-
中文名稱:COLEC10兔多克隆抗體
-
貨號:CSB-PA896556LA01HU
-
規格:¥440
-
圖片:
-
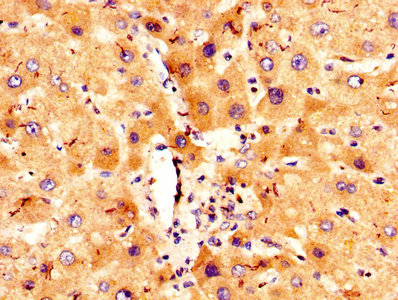
IHC image of CSB-PA896556LA01HU diluted at 1:300 and staining in paraffin-embedded human liver tissue performed on a Leica BondTM system. After dewaxing and hydration, antigen retrieval was mediated by high pressure in a citrate buffer (pH 6.0). Section was blocked with 10% normal goat serum 30min at RT. Then primary antibody (1% BSA) was incubated at 4°C overnight. The primary is detected by a biotinylated secondary antibody and visualized using an HRP conjugated SP system.
-
IHC image of CSB-PA896556LA01HU diluted at 1:300 and staining in paraffin-embedded human adrenal gland tissue performed on a Leica BondTM system. After dewaxing and hydration, antigen retrieval was mediated by high pressure in a citrate buffer (pH 6.0). Section was blocked with 10% normal goat serum 30min at RT. Then primary antibody (1% BSA) was incubated at 4°C overnight. The primary is detected by a biotinylated secondary antibody and visualized using an HRP conjugated SP system.
-
-
其他:
產品詳情
-
產品名稱:Rabbit anti-Homo sapiens (Human) COLEC10 Polyclonal antibody
-
Uniprot No.:
-
基因名:COLEC10
-
別名:CL-34 antibody; CL-L1 antibody; CLL1 antibody; COL10_HUMAN antibody; Colec10 antibody; Collectin liver 1 antibody; Collectin liver protein 1 antibody; Collectin sub family member 10 (C-type lectin) antibody; Collectin sub family member 10 antibody; Collectin subfamily member 10 antibody; Collectin-10 antibody; Collectin-34 antibody; MGC118794 antibody; MGC118795 antibody; OTTHUMP00000228058 antibody
-
宿主:Rabbit
-
反應種屬:Human
-
免疫原:Recombinant Human Collectin-10 protein (28-277AA)
-
免疫原種屬:Homo sapiens (Human)
-
標記方式:Non-conjugated
本頁面中的產品,COLEC10 Antibody (CSB-PA896556LA01HU),的標記方式是Non-conjugated。對于COLEC10 Antibody,我們還提供其他標記。見下表:
-
克隆類型:Polyclonal
-
抗體亞型:IgG
-
純化方式:>95%, Protein G purified
-
濃度:It differs from different batches. Please contact us to confirm it.
-
保存緩沖液:Preservative: 0.03% Proclin 300
Constituents: 50% Glycerol, 0.01M PBS, PH 7.4 -
產品提供形式:Liquid
-
應用范圍:ELISA, IHC
-
推薦稀釋比:
Application Recommended Dilution IHC 1:200-1:500 -
Protocols:
-
儲存條件:Upon receipt, store at -20°C or -80°C. Avoid repeated freeze.
-
貨期:Basically, we can dispatch the products out in 1-3 working days after receiving your orders. Delivery time maybe differs from different purchasing way or location, please kindly consult your local distributors for specific delivery time.
-
用途:For Research Use Only. Not for use in diagnostic or therapeutic procedures.
引用文獻
- The C-type lectin COLEC10 is predominantly produced by hepatic stellate cells and involved in the pathogenesis of liver fibrosis M Zhang,Cell death & disease,2023
相關產品
靶點詳情
-
功能:Lectin that binds to various sugars: galactose > mannose = fucose > N-acetylglucosamine > N-acetylgalactosamine. Acts as a chemoattractant, probably involved in the regulation of cell migration.
-
基因功能參考文獻:
- High CLL1 expression is associated with cardiovascular disease. PMID: 27341702
- Exome sequencing reveals mutations in collectin sub-family member 10 (C-type lectin) protein (COLEC10) as a cause of 3MC syndrome with main features include facial dysmorphism, craniosynostosis and cleft lip/palate. PMID: 28301481
- high serum CL-L1 concentration in critically ill children upon PICU admission is associated with an increased risk of infection and prolonged need of intensive care, and counteracts the protective effect of having a high MASP-3 concentration PMID: 27057739
- Data indicate differences in the plasma concentrations of collectin liver 1 and collectin kidney 1, M-ficolin and H-ficol in systemic lupus erythematosus (SLE) patients compared to a group of healthy controls. PMID: 26154564
- Carriers of COLEC10 Arg125Trp had increased CL-L1 serum levels. PMID: 25710878
- Most plasma CL-K1 was found in complex with CL-L1 in a ratio suggesting a heteromeric subunit of 1 CL-L1 & 2 CL-K1 polypeptides. PMID: 24174618
顯示更多
收起更多
-
相關疾病:3MC syndrome 3 (3MC3)
-
亞細胞定位:Secreted. Golgi apparatus. Cytoplasm.
-
蛋白家族:COLEC10/COLEC11 family
-
組織特異性:Highly expressed in liver, placenta and adrenal gland. Moderately expressed in small intestine, lung, stomach and prostate. Weakly expressed in trachea and spleen.
-
數據庫鏈接:
Most popular with customers
-
YWHAB Recombinant Monoclonal Antibody
Applications: ELISA, WB, IHC, IF, FC
Species Reactivity: Human, Mouse, Rat
-
Phospho-YAP1 (S127) Recombinant Monoclonal Antibody
Applications: ELISA, WB, IHC
Species Reactivity: Human
-
-
-
-
-
-















