conclude that delta-catenin tends to overexpress in breast carcinoma and promotes the malignant phenotype PMID: 25273174
- uncovering a critical role for CTNND2 in neuronal development and an intimate connection to chromatin biology; data contribute to the understanding of the genetic architecture of autism PMID: 25807484
- our study supports the regulatory role of p120 in airway inflammation and reveals that p120 may modulate NF-kappaB signaling partially through RhoA. PMID: 24995336
- E-cadherin and P120 catenin cocktail immunostain can be used to differentiate ductal carcinoma in situ from lobular carcinoma in situ. PMID: 24966968
- Overexpression of delta-catenin reduces the expression of E-cadherin and alters the balance between E-cadherin and p120ctn, which in turn affects the formation of intercellular adhesions and promotes invasion and metastasis in Colorectal cancer. PMID: 23423910
- Transfection of in H1299 cells expressing low p120ctn levels. PMID: 24505377
- these data suggest that PTP-PEST affects epithelial cell motility by controlling the distribution and phosphorylation of p120 and its availability to control Rho GTPase activity PMID: 24284071
- P120ctn plays a pivotal role in the proliferation. PMID: 23073801
- Overexpression of HO-1 promotes Caco-2 cell proliferation and migration by targeting the CTNND1 gene. PMID: 23981612
- P120 catenin ARM domains 1, 3-5, and 8 mediate interactions between p120 catenin and MUC1. PMID: 24371222
- The optimized knockdown with p120 and Kaiso siRNAs further expands the size of HCEC monolayers without endothelial mesenchymal transition (EMT) via selective activation of p120/Kaiso signaling that requires the RhoA-ROCK-noncanonical BMP-NFkB signaling. PMID: 24474278
- these results indicate that c-Src can enhance the oncogenic function of delta-catenin in prostate cancer cells PMID: 24412473
- Overexpression of NLBP promotes the cell proliferation of lung adenocarcinoma through interacting with p120ctn. PMID: 23839039
- p120ctn delocalization/loss of expression could be an independent prognostic marker in oral squamous cell carcinoma PMID: 23706919
顯示更多
收起更多
-
相關疾病:Blepharocheilodontic syndrome 2 (BCDS2)
-
亞細胞定位:Cell junction, adherens junction. Cytoplasm. Nucleus. Cell membrane.; [Isoform 1A]: Nucleus.; [Isoform 2A]: Nucleus.; [Isoform 3A]: Nucleus.
-
蛋白家族:Beta-catenin family
-
組織特異性:Expressed in vascular endothelium. Melanocytes and melanoma cells primarily express the long isoform 1A, whereas keratinocytes express shorter isoforms, especially 3A. The shortest isoform 4A, is detected in normal keratinocytes and melanocytes, and gener
-
數據庫鏈接:
Most popular with customers
-
-
Phospho-YAP1 (S127) Recombinant Monoclonal Antibody
Applications: ELISA, WB, IHC
Species Reactivity: Human
-
-
-
-
-
-















